インプラント治療 の症例

東京駅前しらゆり歯科

電話でのご予約、お問い合わせ
03-3231-0777

平日11:00~20:00 / 土日10:00~18:00

CASES

インプラント治療の症例一覧

インプラント治療の症例

東京駅前しらゆり歯科のインプラント治療症例一覧ページです。前歯・奥歯のインプラント症例、ストローマンのインプラント症例など、治療例をご紹介しております。

院長、藤巻太一朗の症例は以下もご参照ください。
(https://seimitsushinbi.jp/case/?doc=14)

「抜歯してブリッジ」と言われた20代女性が選んだ治療とは|たった4か月で自然な笑顔に抜歯即時インプラント+審美補綴の症例

「抜歯してブリッジ」と言われた20代女性が選んだ治療とは|たった4か月で自然な笑顔に抜歯即時インプラント+審美補綴の症例 ビフォー 「抜歯してブリッジ」と言われた20代女性が選んだ治療とは|たった4か月で自然な笑顔に抜歯即時インプラント+審美補綴の症例 アフター

20代女性の患者様。 他院にて「上の前歯(右上中切歯)は抜歯してインプラントかブリッジにする必要がある」と診断され、大変ショックを受けられていました。 すでに根管治療を受けた歯でしたが、急に担当医が変わり、「抜歯が必要」とだけ説明されたことに不安感を抱き、当院を受診されました。 左上中切歯と犬歯も仮歯のままで、将来への不安が大きかったご様子です。

この症例の詳細

挺出歯を圧下してスペースを確保!目立たない部分矯正で下顎大臼歯にインプラント治療を実現

挺出歯を圧下してスペースを確保!目立たない部分矯正で下顎大臼歯にインプラント治療を実現 ビフォー 挺出歯を圧下してスペースを確保!目立たない部分矯正で下顎大臼歯にインプラント治療を実現 アフター

「1年前に抜歯した右下の奥歯にインプラントを入れたい」とのことで来院されました。

この症例の詳細

空いている時間を利用して通院 奥歯のインプラント治療

空いている時間を利用して通院 奥歯のインプラント治療 ビフォー 空いている時間を利用して通院 奥歯のインプラント治療 アフター

大学病院でインプラント治療を進めていたものの、予約のタイミングが合わないとのことで来院された患者様です。

この症例の詳細

インビザラインによる矯正治療と奥歯のインプラント治療

インビザラインによる矯正治療と奥歯のインプラント治療 ビフォー インビザラインによる矯正治療と奥歯のインプラント治療 アフター

全体的なデコボコと、以前抜歯した歯のスペースを閉じた部分が気になるとのことで来院された患者様です。

この症例の詳細

前歯をきれいにしたい インプラントや部分矯正を用いた総合歯科治療

前歯をきれいにしたい インプラントや部分矯正を用いた総合歯科治療 ビフォー 前歯をきれいにしたい インプラントや部分矯正を用いた総合歯科治療 アフター

抜歯の必要な前歯や、以前治療した前歯のクラウンの外観を気にして来院された患者様です。

この症例の詳細

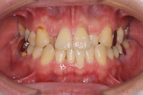
割れてしまった奥歯とデコボコの前歯 矯正治療とインプラント治療

割れてしまった奥歯とデコボコの前歯 矯正治療とインプラント治療 ビフォー 割れてしまった奥歯とデコボコの前歯 矯正治療とインプラント治療 アフター

奥歯の痛みと前歯のデコボコを気にして来院された患者様です。

この症例の詳細

後戻りでデコボコの前歯 インビザライン矯正治療

後戻りでデコボコの前歯 インビザライン矯正治療 ビフォー 後戻りでデコボコの前歯 インビザライン矯正治療 アフター

高校時代に行った抜歯矯正が後戻りをしたとのことで来院された患者様です。

この症例の詳細

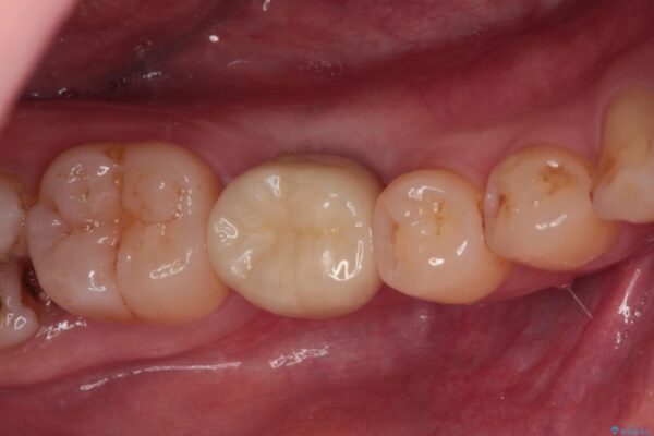
追加のインプラントと、歯肉移植による磨きやすい歯肉に改善

追加のインプラントと、歯肉移植による磨きやすい歯肉に改善 ビフォー 追加のインプラントと、歯肉移植による磨きやすい歯肉に改善 アフター

一度治療を終えたものの、奥歯へインプラントの追加を希望された患者様です。

この症例の詳細

奥歯のセラミックがすぐに壊れる 欠損した奥歯へのインプラント治療

奥歯のセラミックがすぐに壊れる 欠損した奥歯へのインプラント治療 ビフォー 奥歯のセラミックがすぐに壊れる 欠損した奥歯へのインプラント治療 アフター

歯が欠損したままの奥歯のクラウンが欠けているとのことで来院された患者様です。

この症例の詳細

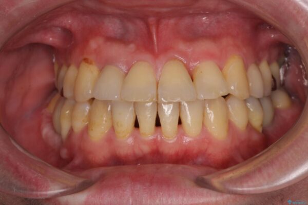
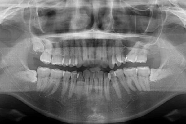
歯が全く咬みあわない 矯正と補綴の全顎治療

歯が全く咬みあわない 矯正と補綴の全顎治療 ビフォー 歯が全く咬みあわない 矯正と補綴の全顎治療 アフター

右下の奥歯が痛く、全体的に咬み合わせがおかしい気がするとのことで来院された患者様です。

この症例の詳細

インプラント治療の注意事項(リスク・副作用など)

  • 外科手術のため、術後に痛みや腫れ、違和感を伴います
  • メンテナンスを怠ったり喫煙により、お口の中に大きな悪影響を及ぼすインプラント周囲炎等にかかる可能性があります
  • 糖尿病、肝硬変、心臓病等の場合、インプラント治療ができない可能性があります
  • 高血圧、貧血・不整脈等の場合、インプラント治療後に治癒不全を招く可能性があります
  • 自費診療(保険適用外治療)となります

24時間受付 Web申し込み


無料カウンセリング予約

無料の個別相談(予約制)を実施しております

医院直通 電話予約
03-3231-0777

平日 11:00~20:00 / 土日 10:00~18:00

※ お電話での治療に関するご相談は、ドクターによる対応ができないためお受けできません