むし歯で歯茎から血が出てくる オールセラミッククラウンでの補綴治療

東京駅前しらゆり歯科

電話でのご予約、お問い合わせ
03-3231-0777

平日11:00~20:00 / 土日10:00~18:00

CASES

セラミック治療の症例

むし歯で歯茎から血が出てくる オールセラミッククラウンでの補綴治療

治療症例のビフォーアフターと詳細

患者様
40代女性
治療期間
2ヶ月
治療回数
2-5回
概算治療費
25万円(税込)(※費用は治療当時の料金となります)
担当医
藤巻太一朗

治療動機

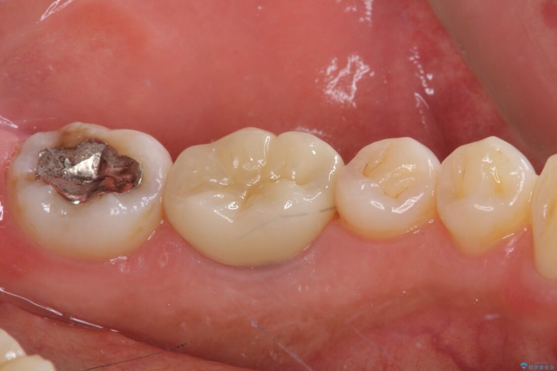
以前他院にて処置をした歯の歯肉からの出血するとのことで来院された患者様です。

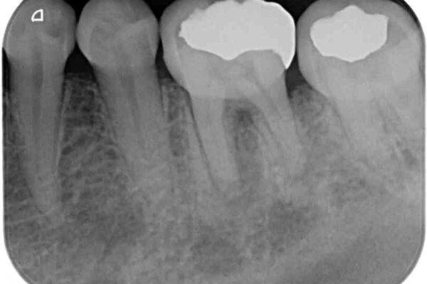
治療計画

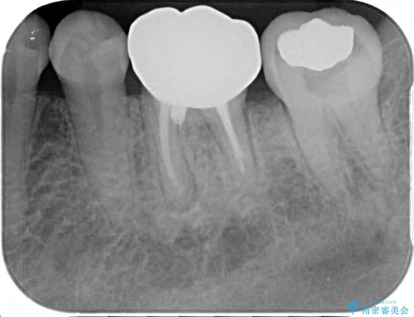
以前むし歯治療をした後から定期的に痛むことがあるとのことで、レントゲン写真より神経組織が失活していることが予想されました。
銀歯を外すと神経組織の一部が取り除かれており、歯根に付け根に穴が空けられている状態でした。
出血の原因は以前の治療で空けられた穴であると考え、封鎖をするとともに根管治療を行い、その後オールセラミッククラウンにて補綴治療を行うこととしました。

