膨らんだ口元 ワイヤー装置での抜歯矯正

東京駅前しらゆり歯科

電話でのご予約、お問い合わせ
03-3231-0777

平日11:00~20:00 / 土日10:00~18:00

CASES

ワイヤー矯正の症例

膨らんだ口元 ワイヤー装置での抜歯矯正

治療症例のビフォーアフターと詳細

患者様
10代男性
治療期間
2年10ヶ月
治療回数
10-30回
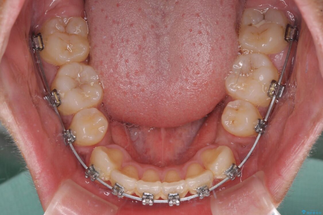
矯正装置
メタルブラケット
概算治療費
90万円(税込)(※費用は治療当時の料金となります)
担当医
藤巻太一朗

治療動機

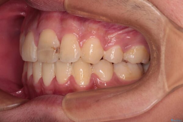
口元の突出感を気にして来院された患者様です。

治療計画

上下前歯が著しく前突している状態であったので、上下左右の第1小臼歯4本を抜歯し、ワイヤー装置にて矯正治療を行うこととしました。
舌の突出癖により、前突になったと考えられたため、舌のトレーニングをしっかりと行うよう指導しました。

治療後について

小学生の頃に上顎前歯をぶつけ、歯の一部が破損している状態であったので、歯根が歯槽骨と癒着して移動しない可能性がありましたが、無事に治療を終えることができました。
受験勉強と重なり、舌のトレーニングが十分に行えず、高校生としてはやや長期間の治療となりました。

