放置したインプラントとインビザライン 全顎リカバリー治療

東京駅前しらゆり歯科

電話でのご予約、お問い合わせ
03-3231-0777

平日11:00~20:00 / 土日10:00~18:00

CASES

総合歯科治療の症例

放置したインプラントとインビザライン 全顎リカバリー治療

治療症例のビフォーアフターと詳細

患者様
50代女性
治療期間
2年2ヶ月
治療回数
10-30回
矯正装置
審美装置
概算治療費
450万円(税込)(※費用は治療当時の料金となります)
担当医
藤巻太一朗

治療動機

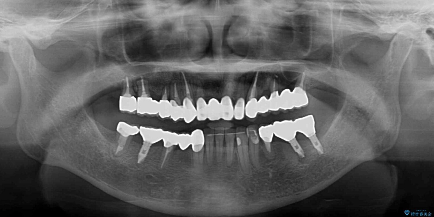
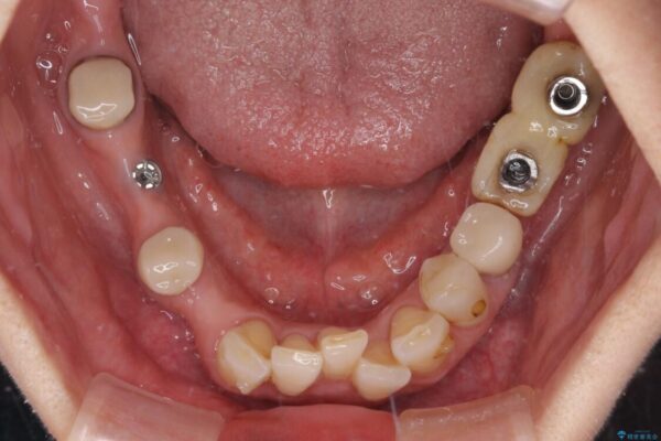
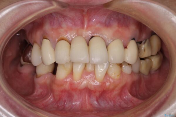
