隙間だらけの歯列 インビザラインで改善

東京駅前しらゆり歯科

電話でのご予約、お問い合わせ
03-3231-0777

平日11:00~20:00 / 土日10:00~18:00

CASES

ワイヤー矯正の症例

隙間だらけの歯列 インビザラインで改善

治療症例のビフォーアフターと詳細

患者様
20代女性
治療期間
2年11ヶ月
治療回数
10-30回
矯正装置
インビザライン
概算治療費
90万円(税込)(※費用は治療当時の料金となります)
担当医
藤巻太一朗

治療動機

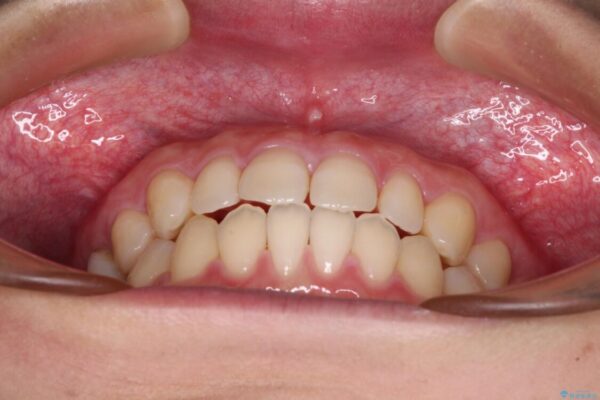
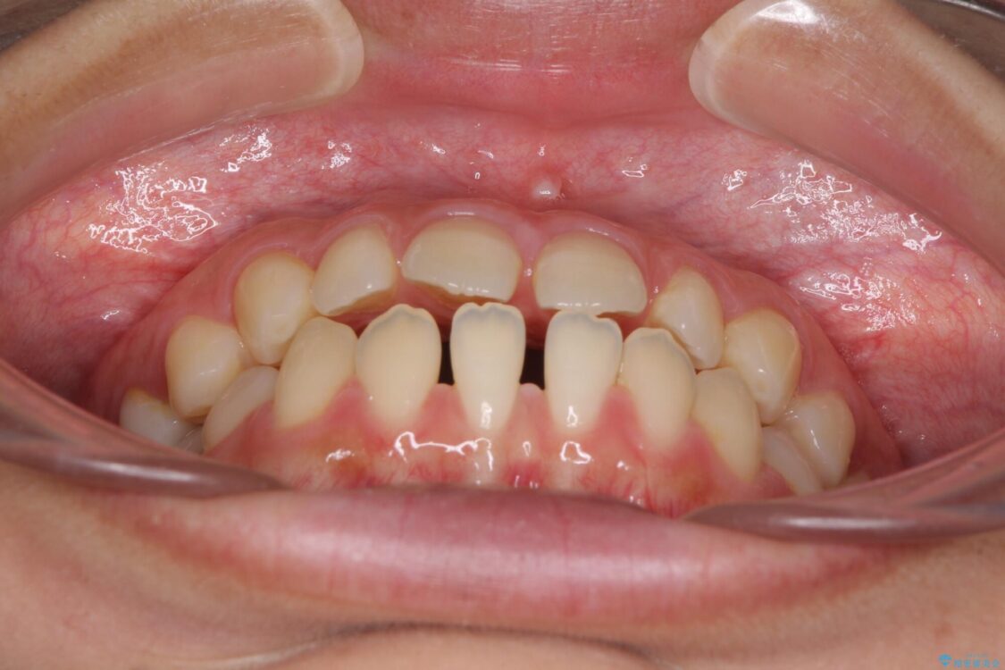
前歯の上下スペースと前歯の隙間を気にして来院された患者様です。

治療計画

飲み込みや話をするときに舌を突出させる癖が強くあり、それが原因でスペースが空いていました。
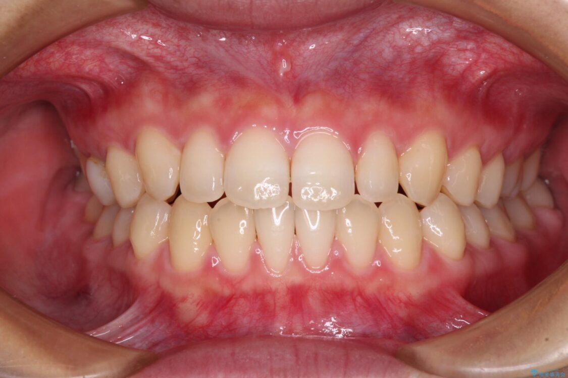
舌癖を改善するためのトレーニングを行いながら、インビザラインにより上下の前歯の隙間を閉じていくこととしました。

