むし歯だらけの前歯をオールセラミッククラウンできれいに

東京駅前しらゆり歯科

電話でのご予約、お問い合わせ
03-3231-0777

平日11:00~20:00 / 土日10:00~18:00

CASES

総合歯科治療の症例

むし歯だらけの前歯をオールセラミッククラウンできれいに

治療症例のビフォーアフターと詳細

患者様
40代女性
治療期間
9ヶ月
治療回数
5-10回
概算治療費
205万円(税込)(※費用は治療当時の料金となります)
担当医
藤巻太一朗

治療動機

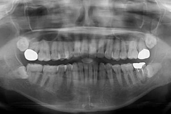
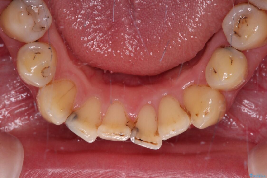
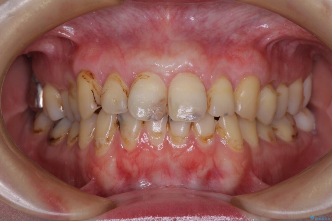
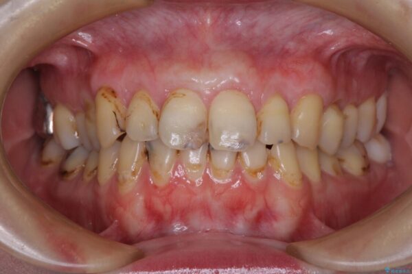
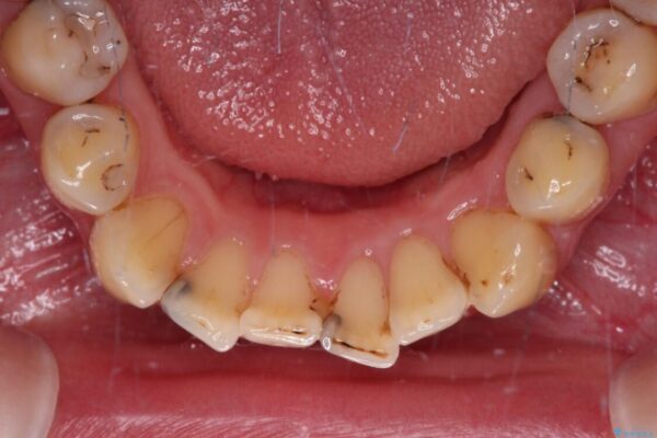
上下前歯や奥歯の虫歯治療を希望して来院された患者様です。

治療計画

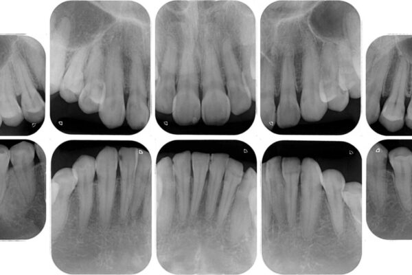
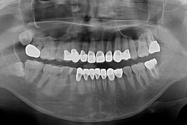
全顎的にむし歯が多く、根管治療の必要な奥歯や、審美的に気になっている前歯を中心にオールセラミッククラウンにて補綴治療を行うこととしました。
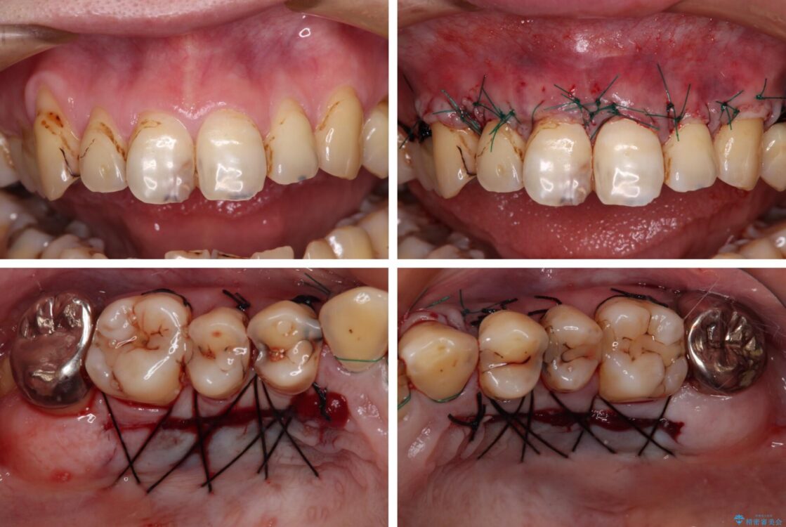
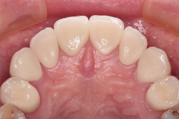
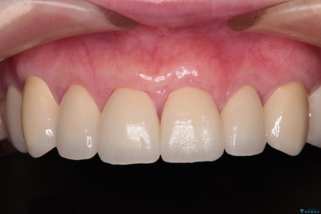
上顎前歯は歯肉退縮により歯根が露出していたため、事前に歯肉移植術により根面被覆を行い、その後にオールセラミッククラウンを装着することとしました。

