割れてしまった奥歯とデコボコの前歯 矯正治療とインプラント治療

東京駅前しらゆり歯科

電話でのご予約、お問い合わせ
03-3231-0777

平日11:00~20:00 / 土日10:00~18:00

CASES

総合歯科治療の症例

割れてしまった奥歯とデコボコの前歯 矯正治療とインプラント治療

治療症例のビフォーアフターと詳細

患者様
40代男性
治療期間
3年10ヶ月
治療回数
10-30回
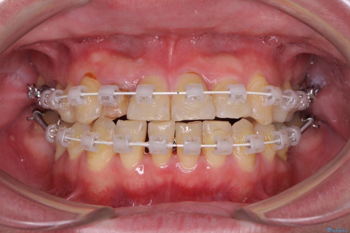
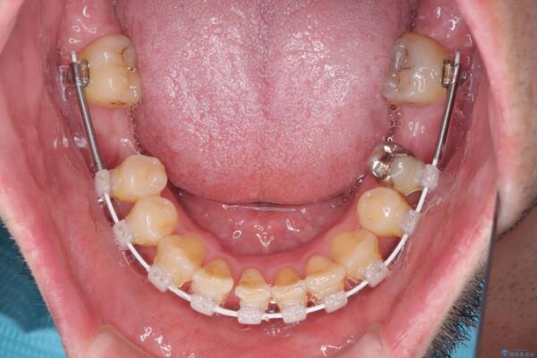
矯正装置
審美装置
概算治療費
200万円(税込)(※費用は治療当時の料金となります)
担当医
藤巻太一朗

治療動機

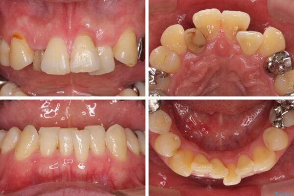
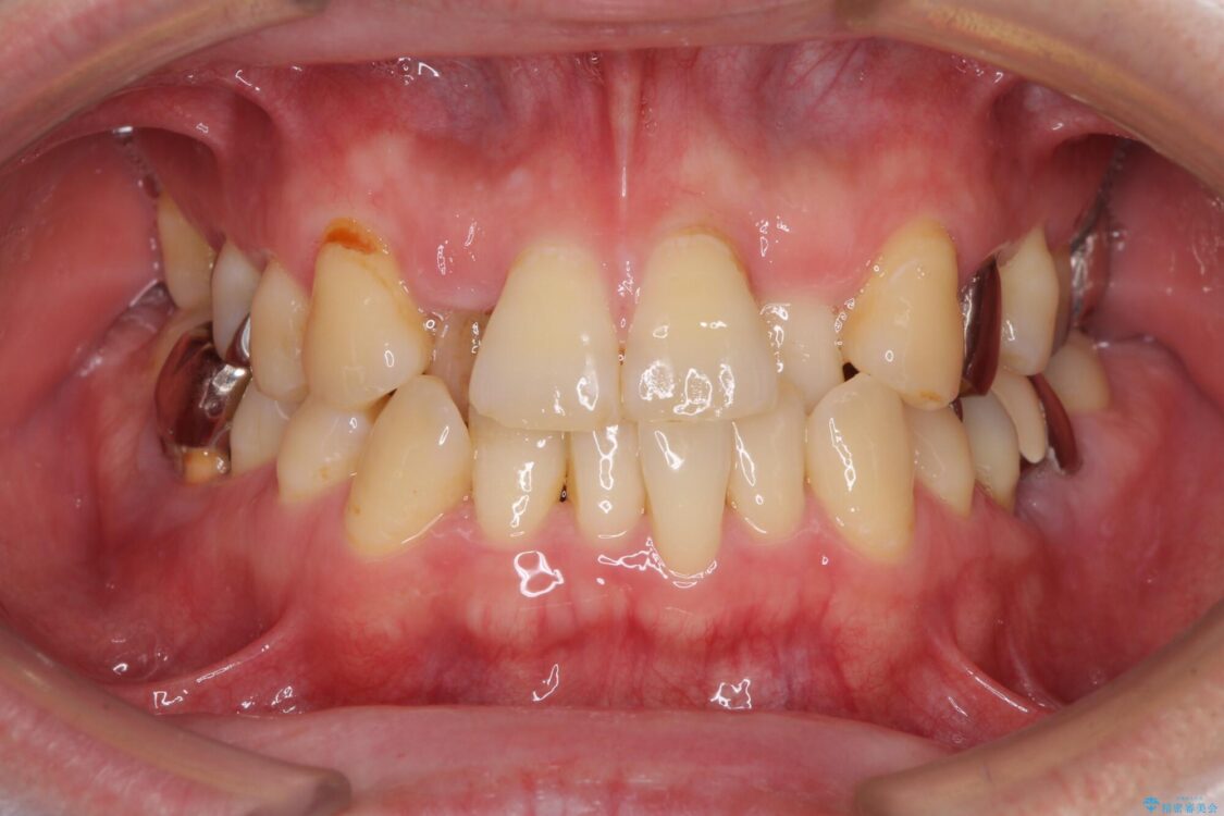
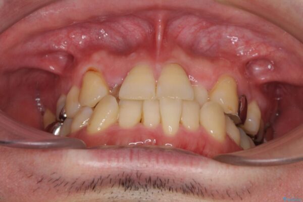
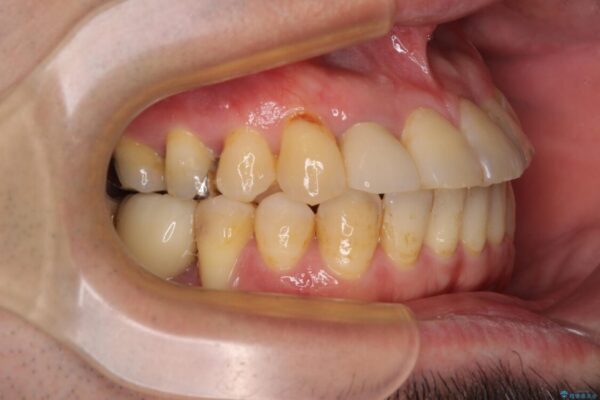
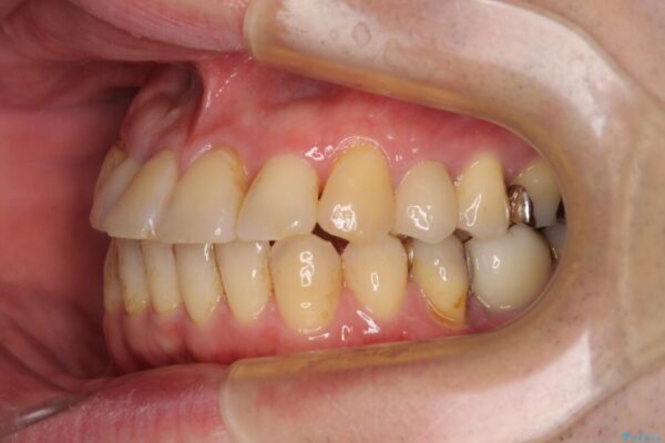
奥歯の痛みと前歯のデコボコを気にして来院された患者様です。

