左右の八重歯が気になる ワイヤー装置での咬み合わせ改善

東京駅前しらゆり歯科

電話でのご予約、お問い合わせ
03-3231-0777

平日11:00~20:00 / 土日10:00~18:00

CASES

ワイヤー矯正の症例

左右の八重歯が気になる ワイヤー装置での咬み合わせ改善

治療症例のビフォーアフターと詳細

患者様
30代男性
治療期間
4年1ヶ月
治療回数
10-30回
矯正装置
メタルブラケット
概算治療費
85万円(税込)(※費用は治療当時の料金となります)
担当医
藤巻太一朗

治療動機

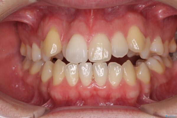
八重歯と前歯のデコボコを気にして来院された患者様です。

治療計画

営業職であり、商談などで飲食をする機会が多いとのことで、インビザラインではなく、ワイヤー装置にて矯正治療を行うこととしました。

治療後について

舌の突出癖がなかなか改善されず、上下前歯部の接触が得られるまでに予定の倍ほどの期間がかかりました。

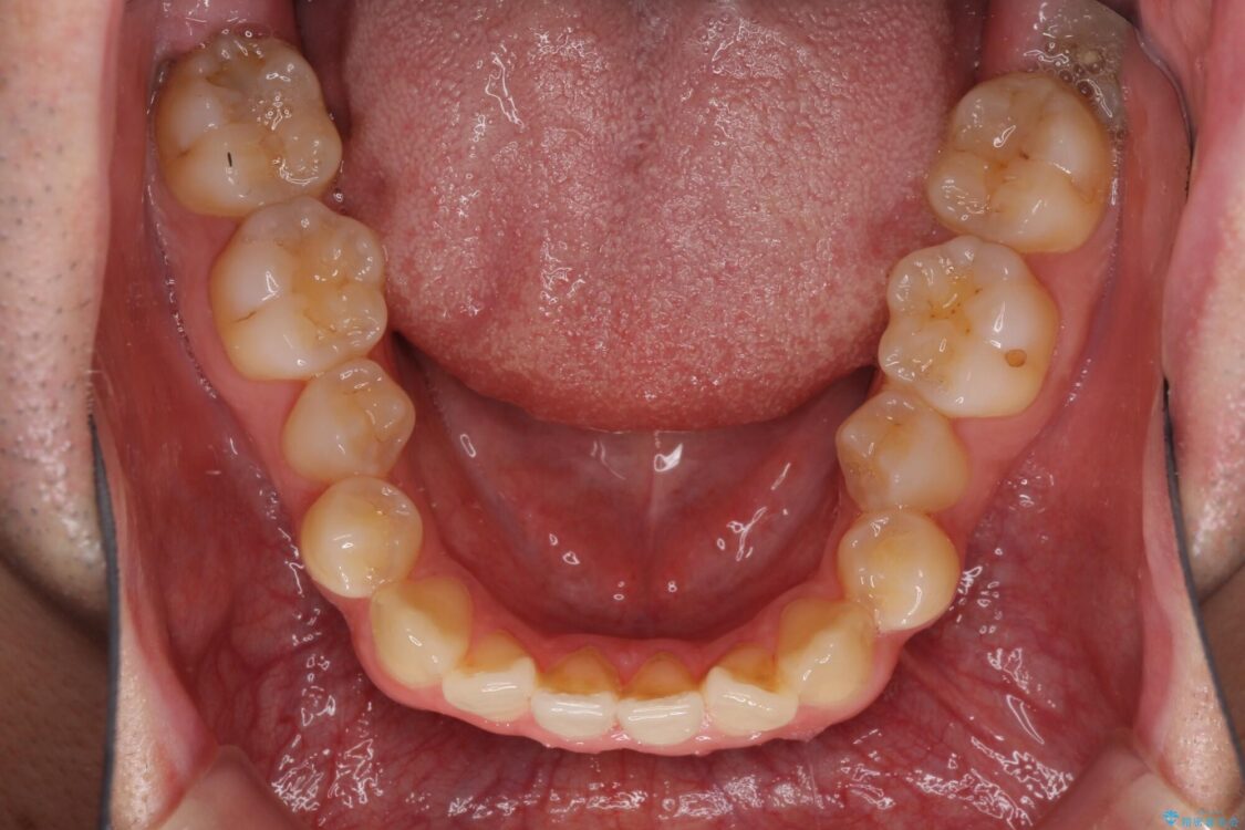
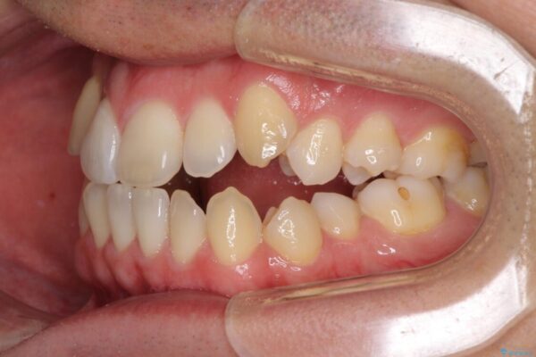
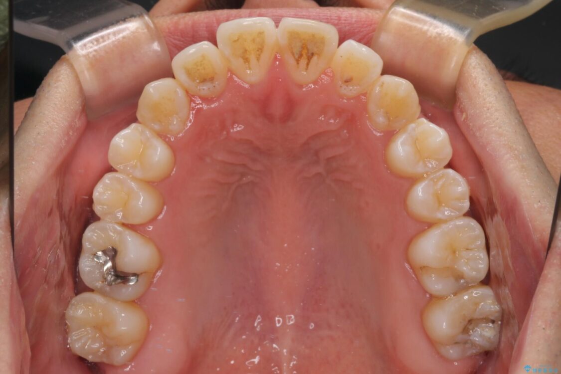
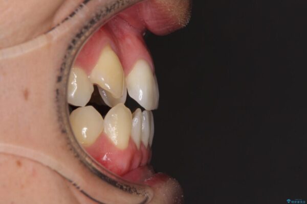
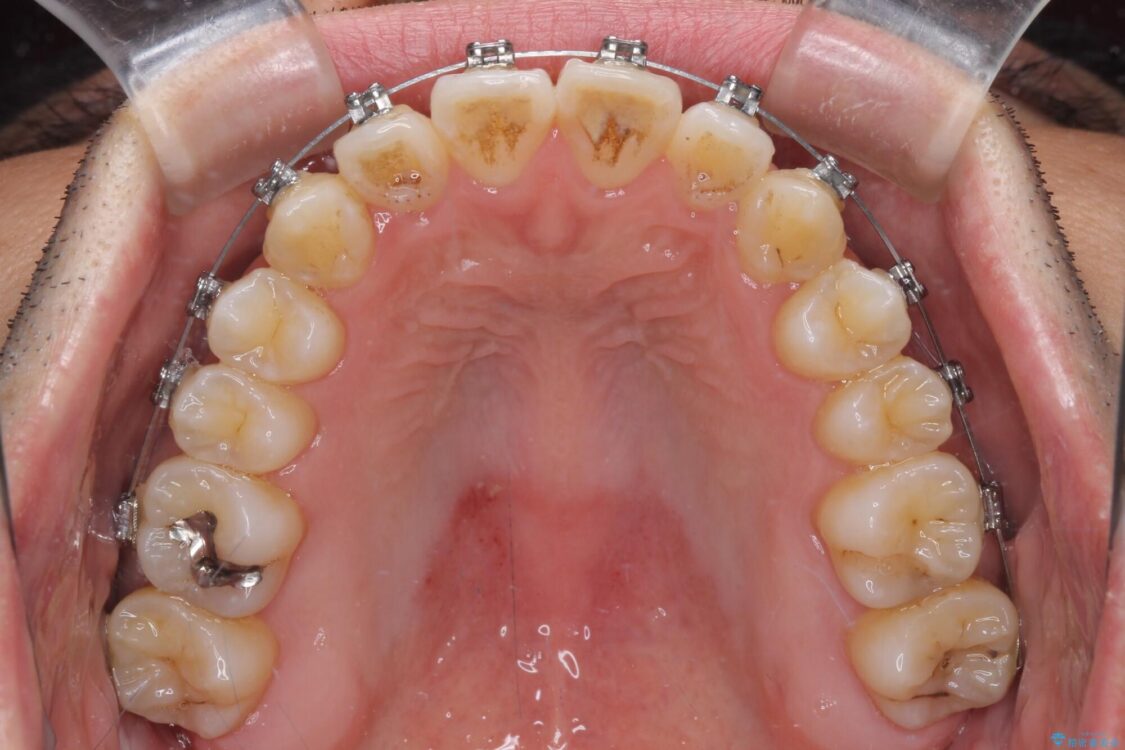
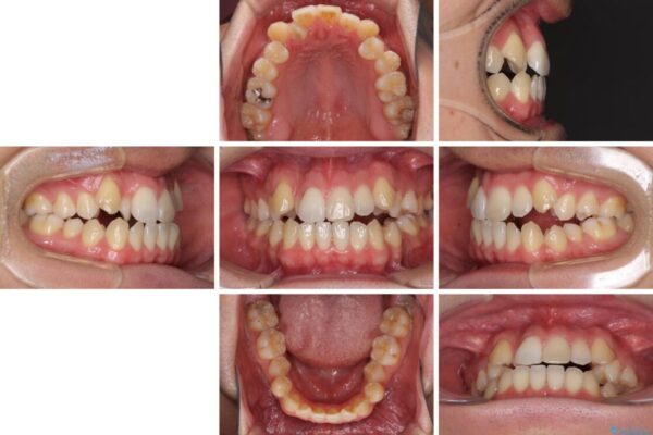
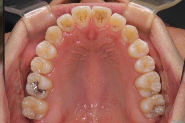
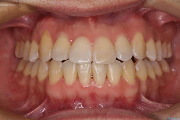
