インビザラインによる矯正治療と奥歯のインプラント治療

東京駅前しらゆり歯科

電話でのご予約、お問い合わせ
03-3231-0777

平日11:00~20:00 / 土日10:00~18:00

CASES

総合歯科治療の症例

インビザラインによる矯正治療と奥歯のインプラント治療

治療症例のビフォーアフターと詳細

患者様
30代女性
治療期間
3年6ヶ月
治療回数
10-30回
矯正装置
インビザライン
概算治療費
140万円(税込)(※費用は治療当時の料金となります)
担当医
藤巻太一朗

治療動機

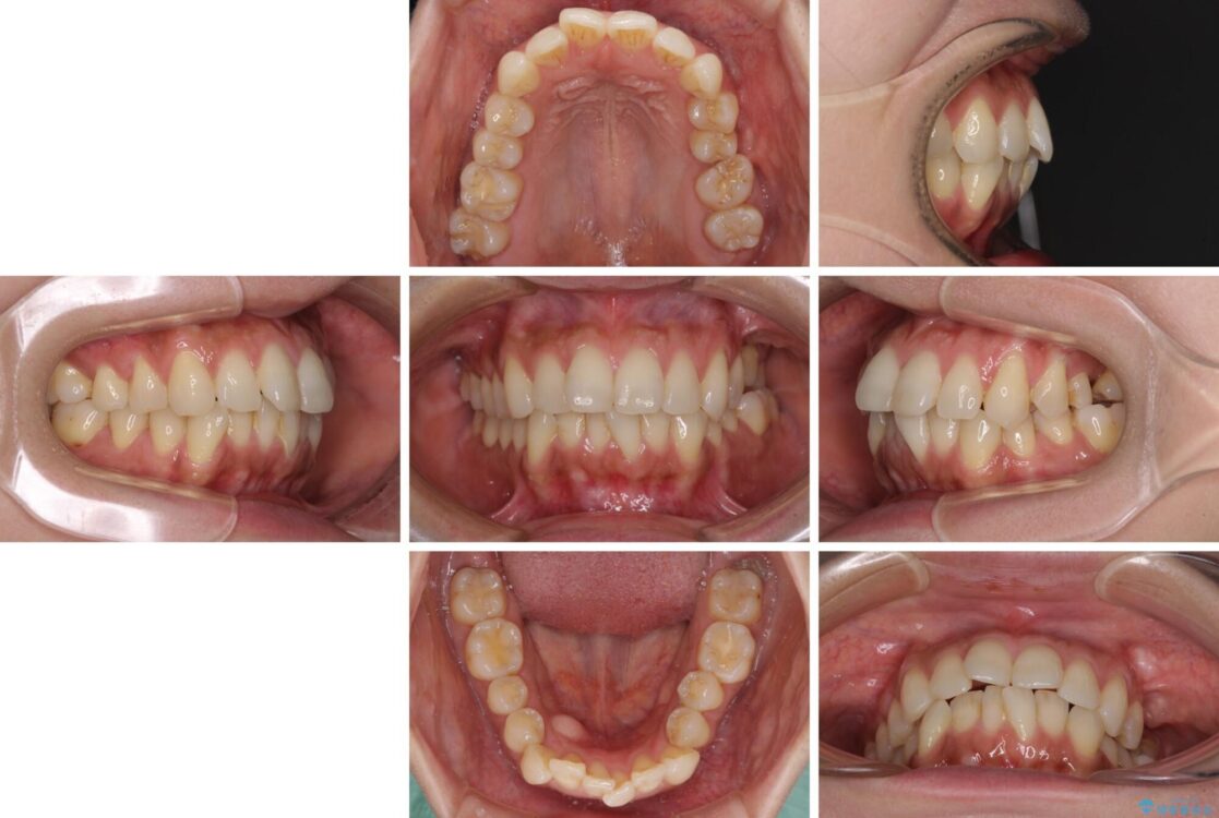
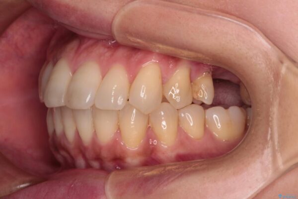
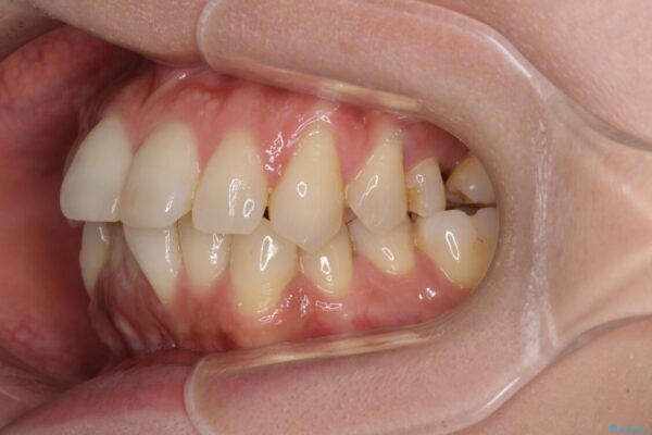
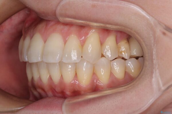
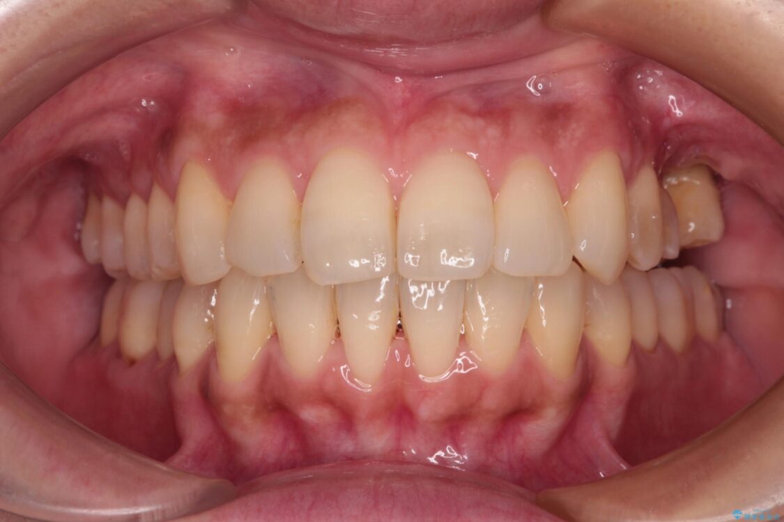
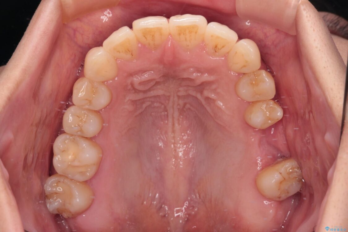
全体的なデコボコと、以前抜歯した歯のスペースを閉じた部分が気になるとのことで来院された患者様です。