治療計画

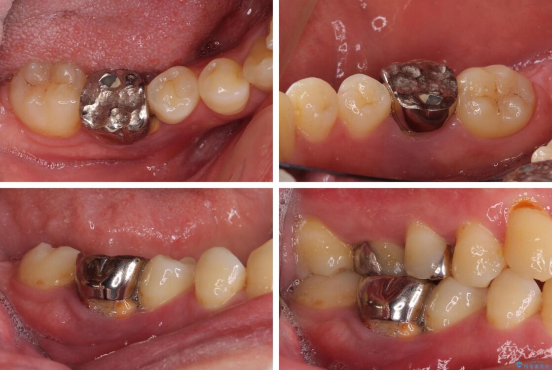
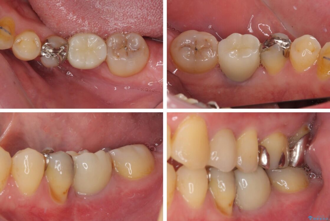
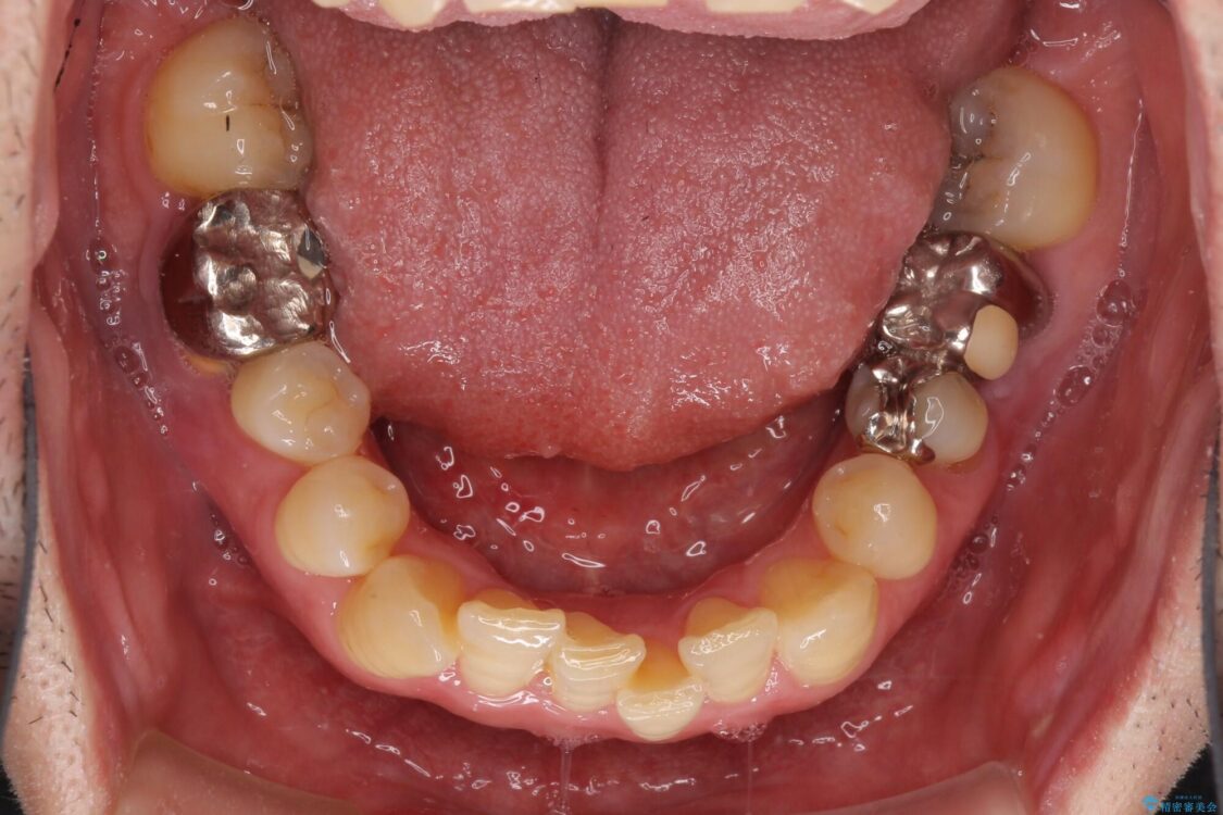
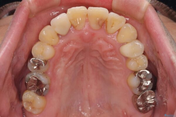
左右下顎の大臼歯は、ともに歯根が破折しており、抜歯が必要な状態でした。
放置したことで炎症による骨吸収が顕著であるため、骨造成を併用してインプラント埋入を行うこととしました。
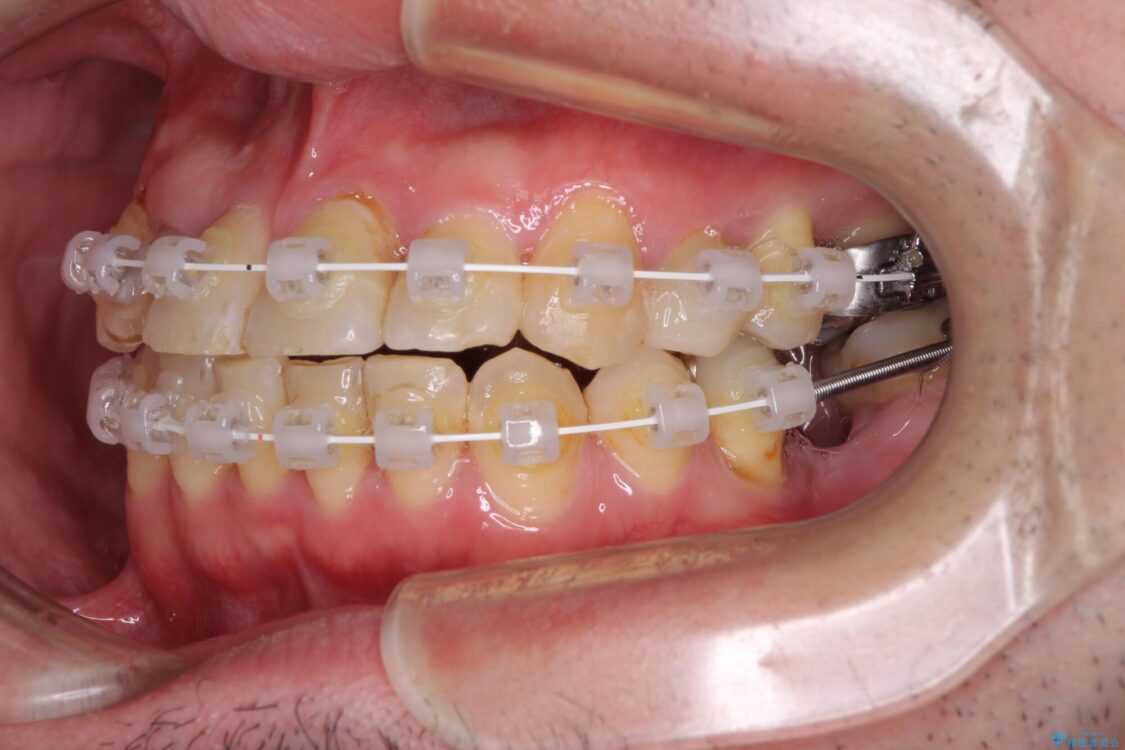
咬み合わせは受け口傾向であり、上顎前歯の叢生が顕著であったことから、第1小臼歯抜歯による矯正治療も検討しましたが、下顎大臼歯を左右ともに抜歯するため、非抜歯による矯正治療を行うこととしました。
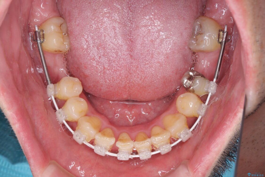
矯正治療でインプラント埋入を行い、矯正治療後に気になる前歯と合わせてオールセラミッククラウンによる補綴治療を行うこととしました。

