変色した前歯をオールセラミッククラウンに

東京駅前しらゆり歯科

電話でのご予約、お問い合わせ
03-3231-0777

平日11:00~20:00 / 土日10:00~18:00

CASES

セラミック治療の症例

変色した前歯をオールセラミッククラウンに

治療症例のビフォーアフターと詳細

患者様
20代男性
治療期間
1ヶ月
治療回数
2-5回
概算治療費
15万円(税込)(※費用は治療当時の料金となります)
担当医
藤巻太一朗

治療動機

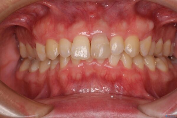
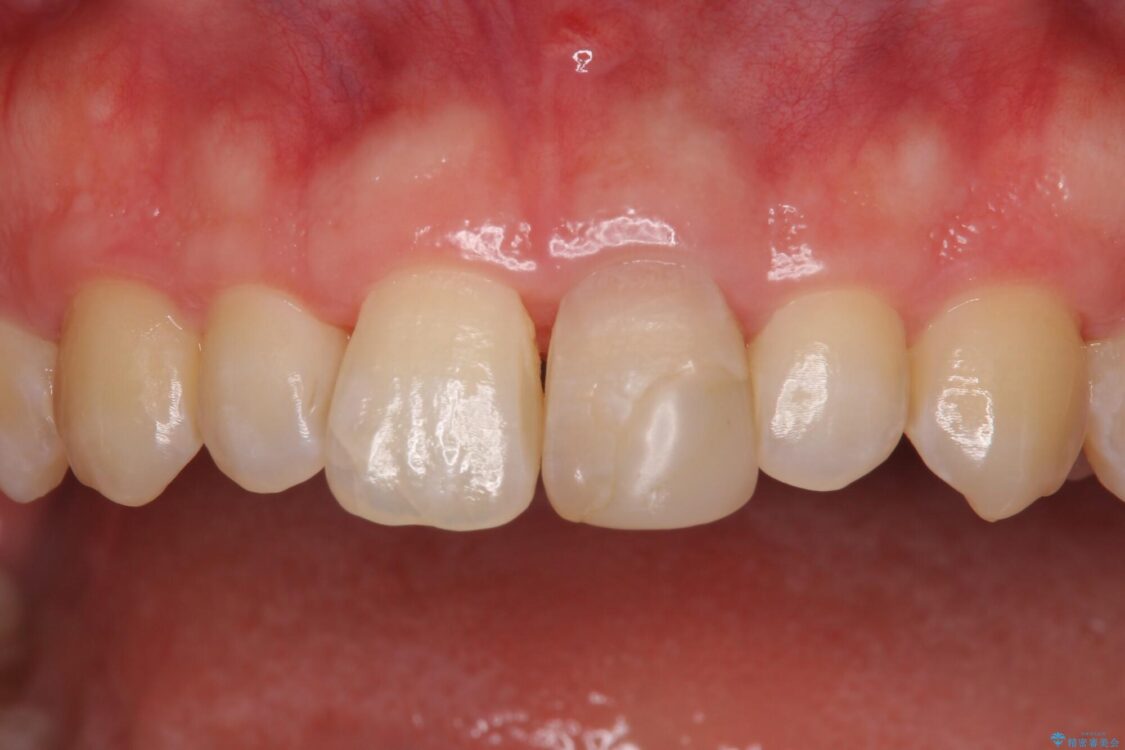
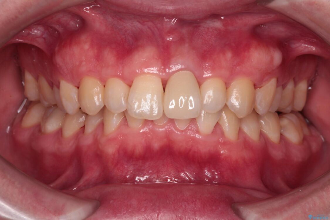
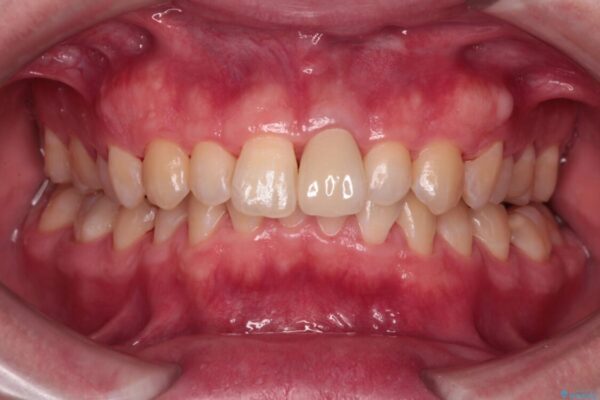
神経を取り除いたことで変色した前歯を気にして来院された患者様です。

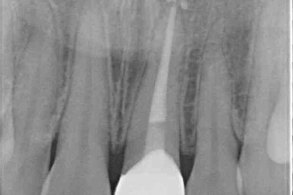
治療計画

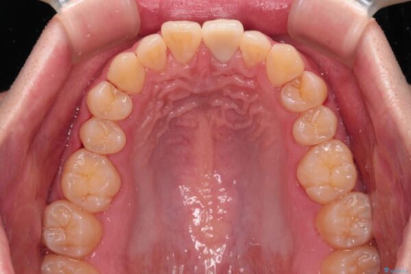
根管治療はやり直さずに、ファイバーポストを使用した土台を植立してオールセラミッククラウンにて補綴することとしました。

