ワイヤー矯正 の症例

東京駅前しらゆり歯科

電話でのご予約、お問い合わせ
03-3231-0777

平日11:00~20:00 / 土日10:00~18:00

CASES

ワイヤー矯正の症例一覧

ワイヤー矯正の症例

東京駅前しらゆり歯科の矯正歯科治療症例一覧ページです。表側矯正(クリアブラケット、審美装置)・裏側矯正(ハーフリンガル・フルリンガル)など、歯列矯正治療例をご紹介しております。

院長、藤巻太一朗の症例は以下もご参照ください。
(https://seimitsushinbi.jp/case/?doc=14)

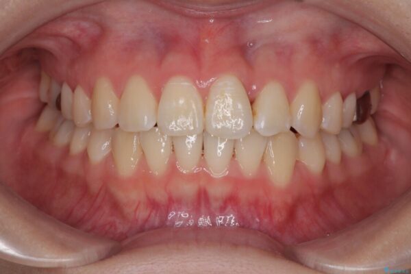
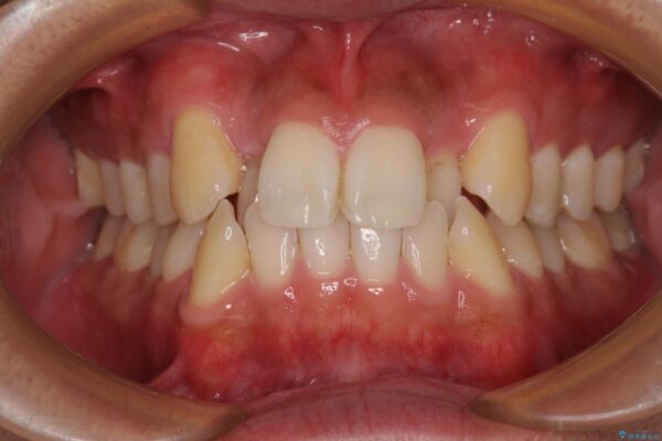
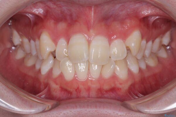
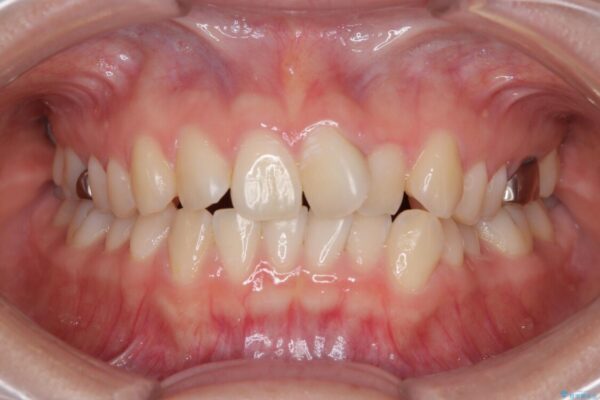
八重歯と前歯のガタガタを抜歯矯正で治療|クリアブラケット使用例

八重歯と前歯のガタガタを抜歯矯正で治療|クリアブラケット使用例 ビフォー 八重歯と前歯のガタガタを抜歯矯正で治療|クリアブラケット使用例 アフター

「八重歯を治したい」とご相談いただいた患者様の症例をご紹介します。

この症例の詳細

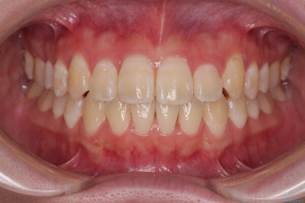
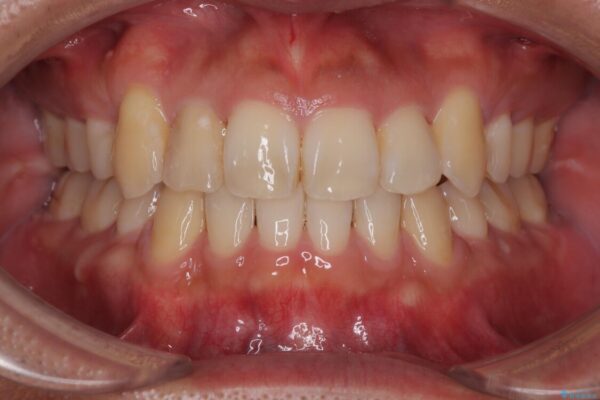
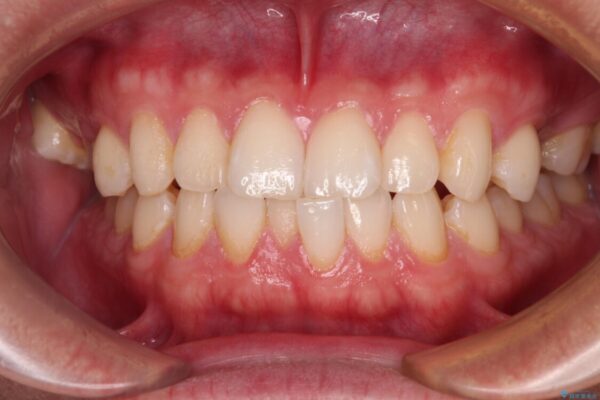
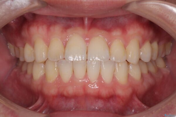
前歯のガタガタ・奥歯のかみ合わせ(シザーズバイト)を改善|1年半で完了したメタルブラケット矯正

