【モニター】飛び出た前歯を整えたい ワイヤー矯正治療

東京駅前しらゆり歯科

電話でのご予約、お問い合わせ
03-3231-0777

平日11:00~20:00 / 土日10:00~18:00

CASES

ワイヤー矯正の症例

【モニター】飛び出た前歯を整えたい ワイヤー矯正治療

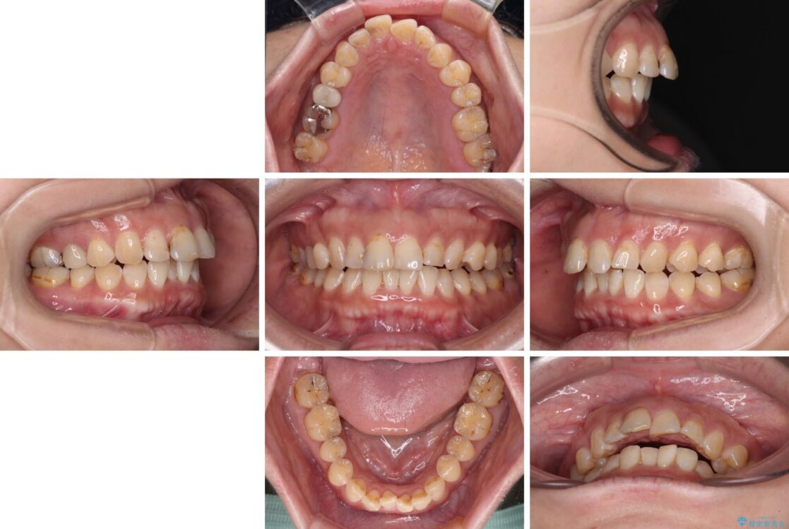
治療症例のビフォーアフターと詳細

患者様
40代女性
治療期間
11ヶ月
治療回数
10-30回
矯正装置
審美装置
概算治療費
105万円(税込)(※費用は治療当時の料金となります)
担当医
藤巻太一朗

治療動機

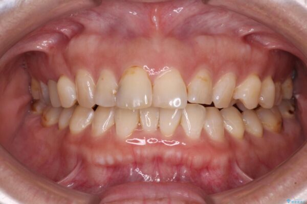
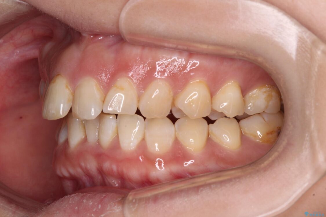
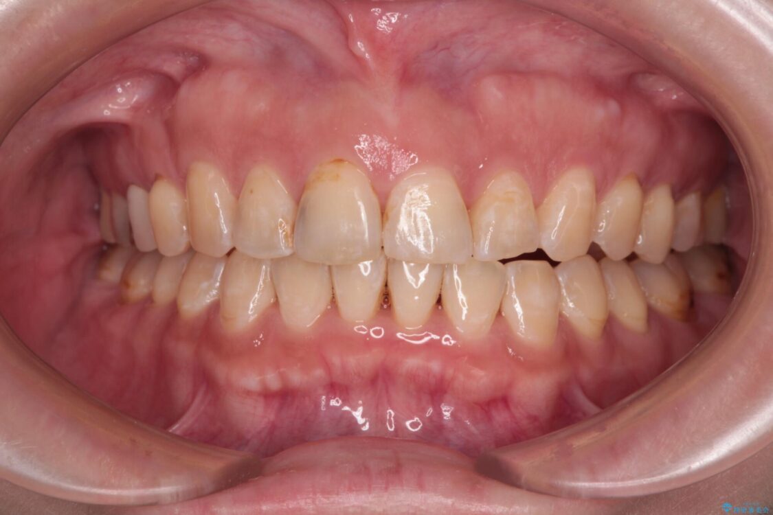
飛び出た上の前歯を気にして来院された患者様です。