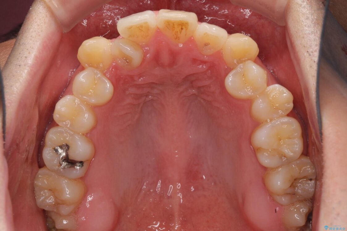
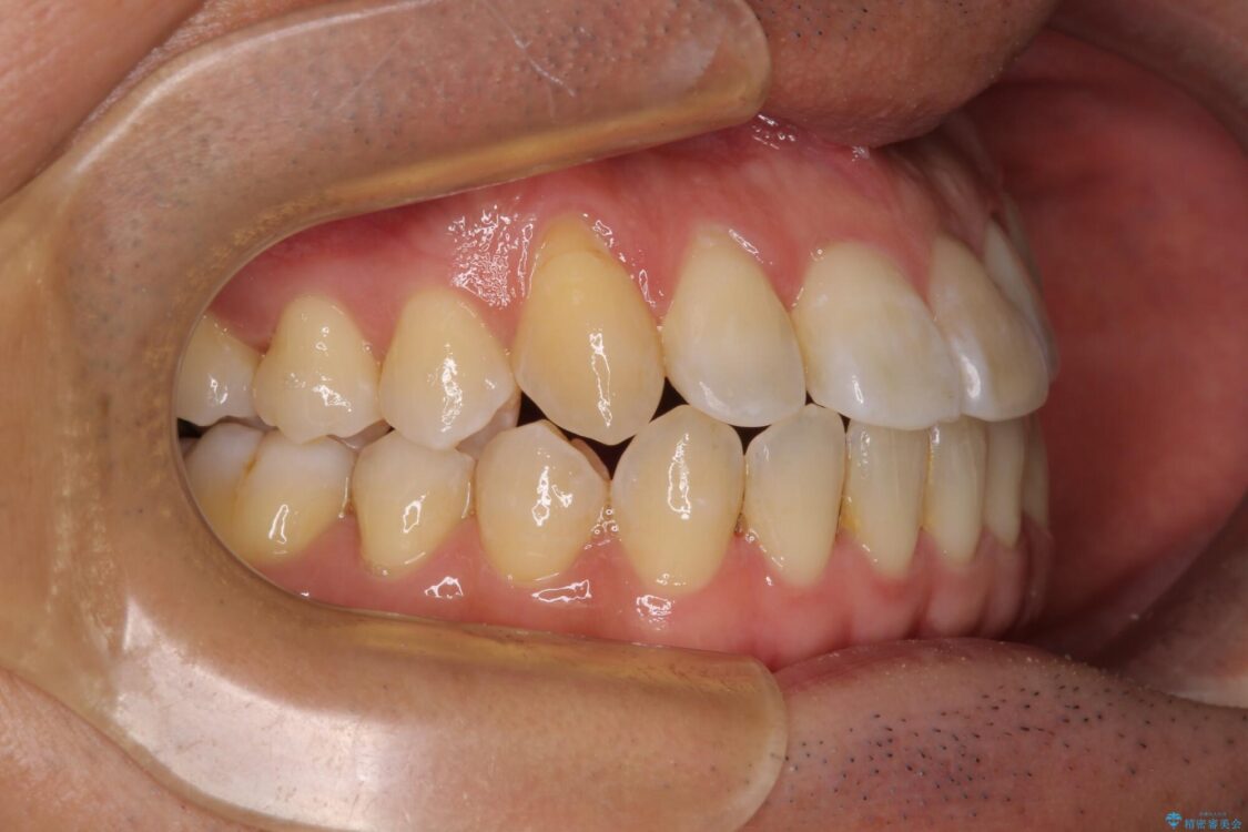
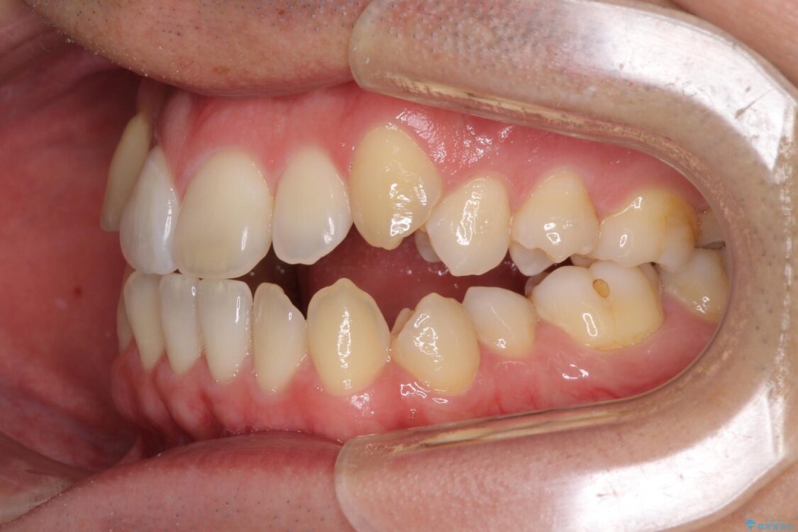
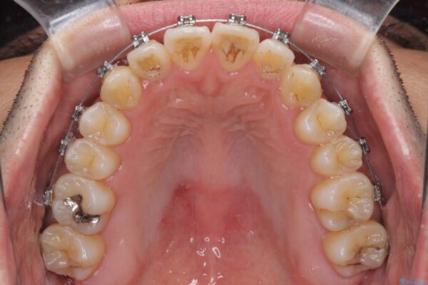
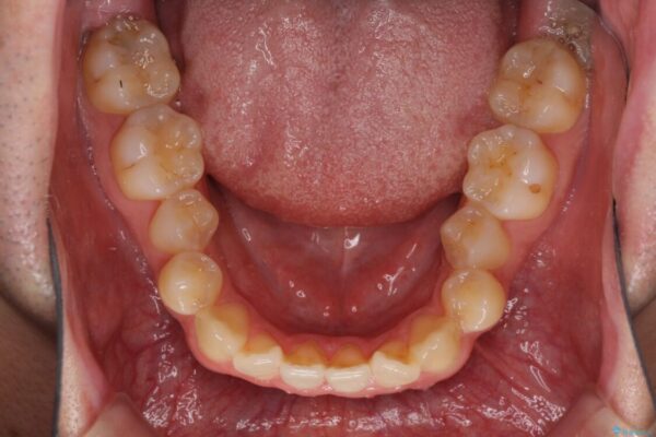
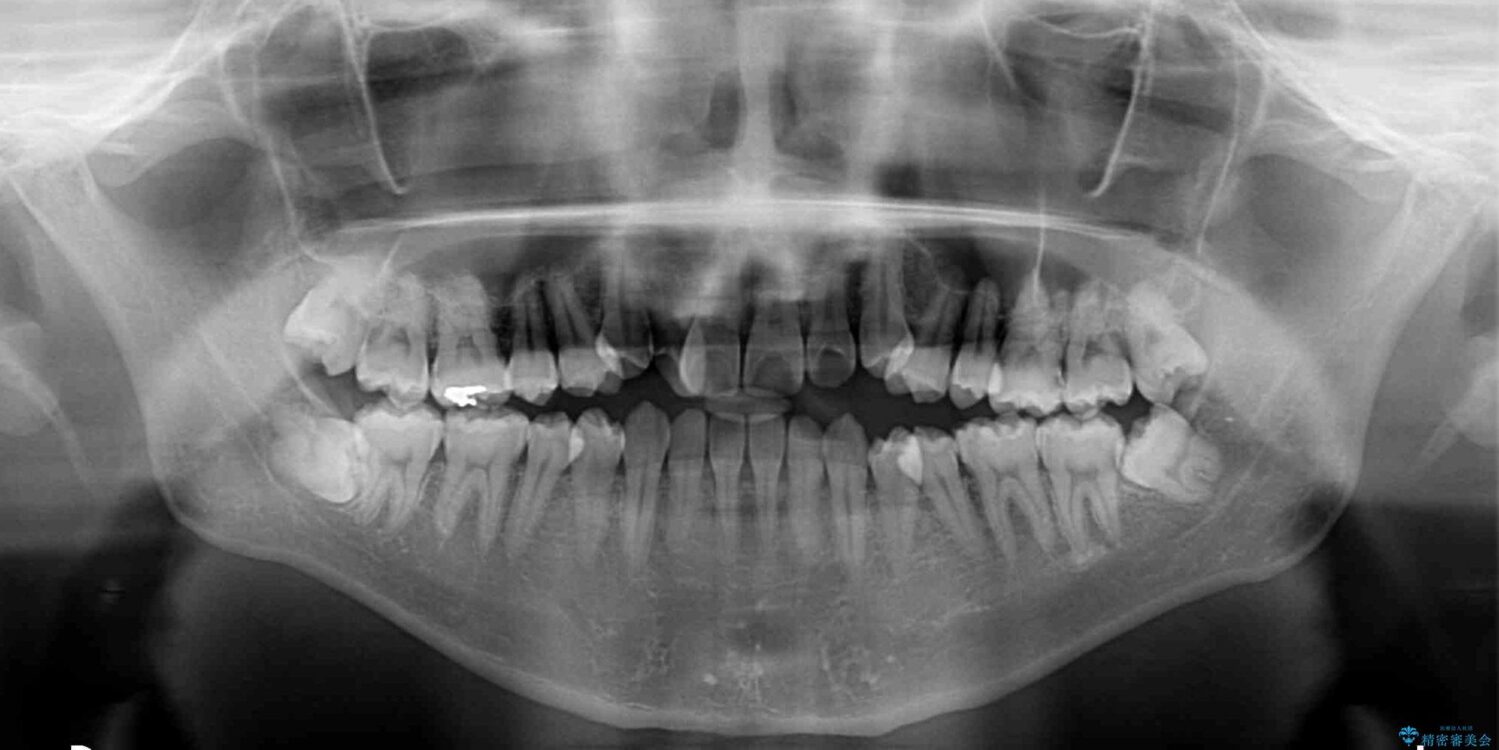
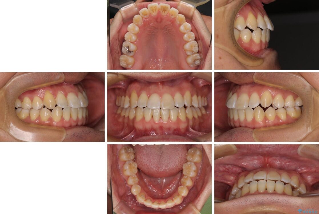
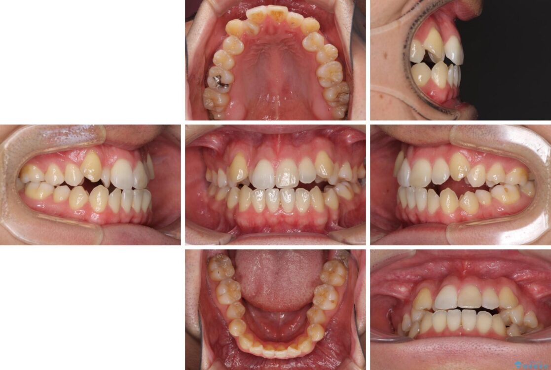
治療前
  • 左右の八重歯が気になる ワイヤー装置での咬み合わせ改善 治療前画像