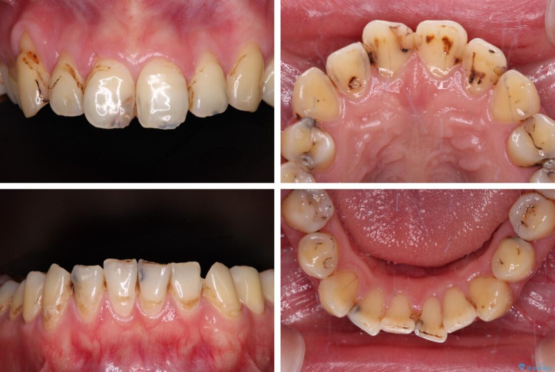
治療後について

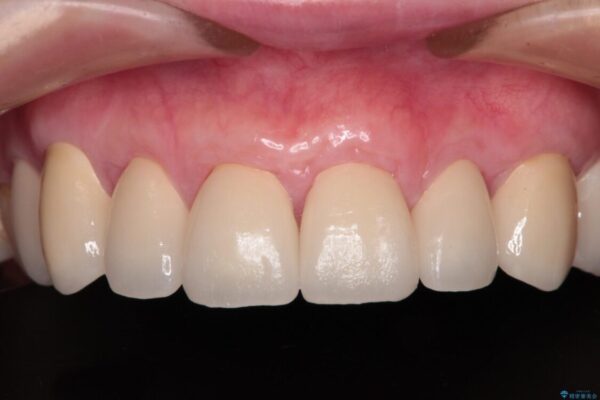
歯肉移植術による根面被覆を行うかどうかは非常に悩まれていましたが、歯肉が覆われたことで長く見えていた歯の長さが整い、きれいな前歯の仕上がりとなりました。

