【モニター】口が閉じられない ワイヤー装置での抜歯矯正

東京駅前しらゆり歯科

電話でのご予約、お問い合わせ
03-3231-0777

平日11:00~20:00 / 土日10:00~18:00

CASES

ワイヤー矯正の症例

【モニター】口が閉じられない ワイヤー装置での抜歯矯正

治療症例のビフォーアフターと詳細

患者様
20代女性
治療期間
1年1ヶ月
治療回数
10-30回
矯正装置
メタルブラケット
概算治療費
90万円(税込)(※費用は治療当時の料金となります)
担当医
藤巻太一朗

治療動機

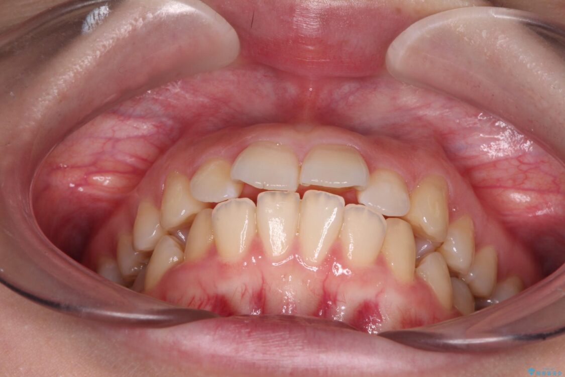
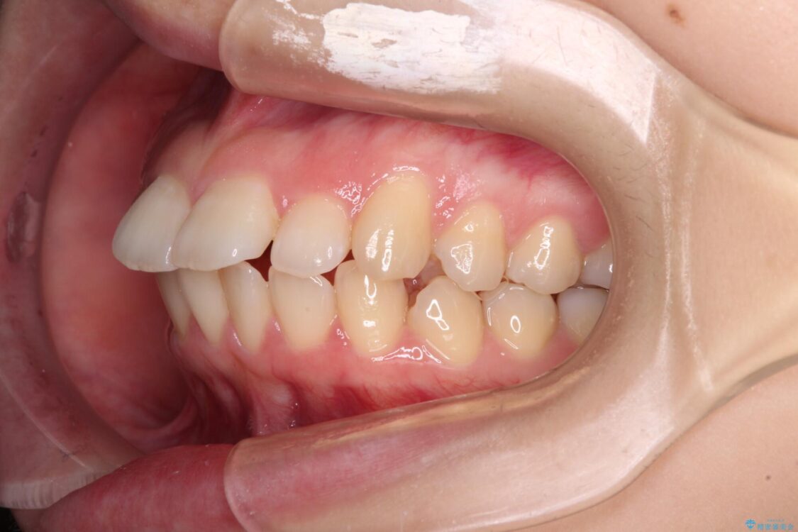
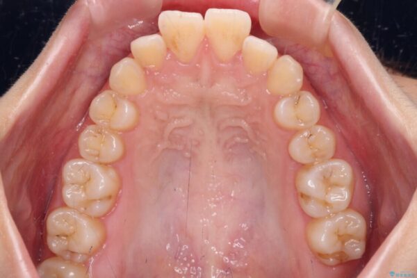
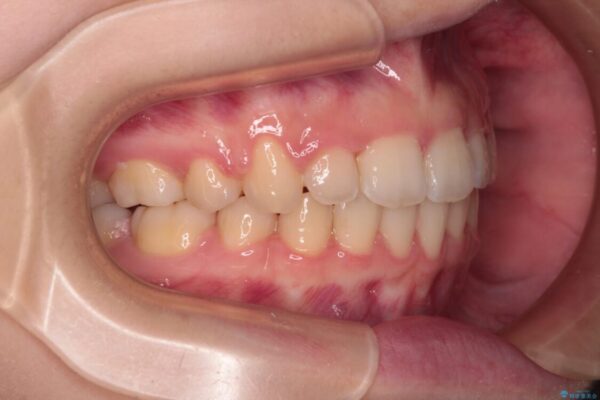
上下の前歯が突出しており、口が閉じにくいとのことで来院された患者様です。