治療計画

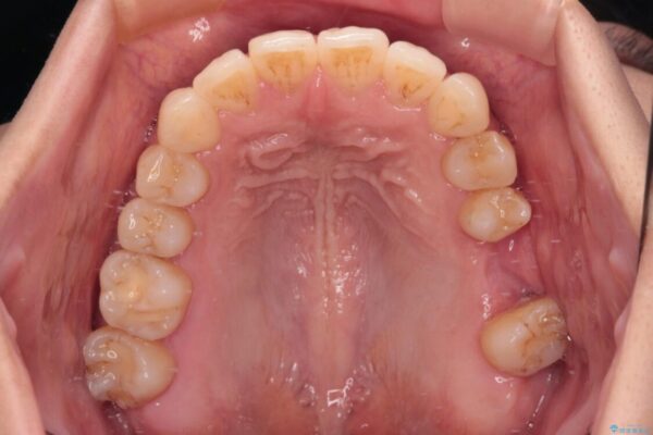
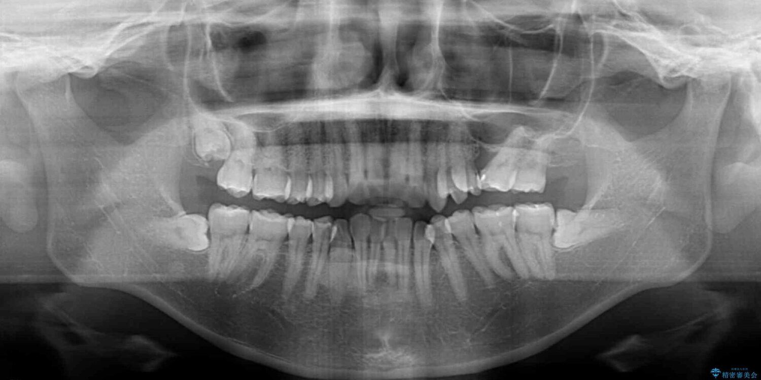
左上第一大臼歯を抜歯した際に、スペースを閉じたそうですが、歯が傾斜してものが挟まって不快とのことでした。
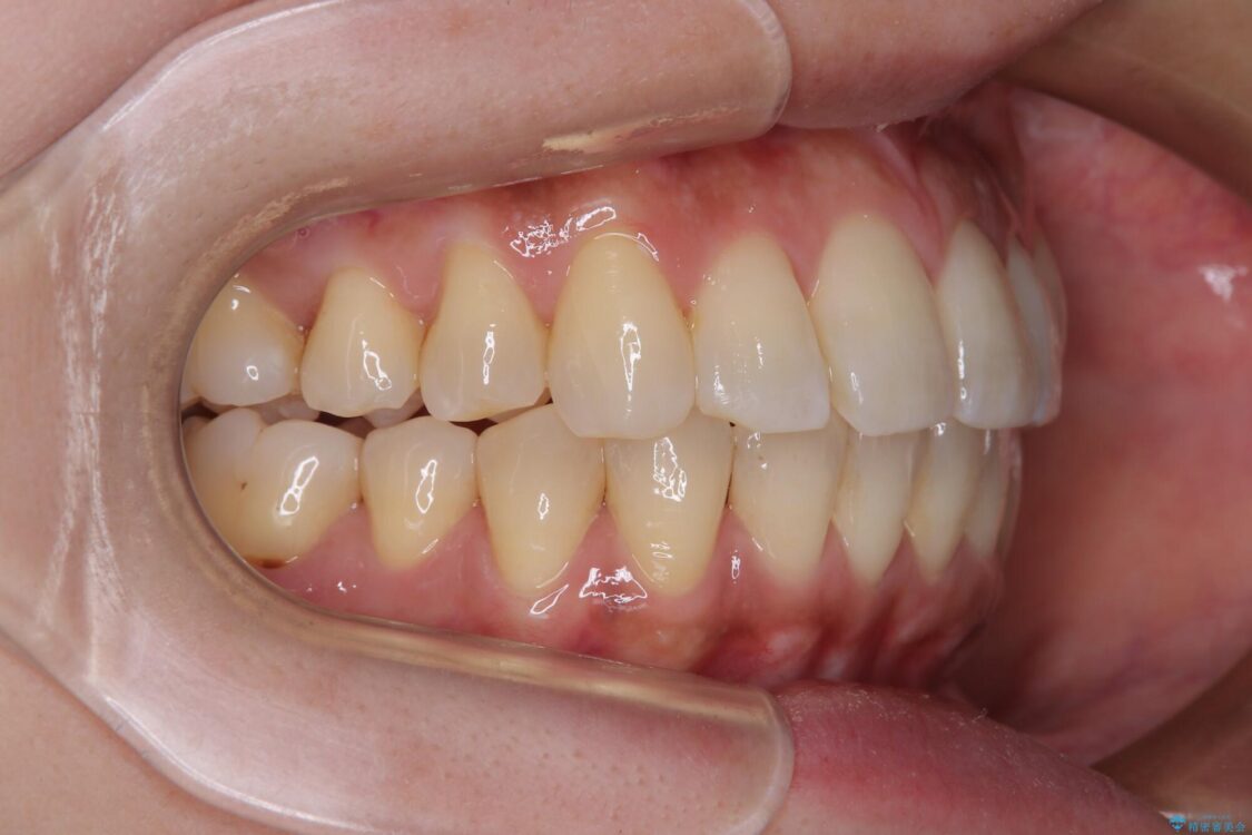
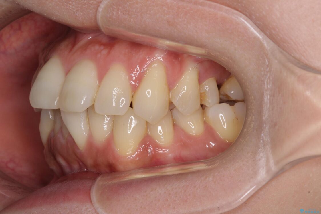
インビザライン矯正で全体の歯列と整えるとともに、左上第一大臼歯部にはスペースを作り、インプラントによる補綴治療を行うこととしました。