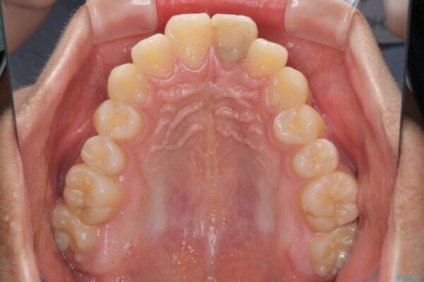
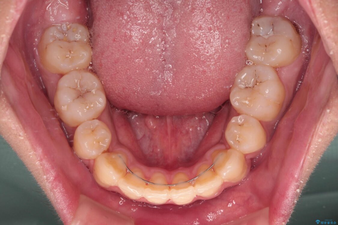
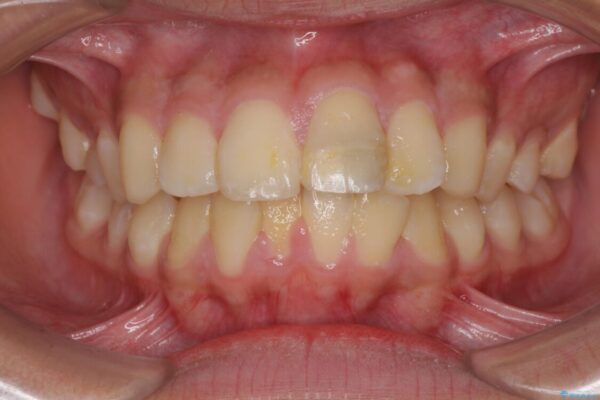
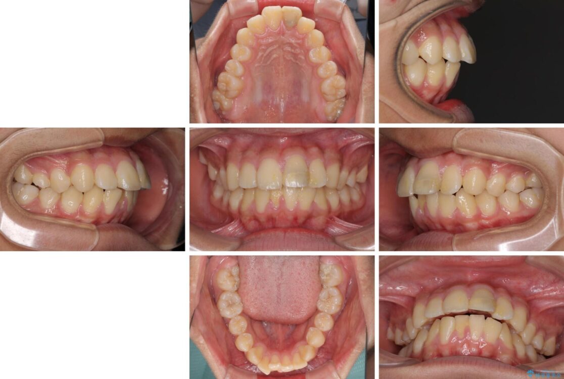
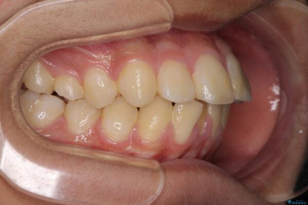
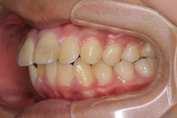
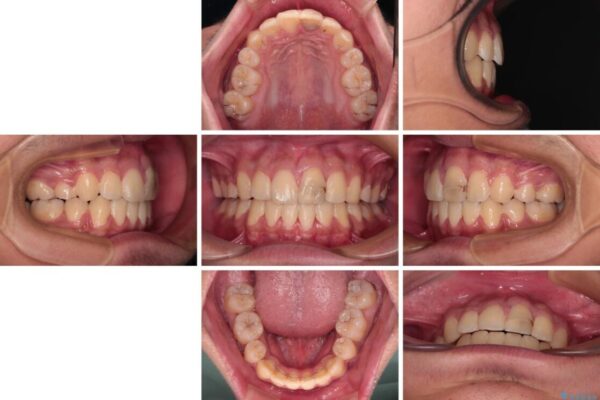
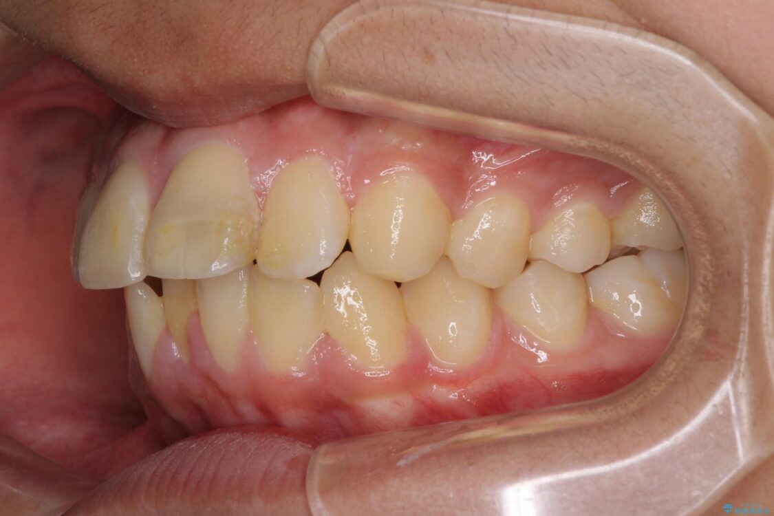
治療前
  • 膨らんだ口元 ワイヤー装置での抜歯矯正 治療前画像
  • 膨らんだ口元 ワイヤー装置での抜歯矯正 治療前画像
  • 膨らんだ口元 ワイヤー装置での抜歯矯正 治療前画像
  • 膨らんだ口元 ワイヤー装置での抜歯矯正 治療前画像
  • 膨らんだ口元 ワイヤー装置での抜歯矯正 治療前画像
  • 膨らんだ口元 ワイヤー装置での抜歯矯正 治療前画像