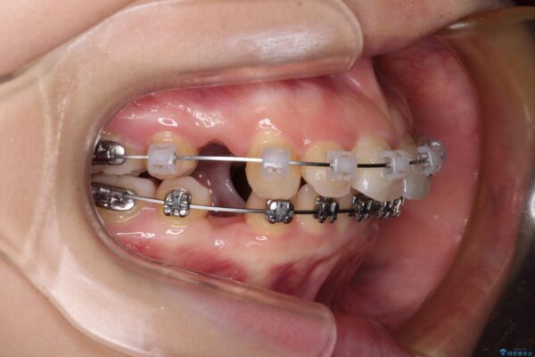
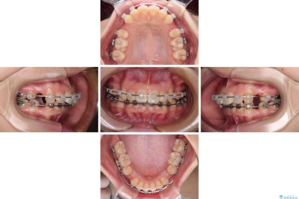
治療計画

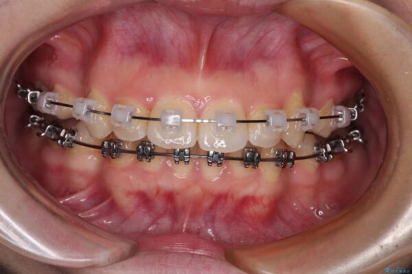
上下前歯が著しく前突している状態であったので、上下左右の第1小臼歯4本を抜歯し、ワイヤー装置にて矯正治療を行うこととしました。
舌の突出癖により、前突になったと考えられたため、舌のトレーニングをしっかりと行うよう指導しました。

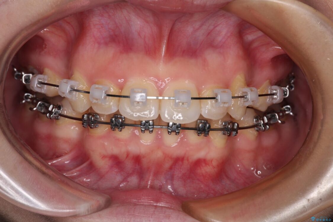
※写真にある上顎装置はメタルブラケットではありません。メーカー在庫都合などにより別の装置を使用しております。

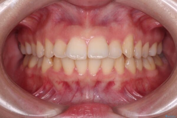
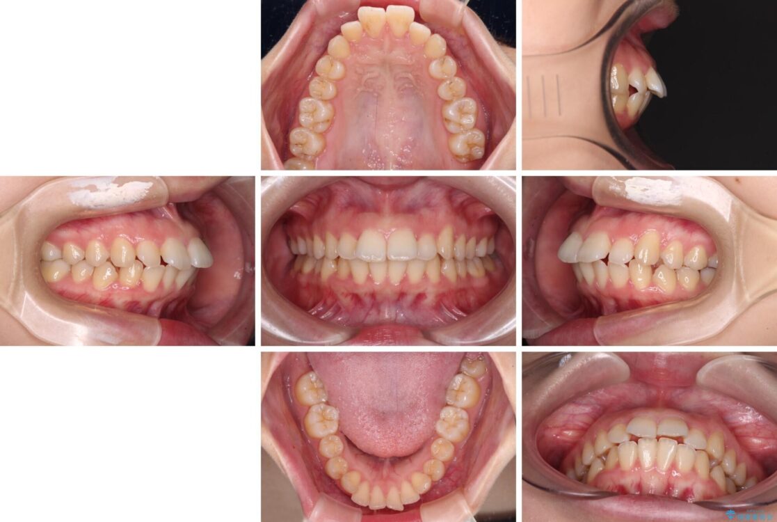
治療後について

