奥歯がズキズキと痛む 奥歯の虫歯治療

東京駅前しらゆり歯科

電話でのご予約、お問い合わせ
03-3231-0777

平日11:00~20:00 / 土日10:00~18:00

CASES

セラミック治療の症例

奥歯がズキズキと痛む 奥歯の虫歯治療

治療症例のビフォーアフターと詳細

患者様
30代女性
治療期間
2ヶ月
治療回数
5-10回
概算治療費
25万円(税込)(※費用は治療当時の料金となります)
担当医
藤巻太一朗

治療動機

奥歯がズキズキと痛み、食事で噛むことができないとのことで来院された患者様です。 以前治療を受けたとき、むし歯が大きかったため、神経組織が炎症を起こす可能性があると指摘をされていたとのことでした。

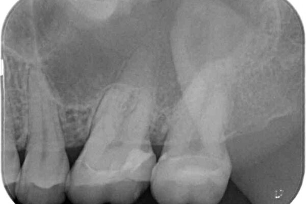
治療計画

レントゲン写真から、神経組織近くにまで大きな修復物が認められました。
叩いたり、冷熱や電気刺激によるテストを行ったりとしましたが、炎症の状態は芳しくなく、根管治療を行う前提で処置を行うこととしました。
強い咬合力を負担する第一大臼歯であるため、根管治療後は速やかにオールセラミッククラウンにて補綴治療を行うこととしました。

治療後について

初診時は神経組織の生活反応が認められましたが、2日後に処置を行ったときには、既に反応はなくなっている状態でした。
神経組織は壊死が始まっておりましたが、初回処置後には痛みを感じることもなくなり、2回目に無事に根管治療を終えることができました。