治療後について

骨造成や歯肉移植など、治癒期間の長い処置を必要としたため治療期間は長くなりましたが、安定した咬み合わせと整った歯列となり、患者様には大変満足していただきました。

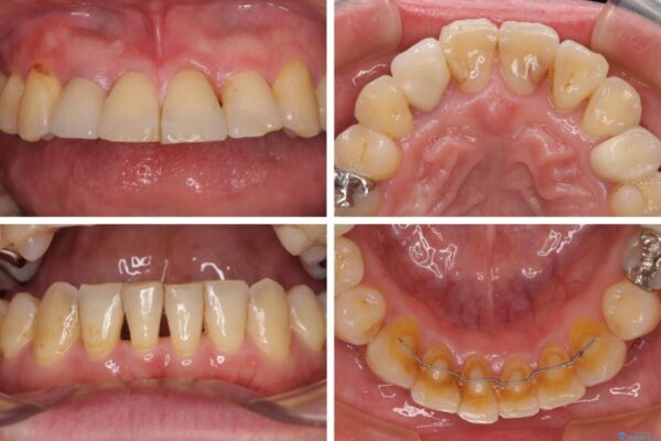
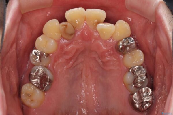
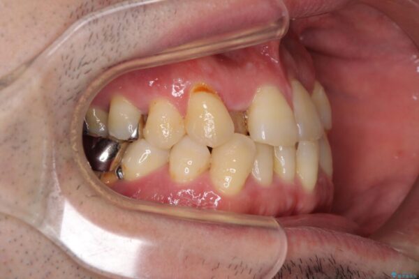
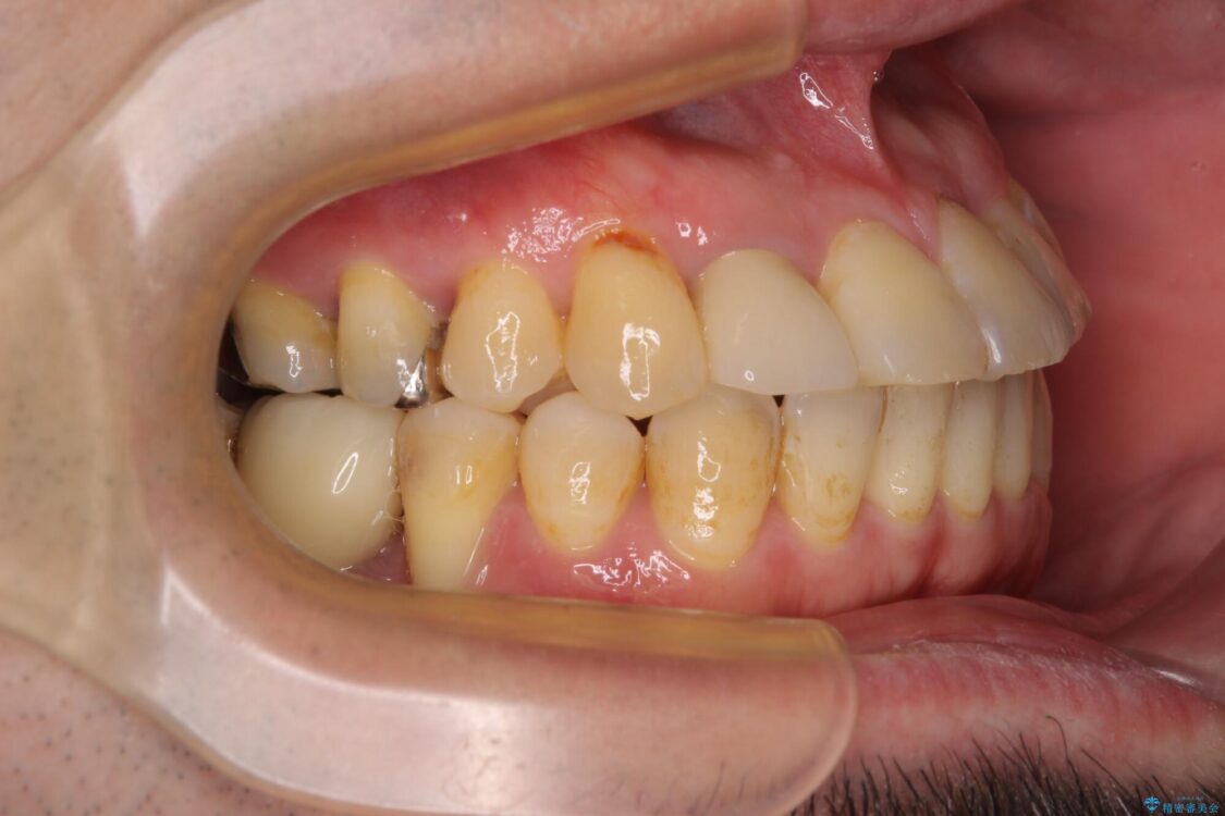
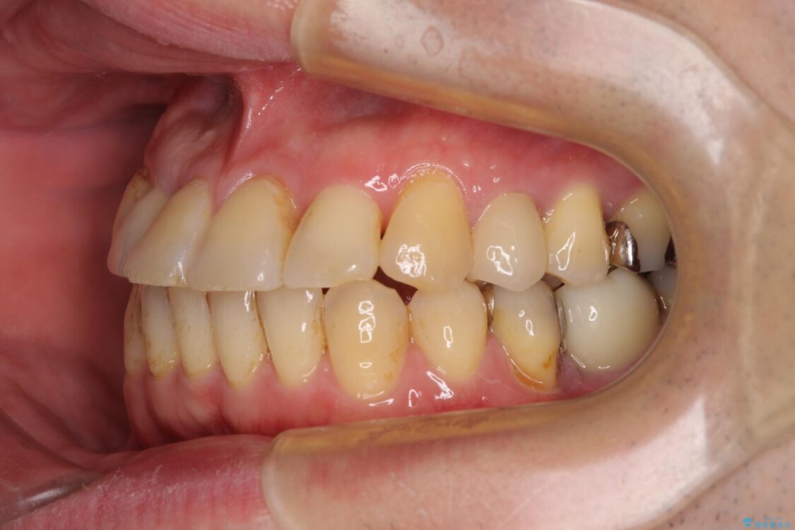
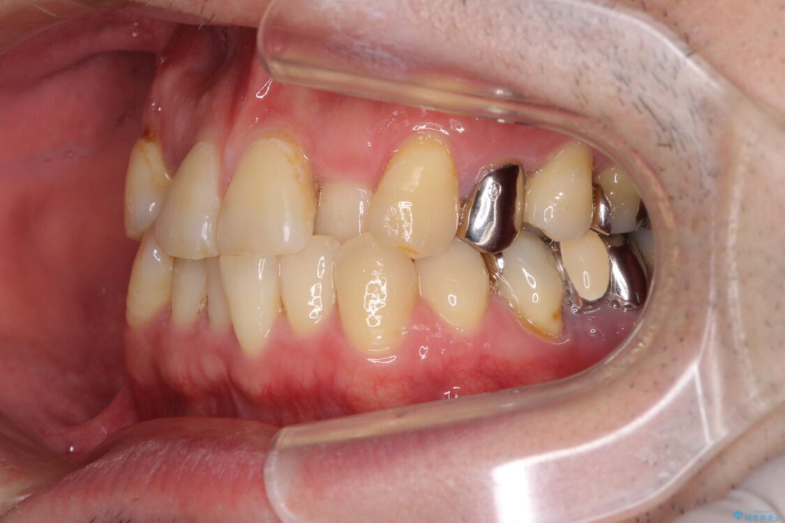
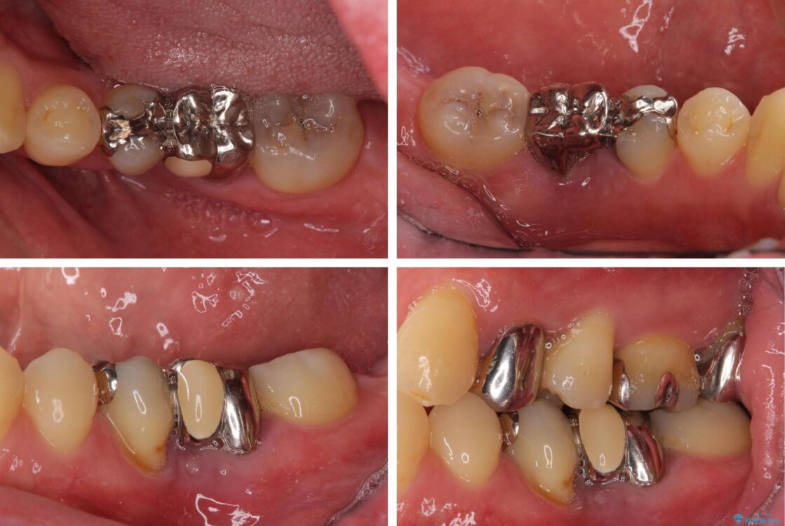
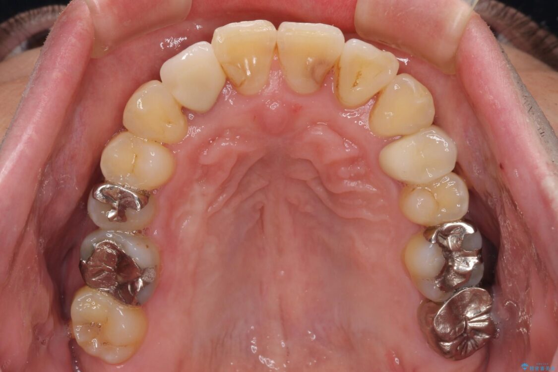
治療前
  • 割れてしまった奥歯とデコボコの前歯 矯正治療とインプラント治療 治療前画像
