インビザライン(マウスピース矯正) の症例

東京駅前しらゆり歯科

電話でのご予約、お問い合わせ
03-3231-0777

平日11:00~20:00 / 土日10:00~18:00

CASES

インビザライン(マウスピース矯正)の症例一覧

インビザライン(マウスピース矯正)の症例

東京駅前しらゆり歯科のインビザライン(マウスピース矯正)治療症例一覧ページです。インビザライン(マウスピース矯正)による歯並び、噛み合わせの治療例をご紹介しております。

院長、藤巻太一朗の症例は以下もご参照ください。
(https://seimitsushinbi.jp/case/?doc=14)

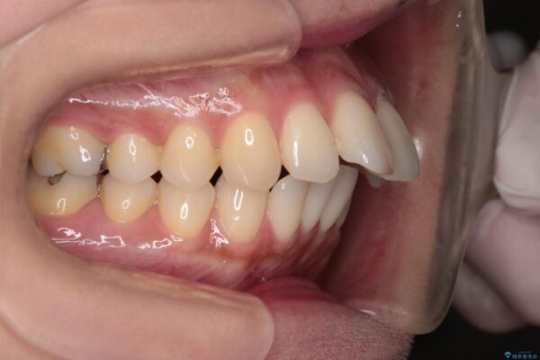
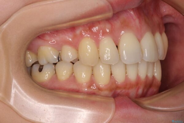
前歯のクロスバイトを改善 ワイヤー矯正を併用したインビザライン矯正

前歯のクロスバイトを改善 ワイヤー矯正を併用したインビザライン矯正 ビフォー 前歯のクロスバイトを改善 ワイヤー矯正を併用したインビザライン矯正 アフター

前歯のデコボコとクロスバイトが気になり、インビザラインによる矯正治療を希望して来院された患者様です。

この症例の詳細

気になる歯列不正とむし歯を治療 インビザライン治療と虫歯治療矯正 目立たないワイヤー装置

気になる歯列不正とむし歯を治療 インビザライン治療と虫歯治療矯正 目立たないワイヤー装置 ビフォー 気になる歯列不正とむし歯を治療 インビザライン治療と虫歯治療矯正 目立たないワイヤー装置 アフター

治療途中の奥歯の治療継続と、前歯のデコボコを気にして来院された患者様です。

この症例の詳細

【モニター】飛び出した上の前歯 ワイヤー装置を併用してインビザラインできれいに

【モニター】飛び出した上の前歯 ワイヤー装置を併用してインビザラインできれいに ビフォー 【モニター】飛び出した上の前歯 ワイヤー装置を併用してインビザラインできれいに アフター

深く咬みこんだ前歯と、それに伴い前方に突出した上顎前歯を気にして来院された患者様です。

この症例の詳細

インビザラインによる矯正治療と奥歯のインプラント治療

インビザラインによる矯正治療と奥歯のインプラント治療 ビフォー インビザラインによる矯正治療と奥歯のインプラント治療 アフター

全体的なデコボコと、以前抜歯した歯のスペースを閉じた部分が気になるとのことで来院された患者様です。

この症例の詳細

治療途中の奥歯と矯正治療の後戻り インビザライン・ライトによる矯正治療

治療途中の奥歯と矯正治療の後戻り インビザライン・ライトによる矯正治療 ビフォー 治療途中の奥歯と矯正治療の後戻り インビザライン・ライトによる矯正治療 アフター

根管治療を行ったままの奥歯と、矯正治療の後戻りを気にして来院された患者様です。

この症例の詳細

【モニター】下顎前歯のデコボコをインビザラインできれいに

【モニター】下顎前歯のデコボコをインビザラインできれいに ビフォー 【モニター】下顎前歯のデコボコをインビザラインできれいに アフター

下顎の八重歯を気にして来院された患者様です。

この症例の詳細

【モニター】前歯のデコボコをインビザラインで改善

【モニター】前歯のデコボコをインビザラインで改善 ビフォー 【モニター】前歯のデコボコをインビザラインで改善 アフター

前歯のデコボコで前方に出ていることを気にして来院された患者様です。

この症例の詳細

マウスピース矯正の注意事項(リスク・副作用など)

  • 口腔内、歯並びの状態によっては対応できない場合があります
  • マウスピース型矯正装置の長時間装着が必須です
  • 治療計画通りに進めるためには、患者様の意志が重要になります
  • 矯正治療後の保定が不十分だと後戻り(元の位置に戻ろうとする動き)をします
  • 薬機法対象外の矯正歯科装置のため医薬品副作用被害救済制度の対象外となる場合があります
  • 自費診療(保険適用外治療)となります

24時間受付 Web申し込み


無料カウンセリング予約

無料の個別相談(予約制)を実施しております

医院直通 電話予約
03-3231-0777

平日 11:00~20:00 / 土日 10:00~18:00

※ お電話での治療に関するご相談は、ドクターによる対応ができないためお受けできません