implant
東京駅・日本橋駅での精密インプラント治療は東京駅前しらゆり歯科
平日11:00~20:00 / 土日10:00~18:00
implant
歯の根を失ってしまった場合の治療法の一つです。「他の歯を削らないで済む」「他の歯の負担を軽減できる」などのメリットの反面、「外科療法(手術)」「自費診療」というデメリットもあります。
歯の根を失ってしまった場合、なるべく早く治療をすることが大切です。そのまま放置してしまうと、なくなった歯のスペースを埋めるために隣の歯などが動きます。すると、上下の噛み合わせが悪なってしまい、別の治療が必要になってしまうケースが少なくありません。
入れ歯やブリッジといった治療法もありますが、ご自身の歯と同じように噛めるようになるのがインプラント治療です。

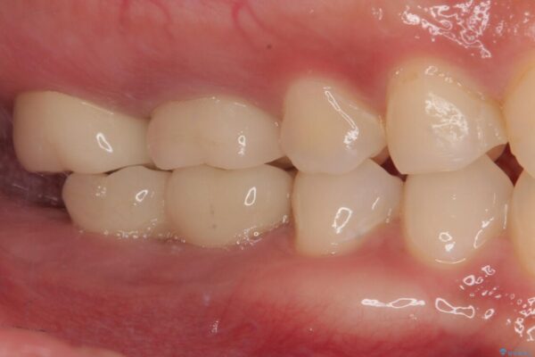
治療手順としては、まず歯の根の代わりにするためにインプラント(フィクスチャー)を埋入します。インプラント埋入後に、アバットメント(被せ物を支えるための土台)を設置し、その上にセラミックなどの被せ物を装着して完了です。
インプラントを埋めた歯を長期間持たせるため、拡大鏡やマイクロスコープなどの精密機器を使用した治療を行っています。

歯科用インプラントメーカーは多数ありますがその中でも、世界的なトップシェアを持ち実績があるストローマン社製のインプラントと抜歯即時埋入(1Dayインプラント)に適したMega’Gen(メガジェン)社製のインプラントを採用しています。


本院には歯周病治療や根管治療のエキスパート医師が在籍しています。そのため、重度の歯周病や歯髄炎・感染根管の方でも、再生治療や根管治療を行うことで、歯を抜かずに済む(= インプラントにしないで済む)可能性があります。

※各治療は自由診療となります
本院では、患者様の骨の状態に応じて最良のインプラント治療法をご提示しています。例えば、歯茎や骨の量が十分な場合、総額319,000円(税込)から行えます。また、万が一の場合に備え、インプラント本体や被せ物などに補償期間があります。※デンタルローン(分割払い)や各種クレジットカードもご利用いただけます。
遠方からの患者様や忙しい方のために、1回あたりの治療時間を充分にいただくことで、通院回数や治療期間を短くする短期集中治療を行っています。
インプラント治療は手術を要するため、恐怖心を持っていたり不安・緊張感を感じている方が少なくありません。そこで本院では、経験が豊富な歯科医師による静脈内鎮静法で、不安や緊張感を最小限に抑制し、円滑で快適な治療を受けていただけます。


従来から「即時荷重法」というインプラント一回法はありましたが、埋入後の固定などに課題があり多くは実施していませんでした。しかし、1Dayインプラントに特化して開発されたメガジェン(Mega’Gen)のインプラントシステムが高い初期固定を実現したことにより、採用しました。


従来のインプラント治療は、抜歯後数ヶ月の骨の回復期間を経て、インプラント埋入を行い、さらに数ヶ月の骨とインプラントの結合期間を経て、被せ物装着となります。そのため、治療期間は6~12ヶ月程度となります。
一方、1Dayインプラント治療は、抜歯して即時にインプラント埋入を行い、仮歯を装着します。そのため、治療期間は3ヶ月程度と短縮でき、患者様のストレスや生活への支障も少なくなります。
ストローマン社とはスイスのバーゼルに本社におき、世界の主要なクリニック、研究機関、大学と連携して、置換・修復・再生を目的とした歯科修復ソリューションのための様々な製品の研究、開発、製造に従事しており、70カ国以上で製品とサービスを展開している企業です。そのストローマン社の取り扱うストローマンインプラントとは、数多のインプラントメーカーの中で、世界シェアNo.1であり、全世界で500万人以上が治療を受けています。1974年に開発されたとても歴史の長いインプラントで、世界40ヶ国以上で使用されており、最も信頼されているインプラントの一つです。日本国内でも最大のシェアを誇っています。