  • 割れてしまった奥歯とデコボコの前歯 矯正治療とインプラント治療 治療前画像
  • 割れてしまった奥歯とデコボコの前歯 矯正治療とインプラント治療 治療前画像
  • 割れてしまった奥歯とデコボコの前歯 矯正治療とインプラント治療 治療前画像
  • 割れてしまった奥歯とデコボコの前歯 矯正治療とインプラント治療 治療前画像
  • 割れてしまった奥歯とデコボコの前歯 矯正治療とインプラント治療 治療前画像
  • 割れてしまった奥歯とデコボコの前歯 矯正治療とインプラント治療 治療前画像
  • 割れてしまった奥歯とデコボコの前歯 矯正治療とインプラント治療 治療前画像
  • 割れてしまった奥歯とデコボコの前歯 矯正治療とインプラント治療 治療前画像
  • 割れてしまった奥歯とデコボコの前歯 矯正治療とインプラント治療 治療前画像
  • 割れてしまった奥歯とデコボコの前歯 矯正治療とインプラント治療 治療前画像
  • 割れてしまった奥歯とデコボコの前歯 矯正治療とインプラント治療 治療前画像
  • 割れてしまった奥歯とデコボコの前歯 矯正治療とインプラント治療 治療前画像
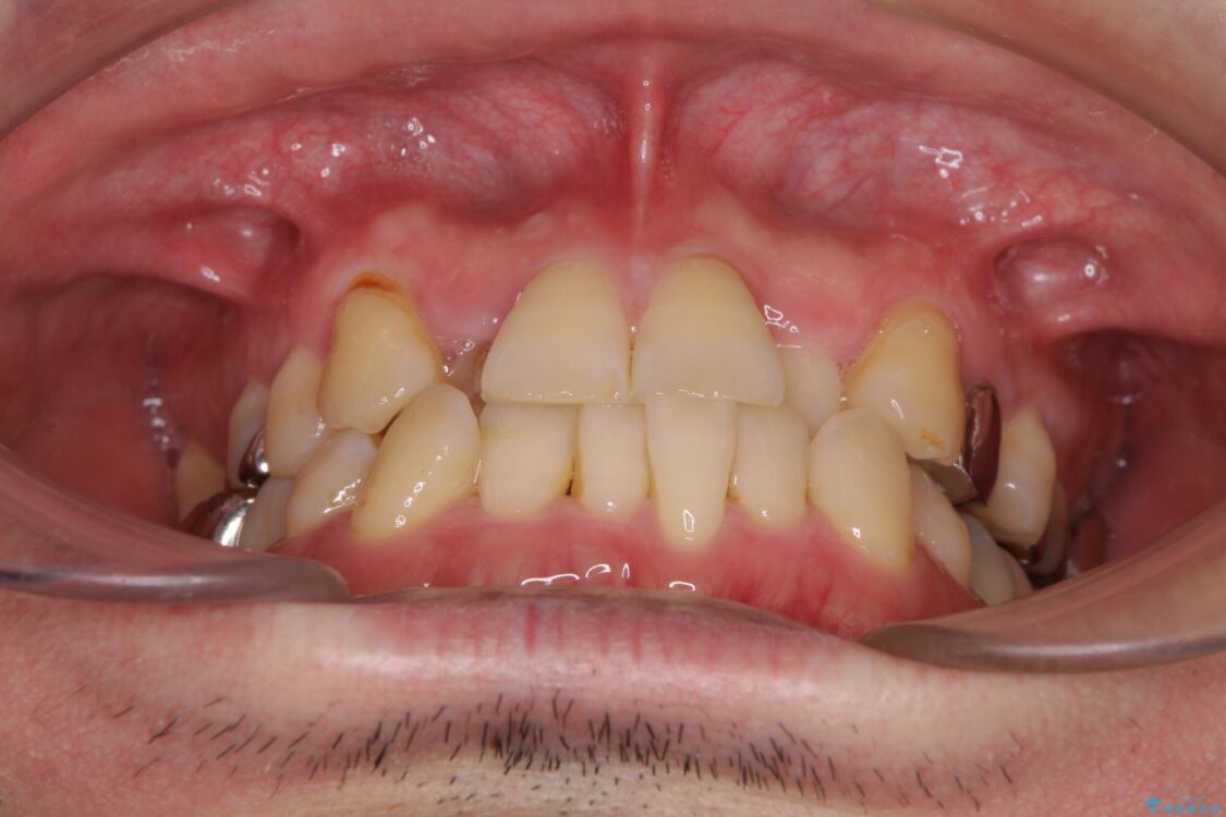
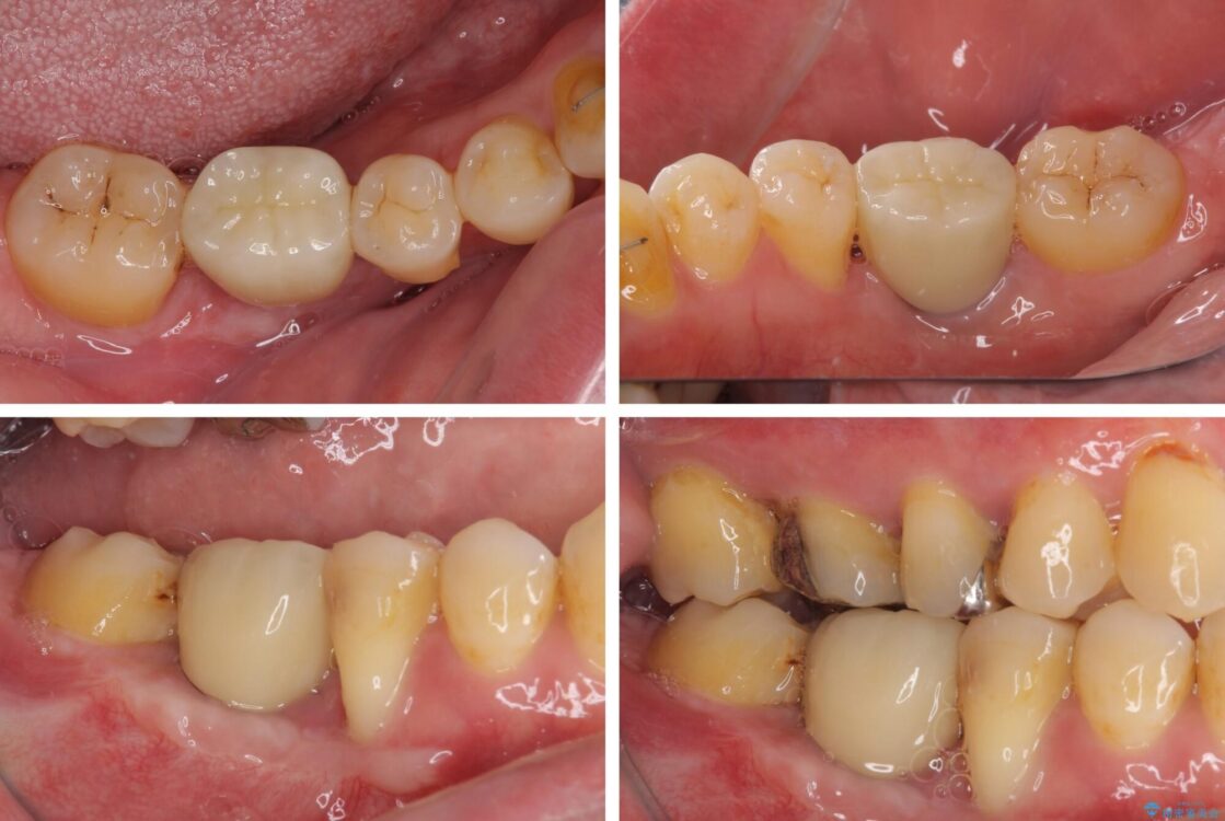
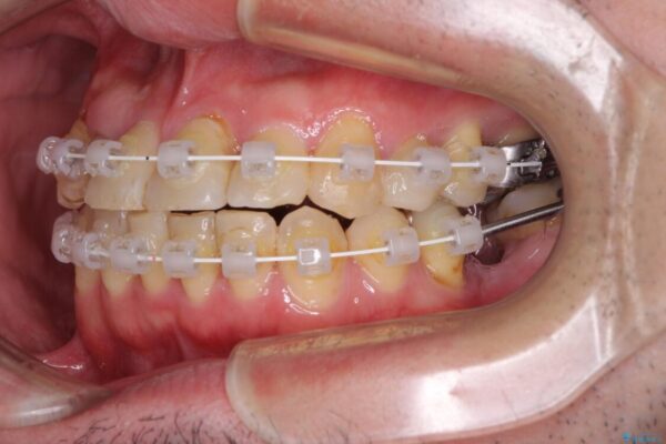
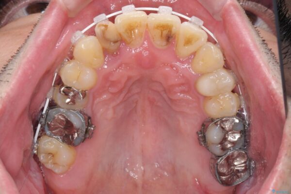
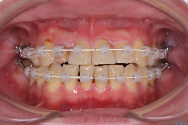
治療途中
  • 割れてしまった奥歯とデコボコの前歯 矯正治療とインプラント治療 治療途中画像
  • 割れてしまった奥歯とデコボコの前歯 矯正治療とインプラント治療 治療途中画像
  • 割れてしまった奥歯とデコボコの前歯 矯正治療とインプラント治療 治療途中画像
  • 割れてしまった奥歯とデコボコの前歯 矯正治療とインプラント治療 治療途中画像