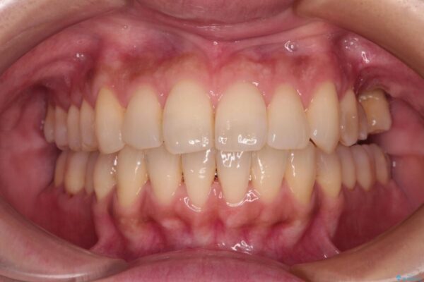
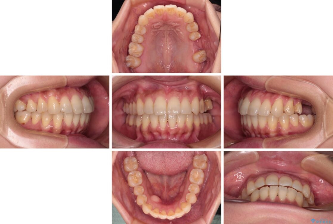
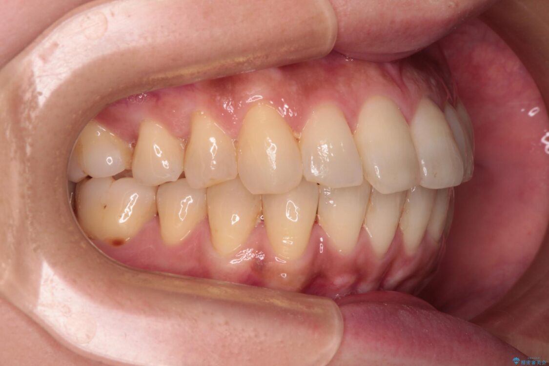
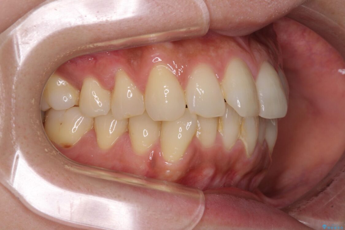
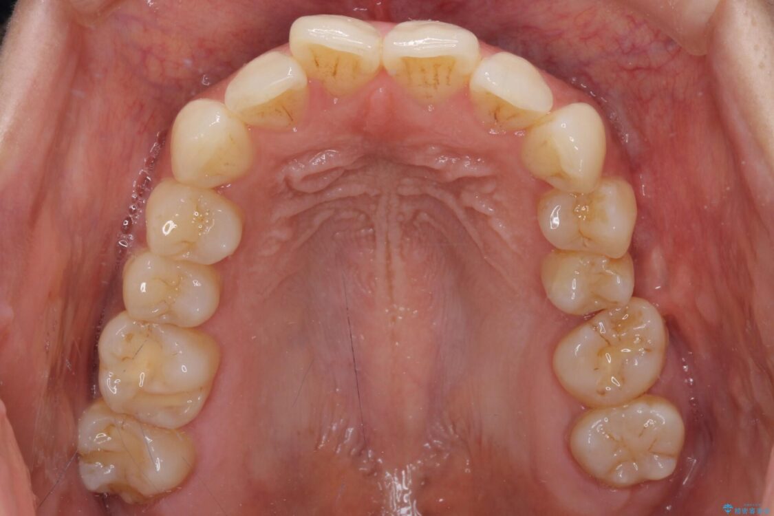
治療後について

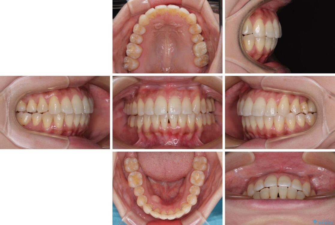
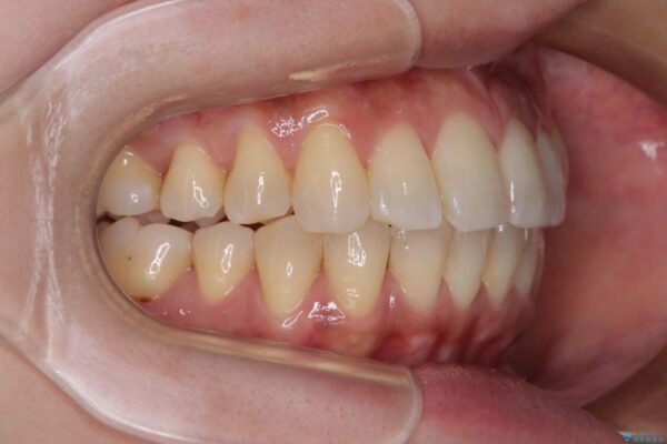
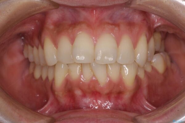
歯の傾斜が改善され、インプラントによるクラウンが装着されたことで、物が挟まることもなくなりました。