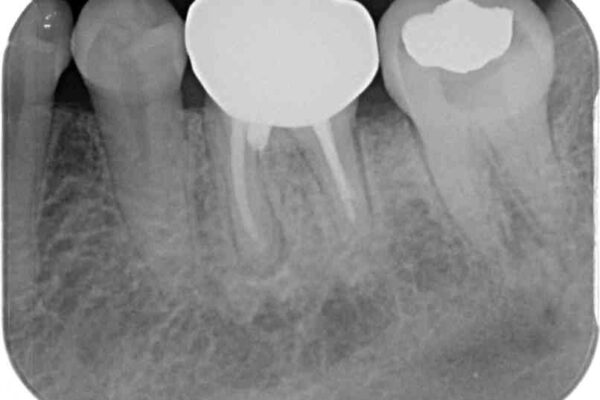
治療後について

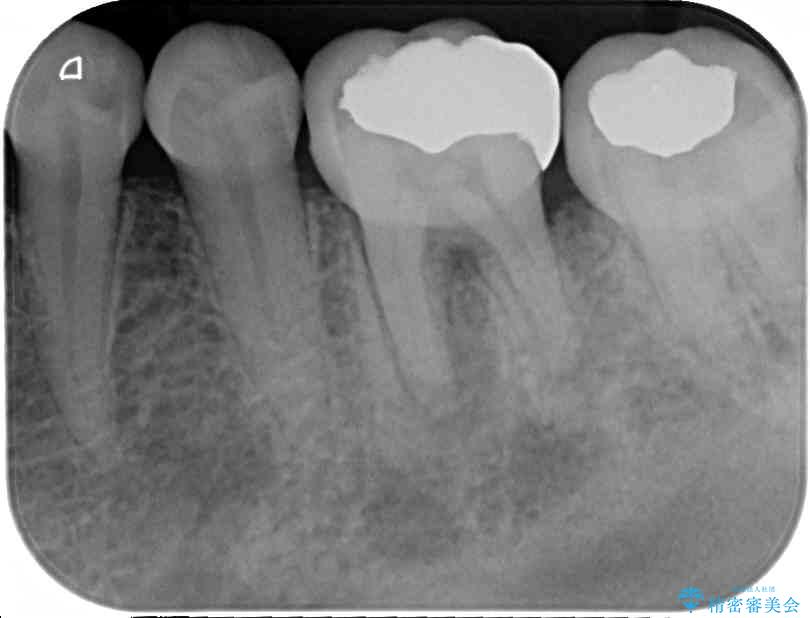
術後6ヶ月でレントゲン写真を撮影したところ、出血の原因であった穴付近の溶けていた骨が回復している様子が認められました。

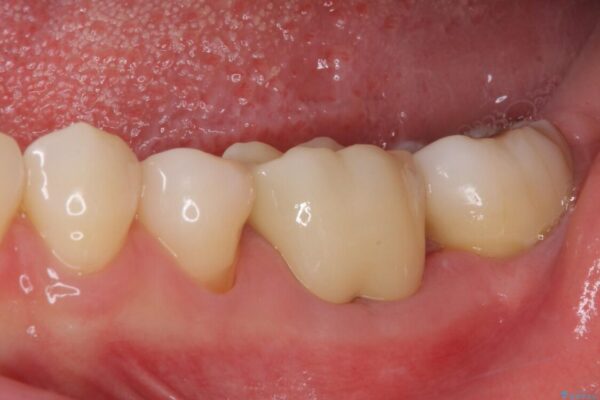
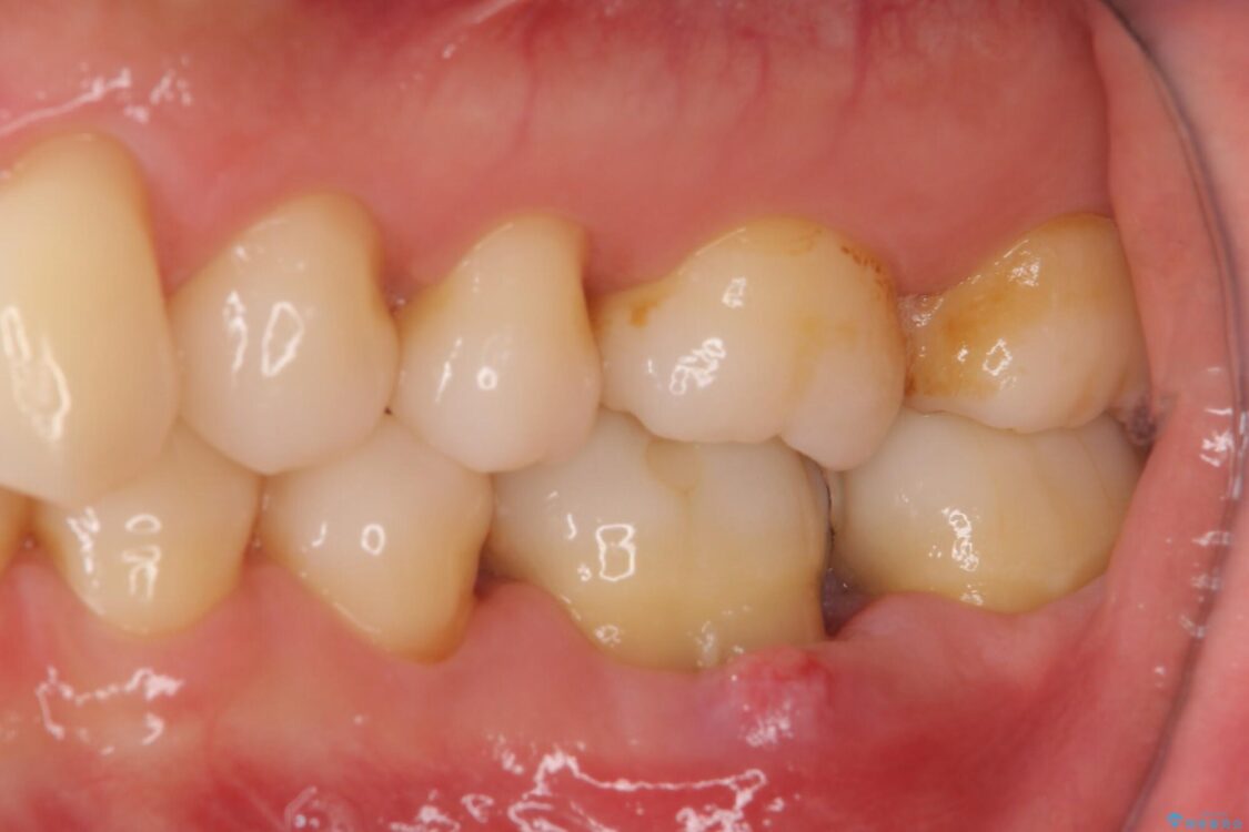
治療前
  • むし歯で歯茎から血が出てくる オールセラミッククラウンでの補綴治療 治療前画像
  • むし歯で歯茎から血が出てくる オールセラミッククラウンでの補綴治療 治療前画像
  • むし歯で歯茎から血が出てくる オールセラミッククラウンでの補綴治療 治療前画像
  • むし歯で歯茎から血が出てくる オールセラミッククラウンでの補綴治療 治療前画像
  • むし歯で歯茎から血が出てくる オールセラミッククラウンでの補綴治療 治療前画像
治療途中
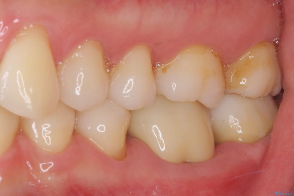
治療後
  • むし歯で歯茎から血が出てくる オールセラミッククラウンでの補綴治療 治療後画像
  • むし歯で歯茎から血が出てくる オールセラミッククラウンでの補綴治療 治療後画像
  • むし歯で歯茎から血が出てくる オールセラミッククラウンでの補綴治療 治療後画像
  • むし歯で歯茎から血が出てくる オールセラミッククラウンでの補綴治療 治療後画像
  • むし歯で歯茎から血が出てくる オールセラミッククラウンでの補綴治療 治療後画像

