【モニター】閉じにくい口元 ワイヤー装置での抜歯矯正

東京駅前しらゆり歯科

電話でのご予約、お問い合わせ
03-3231-0777

平日11:00~20:00 / 土日10:00~18:00

CASES

ワイヤー矯正の症例

【モニター】閉じにくい口元 ワイヤー装置での抜歯矯正

治療症例のビフォーアフターと詳細

患者様
20代女性
治療期間
2年2ヶ月
治療回数
10-30回
矯正装置
審美装置
概算治療費
100万円(※費用は治療当時の料金となります)
担当医
藤巻太一朗

治療動機

咬み合わせと口元の突出感を気にして来院された患者様です。

治療計画

上顎に対して、下顎が後方にある咬み合わせであるため、上顎左右小臼歯のみの抜歯か、下顎左右小臼歯も抜歯とするのか悩むところでした。
まずは上顎のみ抜歯を行って矯正治療を進め、下顎小臼歯も抜歯が必要となれば速やかに抜歯することとしました。

治療後について

上顎抜歯のみでは奥歯の咬み合わせを改善することが困難であったため、途中で下顎小臼歯も抜歯をしました。
抜歯のタイミングが遅れると治療期間が長期化するため、速やかに抜歯の判断をし、2年強の期間で治療を終えることができました。

※顔写真掲載にあたり、患者様の了解を得ております

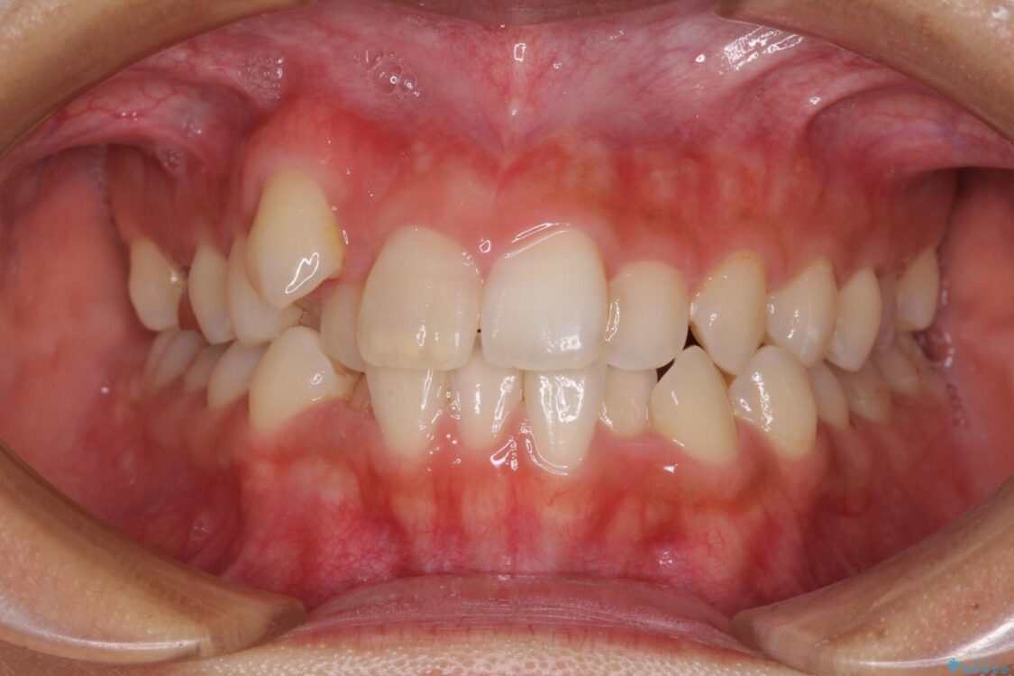
治療前
  • 【モニター】閉じにくい口元 ワイヤー装置での抜歯矯正 治療前画像
  • 【モニター】閉じにくい口元 ワイヤー装置での抜歯矯正 治療前画像
  • 【モニター】閉じにくい口元 ワイヤー装置での抜歯矯正 治療前画像
  • 【モニター】閉じにくい口元 ワイヤー装置での抜歯矯正 治療前画像
  • 【モニター】閉じにくい口元 ワイヤー装置での抜歯矯正 治療前画像
  • 【モニター】閉じにくい口元 ワイヤー装置での抜歯矯正 治療前画像
  • 【モニター】閉じにくい口元 ワイヤー装置での抜歯矯正 治療前画像
  • 【モニター】閉じにくい口元 ワイヤー装置での抜歯矯正 治療前画像
  • 【モニター】閉じにくい口元 ワイヤー装置での抜歯矯正 治療前画像
  • 【モニター】閉じにくい口元 ワイヤー装置での抜歯矯正 治療前画像
治療途中
  • 【モニター】閉じにくい口元 ワイヤー装置での抜歯矯正 治療途中画像
  • 【モニター】閉じにくい口元 ワイヤー装置での抜歯矯正 治療途中画像
  • 【モニター】閉じにくい口元 ワイヤー装置での抜歯矯正 治療途中画像
  • 【モニター】閉じにくい口元 ワイヤー装置での抜歯矯正 治療途中画像
  • 【モニター】閉じにくい口元 ワイヤー装置での抜歯矯正 治療途中画像
  • 【モニター】閉じにくい口元 ワイヤー装置での抜歯矯正 治療途中画像
治療後
  • 【モニター】閉じにくい口元 ワイヤー装置での抜歯矯正 治療後画像
  • 【モニター】閉じにくい口元 ワイヤー装置での抜歯矯正 治療後画像
  • 【モニター】閉じにくい口元 ワイヤー装置での抜歯矯正 治療後画像
  • 【モニター】閉じにくい口元 ワイヤー装置での抜歯矯正 治療後画像
  • 【モニター】閉じにくい口元 ワイヤー装置での抜歯矯正 治療後画像
  • 【モニター】閉じにくい口元 ワイヤー装置での抜歯矯正 治療後画像
  • 【モニター】閉じにくい口元 ワイヤー装置での抜歯矯正 治療後画像
  • 【モニター】閉じにくい口元 ワイヤー装置での抜歯矯正 治療後画像
  • 【モニター】閉じにくい口元 ワイヤー装置での抜歯矯正 治療後画像
  • 【モニター】閉じにくい口元 ワイヤー装置での抜歯矯正 治療後画像

ワイヤー矯正の注意事項(リスク・副作用など)

・治療中は違和感や痛みが起こることがあります。
・症状により、抜歯が必要な場合があります。
・治療中は歯磨きがしにくくなるため、虫歯や歯周病になりやすくなります。
・矯正治療後の保定が不十分だと後戻り(元の位置に戻ろうとする動き)をします。
・自費診療(保険適用外)となります。

その他の注意事項(リスク・副作用など)

・担当歯科医師、歯科衛生士又は医院スタッフから受けた説明、注意事項をよくご確認ください。
・医療を提供するに当たり、適切な説明を行い、患者様の十分な理解を得るよう努めております。

当サイトの内容、テキスト、画像等の無断転載、複製、複写、盗用を固く禁じます。

24時間受付 Web申し込み


無料カウンセリング予約

無料の個別相談(予約制)を実施しております

医院直通 電話予約
03-3231-0777

平日 11:00~20:00 / 土日 10:00~18:00

※ お電話での治療に関するご相談は、ドクターによる対応ができないためお受けできません