総合歯科治療 の症例

東京駅前しらゆり歯科

電話でのご予約、お問い合わせ
03-3231-0777

平日11:00~20:00 / 土日10:00~18:00

CASES

総合歯科治療の症例一覧

総合歯科治療の症例

東京駅前しらゆり歯科の総合歯科治療の症例一覧ページです。当院では、偏りのない、包括的な精密歯科治療で口腔内全体を診療しております。

院長、藤巻太一朗の症例は以下もご参照ください。
(https://seimitsushinbi.jp/case/?doc=14)

「抜歯してブリッジ」と言われた20代女性が選んだ治療とは|たった4か月で自然な笑顔に抜歯即時インプラント+審美補綴の症例

「抜歯してブリッジ」と言われた20代女性が選んだ治療とは|たった4か月で自然な笑顔に抜歯即時インプラント+審美補綴の症例 ビフォー 「抜歯してブリッジ」と言われた20代女性が選んだ治療とは|たった4か月で自然な笑顔に抜歯即時インプラント+審美補綴の症例 アフター

20代女性の患者様。 他院にて「上の前歯(右上中切歯)は抜歯してインプラントかブリッジにする必要がある」と診断され、大変ショックを受けられていました。 すでに根管治療を受けた歯でしたが、急に担当医が変わり、「抜歯が必要」とだけ説明されたことに不安感を抱き、当院を受診されました。 左上中切歯と犬歯も仮歯のままで、将来への不安が大きかったご様子です。

この症例の詳細

挺出歯を圧下してスペースを確保!目立たない部分矯正で下顎大臼歯にインプラント治療を実現

挺出歯を圧下してスペースを確保!目立たない部分矯正で下顎大臼歯にインプラント治療を実現 ビフォー 挺出歯を圧下してスペースを確保!目立たない部分矯正で下顎大臼歯にインプラント治療を実現 アフター

「1年前に抜歯した右下の奥歯にインプラントを入れたい」とのことで来院されました。

この症例の詳細

放置したインプラントとインビザライン 全顎リカバリー治療

放置したインプラントとインビザライン 全顎リカバリー治療 ビフォー 放置したインプラントとインビザライン 全顎リカバリー治療 アフター

ご主人が当院に通院されていたことで、ご紹介により来院されました。 以前通院していた医院で、奥歯のインプラント埋入、前歯部のインビザライン矯正を行ったものの、そのまま放置してしまったとのことで来院された患者様です。

この症例の詳細

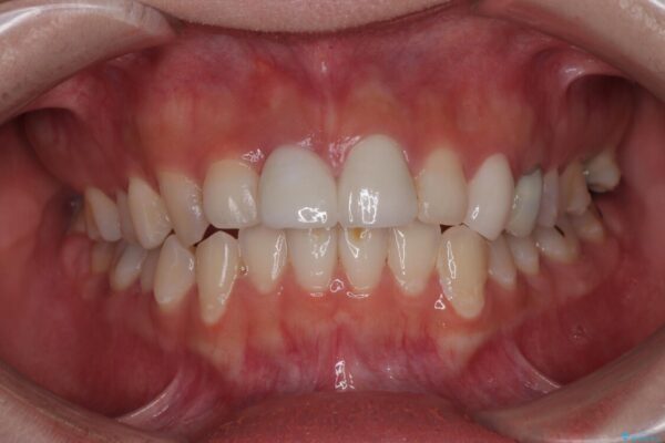
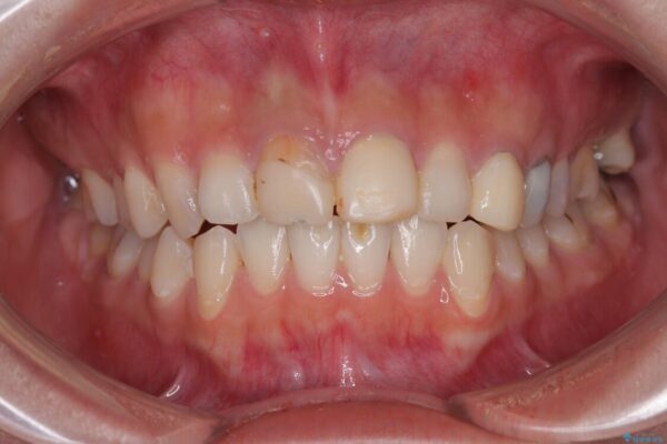
むし歯だらけの前歯をオールセラミッククラウンできれいに

むし歯だらけの前歯をオールセラミッククラウンできれいに ビフォー むし歯だらけの前歯をオールセラミッククラウンできれいに アフター

上下前歯や奥歯の虫歯治療を希望して来院された患者様です。

この症例の詳細

インビザラインによる矯正治療と奥歯のインプラント治療

インビザラインによる矯正治療と奥歯のインプラント治療 ビフォー インビザラインによる矯正治療と奥歯のインプラント治療 アフター

全体的なデコボコと、以前抜歯した歯のスペースを閉じた部分が気になるとのことで来院された患者様です。

この症例の詳細

前歯をきれいにしたい インプラントや部分矯正を用いた総合歯科治療

前歯をきれいにしたい インプラントや部分矯正を用いた総合歯科治療 ビフォー 前歯をきれいにしたい インプラントや部分矯正を用いた総合歯科治療 アフター

抜歯の必要な前歯や、以前治療した前歯のクラウンの外観を気にして来院された患者様です。

この症例の詳細

割れてしまった奥歯とデコボコの前歯 矯正治療とインプラント治療

割れてしまった奥歯とデコボコの前歯 矯正治療とインプラント治療 ビフォー 割れてしまった奥歯とデコボコの前歯 矯正治療とインプラント治療 アフター

奥歯の痛みと前歯のデコボコを気にして来院された患者様です。

この症例の詳細

詰め物の外れてしまった奥歯 部分矯正で歯列を整えてから補綴治療

詰め物の外れてしまった奥歯 部分矯正で歯列を整えてから補綴治療 ビフォー 詰め物の外れてしまった奥歯 部分矯正で歯列を整えてから補綴治療 アフター

奥歯の詰め物が外れてしまったとのことで来院された患者様です。

この症例の詳細

飛び出した前歯と目立つ銀歯 矯正とセラミックの総合歯科診療

飛び出した前歯と目立つ銀歯 矯正とセラミックの総合歯科診療 ビフォー 飛び出した前歯と目立つ銀歯 矯正とセラミックの総合歯科診療 アフター

飛び出している上顎前歯と、奥歯に多くある銀歯を気にして来院された患者様です。

この症例の詳細

24時間受付 Web申し込み


無料カウンセリング予約

無料の個別相談(予約制)を実施しております

医院直通 電話予約
03-3231-0777

平日 11:00~20:00 / 土日 10:00~18:00

※ お電話での治療に関するご相談は、ドクターによる対応ができないためお受けできません