ortho
豊富な矯正治療症例数の歯科医師による健康的な歯列矯正を追求しています
平日11:00~20:00 / 土日10:00~18:00
ortho
歯並び(出っ歯、受け口、すきっ歯、開咬、八重歯など)、噛み合わせ、ガミースマイル(笑うと歯茎が見える)などでお悩みの場合、歯の矯正で治療ができます。本院では、従来の矯正法であるワイヤー矯正でも、最近人気のあるマウスピース矯正のどちらでも治療が可能です。
※2016年8月(開院)から2025年12月までの症例数
注目のマウスピース矯正はもちろんのこと、従来のワイヤー矯正でも数多くの治療を経験した歯科医師が診療に当たっておりますので、患者様には安心して、また快適に治療を受けていただくことができます。

本院は総合歯科医院であるため、歯周病やセラミック治療など、矯正以外の治療が必要になった場合でも、原則として矯正治療を担当する歯科医師にて診療を行います。歯科医師間での情報のやりとりなどがないため、非常にスムーズな治療を受けていただけます。(主たる担当医を中心とした複数の歯科医師で診療を行っております)

※各治療は自由診療となります
カウンセリングと検査終了後に矯正治療の総額費用を提示しております。(事前提示以外の追加料金は一切かかりません)なお、ワイヤー矯正であれば「矯正装置 x 治療難易度」で算出しており、マウスピース矯正であれば「各メーカー x 治療難易度」で算出しております。
裏側矯正(ハーフリンガル):1,100,000円~
マウスピース矯正(インビザライン)770,000円~
※部分矯正はご相談ください。
本院は、歯並びの症状や患者様のご要望を伺ったうえで、様々な矯正治療法や装置をご提示しております。
食事や歯磨き時には簡単に装置を取り外すことができるマウスピース型の矯正装置を使用します。最近では難しい症状でも治療ができるようになってきています。

歯の表側に矯正装置を装着する治療法です。昔ながらの矯正法で、いまは装置が白色で目立ちにくい審美装置などがあります。

歯の裏側(舌側)に矯正装置を装着する治療法です。上下ともに裏側につけるフルリンガル、上の歯だけ裏側に装着するハーフリンガルがあります。

※非抜歯治療(抜かない矯正)や部分矯正についても行っておりますので、矯正医にご相談ください。
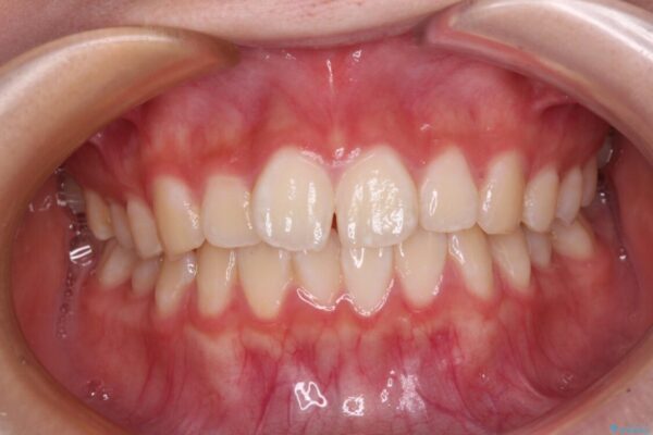
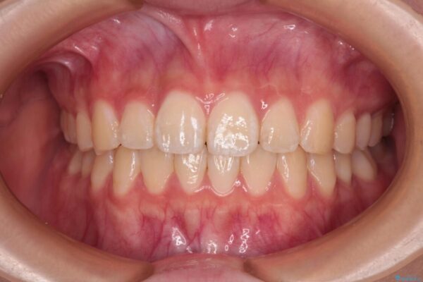
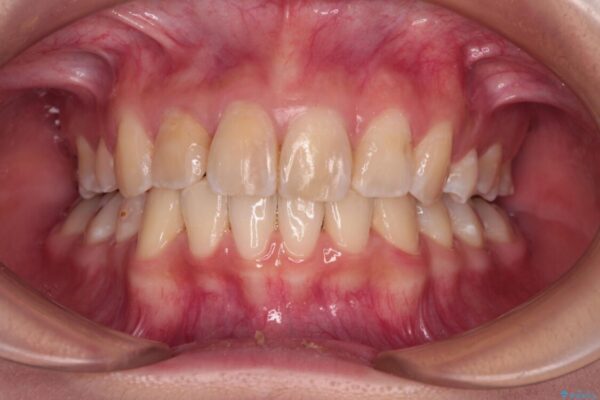
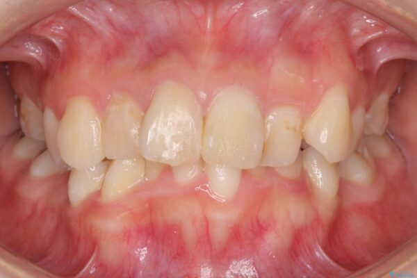
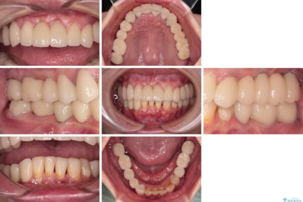
東京駅前しらゆり歯科で治療を行った矯正歯科(歯列矯正)の事例をいくつか下記に紹介いたします。