治療計画

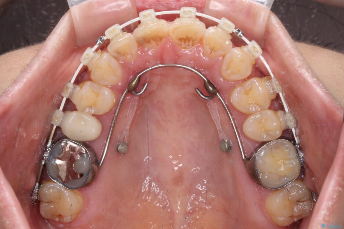
奥歯の咬み合わせは、上顎歯列が理想的な一よりも数mm前方にある状態でした。
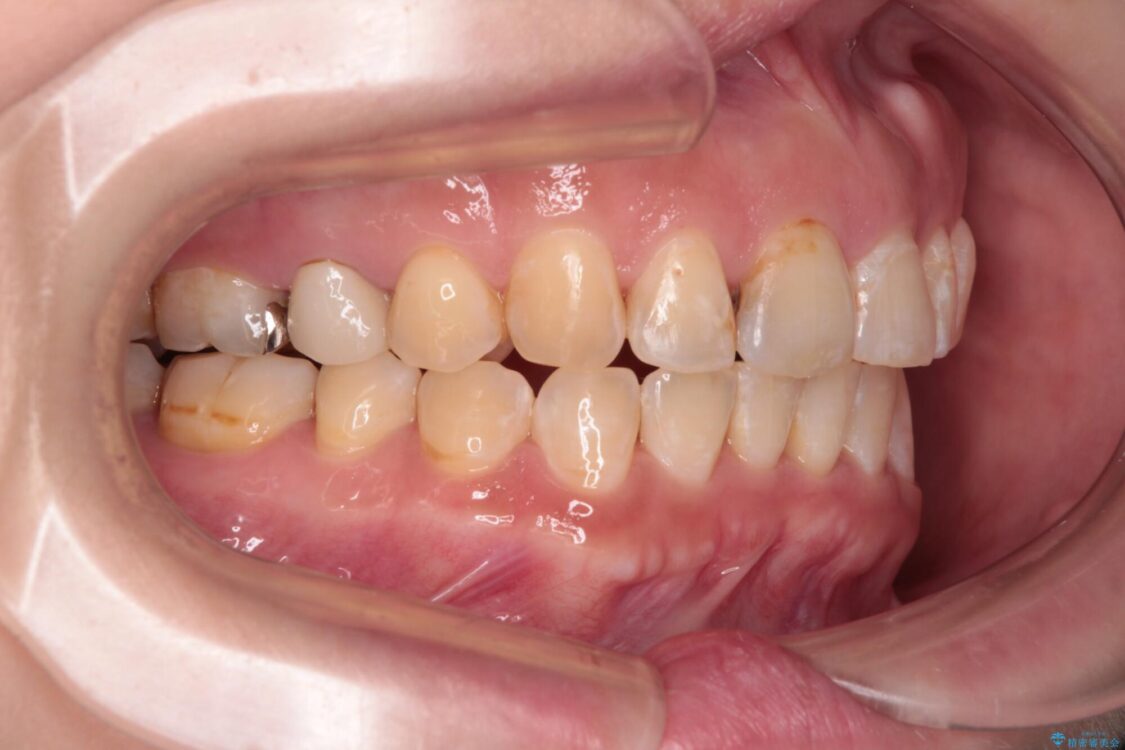