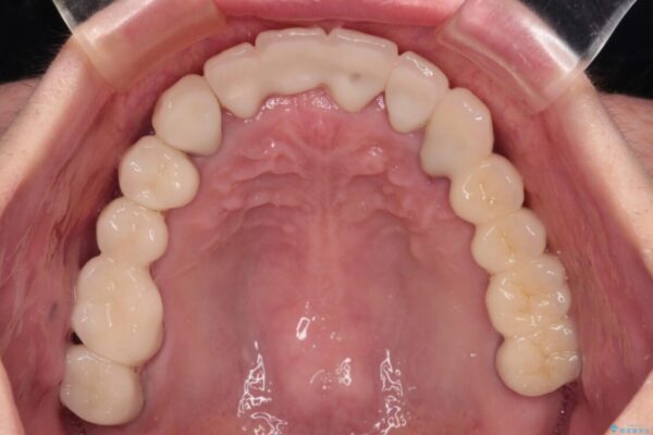
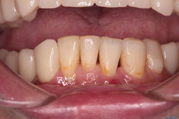
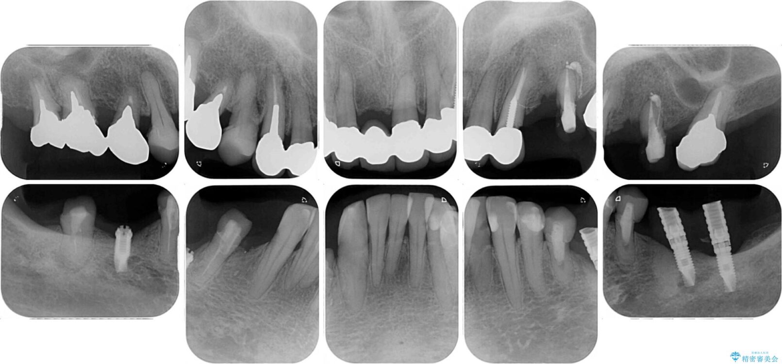
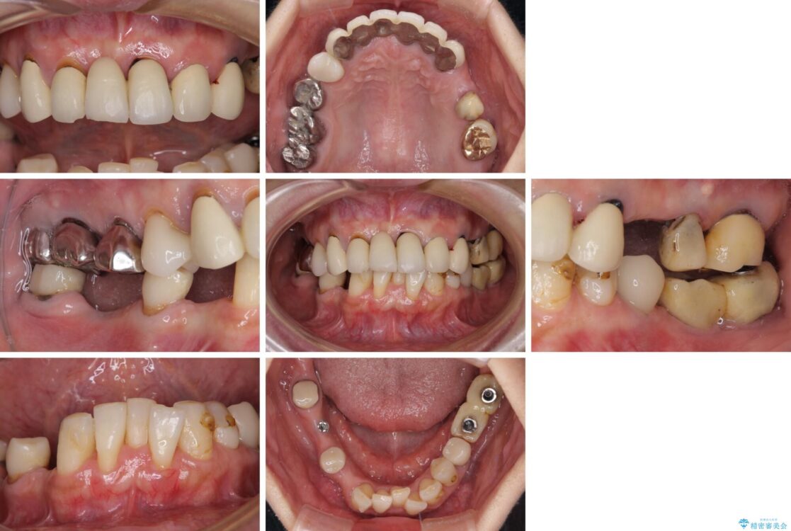
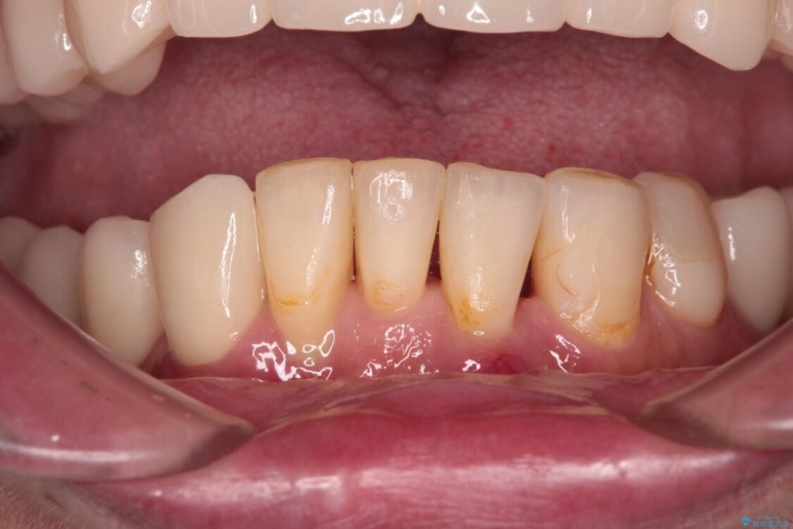
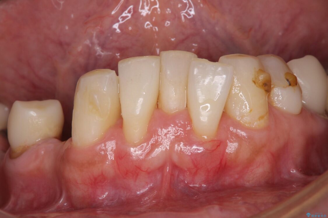
ご主人が当院に通院されていたことで、ご紹介により来院されました。 以前通院していた医院で、奥歯のインプラント埋入、前歯部のインビザライン矯正を行ったものの、そのまま放置してしまったとのことで来院された患者様です。