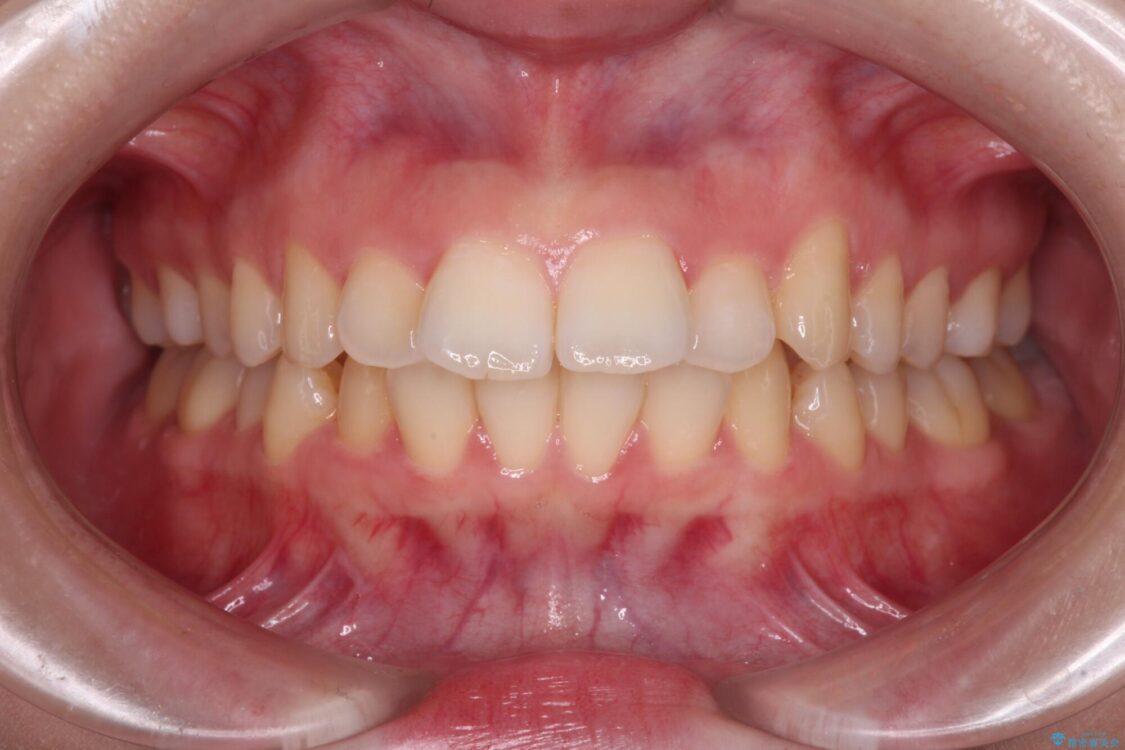
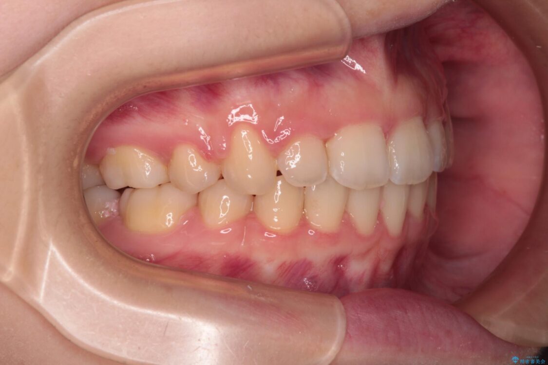
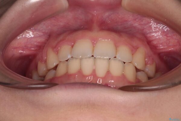
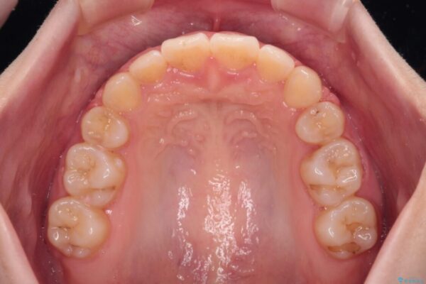
舌の突出癖があり、前歯の移動量も多くなるため、治療期間は長くなると予想されましたが、13ヶ月という予定の半分程度の期間で終えることができました。