  • 左右の八重歯が気になる ワイヤー装置での咬み合わせ改善 治療前画像
  • 左右の八重歯が気になる ワイヤー装置での咬み合わせ改善 治療前画像
  • 左右の八重歯が気になる ワイヤー装置での咬み合わせ改善 治療前画像
  • 左右の八重歯が気になる ワイヤー装置での咬み合わせ改善 治療前画像
  • 左右の八重歯が気になる ワイヤー装置での咬み合わせ改善 治療前画像
  • 左右の八重歯が気になる ワイヤー装置での咬み合わせ改善 治療前画像
  • 左右の八重歯が気になる ワイヤー装置での咬み合わせ改善 治療前画像
  • 左右の八重歯が気になる ワイヤー装置での咬み合わせ改善 治療前画像
  • 左右の八重歯が気になる ワイヤー装置での咬み合わせ改善 治療前画像
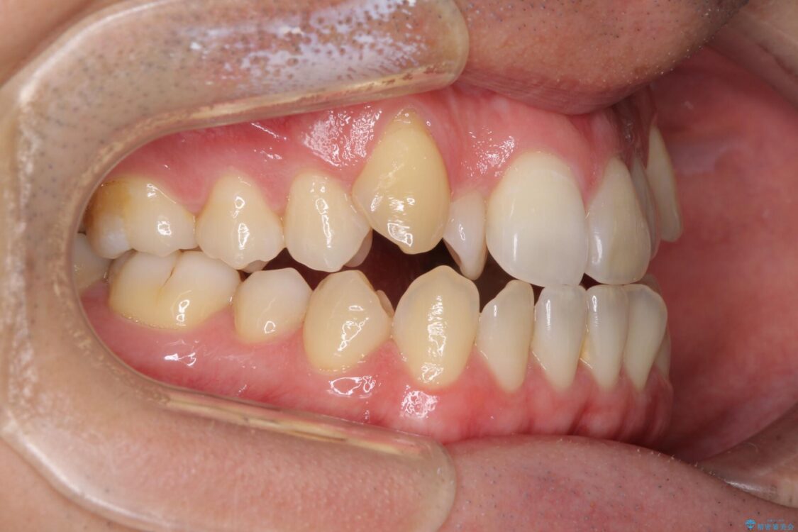