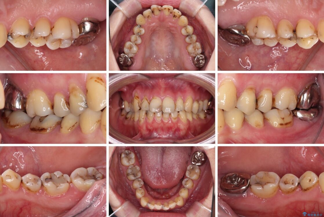
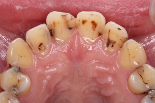
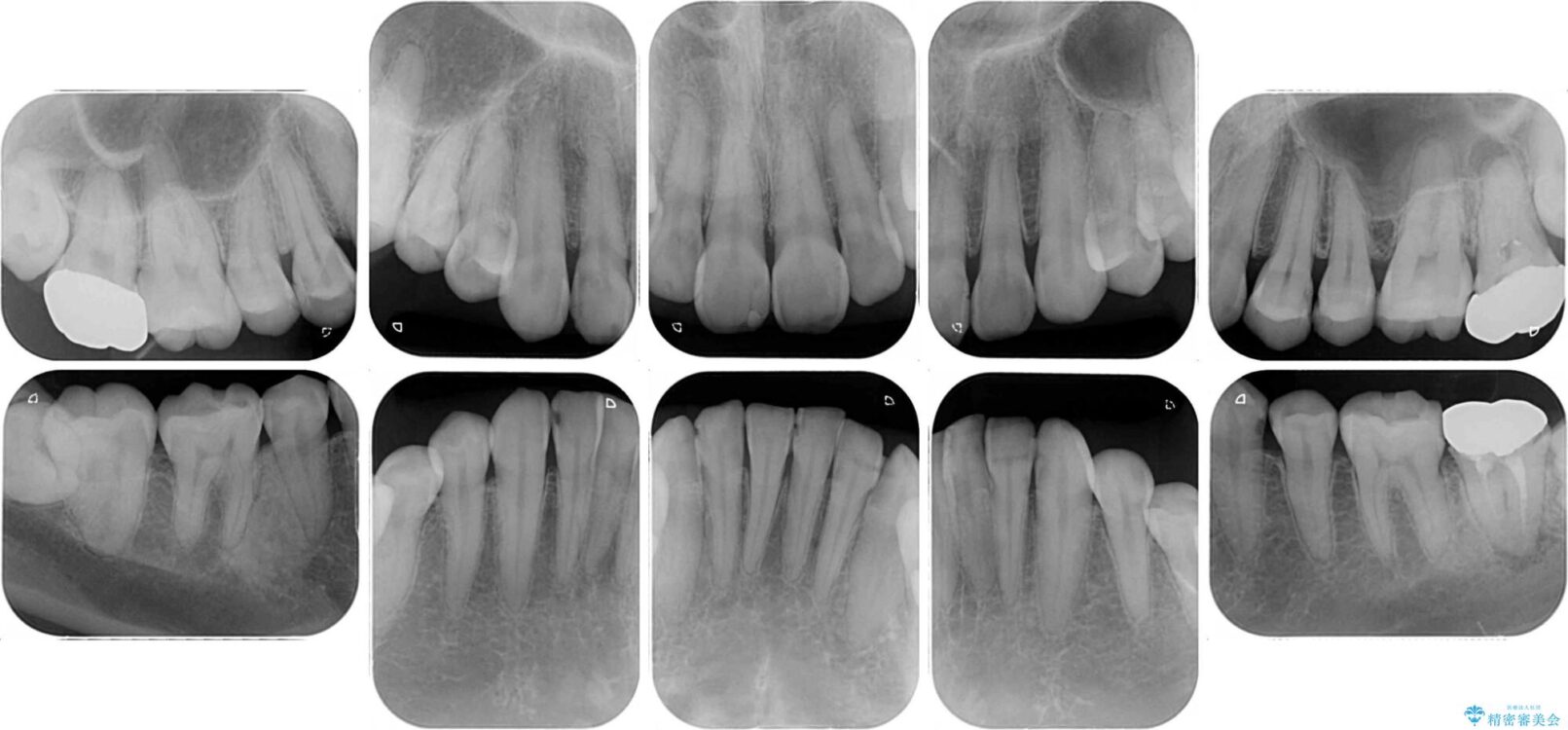
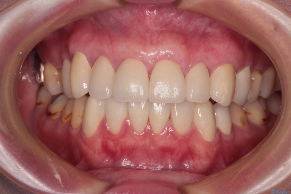
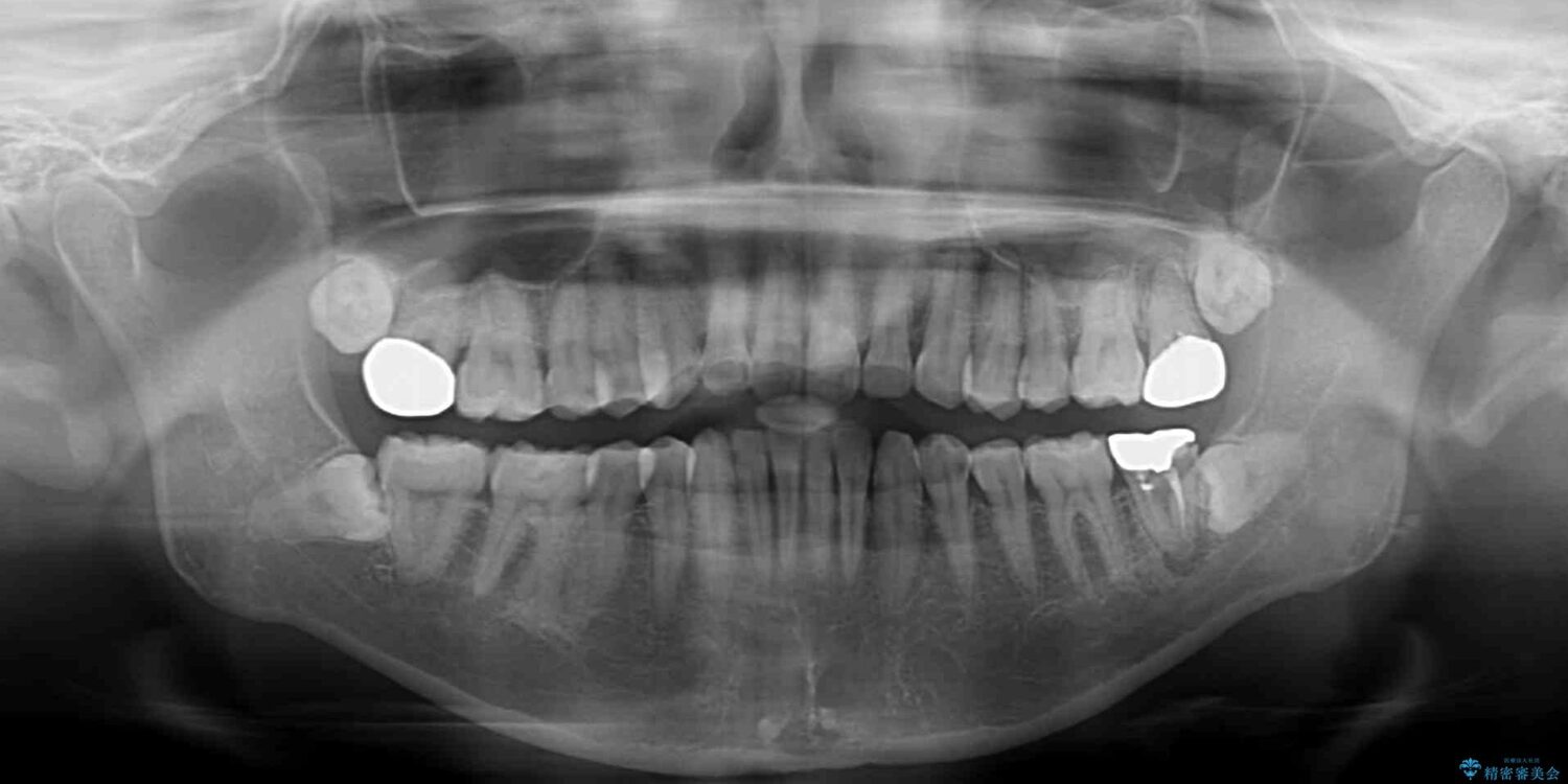
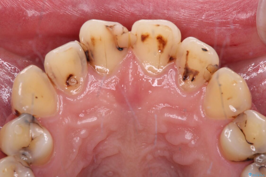
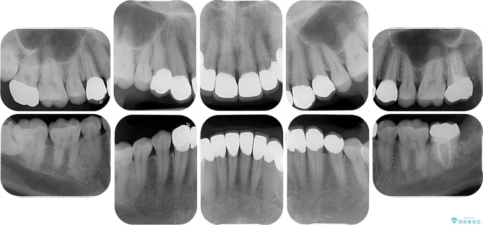
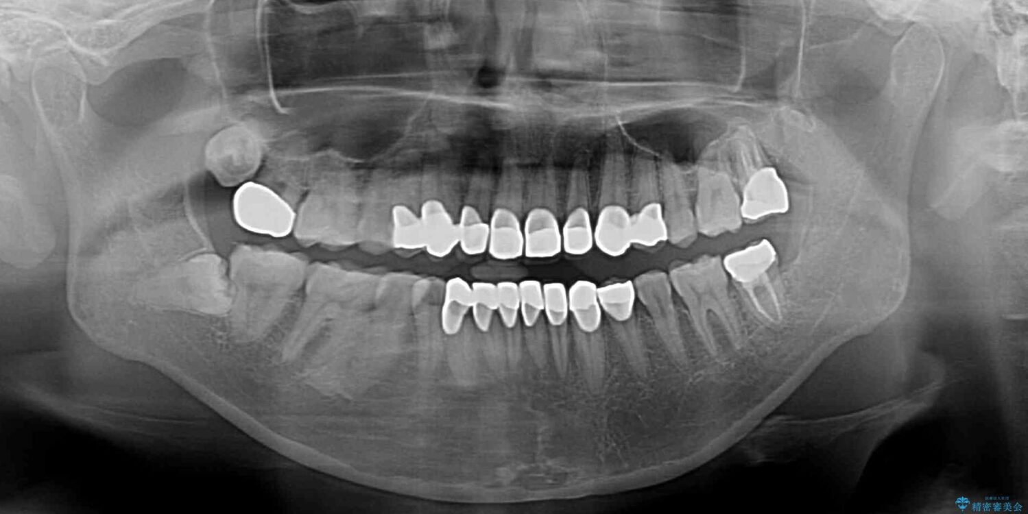
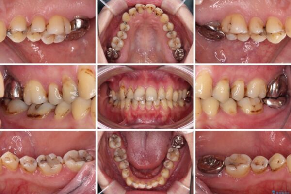
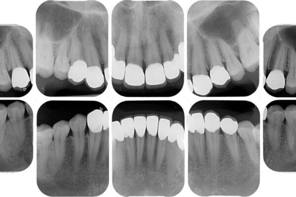
治療前
  • むし歯だらけの前歯をオールセラミッククラウンできれいに 治療前画像
  • むし歯だらけの前歯をオールセラミッククラウンできれいに 治療前画像