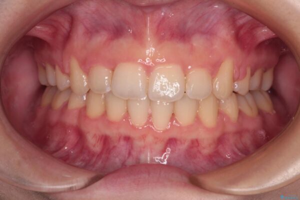
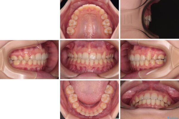
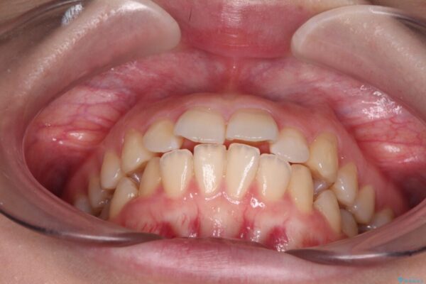
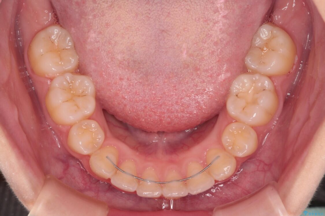
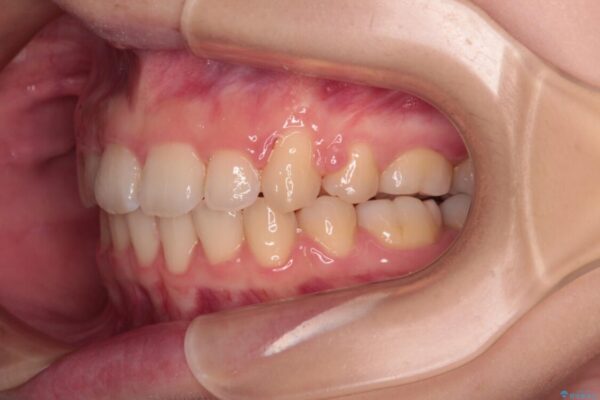
治療前
  • 【モニター】口が閉じられない ワイヤー装置での抜歯矯正 治療前画像
  • 【モニター】口が閉じられない ワイヤー装置での抜歯矯正 治療前画像
  • 【モニター】口が閉じられない ワイヤー装置での抜歯矯正 治療前画像
  • 【モニター】口が閉じられない ワイヤー装置での抜歯矯正 治療前画像
  • 【モニター】口が閉じられない ワイヤー装置での抜歯矯正 治療前画像
  • 【モニター】口が閉じられない ワイヤー装置での抜歯矯正 治療前画像
  • 【モニター】口が閉じられない ワイヤー装置での抜歯矯正 治療前画像
  • 【モニター】口が閉じられない ワイヤー装置での抜歯矯正 治療前画像
  • 【モニター】口が閉じられない ワイヤー装置での抜歯矯正 治療前画像
  • 【モニター】口が閉じられない ワイヤー装置での抜歯矯正 治療前画像
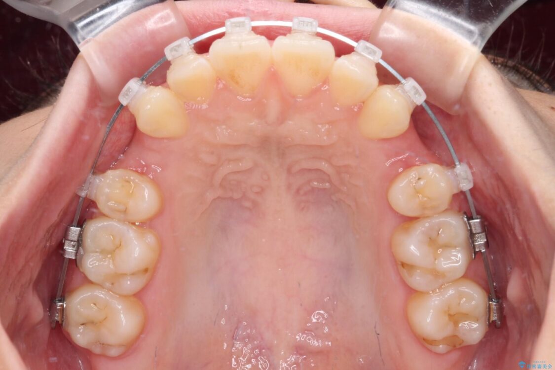
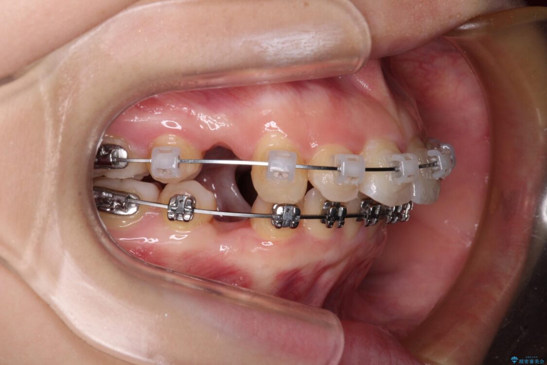
