症例(全764症例公開)

最新の症例
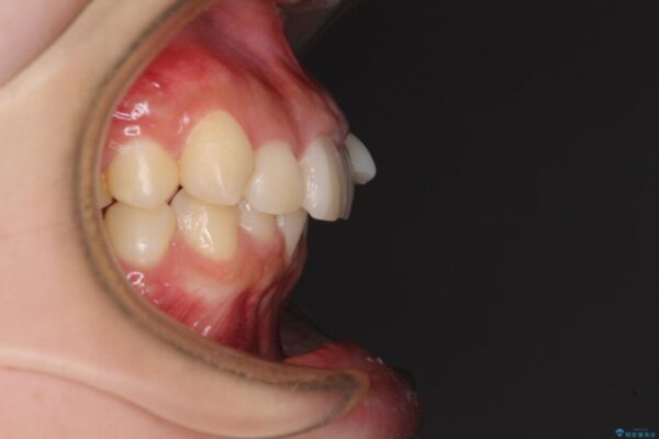
「八重歯を治したい」とご相談いただいた患者様の症例をご紹介します。
この症例の詳細
「前歯のねじれを改善したい」とのご希望で当院に来院された患者様です。
この症例の詳細
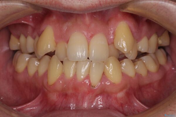
主訴:前歯のデコボコと奥歯のかみ合わせを治したい
今回ご紹介するのは、「前歯のガタガタ(叢生)」と「奥歯のかみ合わせ(シザーズバイト)」にお悩みでご来院された患者様の症例です。
患者様は、
・歯並びをできるだけ早く改善したい
・費用を抑えた矯正治療
というご要望をお持ちでした。
この症例の詳細
「以前に根管治療をした歯が、噛むと違和感がある」とのことでご来院された患者様の症例です。
患者様は、数年前に他院で根管治療を受けたとのことでしたが、被せもの(クラウン)は装着されていない状態でした。
噛んだときの違和感が慢性的にあり、食事中も気になるとのことで当院にご相談いただきました。
レントゲン検査では、根の先端に透過像(根尖病変の可能性)が見られ、過去の治療ではラバーダム防湿が使用されていなかったそうです。
この症例の詳細
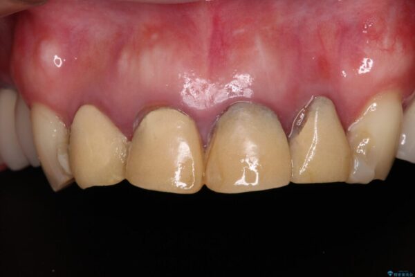
20代女性の患者様。
他院にて「上の前歯(右上中切歯)は抜歯してインプラントかブリッジにする必要がある」と診断され、大変ショックを受けられていました。
すでに根管治療を受けた歯でしたが、急に担当医が変わり、「抜歯が必要」とだけ説明されたことに不安感を抱き、当院を受診されました。
左上中切歯と犬歯も仮歯のままで、将来への不安が大きかったご様子です。
この症例の詳細
「下の前歯のデコボコを治したい」と来院された患者様です。
この症例の詳細
「1年前に抜歯した右下の奥歯にインプラントを入れたい」とのことで来院されました。
この症例の詳細
「以前治療した歯の被せものが外れてしまった」とのことで、右上の小臼歯の被せもの脱離を主訴に来院されました。
この症例の詳細
「歯並びがデコボコしていて、上下の中心がズレているのが気になる…」という悩みで来院された患者さまの症例をご紹介します。
この症例の詳細
「前歯のデコボコ(叢生)をきれいに整えたい」とのことでご来院されました。
この症例の詳細
医院直通 電話予約
※ お電話での治療に関するご相談は、ドクターによる対応ができないためお受けできません