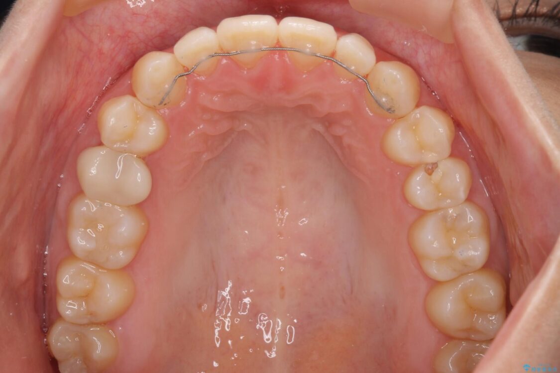
治療後について

空隙歯列(すきっ歯)は、舌の突出癖をある程度改善できたとしても、後戻りにより隙間が開きやすいと言われています。
裏側から細いワイヤーで保定するとともに、睡眠時のマウスピース装着を徹底していただくことで、後戻りを最小限にとどめます。

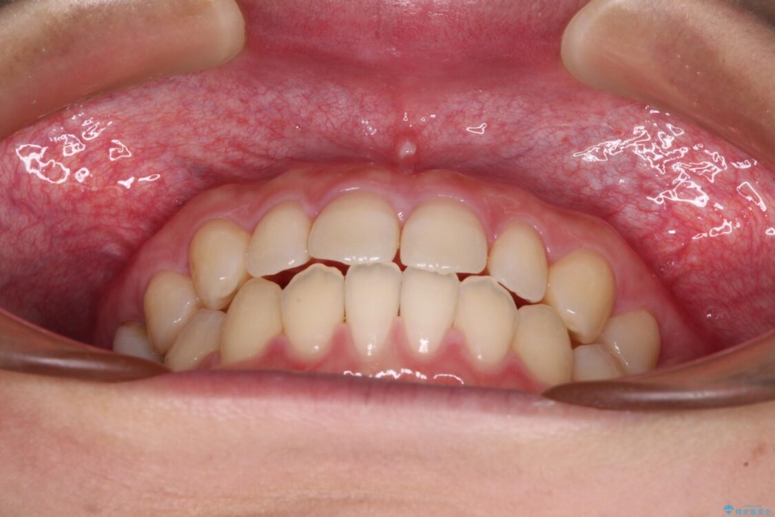
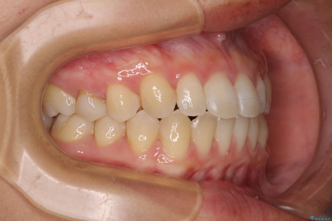
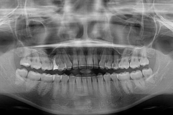
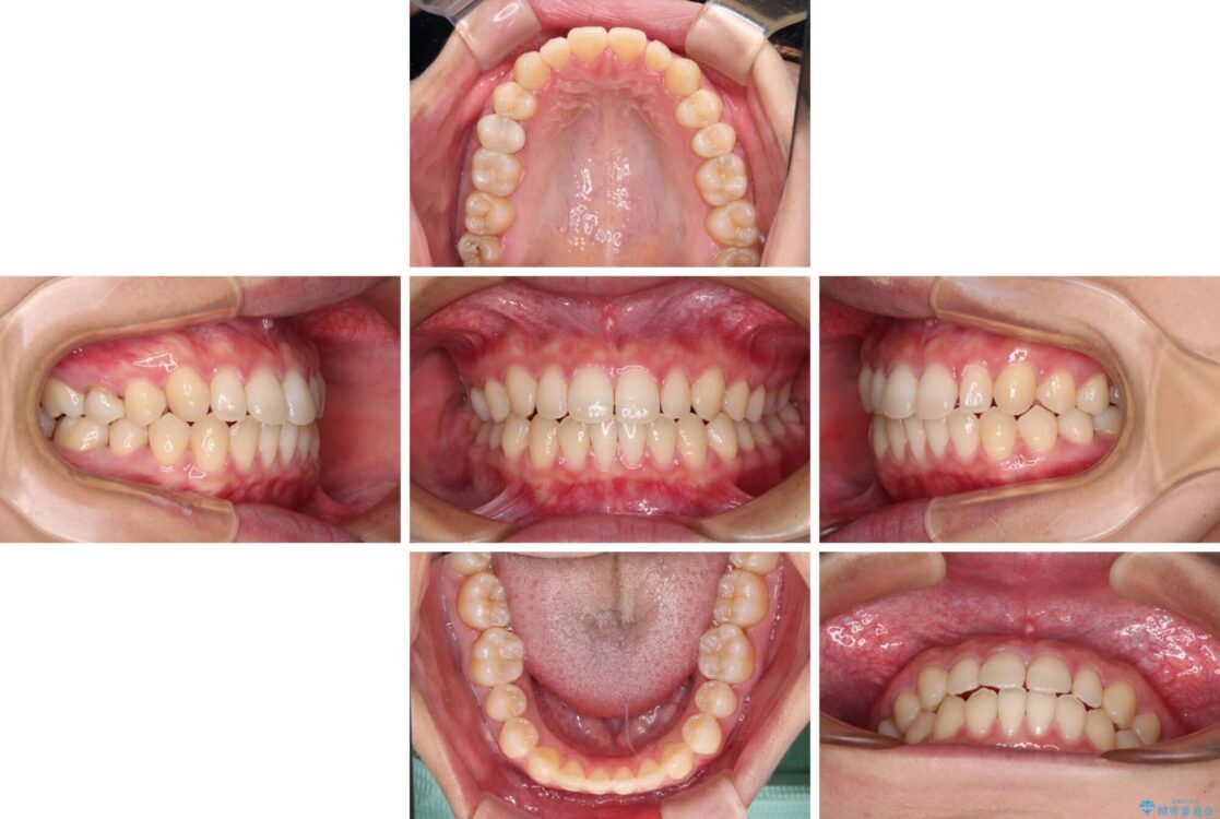
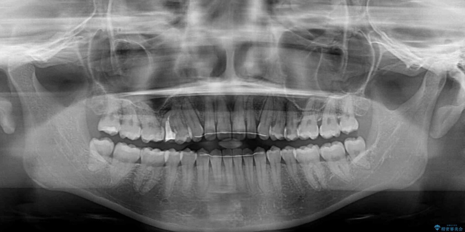
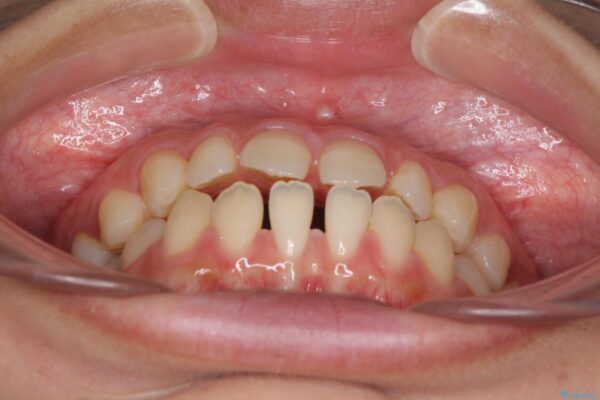