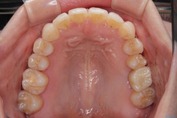
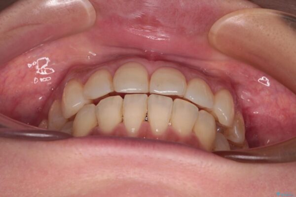
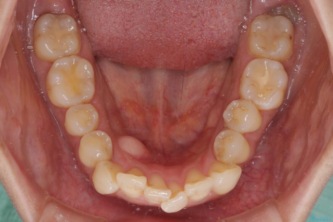
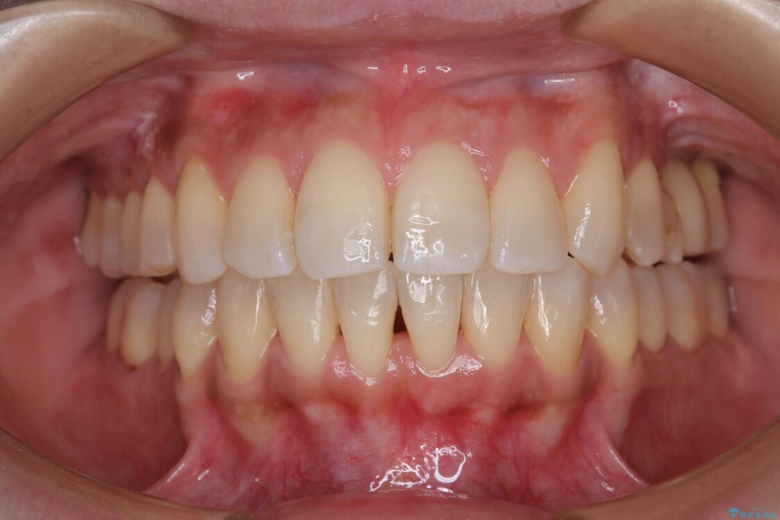
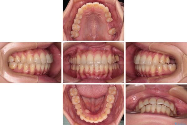
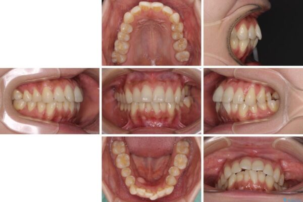
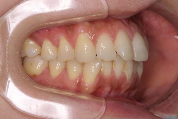
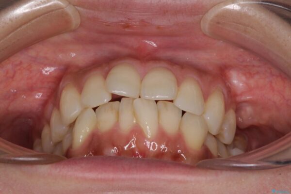
治療前
  • インビザラインによる矯正治療と奥歯のインプラント治療 治療前画像
  • インビザラインによる矯正治療と奥歯のインプラント治療 治療前画像
  • インビザラインによる矯正治療と奥歯のインプラント治療 治療前画像
  • インビザラインによる矯正治療と奥歯のインプラント治療 治療前画像
  • インビザラインによる矯正治療と奥歯のインプラント治療 治療前画像
  • インビザラインによる矯正治療と奥歯のインプラント治療 治療前画像
  • インビザラインによる矯正治療と奥歯のインプラント治療 治療前画像
