endodontics
東京駅・日本橋駅での精密根管治療は東京駅前しらゆり歯科
平日11:00~20:00 / 土日10:00~18:00
endodontics
根管治療(こんかんちりょう)では、下記のような「歯の痛み」の治療や「歯の根」の治療を行います。
など


本院では精密な根管治療を行っており、下記のような特徴があります。


| 精密根管治療 | 保険治療 | |
|---|---|---|
| 1回の治療時間 | 60~90分 | 30分 |
| 通院回数 | 1~3回 | 2~10回 |
| 拡大視野 | マイクロスコープ (3~30倍) |
肉眼のためなし |
| 感染対策 | ラバーダム防湿 | なし |
| 治療器具 | ニッケルチタンなど | 制限あり |
| 根管充填の薬剤 | MTAセメントなど | 制限あり |
| 成功率 | 非常に高い | 非常に低い |
| 再発率 | 非常に低い | 非常に高い |
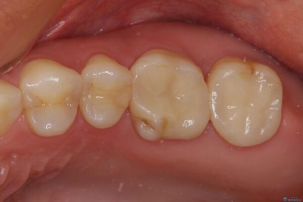
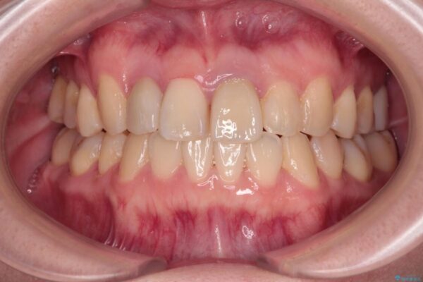
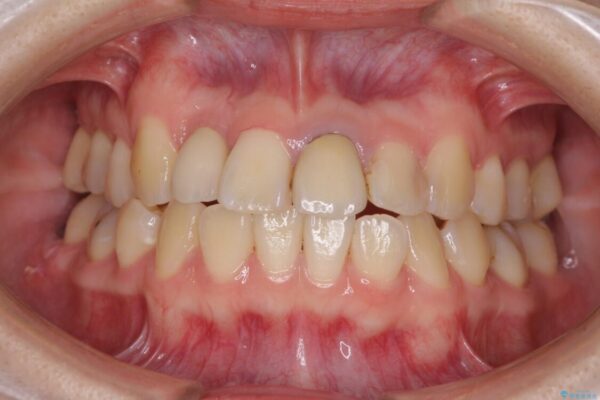
東京駅前しらゆり歯科で治療を行った根管治療の事例をいくつか下記に紹介いたします。