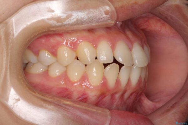
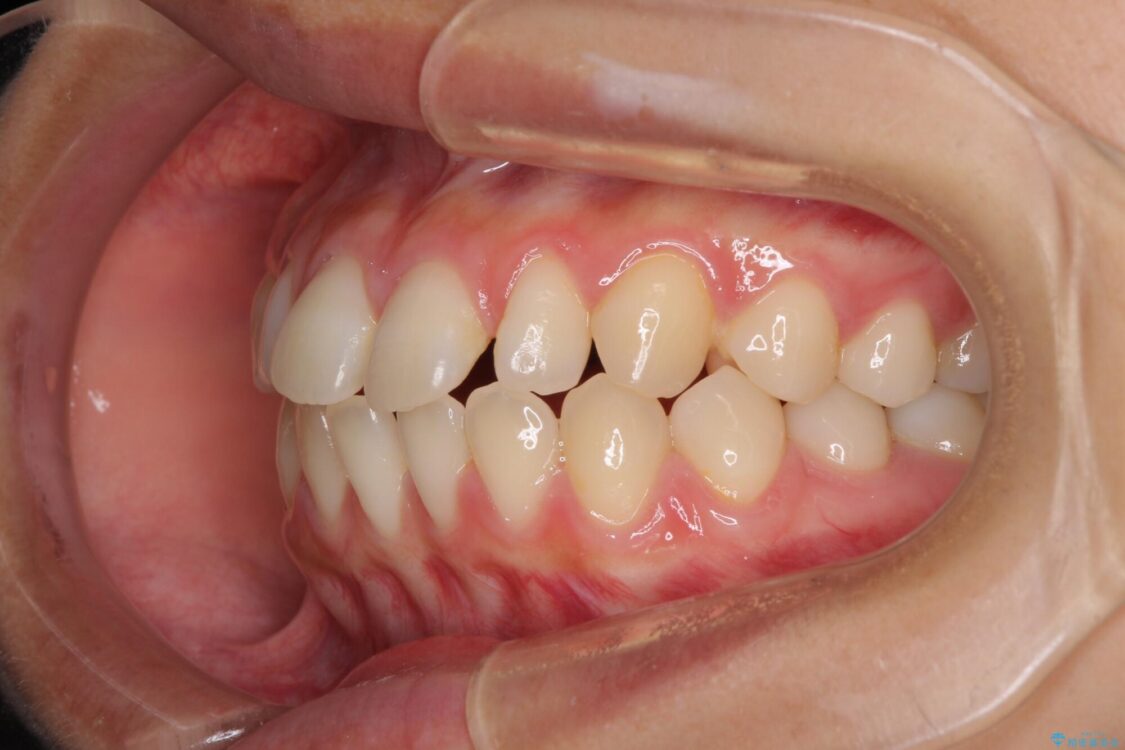
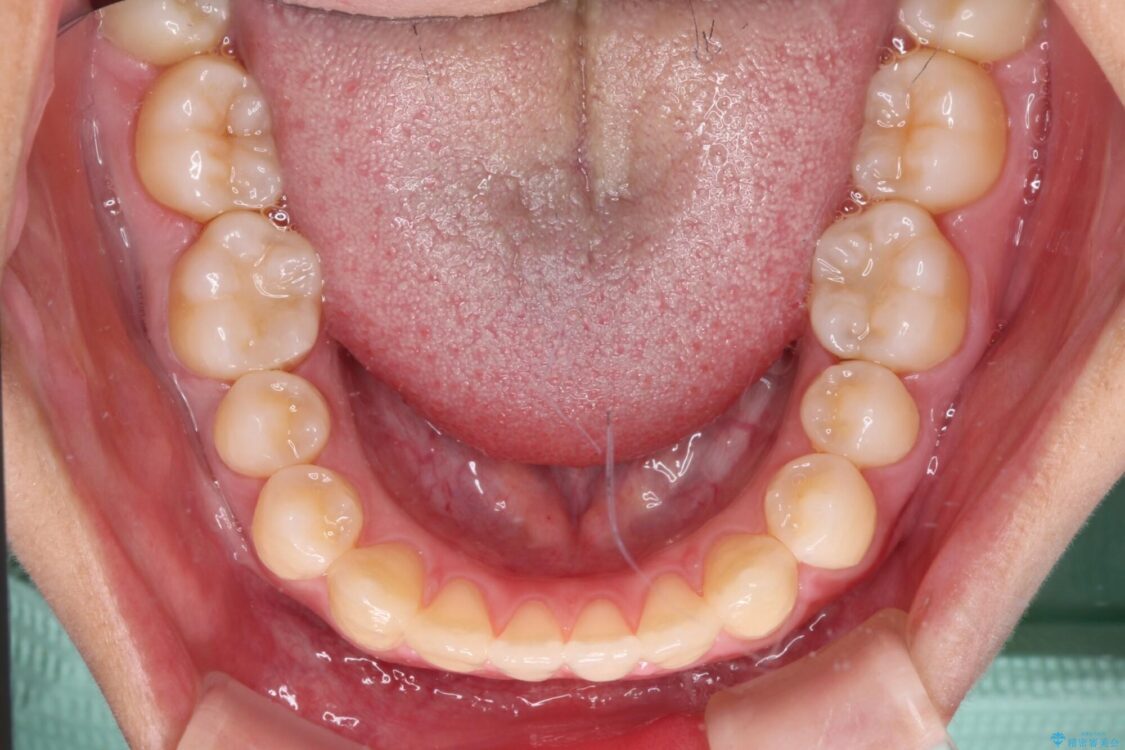
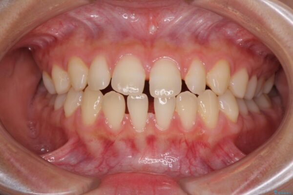
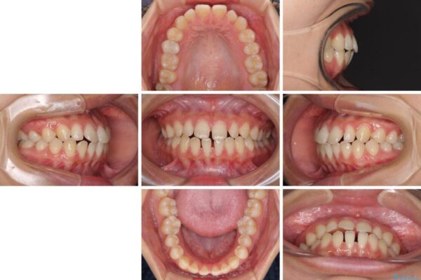
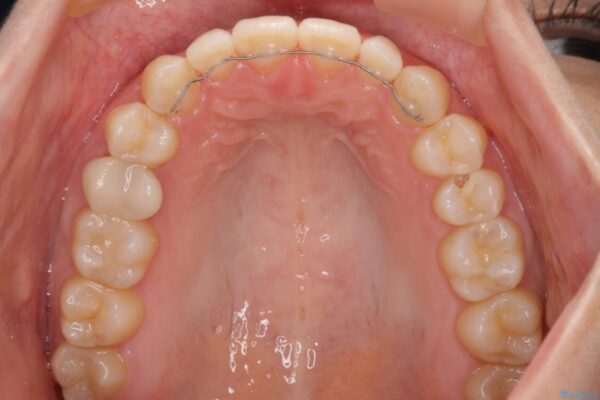
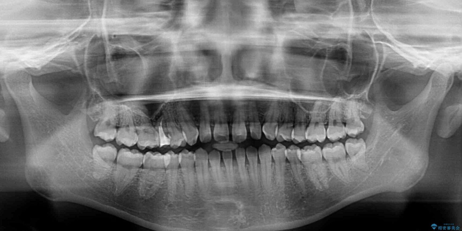
治療前
  • 隙間だらけの歯列 インビザラインで改善 治療前画像
  • 隙間だらけの歯列 インビザラインで改善 治療前画像
  • 隙間だらけの歯列 インビザラインで改善 治療前画像