  • インビザラインによる矯正治療と奥歯のインプラント治療 治療前画像
  • インビザラインによる矯正治療と奥歯のインプラント治療 治療前画像
  • インビザラインによる矯正治療と奥歯のインプラント治療 治療前画像
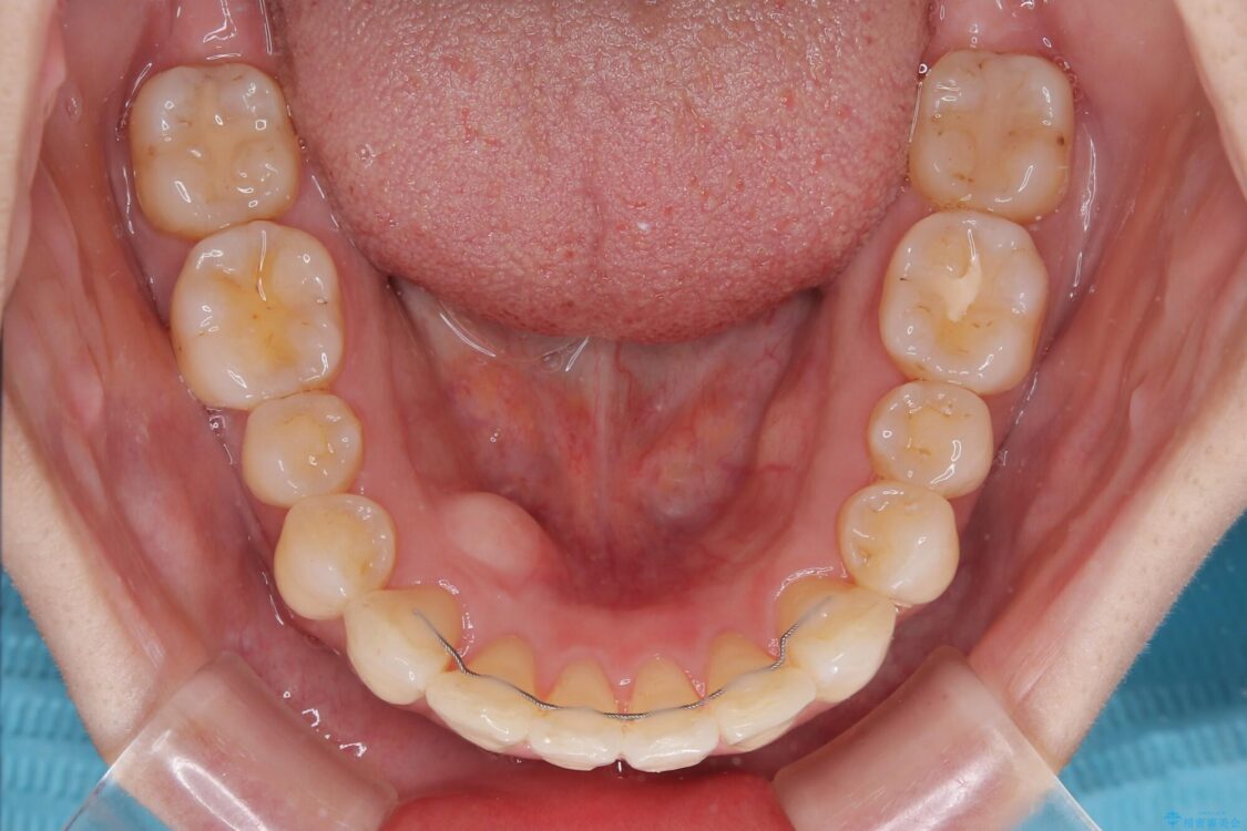
治療途中
  • インビザラインによる矯正治療と奥歯のインプラント治療 治療途中画像
  • インビザラインによる矯正治療と奥歯のインプラント治療 治療途中画像
  • インビザラインによる矯正治療と奥歯のインプラント治療 治療途中画像
  • インビザラインによる矯正治療と奥歯のインプラント治療 治療途中画像
  • インビザラインによる矯正治療と奥歯のインプラント治療 治療途中画像
  • インビザラインによる矯正治療と奥歯のインプラント治療 治療途中画像
  • インビザラインによる矯正治療と奥歯のインプラント治療 治療途中画像
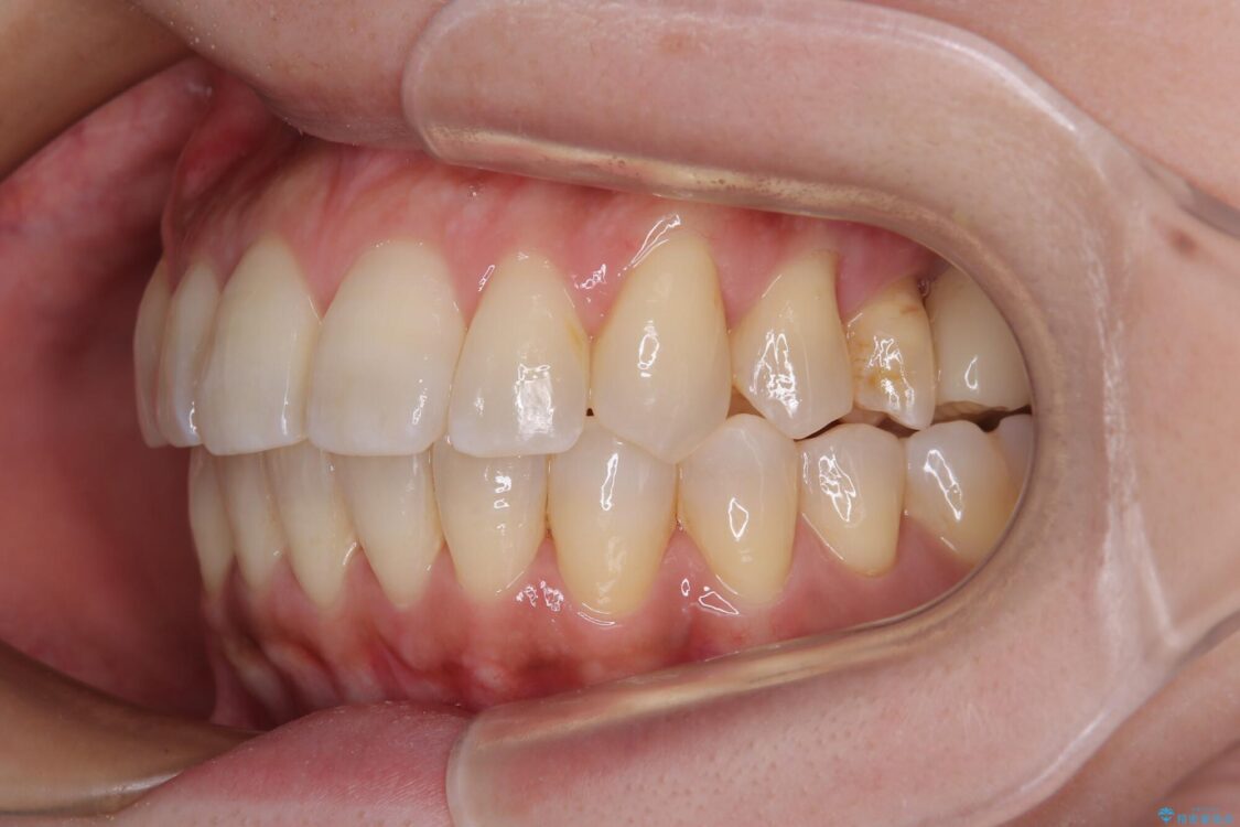
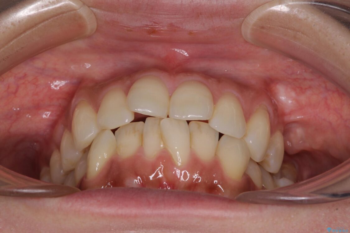
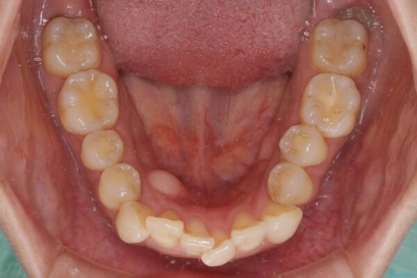
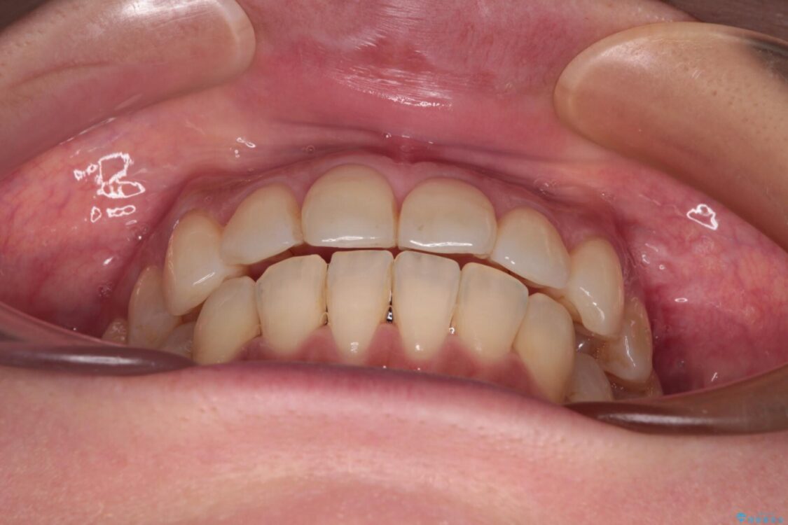