セラミック治療の注意事項(リスク・副作用など)

・天然歯を削ります。
・硬い素材は天然歯を傷つけてしまう場合があります。
・かみ合わせや歯ぎしりが強すぎる方はセラミックが割れてしまう可能性があります。
・自費診療(保険適用外治療)となります。

根管治療の注意事項(リスク・副作用など)

・根管治療は非常に成功率の高い治療ですが、治療の成否を決める多くの要素があるため、根管治療がなされた後も再治療、外科処置、抜歯などの処置をしなくてはならなくなることもあります。
・根管治療中には、器具の破折、穿孔、修復物の損傷、歯の破折、術中・術後の不快症状、術後の痛みや腫脹などの事象が稀ではありますが起こりうることがあります。
・自費診療(保険適用外治療)となります。

その他の注意事項(リスク・副作用など)

・担当歯科医師、歯科衛生士又は医院スタッフから受けた説明、注意事項をよくご確認ください。
・医療を提供するに当たり、適切な説明を行い、患者様の十分な理解を得るよう努めております。

当サイトの内容、テキスト、画像等の無断転載、複製、複写、盗用を固く禁じます。

24時間受付 Web申し込み


無料カウンセリング予約

無料の個別相談(予約制)を実施しております

医院直通 電話予約
03-3231-0777

平日 11:00~20:00 / 土日 10:00~18:00

※ お電話での治療に関するご相談は、ドクターによる対応ができないためお受けできません