  • 割れてしまった奥歯とデコボコの前歯 矯正治療とインプラント治療 治療途中画像
  • 割れてしまった奥歯とデコボコの前歯 矯正治療とインプラント治療 治療途中画像
  • 割れてしまった奥歯とデコボコの前歯 矯正治療とインプラント治療 治療途中画像
  • 割れてしまった奥歯とデコボコの前歯 矯正治療とインプラント治療 治療途中画像
  • 割れてしまった奥歯とデコボコの前歯 矯正治療とインプラント治療 治療途中画像
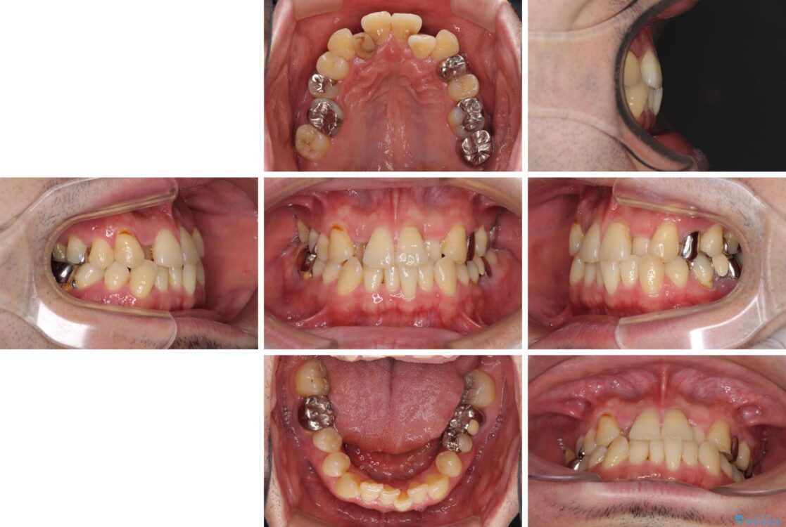
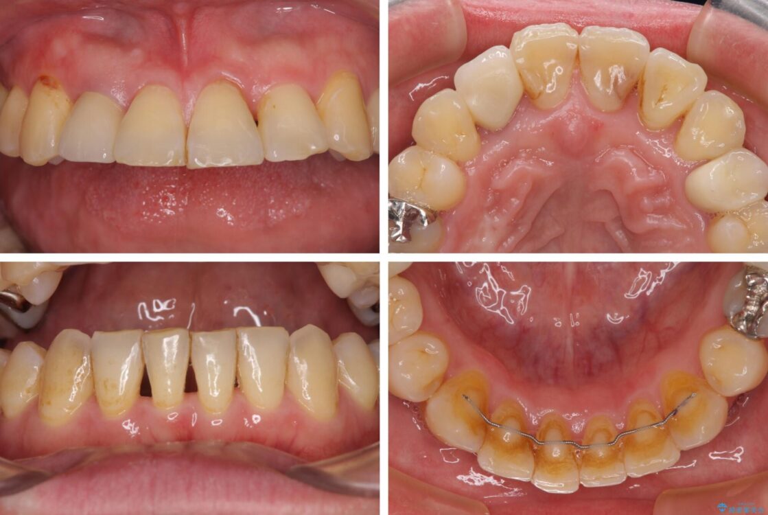
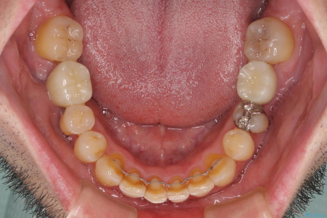
治療後
  • 割れてしまった奥歯とデコボコの前歯 矯正治療とインプラント治療 治療後画像
  • 割れてしまった奥歯とデコボコの前歯 矯正治療とインプラント治療 治療後画像
  • 割れてしまった奥歯とデコボコの前歯 矯正治療とインプラント治療 治療後画像
  • 割れてしまった奥歯とデコボコの前歯 矯正治療とインプラント治療 治療後画像
  • 割れてしまった奥歯とデコボコの前歯 矯正治療とインプラント治療 治療後画像
  • 割れてしまった奥歯とデコボコの前歯 矯正治療とインプラント治療 治療後画像
  • 割れてしまった奥歯とデコボコの前歯 矯正治療とインプラント治療 治療後画像
  • 割れてしまった奥歯とデコボコの前歯 矯正治療とインプラント治療 治療後画像
  • 割れてしまった奥歯とデコボコの前歯 矯正治療とインプラント治療 治療後画像
  • 割れてしまった奥歯とデコボコの前歯 矯正治療とインプラント治療 治療後画像
  • 割れてしまった奥歯とデコボコの前歯 矯正治療とインプラント治療 治療後画像
  • 割れてしまった奥歯とデコボコの前歯 矯正治療とインプラント治療 治療後画像
  • 割れてしまった奥歯とデコボコの前歯 矯正治療とインプラント治療 治療後画像