  • 隙間だらけの歯列 インビザラインで改善 治療前画像
  • 隙間だらけの歯列 インビザラインで改善 治療前画像
  • 隙間だらけの歯列 インビザラインで改善 治療前画像
  • 隙間だらけの歯列 インビザラインで改善 治療前画像
  • 隙間だらけの歯列 インビザラインで改善 治療前画像
  • 隙間だらけの歯列 インビザラインで改善 治療前画像
  • 隙間だらけの歯列 インビザラインで改善 治療前画像
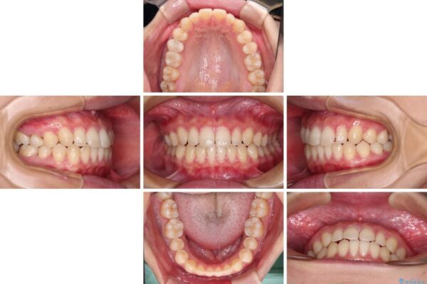
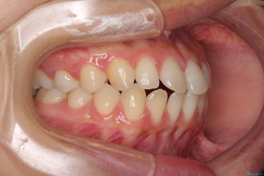
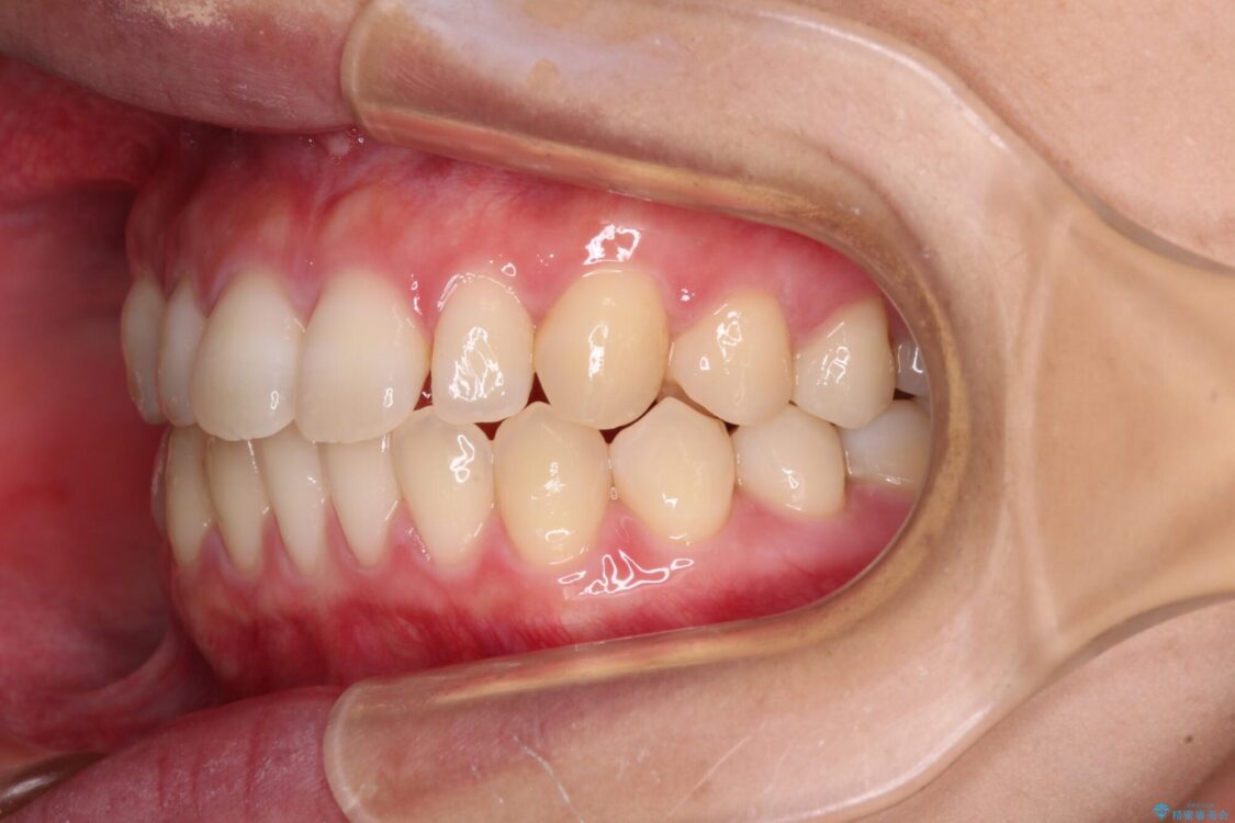
治療途中
  • 隙間だらけの歯列 インビザラインで改善 治療途中画像
  • 隙間だらけの歯列 インビザラインで改善 治療途中画像