治療後について

神経を取り除いた歯は時間とともに変色してきます。
クリーニングやホワイトニングでは改善できないため、オールセラミッククラウンなどによる補綴治療が必要となります。

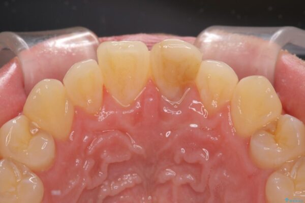
治療前
  • 変色した前歯をオールセラミッククラウンに 治療前画像
  • 変色した前歯をオールセラミッククラウンに 治療前画像
  • 変色した前歯をオールセラミッククラウンに 治療前画像
  • 変色した前歯をオールセラミッククラウンに 治療前画像
  • 変色した前歯をオールセラミッククラウンに 治療前画像
  • 変色した前歯をオールセラミッククラウンに 治療前画像
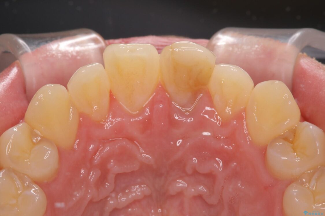
治療途中
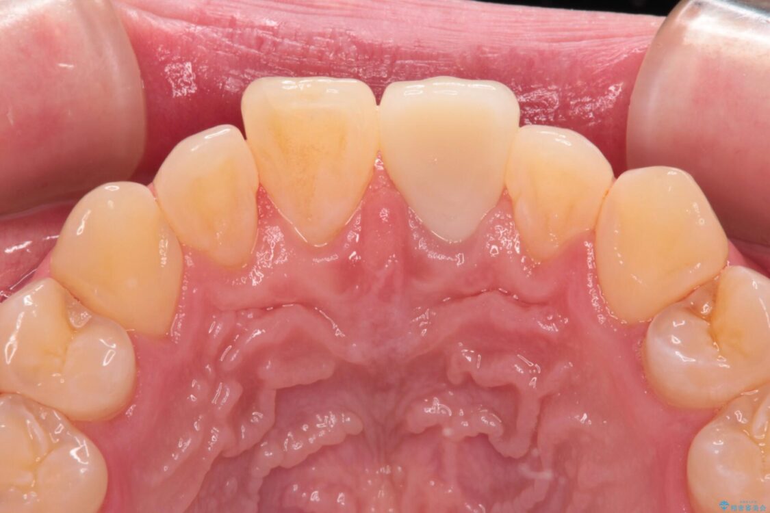
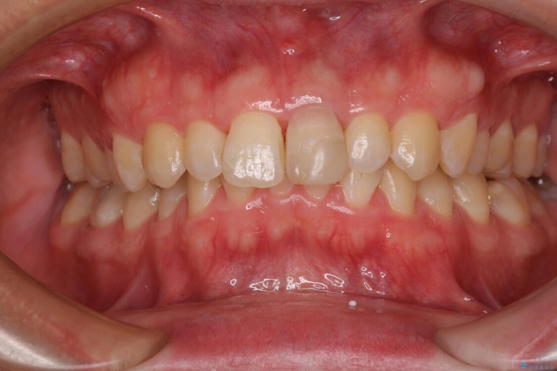
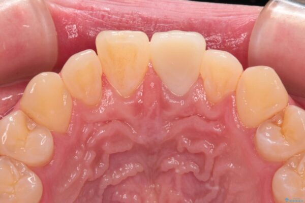
治療後
  • 変色した前歯をオールセラミッククラウンに 治療後画像
  • 変色した前歯をオールセラミッククラウンに 治療後画像
  • 変色した前歯をオールセラミッククラウンに 治療後画像
  • 変色した前歯をオールセラミッククラウンに 治療後画像
  • 変色した前歯をオールセラミッククラウンに 治療後画像
  • 変色した前歯をオールセラミッククラウンに 治療後画像

セラミック治療の注意事項(リスク・副作用など)

・天然歯を削ります。
・硬い素材は天然歯を傷つけてしまう場合があります。
・かみ合わせや歯ぎしりが強すぎる方はセラミックが割れてしまう可能性があります。
・自費診療(保険適用外治療)となります。

その他の注意事項(リスク・副作用など)

・担当歯科医師、歯科衛生士又は医院スタッフから受けた説明、注意事項をよくご確認ください。
・医療を提供するに当たり、適切な説明を行い、患者様の十分な理解を得るよう努めております。

当サイトの内容、テキスト、画像等の無断転載、複製、複写、盗用を固く禁じます。

24時間受付 Web申し込み


無料カウンセリング予約

無料の個別相談(予約制)を実施しております

医院直通 電話予約
03-3231-0777

平日 11:00~20:00 / 土日 10:00~18:00

※ お電話での治療に関するご相談は、ドクターによる対応ができないためお受けできません