  • 膨らんだ口元 ワイヤー装置での抜歯矯正 治療前画像
  • 膨らんだ口元 ワイヤー装置での抜歯矯正 治療前画像
  • 膨らんだ口元 ワイヤー装置での抜歯矯正 治療前画像
  • 膨らんだ口元 ワイヤー装置での抜歯矯正 治療前画像
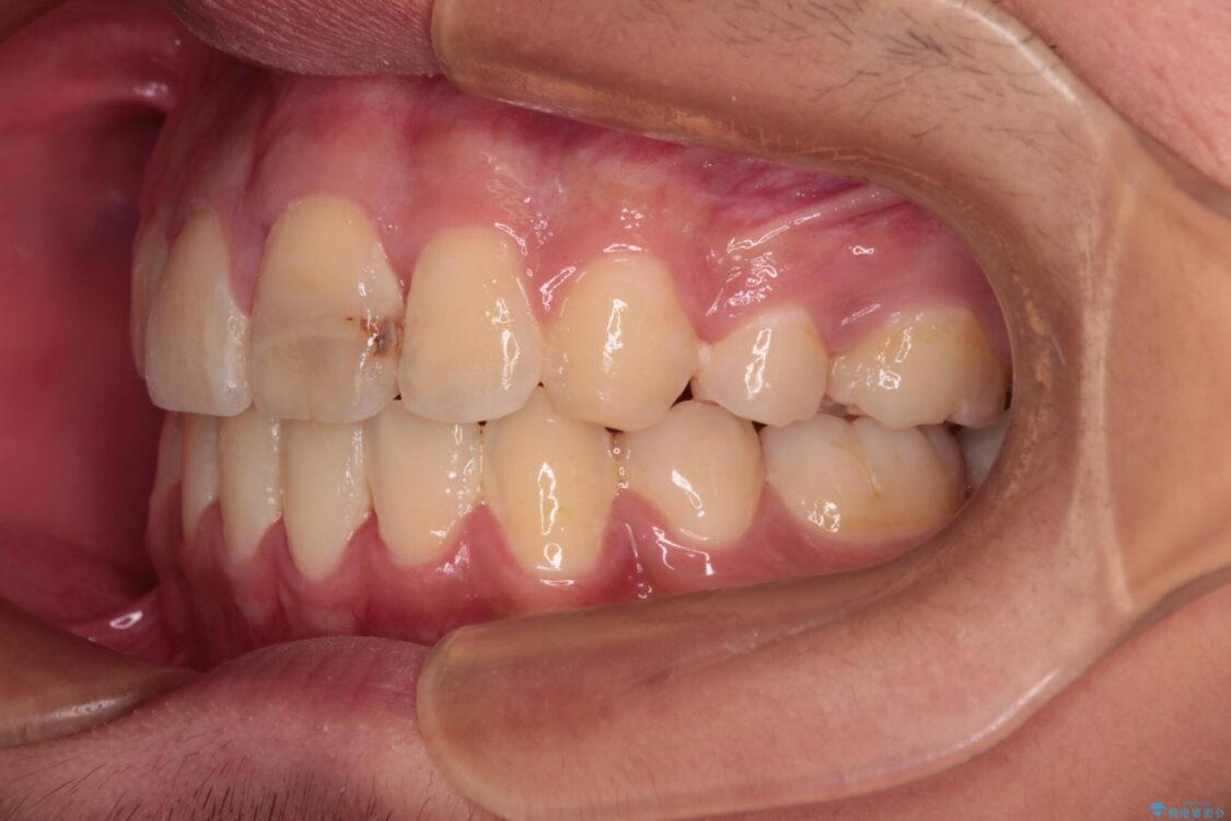
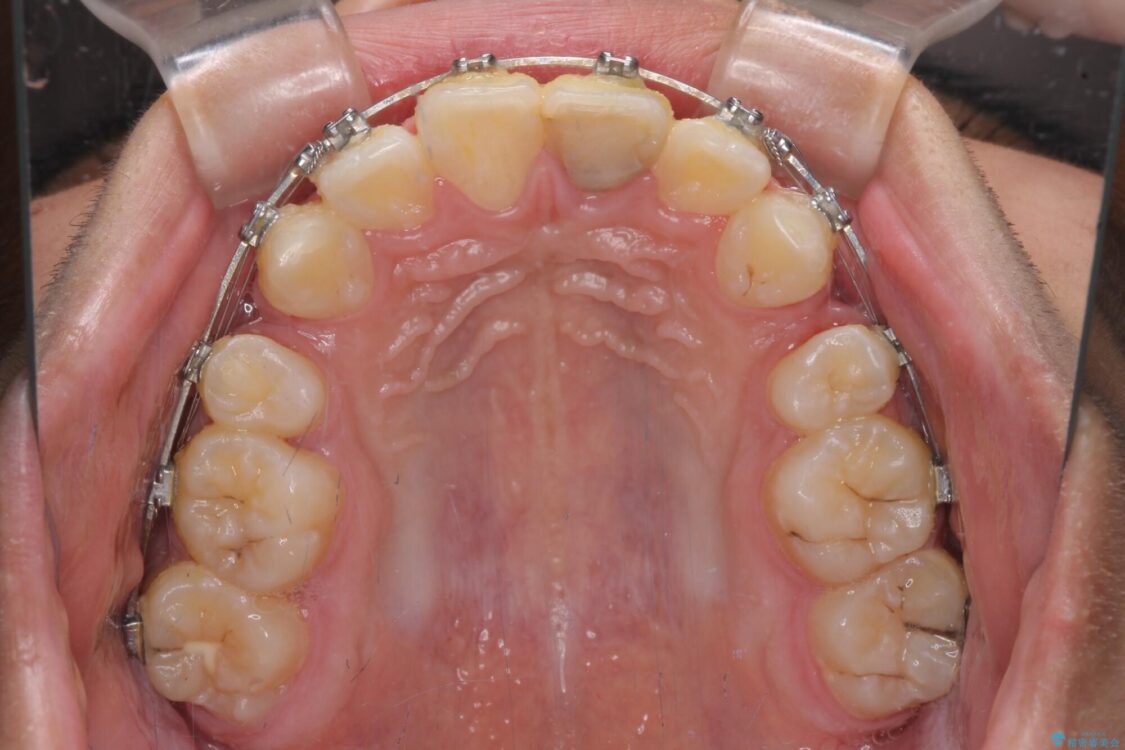
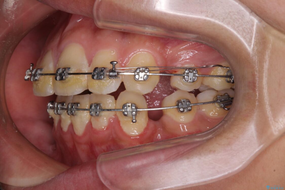
治療途中
  • 膨らんだ口元 ワイヤー装置での抜歯矯正 治療途中画像
  • 膨らんだ口元 ワイヤー装置での抜歯矯正 治療途中画像
  • 膨らんだ口元 ワイヤー装置での抜歯矯正 治療途中画像
  • 膨らんだ口元 ワイヤー装置での抜歯矯正 治療途中画像
  • 膨らんだ口元 ワイヤー装置での抜歯矯正 治療途中画像
  • 膨らんだ口元 ワイヤー装置での抜歯矯正 治療途中画像
  • 膨らんだ口元 ワイヤー装置での抜歯矯正 治療途中画像
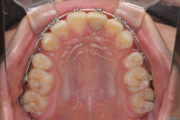