ワイヤー矯正の注意事項(リスク・副作用など)

・治療中は違和感や痛みが起こることがあります。
・症状により、抜歯が必要な場合があります。
・治療中は歯磨きがしにくくなるため、虫歯や歯周病になりやすくなります。
・矯正治療後の保定が不十分だと後戻り(元の位置に戻ろうとする動き)をします。
・自費診療(保険適用外)となります。

インプラント治療の注意事項(リスク・副作用など)

・外科手術のため、術後に痛みや腫れ、違和感を伴います。
・メンテナンスを怠ったり喫煙をしたりすることにより、お口の中に大きな悪影響を及ぼすインプラント周囲炎等にかかる可能性があります。
・糖尿病、肝硬変、心臓病等の場合、インプラント治療ができない可能性があります。
・高血圧、貧血・不整脈等の場合、インプラント治療後に治癒不全を招く可能性があります。
・自費診療(保険適用外治療)となります。

セラミック治療の注意事項(リスク・副作用など)

・天然歯を削ります。
・硬い素材は天然歯を傷つけてしまう場合があります。
・かみ合わせや歯ぎしりが強すぎる方はセラミックが割れてしまう可能性があります。
・自費診療(保険適用外治療)となります。

その他の注意事項(リスク・副作用など)

・担当歯科医師、歯科衛生士又は医院スタッフから受けた説明、注意事項をよくご確認ください。
・医療を提供するに当たり、適切な説明を行い、患者様の十分な理解を得るよう努めております。

当サイトの内容、テキスト、画像等の無断転載、複製、複写、盗用を固く禁じます。

24時間受付 Web申し込み


無料カウンセリング予約

無料の個別相談(予約制)を実施しております

医院直通 電話予約
03-3231-0777

平日 11:00~20:00 / 土日 10:00~18:00

※ お電話での治療に関するご相談は、ドクターによる対応ができないためお受けできません