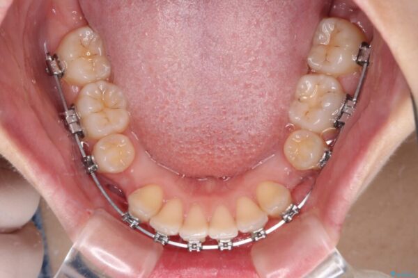
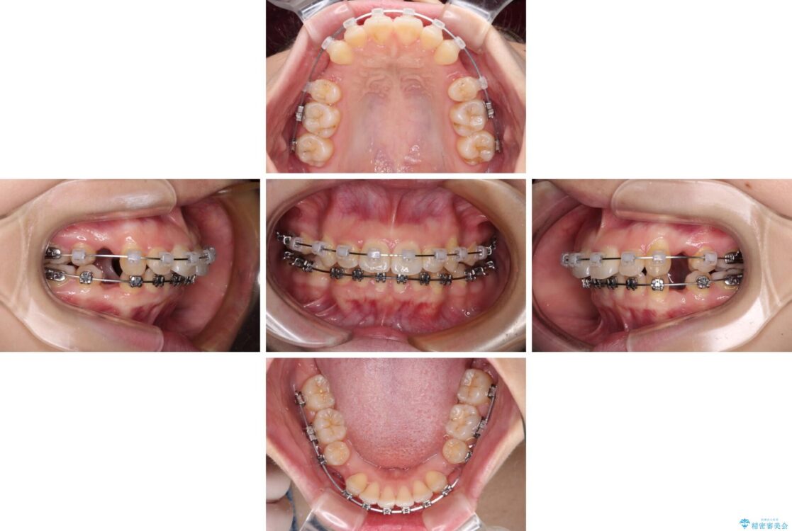
治療途中
  • 【モニター】口が閉じられない ワイヤー装置での抜歯矯正 治療途中画像
  • 【モニター】口が閉じられない ワイヤー装置での抜歯矯正 治療途中画像
  • 【モニター】口が閉じられない ワイヤー装置での抜歯矯正 治療途中画像
  • 【モニター】口が閉じられない ワイヤー装置での抜歯矯正 治療途中画像
  • 【モニター】口が閉じられない ワイヤー装置での抜歯矯正 治療途中画像
  • 【モニター】口が閉じられない ワイヤー装置での抜歯矯正 治療途中画像
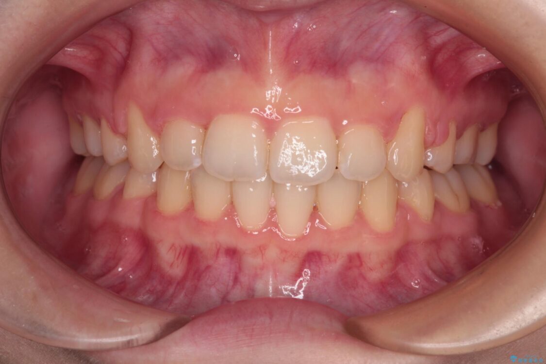
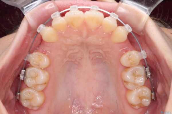
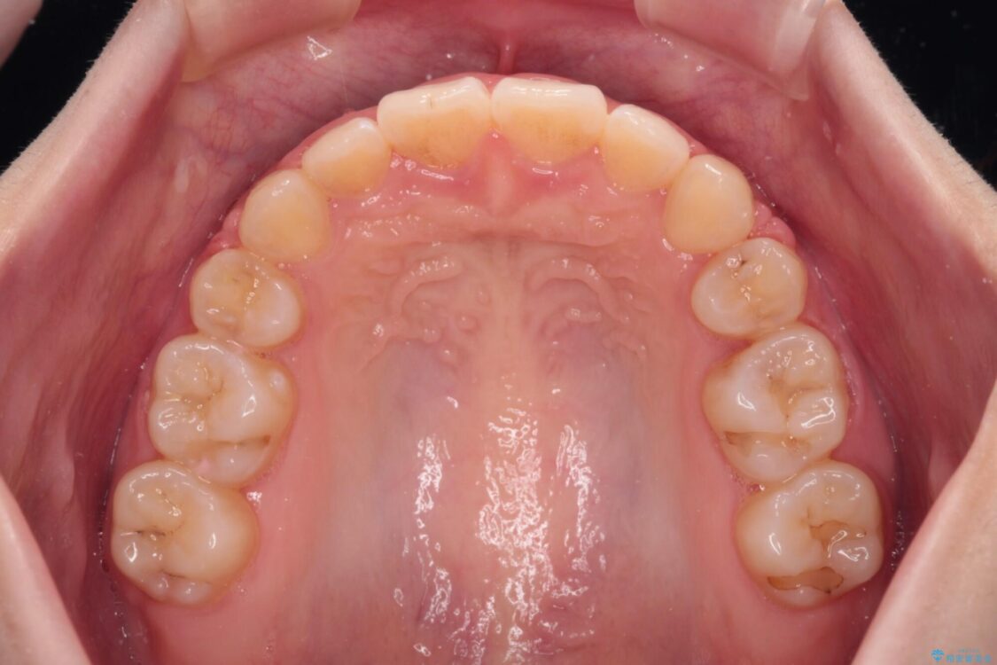
治療後
  • 【モニター】口が閉じられない ワイヤー装置での抜歯矯正 治療後画像
  • 【モニター】口が閉じられない ワイヤー装置での抜歯矯正 治療後画像
  • 【モニター】口が閉じられない ワイヤー装置での抜歯矯正 治療後画像
  • 【モニター】口が閉じられない ワイヤー装置での抜歯矯正 治療後画像
  • 【モニター】口が閉じられない ワイヤー装置での抜歯矯正 治療後画像