  • むし歯だらけの前歯をオールセラミッククラウンできれいに 治療前画像
  • むし歯だらけの前歯をオールセラミッククラウンできれいに 治療前画像
  • むし歯だらけの前歯をオールセラミッククラウンできれいに 治療前画像
  • むし歯だらけの前歯をオールセラミッククラウンできれいに 治療前画像
  • むし歯だらけの前歯をオールセラミッククラウンできれいに 治療前画像
  • むし歯だらけの前歯をオールセラミッククラウンできれいに 治療前画像
  • むし歯だらけの前歯をオールセラミッククラウンできれいに 治療前画像
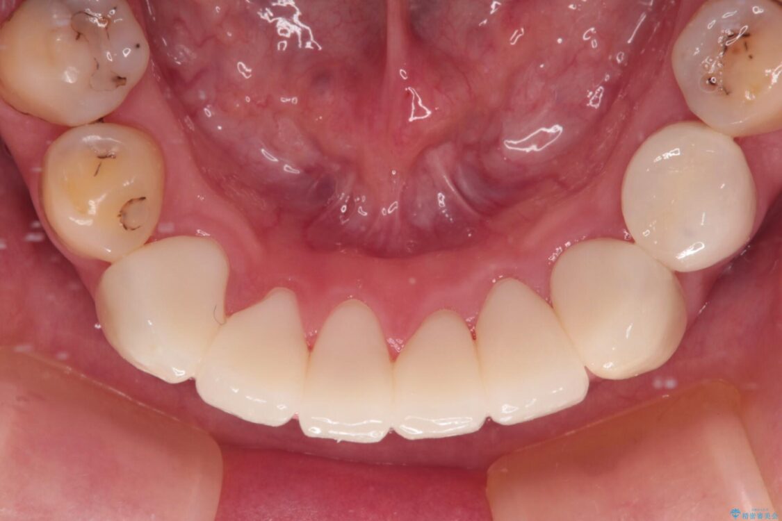
治療途中
  • むし歯だらけの前歯をオールセラミッククラウンできれいに 治療途中画像
  • むし歯だらけの前歯をオールセラミッククラウンできれいに 治療途中画像
  • むし歯だらけの前歯をオールセラミッククラウンできれいに 治療途中画像
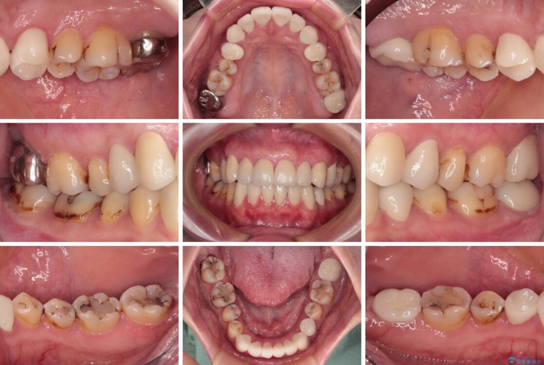