治療計画

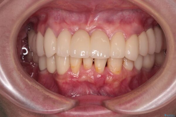
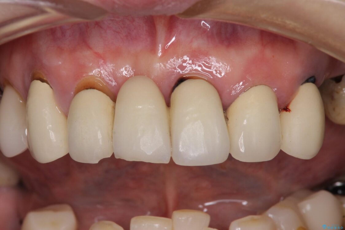
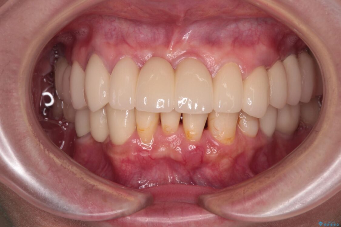
下顎前歯や上顎奥歯などをワイヤー装置により部分矯正を行い、歯列を整えた上でインプラント部分を含めてオールセラミッククラウンにて補綴治療を行うこととしました。

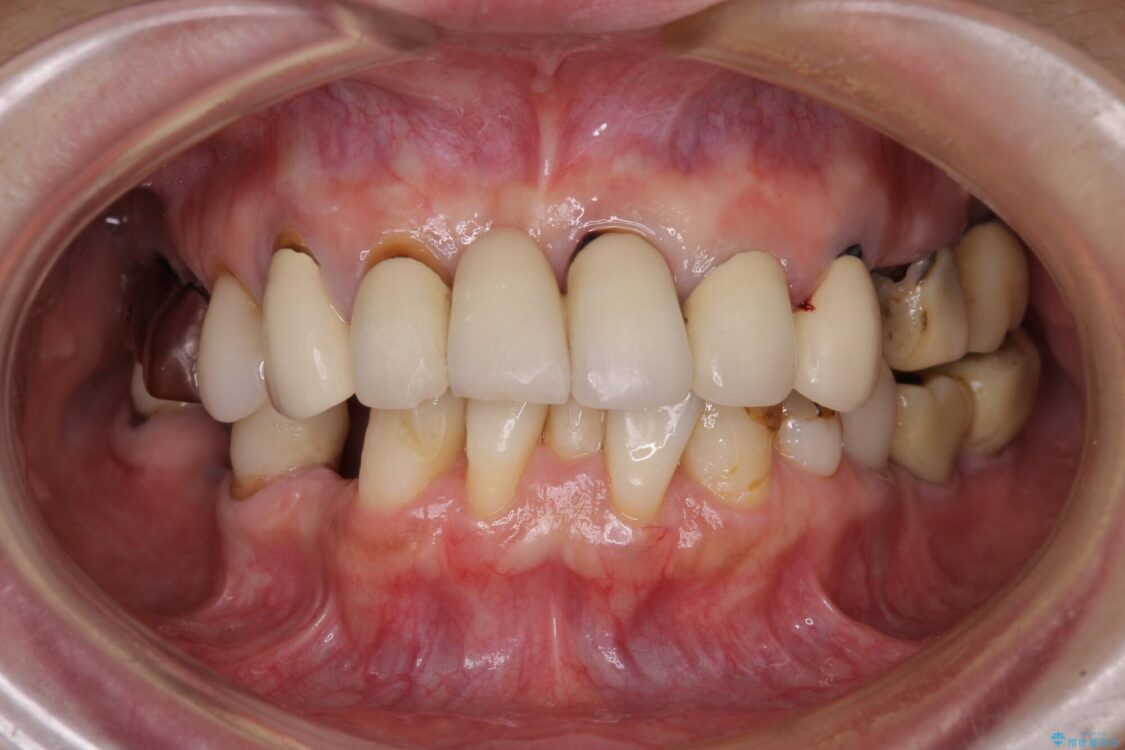
治療後について

インプラント上の仮歯がボロボロになり、前歯に非常に負担のかかる状態であったため、早急に奥歯の仮歯を修復し、矯正治療、奥歯の補綴治療、前歯の補綴治療と順々に進めて行きました。