  • 【モニター】口が閉じられない ワイヤー装置での抜歯矯正 治療後画像
  • 【モニター】口が閉じられない ワイヤー装置での抜歯矯正 治療後画像
  • 【モニター】口が閉じられない ワイヤー装置での抜歯矯正 治療後画像
  • 【モニター】口が閉じられない ワイヤー装置での抜歯矯正 治療後画像
  • 【モニター】口が閉じられない ワイヤー装置での抜歯矯正 治療後画像

ワイヤー矯正の注意事項(リスク・副作用など)

・治療中は違和感や痛みが起こることがあります。
・症状により、抜歯が必要な場合があります。
・治療中は歯磨きがしにくくなるため、虫歯や歯周病になりやすくなります。
・矯正治療後の保定が不十分だと後戻り(元の位置に戻ろうとする動き)をします。
・自費診療(保険適用外)となります。

その他の注意事項(リスク・副作用など)

・担当歯科医師、歯科衛生士又は医院スタッフから受けた説明、注意事項をよくご確認ください。
・医療を提供するに当たり、適切な説明を行い、患者様の十分な理解を得るよう努めております。

当サイトの内容、テキスト、画像等の無断転載、複製、複写、盗用を固く禁じます。

24時間受付 Web申し込み


無料カウンセリング予約

無料の個別相談(予約制)を実施しております

医院直通 電話予約
03-3231-0777

平日 11:00~20:00 / 土日 10:00~18:00

※ お電話での治療に関するご相談は、ドクターによる対応ができないためお受けできません