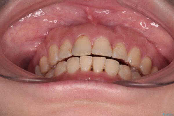
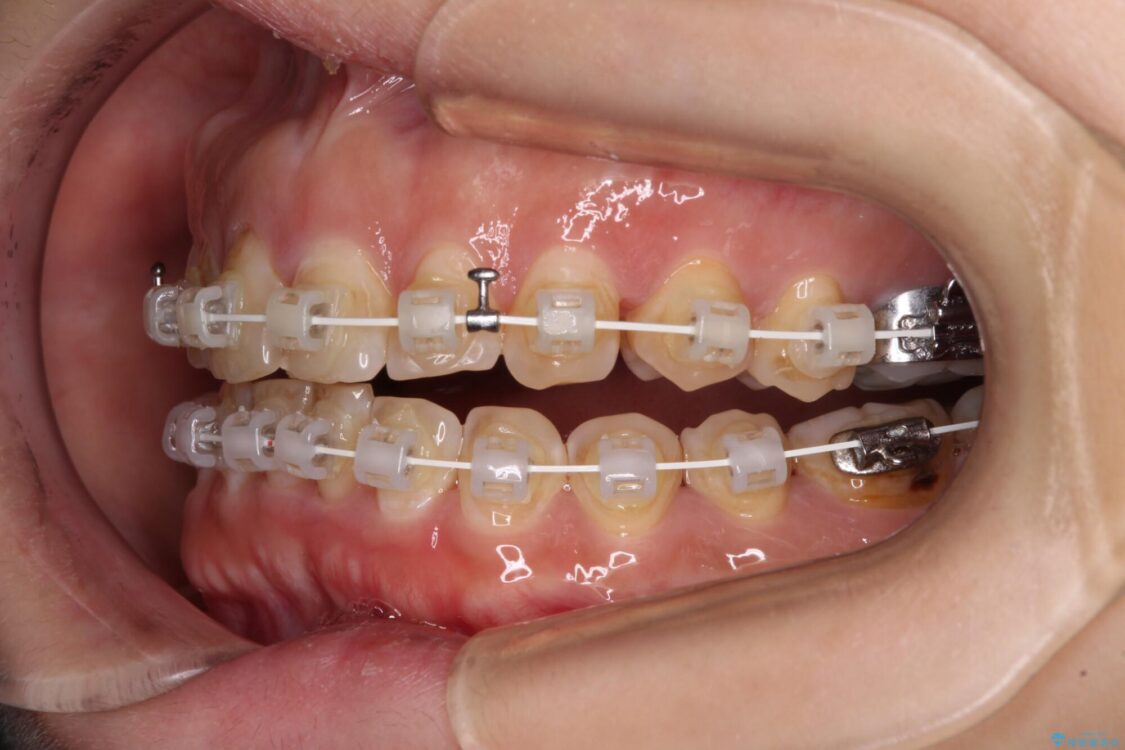
なるべく早めに治療を終えたいとのことで、補助装置を用いて上顎臼歯を後方に移動させ、同時にワイヤー装置にて整えることとしました。