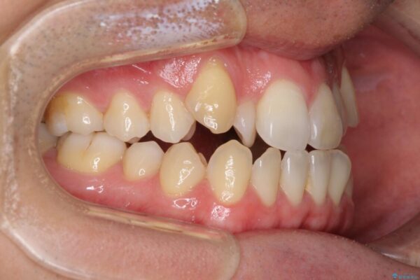
治療途中
  • 左右の八重歯が気になる ワイヤー装置での咬み合わせ改善 治療途中画像
  • 左右の八重歯が気になる ワイヤー装置での咬み合わせ改善 治療途中画像
  • 左右の八重歯が気になる ワイヤー装置での咬み合わせ改善 治療途中画像
  • 左右の八重歯が気になる ワイヤー装置での咬み合わせ改善 治療途中画像
  • 左右の八重歯が気になる ワイヤー装置での咬み合わせ改善 治療途中画像
  • 左右の八重歯が気になる ワイヤー装置での咬み合わせ改善 治療途中画像
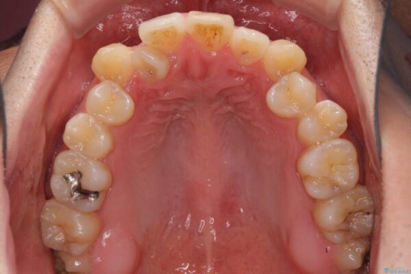
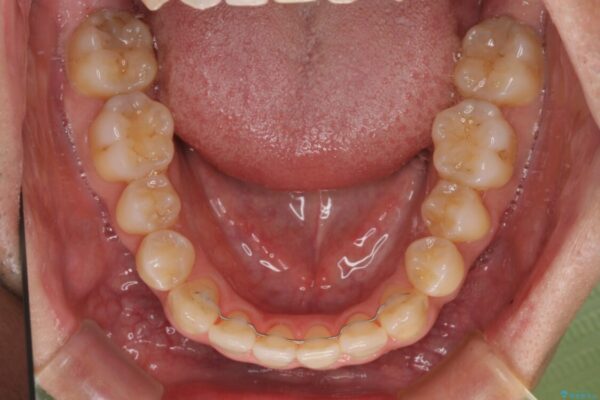
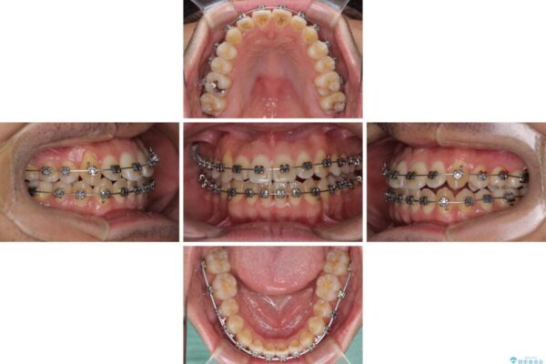