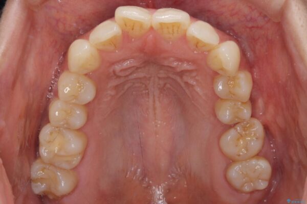
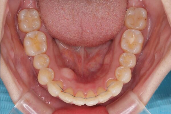
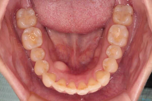
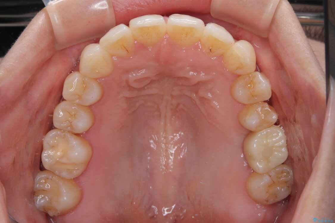
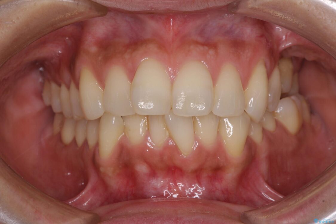
治療後
  • インビザラインによる矯正治療と奥歯のインプラント治療 治療後画像
  • インビザラインによる矯正治療と奥歯のインプラント治療 治療後画像
  • インビザラインによる矯正治療と奥歯のインプラント治療 治療後画像
  • インビザラインによる矯正治療と奥歯のインプラント治療 治療後画像
  • インビザラインによる矯正治療と奥歯のインプラント治療 治療後画像
  • インビザラインによる矯正治療と奥歯のインプラント治療 治療後画像
  • インビザラインによる矯正治療と奥歯のインプラント治療 治療後画像
  • インビザラインによる矯正治療と奥歯のインプラント治療 治療後画像
  • インビザラインによる矯正治療と奥歯のインプラント治療 治療後画像
  • インビザラインによる矯正治療と奥歯のインプラント治療 治療後画像