  • 隙間だらけの歯列 インビザラインで改善 治療途中画像
  • 隙間だらけの歯列 インビザラインで改善 治療途中画像
  • 隙間だらけの歯列 インビザラインで改善 治療途中画像
  • 隙間だらけの歯列 インビザラインで改善 治療途中画像
  • 隙間だらけの歯列 インビザラインで改善 治療途中画像
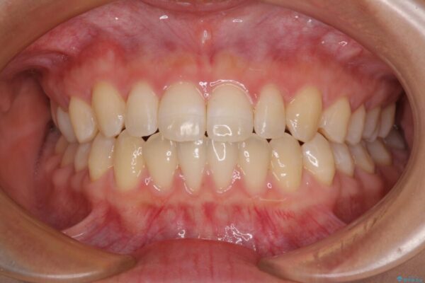
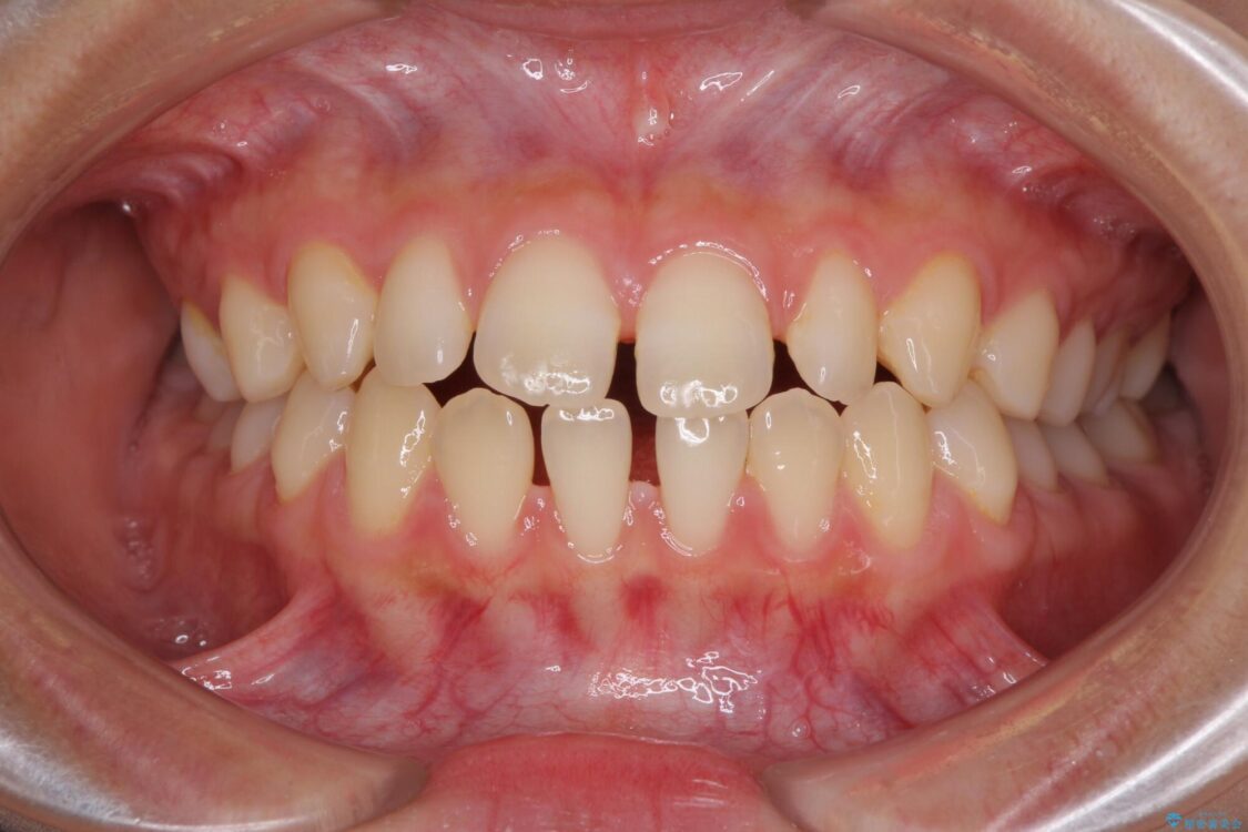
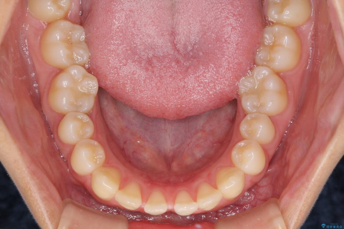
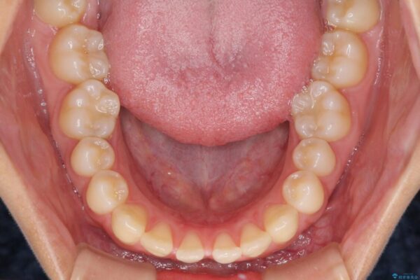
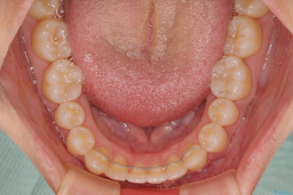