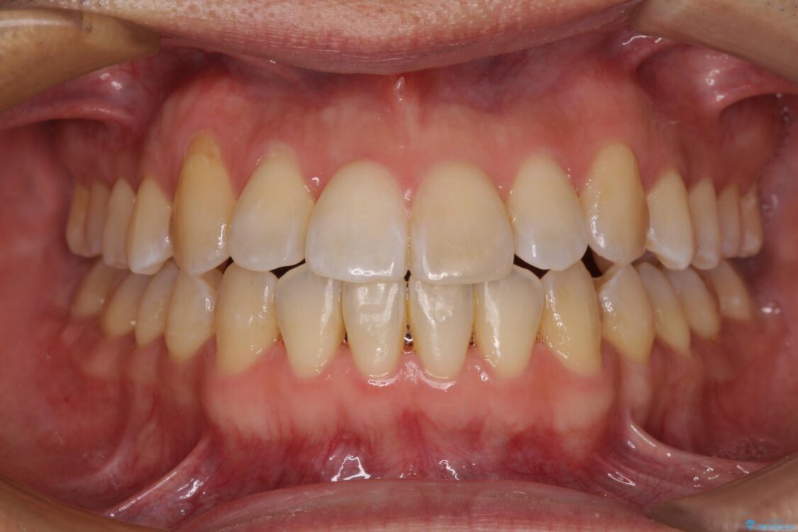
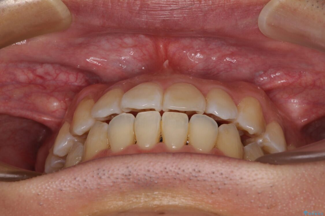
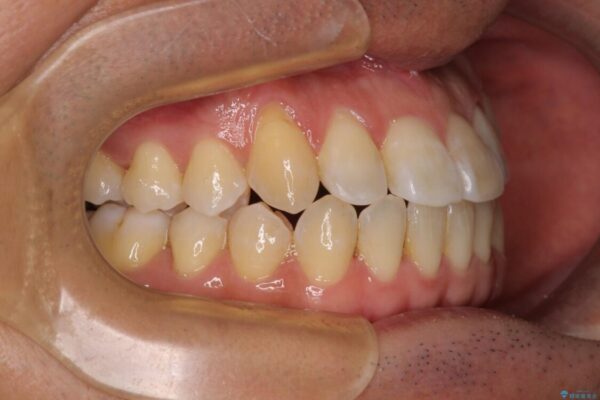
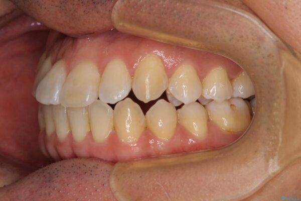
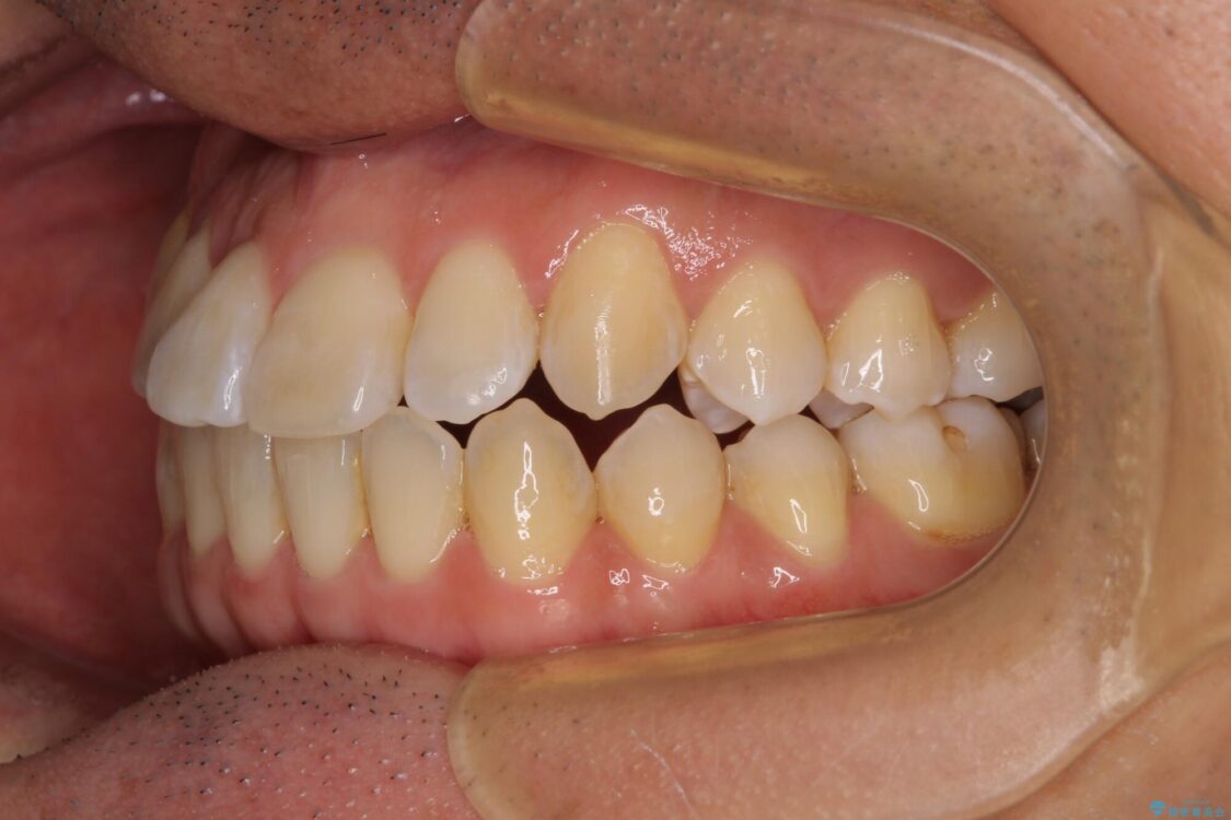
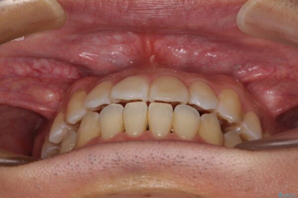
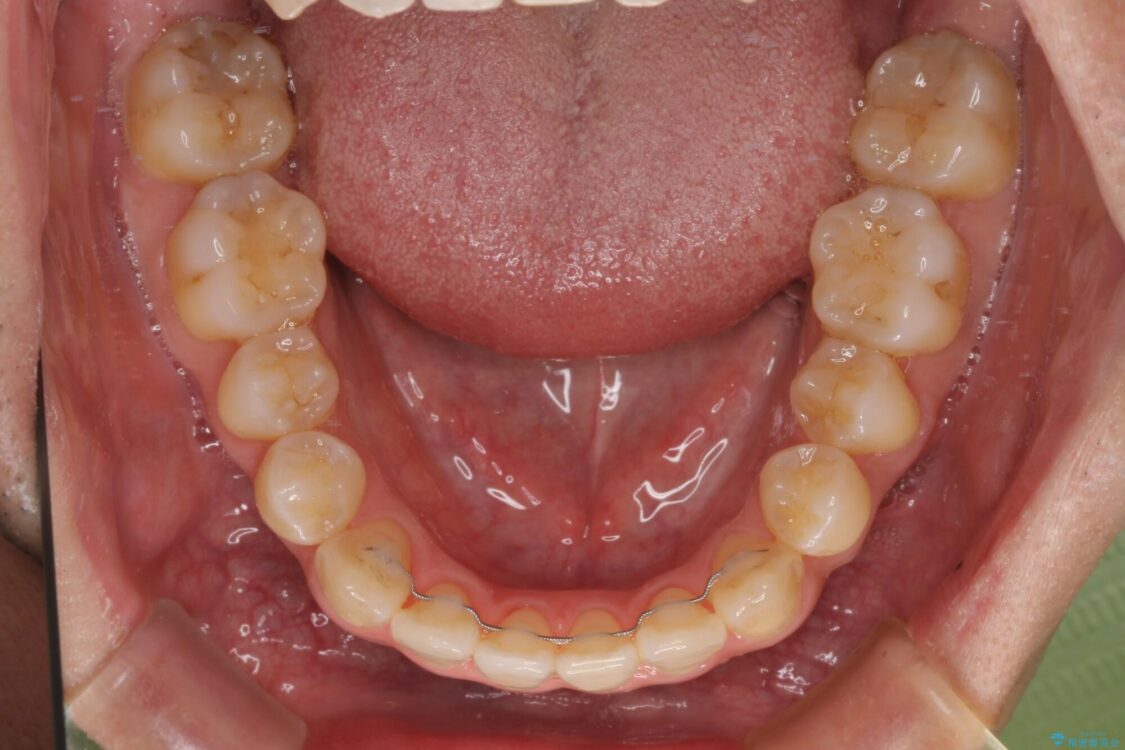
治療後
  • 左右の八重歯が気になる ワイヤー装置での咬み合わせ改善 治療後画像
  • 左右の八重歯が気になる ワイヤー装置での咬み合わせ改善 治療後画像