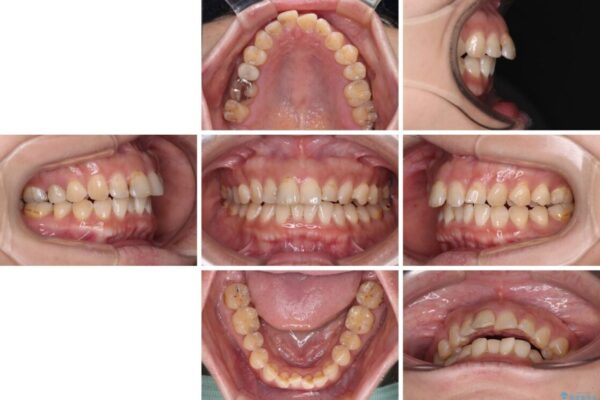
治療後について

舌の突出癖が原因で上下の歯に大きなスペースが生じていたため、舌のトレーニングをしっかり行っていただくことで、上顎歯列をスムーズに移動させることができました。

※顔写真掲載にあたり、患者様の了解を得ております

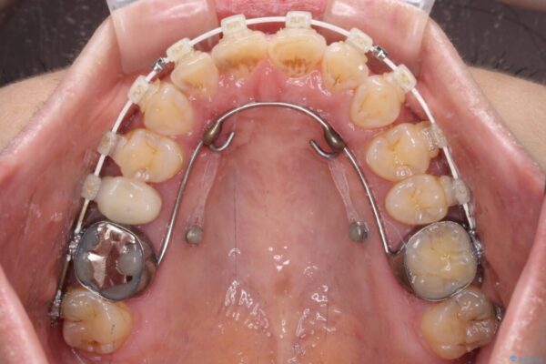
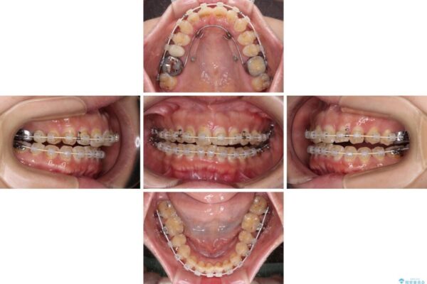
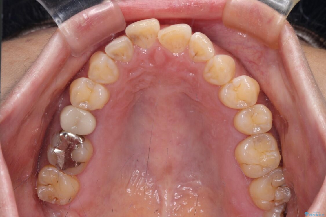
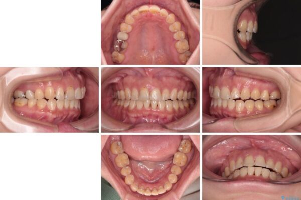
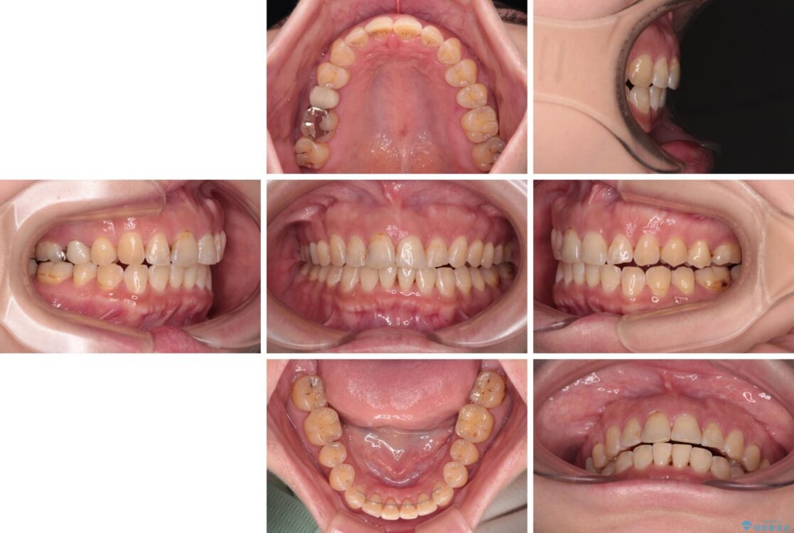
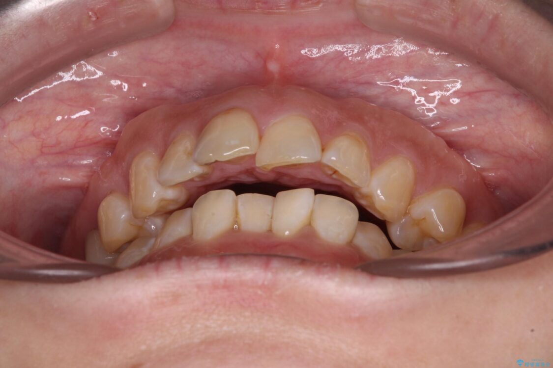
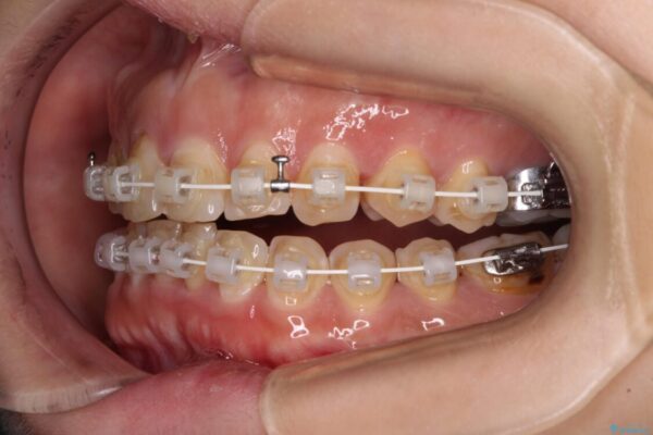
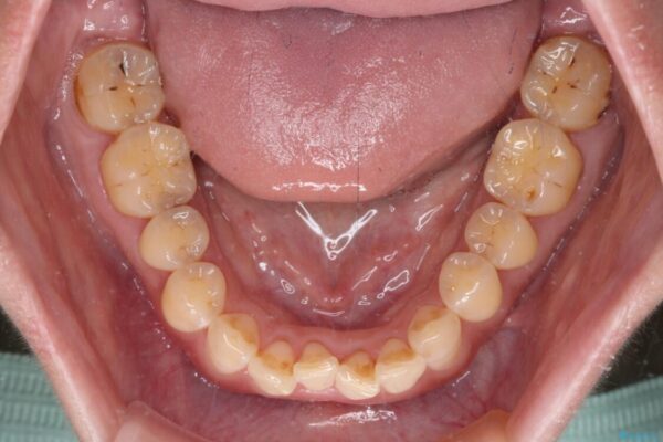