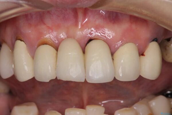
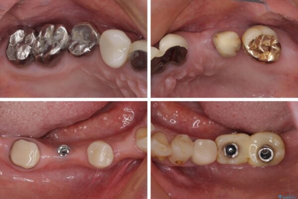
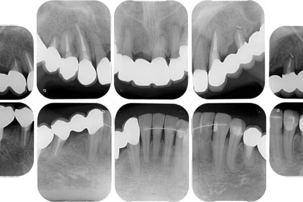
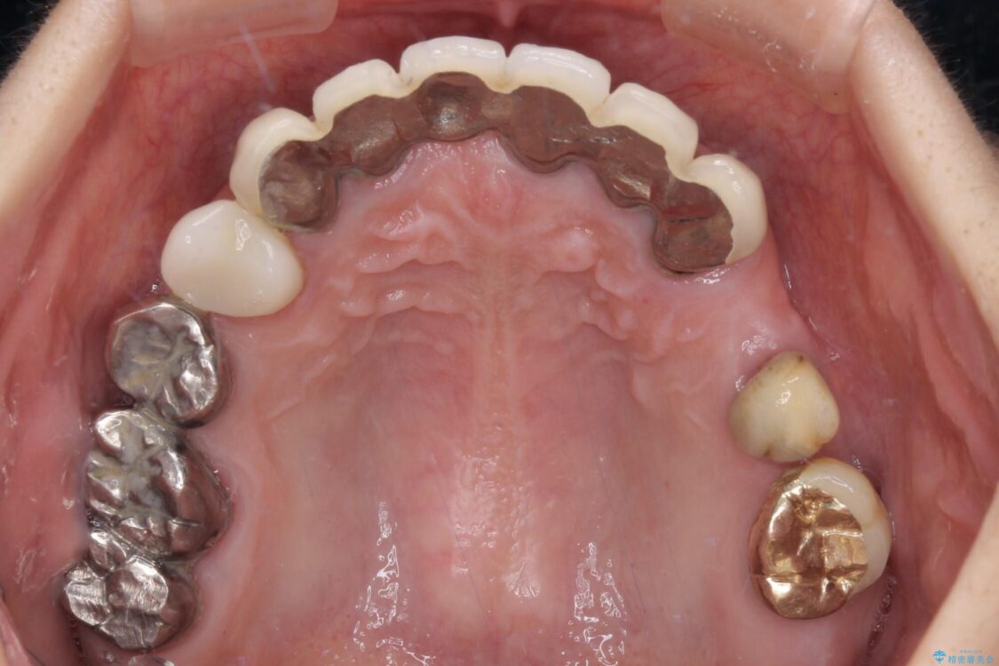
治療前
  • 放置したインプラントとインビザライン 全顎リカバリー治療 治療前画像
  • 放置したインプラントとインビザライン 全顎リカバリー治療 治療前画像
  • 放置したインプラントとインビザライン 全顎リカバリー治療 治療前画像