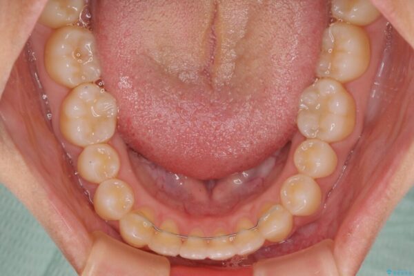
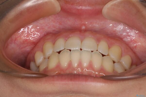
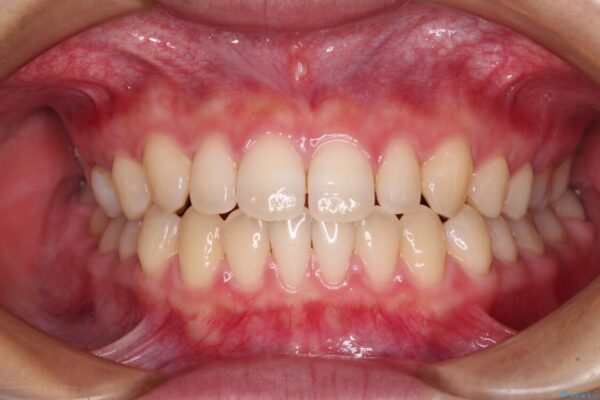
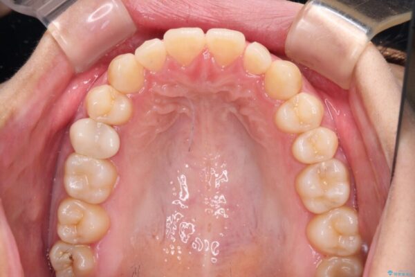
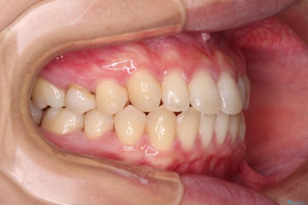
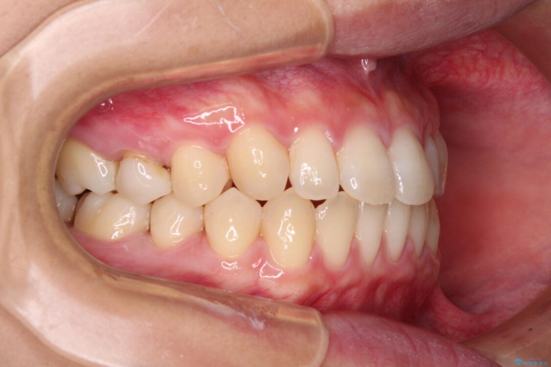
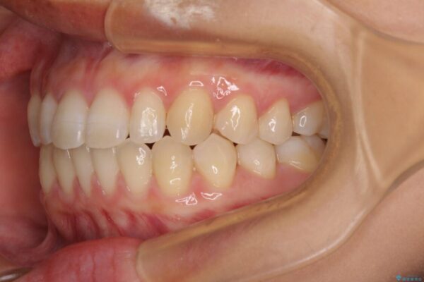
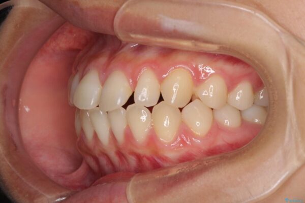
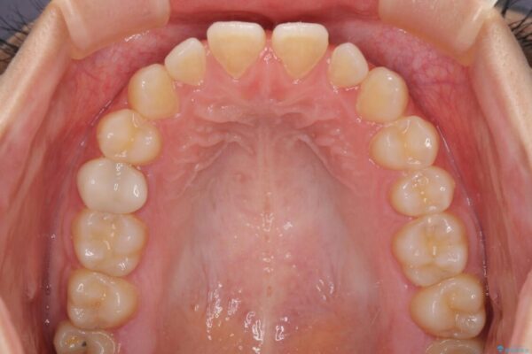
治療後
  • 隙間だらけの歯列 インビザラインで改善 治療後画像