治療前
  • 【モニター】飛び出た前歯を整えたい ワイヤー矯正治療 治療前画像
  • 【モニター】飛び出た前歯を整えたい ワイヤー矯正治療 治療前画像
  • 【モニター】飛び出た前歯を整えたい ワイヤー矯正治療 治療前画像
  • 【モニター】飛び出た前歯を整えたい ワイヤー矯正治療 治療前画像
  • 【モニター】飛び出た前歯を整えたい ワイヤー矯正治療 治療前画像
  • 【モニター】飛び出た前歯を整えたい ワイヤー矯正治療 治療前画像
  • 【モニター】飛び出た前歯を整えたい ワイヤー矯正治療 治療前画像
  • 【モニター】飛び出た前歯を整えたい ワイヤー矯正治療 治療前画像
  • 【モニター】飛び出た前歯を整えたい ワイヤー矯正治療 治療前画像
  • 【モニター】飛び出た前歯を整えたい ワイヤー矯正治療 治療前画像
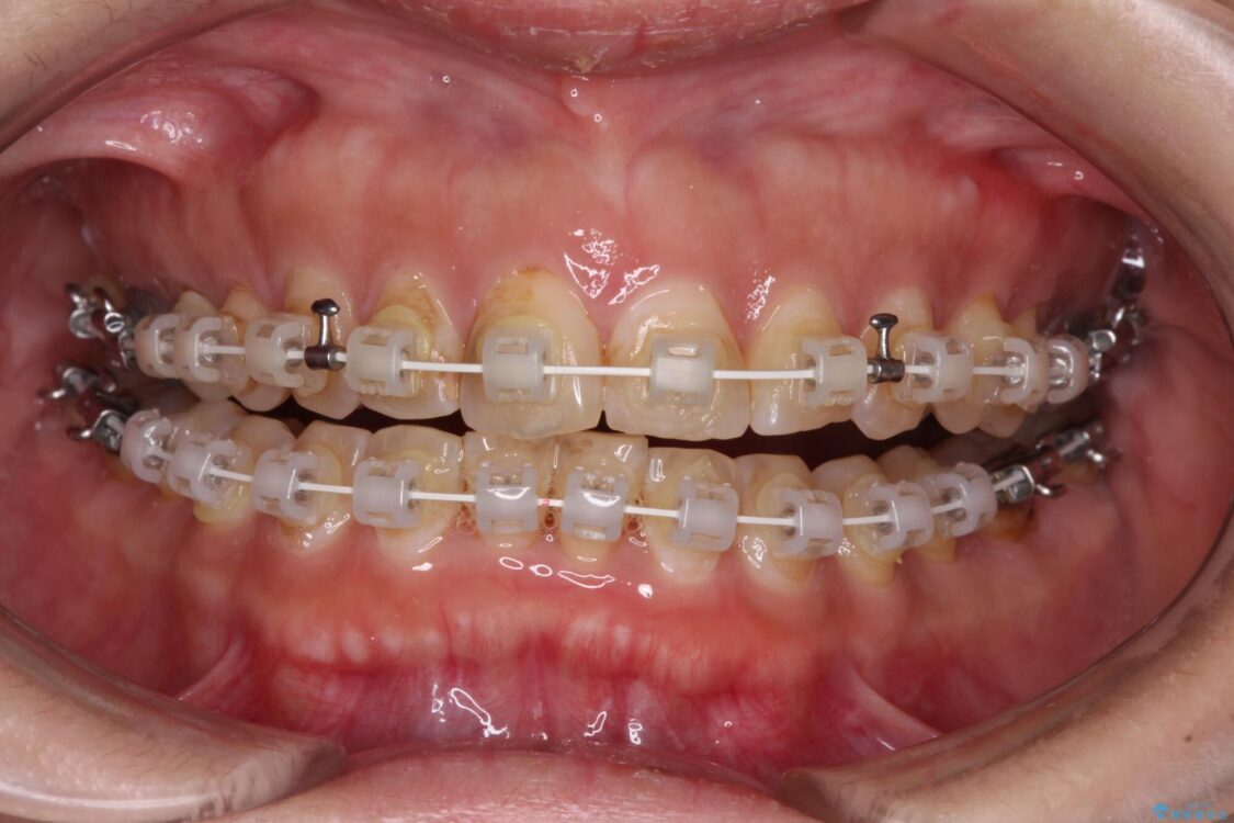
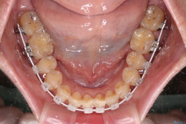