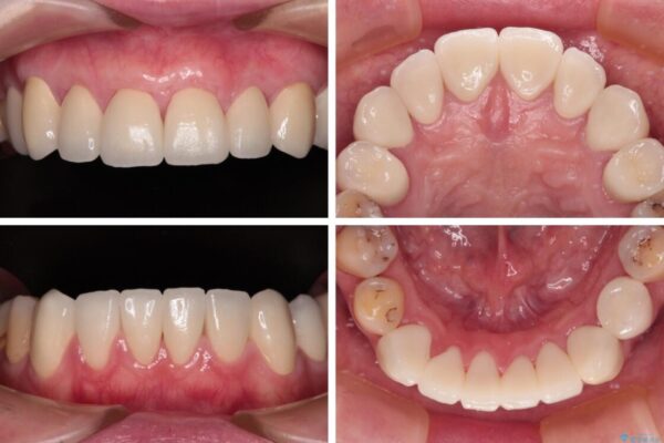
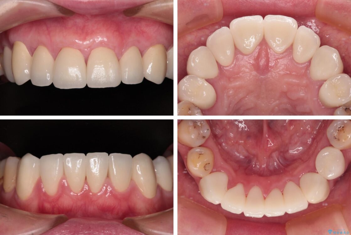
治療後
  • むし歯だらけの前歯をオールセラミッククラウンできれいに 治療後画像
  • むし歯だらけの前歯をオールセラミッククラウンできれいに 治療後画像
  • むし歯だらけの前歯をオールセラミッククラウンできれいに 治療後画像
  • むし歯だらけの前歯をオールセラミッククラウンできれいに 治療後画像
  • むし歯だらけの前歯をオールセラミッククラウンできれいに 治療後画像
  • むし歯だらけの前歯をオールセラミッククラウンできれいに 治療後画像
  • むし歯だらけの前歯をオールセラミッククラウンできれいに 治療後画像
  • むし歯だらけの前歯をオールセラミッククラウンできれいに 治療後画像
  • むし歯だらけの前歯をオールセラミッククラウンできれいに 治療後画像

外科処置の注意事項(リスク・副作用など)

・外科手術のため、術後に出血、痛みや腫れ、違和感を伴います。
・口腔内の状態によっては適応できないことがあります。

セラミック治療の注意事項(リスク・副作用など)

・天然歯を削ります。
・硬い素材は天然歯を傷つけてしまう場合があります。
・かみ合わせや歯ぎしりが強すぎる方はセラミックが割れてしまう可能性があります。
・自費診療(保険適用外治療)となります。

その他の注意事項(リスク・副作用など)

・担当歯科医師、歯科衛生士又は医院スタッフから受けた説明、注意事項をよくご確認ください。
・医療を提供するに当たり、適切な説明を行い、患者様の十分な理解を得るよう努めております。

当サイトの内容、テキスト、画像等の無断転載、複製、複写、盗用を固く禁じます。

24時間受付 Web申し込み


無料カウンセリング予約

無料の個別相談(予約制)を実施しております

医院直通 電話予約
03-3231-0777

平日 11:00~20:00 / 土日 10:00~18:00

※ お電話での治療に関するご相談は、ドクターによる対応ができないためお受けできません