  • 放置したインプラントとインビザライン 全顎リカバリー治療 治療前画像
  • 放置したインプラントとインビザライン 全顎リカバリー治療 治療前画像
  • 放置したインプラントとインビザライン 全顎リカバリー治療 治療前画像
  • 放置したインプラントとインビザライン 全顎リカバリー治療 治療前画像
  • 放置したインプラントとインビザライン 全顎リカバリー治療 治療前画像
  • 放置したインプラントとインビザライン 全顎リカバリー治療 治療前画像
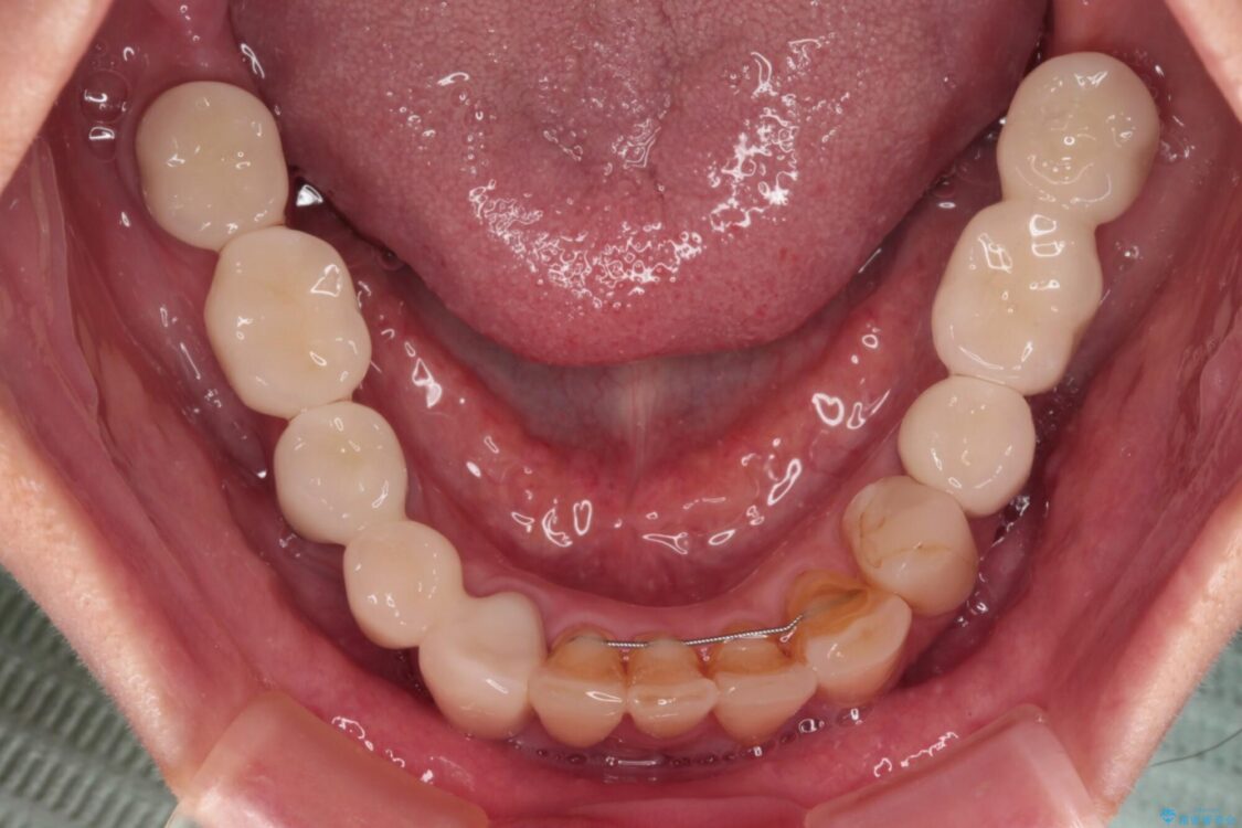