  • 左右の八重歯が気になる ワイヤー装置での咬み合わせ改善 治療後画像
  • 左右の八重歯が気になる ワイヤー装置での咬み合わせ改善 治療後画像
  • 左右の八重歯が気になる ワイヤー装置での咬み合わせ改善 治療後画像
  • 左右の八重歯が気になる ワイヤー装置での咬み合わせ改善 治療後画像
  • 左右の八重歯が気になる ワイヤー装置での咬み合わせ改善 治療後画像
  • 左右の八重歯が気になる ワイヤー装置での咬み合わせ改善 治療後画像
  • 左右の八重歯が気になる ワイヤー装置での咬み合わせ改善 治療後画像
  • 左右の八重歯が気になる ワイヤー装置での咬み合わせ改善 治療後画像

ワイヤー矯正の注意事項(リスク・副作用など)

・治療中は違和感や痛みが起こることがあります。
・症状により、抜歯が必要な場合があります。
・治療中は歯磨きがしにくくなるため、虫歯や歯周病になりやすくなります。
・矯正治療後の保定が不十分だと後戻り(元の位置に戻ろうとする動き)をします。
・自費診療(保険適用外)となります。

その他の注意事項(リスク・副作用など)

・担当歯科医師、歯科衛生士又は医院スタッフから受けた説明、注意事項をよくご確認ください。
・医療を提供するに当たり、適切な説明を行い、患者様の十分な理解を得るよう努めております。

当サイトの内容、テキスト、画像等の無断転載、複製、複写、盗用を固く禁じます。

24時間受付 Web申し込み


無料カウンセリング予約

無料の個別相談(予約制)を実施しております

医院直通 電話予約
03-3231-0777

平日 11:00~20:00 / 土日 10:00~18:00

※ お電話での治療に関するご相談は、ドクターによる対応ができないためお受けできません