マウスピース矯正の注意事項(リスク・副作用など)

・口腔内・歯並びの状態によっては対応できない場合があります。
・マウスピース型矯正装置の長時間装着が必須です。
・治療計画通りに進めるためには、患者様の意志が重要になります。
・矯正治療後の保定が不十分だと後戻り(元の位置に戻ろうとする動き)をします。
・自費診療(保険適用外治療)となります。
・※薬機法対象外の矯正歯科装置のため医薬品副作用被害救済制度の対象外となる場合があります。

インプラント治療の注意事項(リスク・副作用など)

・外科手術のため、術後に痛みや腫れ、違和感を伴います。
・メンテナンスを怠ったり喫煙をしたりすることにより、お口の中に大きな悪影響を及ぼすインプラント周囲炎等にかかる可能性があります。
・糖尿病、肝硬変、心臓病等の場合、インプラント治療ができない可能性があります。
・高血圧、貧血・不整脈等の場合、インプラント治療後に治癒不全を招く可能性があります。
・自費診療(保険適用外治療)となります。

セラミック治療の注意事項(リスク・副作用など)

・天然歯を削ります。
・硬い素材は天然歯を傷つけてしまう場合があります。
・かみ合わせや歯ぎしりが強すぎる方はセラミックが割れてしまう可能性があります。
・自費診療(保険適用外治療)となります。

その他の注意事項(リスク・副作用など)

・担当歯科医師、歯科衛生士又は医院スタッフから受けた説明、注意事項をよくご確認ください。
・医療を提供するに当たり、適切な説明を行い、患者様の十分な理解を得るよう努めております。

当サイトの内容、テキスト、画像等の無断転載、複製、複写、盗用を固く禁じます。

24時間受付 Web申し込み


無料カウンセリング予約

無料の個別相談(予約制)を実施しております

医院直通 電話予約
03-3231-0777

平日 11:00~20:00 / 土日 10:00~18:00

※ お電話での治療に関するご相談は、ドクターによる対応ができないためお受けできません