  • 隙間だらけの歯列 インビザラインで改善 治療後画像
  • 隙間だらけの歯列 インビザラインで改善 治療後画像
  • 隙間だらけの歯列 インビザラインで改善 治療後画像
  • 隙間だらけの歯列 インビザラインで改善 治療後画像
  • 隙間だらけの歯列 インビザラインで改善 治療後画像
  • 隙間だらけの歯列 インビザラインで改善 治療後画像
  • 隙間だらけの歯列 インビザラインで改善 治療後画像
  • 隙間だらけの歯列 インビザラインで改善 治療後画像
  • 隙間だらけの歯列 インビザラインで改善 治療後画像

マウスピース矯正の注意事項(リスク・副作用など)

・口腔内・歯並びの状態によっては対応できない場合があります。
・マウスピース型矯正装置の長時間装着が必須です。
・治療計画通りに進めるためには、患者様の意志が重要になります。
・矯正治療後の保定が不十分だと後戻り(元の位置に戻ろうとする動き)をします。
・自費診療(保険適用外治療)となります。
・※薬機法対象外の矯正歯科装置のため医薬品副作用被害救済制度の対象外となる場合があります。

その他の注意事項(リスク・副作用など)

・担当歯科医師、歯科衛生士又は医院スタッフから受けた説明、注意事項をよくご確認ください。
・医療を提供するに当たり、適切な説明を行い、患者様の十分な理解を得るよう努めております。

当サイトの内容、テキスト、画像等の無断転載、複製、複写、盗用を固く禁じます。

24時間受付 Web申し込み


無料カウンセリング予約

無料の個別相談(予約制)を実施しております

医院直通 電話予約
03-3231-0777

平日 11:00~20:00 / 土日 10:00~18:00

※ お電話での治療に関するご相談は、ドクターによる対応ができないためお受けできません