ストローマン社と他のインプラントメーカーとの決定的な違いは徹底した学術主義であるということです。発表されるデータは、ユーザーの先生たちや大学の教官たちからなる、非営利団体ITI学会(International Team for Implantology)というインプラントの権威ある学会から提出されています。それらの報告内容がストローマン社にとって有利か不利かは関係なく、ユーザーの先生たちの中立なデータが豊富なのです。一方、他の多くのインプラントメーカーの報告しているデータは、メーカー側から提出されたもので中立性が確保されておらず、信頼性に劣ると思われます。
ストローマンインプラントは、各専門分野のエキスパートによって構成された営利を目的としない国際的学術研究団体であるITI学会と、骨整形外科分野で40年以上の実績を持つスイスのストローマン(Straumann)研究所が共同で開発したインプラントであり、専門のトレーニングを受けた歯科医師のみが取り扱いできる信頼性の高いインプラントです。
現在は、もともとのITIインプラントシステムという名称から、ストローマンインプラントシステムという名称に変更されていますが、製品や開発環境に変更はありません。

SLAサーフェイスとは、ストローマン社が独自に開発をしたインプラントの表面構造のことです。1998年の発売以降、手術後の5年、10年、20年という長期にわたる安定性が多くの研究により報告されています。インプラントメーカーは各社この表面性状の開発競争をしてきましたが、研究者の間ではこのSLAサーフェイスによってインプラント表面性状の開発は終わったのではないかとも言われているくらい完成度の高いものです。
また、咬合力に対する耐久性や強度の問題から、従来では比較的長いインプラントが使用されていましたが、短いインプラントでの植立が可能となったため、顎の小さい日本人に適しており、手術時に神経や血管を傷つける危険性が少なく安全です。

SLAのコンセプトをもとに新しく開発された表面構造がSLActive(エスエルアクティブ)です。SLActiveは骨とインプラントが結合する期間を最短1ヶ月にまで短縮できる革新的な治療法です。SLActiveのインプラント体は、製造から輸送、保管、実際のオペまで生理食塩水に浸した状態で管理します。そのためインプラント体が直接空気に触れることなく埋入できることから、従来より血液がからみやすくなり、より高い周辺組織の親和性を得ることができます。
その結果、骨の早期形成が促進され、治癒期間を最短1ヶ月にまで短縮が可能となりました。治療時間の短縮は、患者様の負担軽減だけでなく、最も重要な治療初期段階においてインプラントの安定性、予知性を高めることにつながります。純チタン製で、埋め込まれてから平均6~10週間で顎の骨にしっかりと結合するので、他のインプラントに比べて治療期間が短くて済みます。


過去に世界で500万人以上の患者さんに1000万本以上のストローマンインプラントが埋入され、高い成功率が報告されています。現在では年間100万人もの患者さんに使用されるまでになりました。
また近年、世界のインプラント市場でナンバー1のシェアとなりました。多くの歯科医師の支持を得ていると考えられます。特に2012年あたり日本ではインプラントトラブルの報道が多くされインプラント市場ショックのなか、他のメーカーから歯科医師が乗りかえています。
多くのユーザーが存在するということは、汎用性が高いということにも繋がります。引っ越しなどにより通院される医院が変更となった場合でも、フォローできる医院を見つけやすいという点は大きなメリットと言えます。
東京駅前しらゆり歯科で治療を行ったインプラント治療の事例をいくつか下記に紹介いたします。