前歯のガタガタ・奥歯のかみ合わせ(シザーズバイト)を改善|1年半で完了したメタルブラケット矯正 ビフォー 前歯のガタガタ・奥歯のかみ合わせ(シザーズバイト)を改善|1年半で完了したメタルブラケット矯正 アフター

主訴:前歯のデコボコと奥歯のかみ合わせを治したい 今回ご紹介するのは、「前歯のガタガタ(叢生)」と「奥歯のかみ合わせ(シザーズバイト)」にお悩みでご来院された患者様の症例です。 患者様は、 ・歯並びをできるだけ早く改善したい ・費用を抑えた矯正治療 というご要望をお持ちでした。

この症例の詳細

挺出歯を圧下してスペースを確保!目立たない部分矯正で下顎大臼歯にインプラント治療を実現

挺出歯を圧下してスペースを確保!目立たない部分矯正で下顎大臼歯にインプラント治療を実現 ビフォー 挺出歯を圧下してスペースを確保!目立たない部分矯正で下顎大臼歯にインプラント治療を実現 アフター

「1年前に抜歯した右下の奥歯にインプラントを入れたい」とのことで来院されました。

この症例の詳細

1年でここまで変わる!歯列のがたつきと正中のズレを改善した矯正治療(メタルブラケット×MARPE)

1年でここまで変わる!歯列のがたつきと正中のズレを改善した矯正治療(メタルブラケット×MARPE) ビフォー 1年でここまで変わる!歯列のがたつきと正中のズレを改善した矯正治療(メタルブラケット×MARPE) アフター

「歯並びがデコボコしていて、上下の中心がズレているのが気になる…」という悩みで来院された患者さまの症例をご紹介します。

この症例の詳細

【モニター】前歯のデコボコをスッキリ解消!目立ちにくいワイヤー矯正でスピーディに治療完了

【モニター】前歯のデコボコをスッキリ解消!目立ちにくいワイヤー矯正でスピーディに治療完了 ビフォー 【モニター】前歯のデコボコをスッキリ解消!目立ちにくいワイヤー矯正でスピーディに治療完了 アフター

「前歯のデコボコ(叢生)をきれいに整えたい」とのことでご来院されました。

この症例の詳細

転勤でも安心して治療継続 抜歯スペース閉鎖と深い噛み合わせ改善のワイヤー矯正

転勤でも安心して治療継続 抜歯スペース閉鎖と深い噛み合わせ改善のワイヤー矯正 ビフォー 転勤でも安心して治療継続 抜歯スペース閉鎖と深い噛み合わせ改善のワイヤー矯正 アフター

転勤により東京へ移られることになり転院先を探されていた患者様です。

この症例の詳細

口元の突出感を改善!目立ちにくいワイヤー矯正で自信を持てる自然な横顔に

口元の突出感を改善!目立ちにくいワイヤー矯正で自信を持てる自然な横顔に ビフォー 口元の突出感を改善!目立ちにくいワイヤー矯正で自信を持てる自然な横顔に アフター

「横から見ると唇が前に出て見えるのが気になる…」 「マスクを外すのが恥ずかしい…」 そんな口元の突出感に悩まれてご来院された患者様。

この症例の詳細

前歯でものを噛みきりたい 目立たない装置でのワイヤー矯正

前歯でものを噛みきりたい 目立たない装置でのワイヤー矯正 ビフォー 前歯でものを噛みきりたい 目立たない装置でのワイヤー矯正 アフター

前歯でものを噛みきりたいとのことで来院された患者様です。

この症例の詳細

ワイヤー矯正の注意事項(リスク・副作用など)

  • 治療中は違和感や痛みが起こることがあります
  • 症状により、抜歯が必要な場合があります
  • 治療中は歯磨きがしにくくなるため、虫歯や歯周病になりやすくなります
  • 矯正治療後の保定が不十分だと後戻り(元の位置に戻ろうとする動き)をします
  • 自費診療(保険適用外治療)となります

24時間受付 Web申し込み


無料カウンセリング予約

無料の個別相談(予約制)を実施しております

医院直通 電話予約
03-3231-0777

平日 11:00~20:00 / 土日 10:00~18:00

※ お電話での治療に関するご相談は、ドクターによる対応ができないためお受けできません