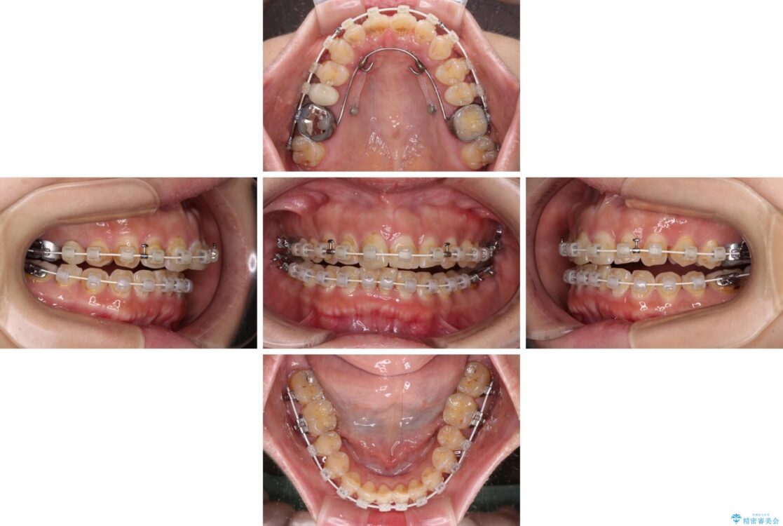
治療途中
  • 【モニター】飛び出た前歯を整えたい ワイヤー矯正治療 治療途中画像
  • 【モニター】飛び出た前歯を整えたい ワイヤー矯正治療 治療途中画像
  • 【モニター】飛び出た前歯を整えたい ワイヤー矯正治療 治療途中画像
  • 【モニター】飛び出た前歯を整えたい ワイヤー矯正治療 治療途中画像
  • 【モニター】飛び出た前歯を整えたい ワイヤー矯正治療 治療途中画像
  • 【モニター】飛び出た前歯を整えたい ワイヤー矯正治療 治療途中画像
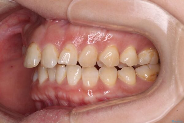
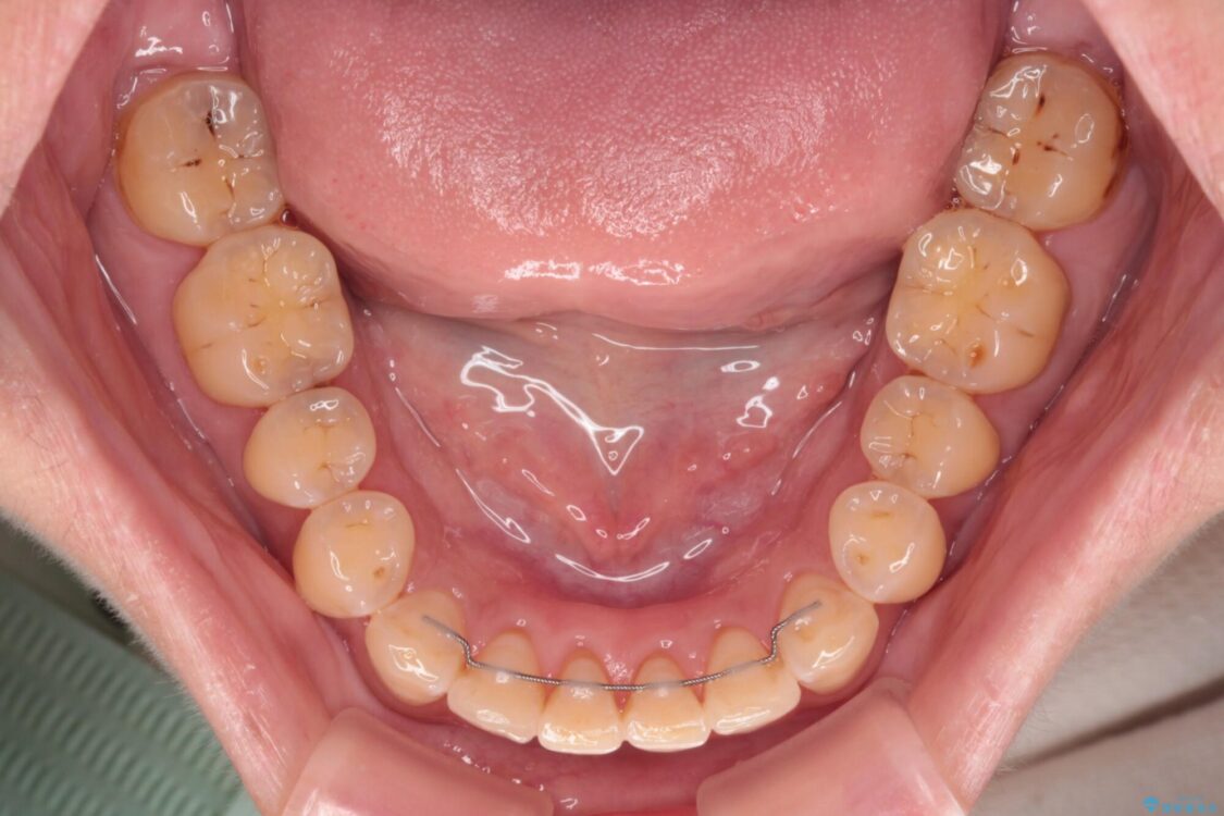
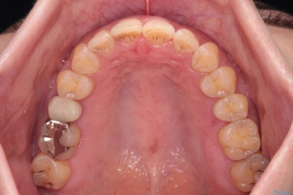
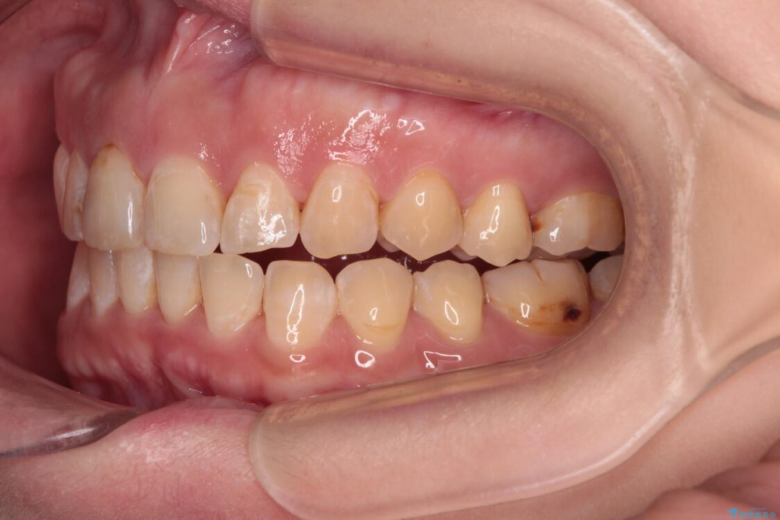
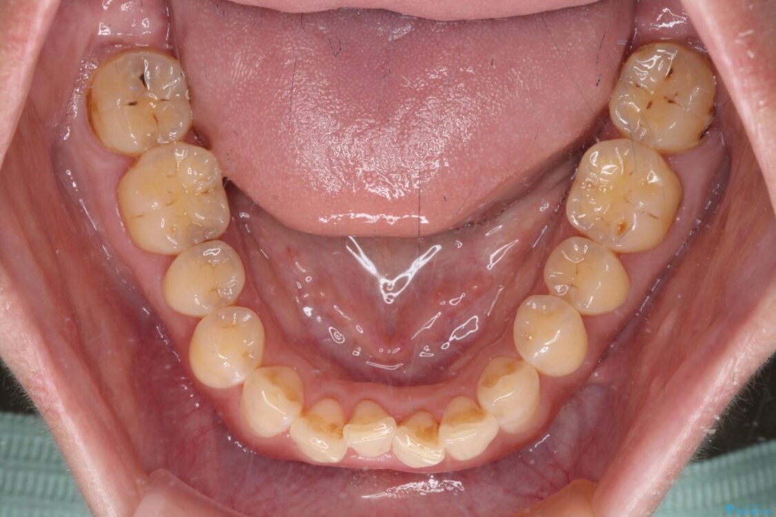
