根管治療 の症例

東京駅前しらゆり歯科

電話でのご予約、お問い合わせ
03-3231-0777

平日11:00~20:00 / 土日10:00~18:00

CASES

根管治療の症例一覧

根管治療の症例

東京駅前しらゆり歯科の根管治療症例一覧ページです。リトリートメント・イニシャルトリートメント・生活歯髄療法・外科的歯内療法などの歯内療法治療例をご紹介しております。

院長、藤巻太一朗の症例は以下もご参照ください。
(https://seimitsushinbi.jp/case/?doc=14)

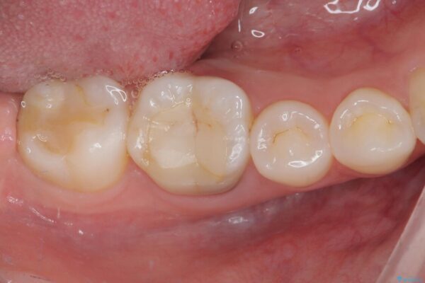
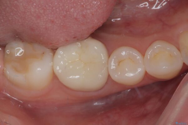
ラバーダム使用で再感染リスクを抑えた再根管治療+精密な補綴による長期安定を実現

ラバーダム使用で再感染リスクを抑えた再根管治療+精密な補綴による長期安定を実現 ビフォー ラバーダム使用で再感染リスクを抑えた再根管治療+精密な補綴による長期安定を実現 アフター

「以前に根管治療をした歯が、噛むと違和感がある」とのことでご来院された患者様の症例です。 患者様は、数年前に他院で根管治療を受けたとのことでしたが、被せもの(クラウン)は装着されていない状態でした。 噛んだときの違和感が慢性的にあり、食事中も気になるとのことで当院にご相談いただきました。 レントゲン検査では、根の先端に透過像(根尖病変の可能性)が見られ、過去の治療ではラバーダム防湿が使用されていなかったそうです。

この症例の詳細

「抜歯してブリッジ」と言われた20代女性が選んだ治療とは|たった4か月で自然な笑顔に抜歯即時インプラント+審美補綴の症例

「抜歯してブリッジ」と言われた20代女性が選んだ治療とは|たった4か月で自然な笑顔に抜歯即時インプラント+審美補綴の症例 ビフォー 「抜歯してブリッジ」と言われた20代女性が選んだ治療とは|たった4か月で自然な笑顔に抜歯即時インプラント+審美補綴の症例 アフター

20代女性の患者様。 他院にて「上の前歯(右上中切歯)は抜歯してインプラントかブリッジにする必要がある」と診断され、大変ショックを受けられていました。 すでに根管治療を受けた歯でしたが、急に担当医が変わり、「抜歯が必要」とだけ説明されたことに不安感を抱き、当院を受診されました。 左上中切歯と犬歯も仮歯のままで、将来への不安が大きかったご様子です。

この症例の詳細

治療をしても違和感の続く奥歯 神経を極力残した虫歯治療

治療をしても違和感の続く奥歯 神経を極力残した虫歯治療 ビフォー 治療をしても違和感の続く奥歯 神経を極力残した虫歯治療 アフター

痛みを感じ近医を受診したものの、違和感が改善しないとのことで来院された患者様です。

この症例の詳細

奥歯がズキズキと痛む 奥歯の虫歯治療

奥歯がズキズキと痛む 奥歯の虫歯治療 ビフォー 奥歯がズキズキと痛む 奥歯の虫歯治療 アフター

奥歯がズキズキと痛み、食事で噛むことができないとのことで来院された患者様です。 以前治療を受けたとき、むし歯が大きかったため、神経組織が炎症を起こす可能性があると指摘をされていたとのことでした。

この症例の詳細

前歯をきれいにしたい インプラントや部分矯正を用いた総合歯科治療

前歯をきれいにしたい インプラントや部分矯正を用いた総合歯科治療 ビフォー 前歯をきれいにしたい インプラントや部分矯正を用いた総合歯科治療 アフター

抜歯の必要な前歯や、以前治療した前歯のクラウンの外観を気にして来院された患者様です。

この症例の詳細

むし歯で歯茎から血が出てくる オールセラミッククラウンでの補綴治療

むし歯で歯茎から血が出てくる オールセラミッククラウンでの補綴治療 ビフォー むし歯で歯茎から血が出てくる オールセラミッククラウンでの補綴治療 アフター

以前他院にて処置をした歯の歯肉からの出血するとのことで来院された患者様です。

この症例の詳細

何もしなくても歯がズキズキ痛い 根管治療とオールセラミッククラウンによる補綴

何もしなくても歯がズキズキ痛い 根管治療とオールセラミッククラウンによる補綴 ビフォー 何もしなくても歯がズキズキ痛い 根管治療とオールセラミッククラウンによる補綴 アフター

数日前から左下の奥歯がズキズキと脈をうつような痛みがあるとのことで来院された患者様です。

この症例の詳細

下顎大臼歯の再根管治療とオールセラミッククラウンによる補綴治療

下顎大臼歯の再根管治療とオールセラミッククラウンによる補綴治療 ビフォー 下顎大臼歯の再根管治療とオールセラミッククラウンによる補綴治療 アフター

左下の奥歯の被せものが外れ、噛むと痛みがあると来院された患者様です。

この症例の詳細

転んでぶつけて抜歯 前歯のオールセラミックブリッジ

転んでぶつけて抜歯 前歯のオールセラミックブリッジ ビフォー 転んでぶつけて抜歯 前歯のオールセラミックブリッジ アフター

酒席の後に転倒して前歯を損傷し、応急処置のみを受けてきたとのことで来院された患者様です。

この症例の詳細

根管治療の注意事項(リスク・副作用など)

  • 根管治療により類似の全ての症例の問題が解決するわけではなく、症例はあくまでも一例です
  • 根管治療により痛みや腫れがひかない事や、術後に痛みや腫れが生じる事、治療によるファイル破折やパーフォレーションなどの偶発症、術後の歯根破折を生じる可能性もあります
  • 自費診療(保険適用外治療)となります

24時間受付 Web申し込み


無料カウンセリング予約

無料の個別相談(予約制)を実施しております

医院直通 電話予約
03-3231-0777

平日 11:00~20:00 / 土日 10:00~18:00

※ お電話での治療に関するご相談は、ドクターによる対応ができないためお受けできません