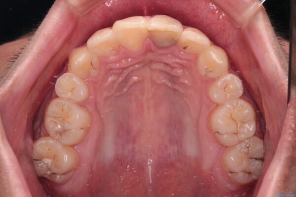
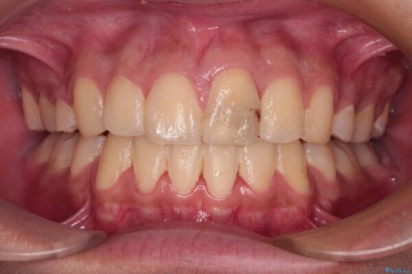
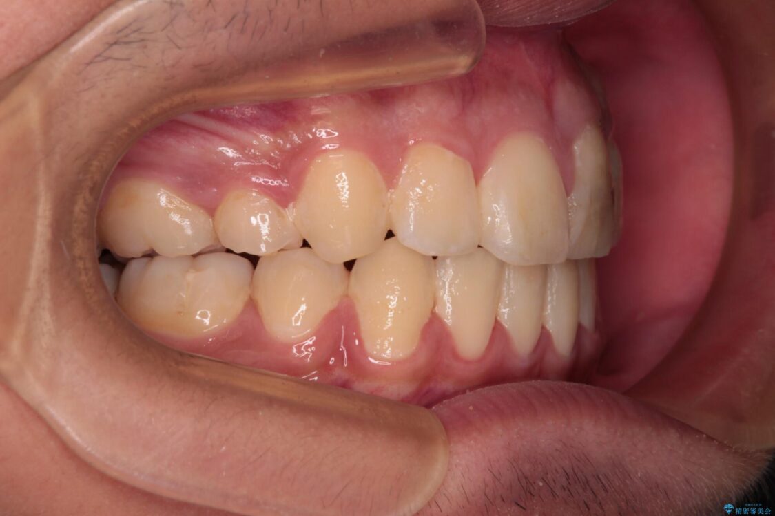
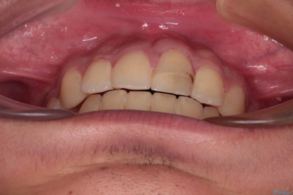
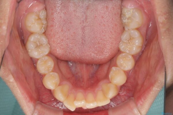
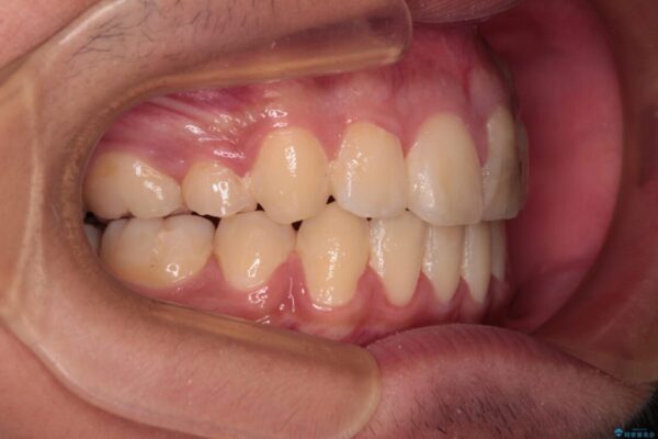
治療後
  • 膨らんだ口元 ワイヤー装置での抜歯矯正 治療後画像
  • 膨らんだ口元 ワイヤー装置での抜歯矯正 治療後画像
  • 膨らんだ口元 ワイヤー装置での抜歯矯正 治療後画像
  • 膨らんだ口元 ワイヤー装置での抜歯矯正 治療後画像
  • 膨らんだ口元 ワイヤー装置での抜歯矯正 治療後画像
  • 膨らんだ口元 ワイヤー装置での抜歯矯正 治療後画像
  • 膨らんだ口元 ワイヤー装置での抜歯矯正 治療後画像
  • 膨らんだ口元 ワイヤー装置での抜歯矯正 治療後画像
  • 膨らんだ口元 ワイヤー装置での抜歯矯正 治療後画像
  • 膨らんだ口元 ワイヤー装置での抜歯矯正 治療後画像

ワイヤー矯正の注意事項(リスク・副作用など)

・治療中は違和感や痛みが起こることがあります。
・症状により、抜歯が必要な場合があります。
・治療中は歯磨きがしにくくなるため、虫歯や歯周病になりやすくなります。
・矯正治療後の保定が不十分だと後戻り(元の位置に戻ろうとする動き)をします。
・自費診療(保険適用外)となります。

その他の注意事項(リスク・副作用など)

・担当歯科医師、歯科衛生士又は医院スタッフから受けた説明、注意事項をよくご確認ください。
・医療を提供するに当たり、適切な説明を行い、患者様の十分な理解を得るよう努めております。

当サイトの内容、テキスト、画像等の無断転載、複製、複写、盗用を固く禁じます。

24時間受付 Web申し込み


無料カウンセリング予約

無料の個別相談(予約制)を実施しております

医院直通 電話予約
03-3231-0777

平日 11:00~20:00 / 土日 10:00~18:00

※ お電話での治療に関するご相談は、ドクターによる対応ができないためお受けできません