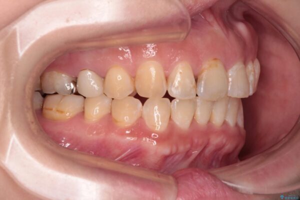
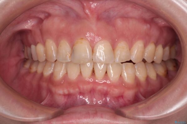
治療後
  • 【モニター】飛び出た前歯を整えたい ワイヤー矯正治療 治療後画像
  • 【モニター】飛び出た前歯を整えたい ワイヤー矯正治療 治療後画像
  • 【モニター】飛び出た前歯を整えたい ワイヤー矯正治療 治療後画像
  • 【モニター】飛び出た前歯を整えたい ワイヤー矯正治療 治療後画像
  • 【モニター】飛び出た前歯を整えたい ワイヤー矯正治療 治療後画像
  • 【モニター】飛び出た前歯を整えたい ワイヤー矯正治療 治療後画像
  • 【モニター】飛び出た前歯を整えたい ワイヤー矯正治療 治療後画像
  • 【モニター】飛び出た前歯を整えたい ワイヤー矯正治療 治療後画像
  • 【モニター】飛び出た前歯を整えたい ワイヤー矯正治療 治療後画像
  • 【モニター】飛び出た前歯を整えたい ワイヤー矯正治療 治療後画像

ワイヤー矯正の注意事項(リスク・副作用など)

・治療中は違和感や痛みが起こることがあります。
・症状により、抜歯が必要な場合があります。
・治療中は歯磨きがしにくくなるため、虫歯や歯周病になりやすくなります。
・矯正治療後の保定が不十分だと後戻り(元の位置に戻ろうとする動き)をします。
・自費診療(保険適用外)となります。

その他の注意事項(リスク・副作用など)

・担当歯科医師、歯科衛生士又は医院スタッフから受けた説明、注意事項をよくご確認ください。
・医療を提供するに当たり、適切な説明を行い、患者様の十分な理解を得るよう努めております。

当サイトの内容、テキスト、画像等の無断転載、複製、複写、盗用を固く禁じます。

24時間受付 Web申し込み


無料カウンセリング予約

無料の個別相談(予約制)を実施しております

医院直通 電話予約
03-3231-0777

平日 11:00~20:00 / 土日 10:00~18:00

※ お電話での治療に関するご相談は、ドクターによる対応ができないためお受けできません