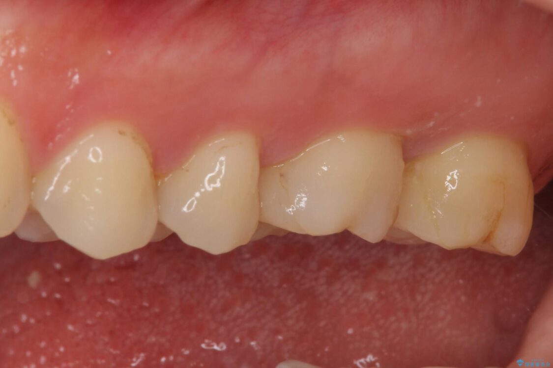
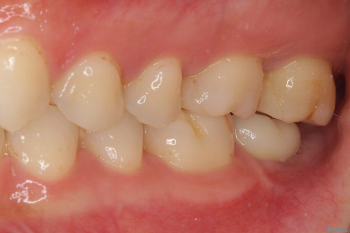
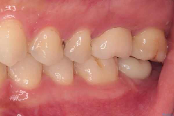
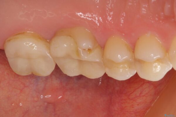
治療前
  • 奥歯がズキズキと痛む 奥歯の虫歯治療 治療前画像
  • 奥歯がズキズキと痛む 奥歯の虫歯治療 治療前画像
  • 奥歯がズキズキと痛む 奥歯の虫歯治療 治療前画像
  • 奥歯がズキズキと痛む 奥歯の虫歯治療 治療前画像
  • 奥歯がズキズキと痛む 奥歯の虫歯治療 治療前画像
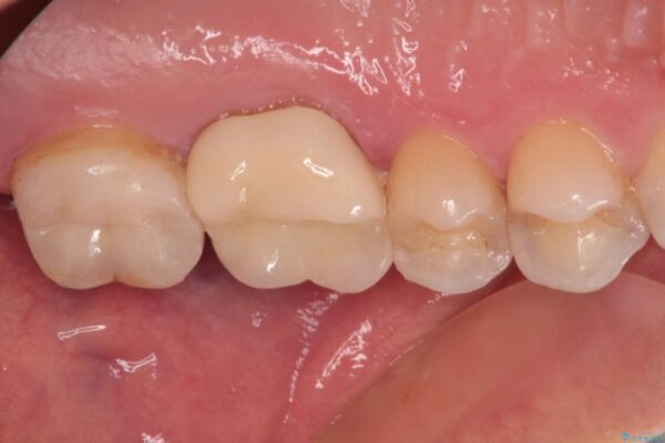
治療途中
  • 奥歯がズキズキと痛む 奥歯の虫歯治療 治療途中画像
  • 奥歯がズキズキと痛む 奥歯の虫歯治療 治療途中画像
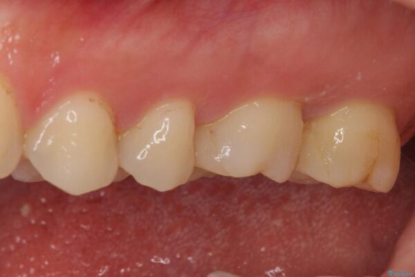
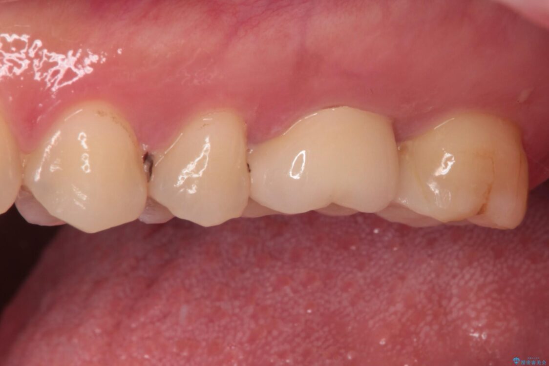
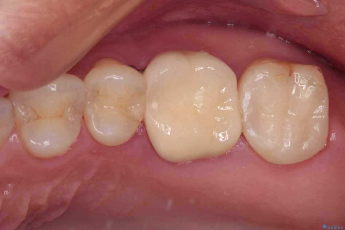
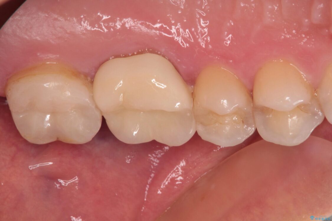
治療後
  • 奥歯がズキズキと痛む 奥歯の虫歯治療 治療後画像
  • 奥歯がズキズキと痛む 奥歯の虫歯治療 治療後画像
  • 奥歯がズキズキと痛む 奥歯の虫歯治療 治療後画像
  • 奥歯がズキズキと痛む 奥歯の虫歯治療 治療後画像
  • 奥歯がズキズキと痛む 奥歯の虫歯治療 治療後画像

セラミック治療の注意事項(リスク・副作用など)

・天然歯を削ります。
・硬い素材は天然歯を傷つけてしまう場合があります。
・かみ合わせや歯ぎしりが強すぎる方はセラミックが割れてしまう可能性があります。
・自費診療(保険適用外治療)となります。

根管治療の注意事項(リスク・副作用など)

・根管治療は非常に成功率の高い治療ですが、治療の成否を決める多くの要素があるため、根管治療がなされた後も再治療、外科処置、抜歯などの処置をしなくてはならなくなることもあります。
・根管治療中には、器具の破折、穿孔、修復物の損傷、歯の破折、術中・術後の不快症状、術後の痛みや腫脹などの事象が稀ではありますが起こりうることがあります。
・自費診療(保険適用外治療)となります。

その他の注意事項(リスク・副作用など)

・担当歯科医師、歯科衛生士又は医院スタッフから受けた説明、注意事項をよくご確認ください。
・医療を提供するに当たり、適切な説明を行い、患者様の十分な理解を得るよう努めております。

当サイトの内容、テキスト、画像等の無断転載、複製、複写、盗用を固く禁じます。

24時間受付 Web申し込み


無料カウンセリング予約

無料の個別相談(予約制)を実施しております

医院直通 電話予約
03-3231-0777

平日 11:00~20:00 / 土日 10:00~18:00

※ お電話での治療に関するご相談は、ドクターによる対応ができないためお受けできません