歯周病治療 の症例

東京駅前しらゆり歯科

電話でのご予約、お問い合わせ
03-3231-0777

平日11:00~20:00 / 土日10:00~18:00

CASES

歯周病治療の症例一覧

歯周病治療の症例

東京駅前しらゆり歯科の歯周病治療症例一覧ページです。歯周外科治療・歯周組織再生療法(歯茎・歯槽骨再生)の治療例をご紹介しております。

院長、藤巻太一朗の症例は以下もご参照ください。
(https://seimitsushinbi.jp/case/?doc=14)

抜歯と言われた歯 部分矯正と歯周外科処置で抜かずに保存

抜歯と言われた歯 部分矯正と歯周外科処置で抜かずに保存 ビフォー 抜歯と言われた歯 部分矯正と歯周外科処置で抜かずに保存 アフター

クラウンがもげてしまった歯が抜歯と言われたとのことで来院された患者様です。

この症例の詳細

追加のインプラントと、歯肉移植による磨きやすい歯肉に改善

追加のインプラントと、歯肉移植による磨きやすい歯肉に改善 ビフォー 追加のインプラントと、歯肉移植による磨きやすい歯肉に改善 アフター

一度治療を終えたものの、奥歯へインプラントの追加を希望された患者様です。

この症例の詳細

薄くて退縮しやすい前歯の歯肉 補綴治療前に歯肉移植で退縮しにくく

薄くて退縮しやすい前歯の歯肉 補綴治療前に歯肉移植で退縮しにくく ビフォー 薄くて退縮しやすい前歯の歯肉 補綴治療前に歯肉移植で退縮しにくく アフター

前歯のオールセラミック治療を検討しているとのことで来院された患者様です。 前歯は着色や虫歯治療の跡が目立っている状態で、オールセラミッククラウンによる審美治療を希望されていました。

この症例の詳細

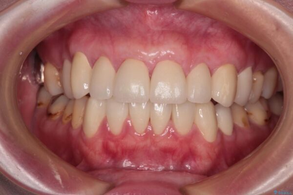
歯周病で痛い 全顎的歯周病治療

歯周病で痛い 全顎的歯周病治療 ビフォー 歯周病で痛い 全顎的歯周病治療 アフター

歯周病を放置したことで奥歯が抜け、前歯も痛くなってきたとのことで来院された患者様です。

この症例の詳細

ものが挟まって痛む 割れてしまった歯のオールセラミックブリッジ治療

ものが挟まって痛む 割れてしまった歯のオールセラミックブリッジ治療 ビフォー ものが挟まって痛む 割れてしまった歯のオールセラミックブリッジ治療 アフター

奥歯に物が挟まり、痛みを感じるとのことで来院された患者様です。

この症例の詳細

長く見える歯を治したい 歯肉移植による歯肉増大術

長く見える歯を治したい 歯肉移植による歯肉増大術 ビフォー 長く見える歯を治したい 歯肉移植による歯肉増大術 アフター

前歯を2本抜歯した後に装着した仮歯が長く見えるのが気になるとのことで来院された患者様です。

この症例の詳細

矯正治療で退縮してしまった歯肉 歯肉移植で自然な前歯に

矯正治療で退縮してしまった歯肉 歯肉移植で自然な前歯に ビフォー 矯正治療で退縮してしまった歯肉 歯肉移植で自然な前歯に アフター

他院で矯正治療を終えた結果、上顎前歯の歯肉が退縮してしまい、根が見えていることが気になるとのことで来院された患者様です。

この症例の詳細

年々下がる歯茎を何とかしたい 歯肉移植術による根面被覆

年々下がる歯茎を何とかしたい 歯肉移植術による根面被覆 ビフォー 年々下がる歯茎を何とかしたい 歯肉移植術による根面被覆 アフター

年々歯肉退縮が進行することを気にして来院された患者様です。

この症例の詳細

歯根が見えてしみる 歯肉移植による歯肉退縮の改善

歯根が見えてしみる 歯肉移植による歯肉退縮の改善 ビフォー 歯根が見えてしみる 歯肉移植による歯肉退縮の改善 アフター

下顎前歯の歯根面が露出し、しみてしまうとのことで来院された患者様です。

この症例の詳細

被せものが入れられない 外科処置を行ったセラミック治療

被せものが入れられない 外科処置を行ったセラミック治療 ビフォー 被せものが入れられない 外科処置を行ったセラミック治療 アフター

奥歯の虫歯治療を希望したものの、歯の高さが足りなくて治療ができないと言われ、来院された患者様です。

この症例の詳細

歯周病治療の注意事項(リスク・副作用など)

  • 外科手術のため、術後に痛みや腫れ、違和感を伴います
  • 歯周組織再生治療は患者様の状態によって術後の経過が異なります(見た目が改善しない場合もあります)
  • 歯周組織再生治療は自費診療(保険適用外)となります

24時間受付 Web申し込み


無料カウンセリング予約

無料の個別相談(予約制)を実施しております

医院直通 電話予約
03-3231-0777

平日 11:00~20:00 / 土日 10:00~18:00

※ お電話での治療に関するご相談は、ドクターによる対応ができないためお受けできません