治療途中
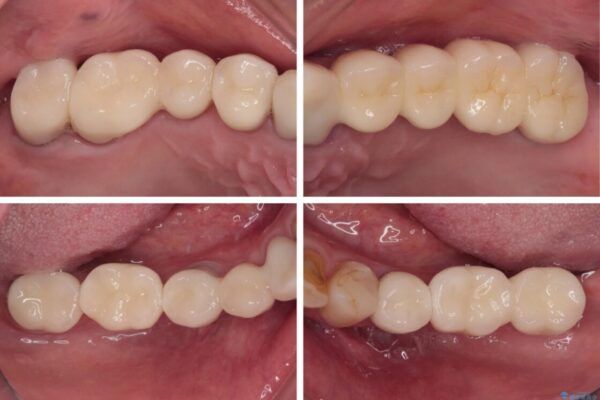
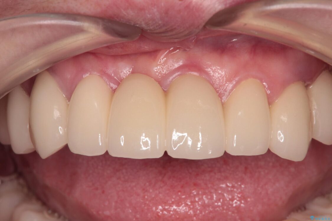
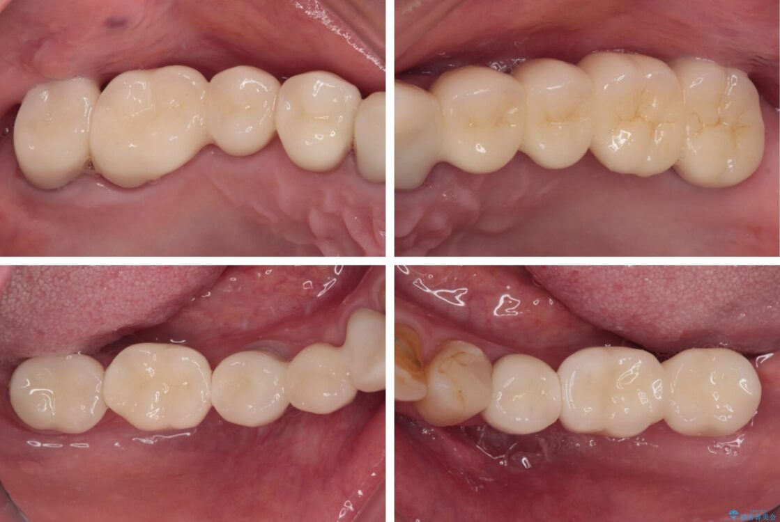
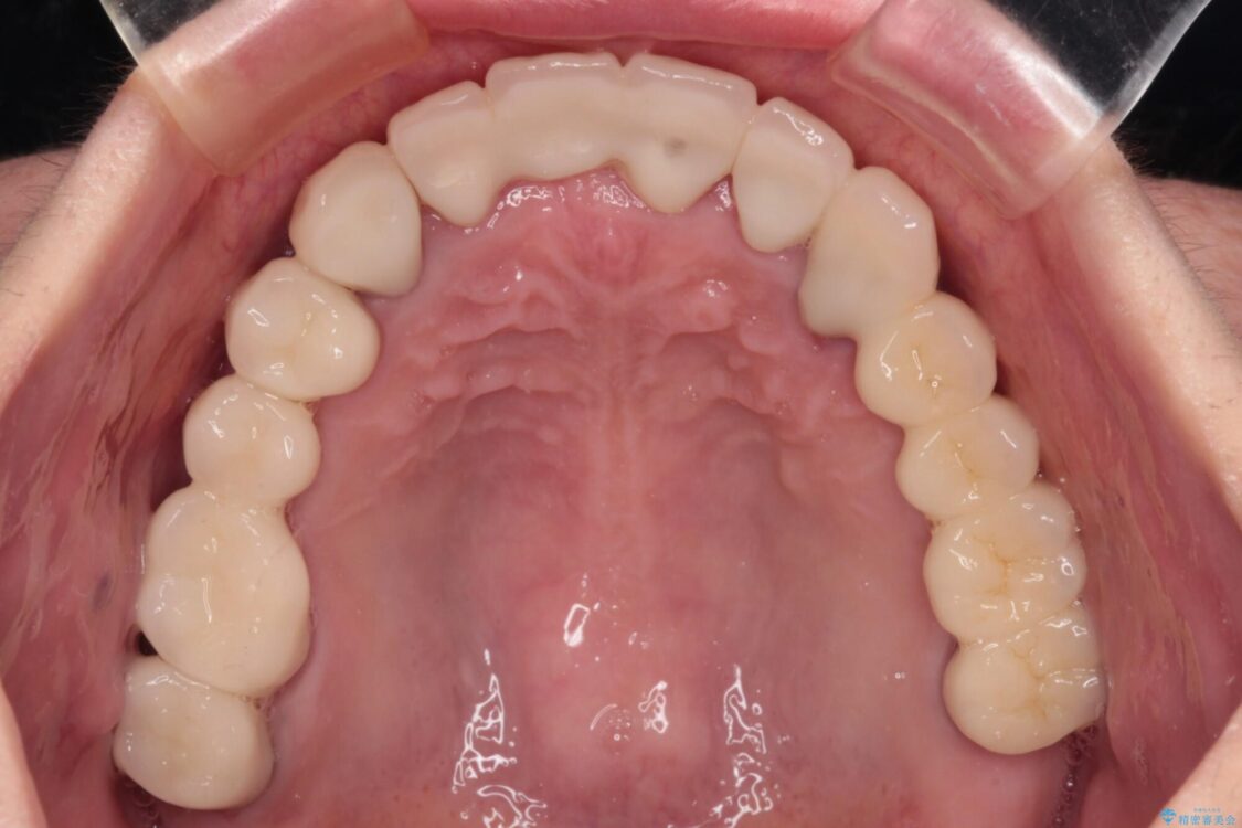
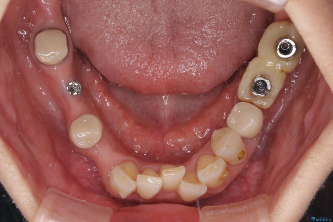
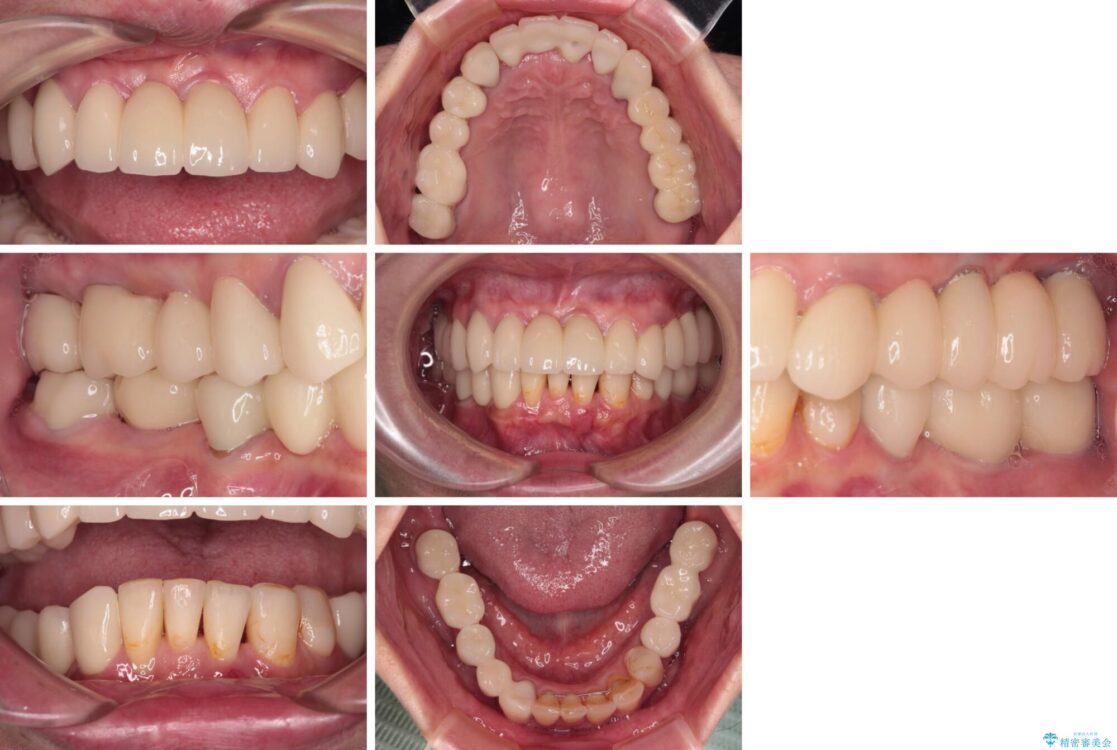
治療後
  • 放置したインプラントとインビザライン 全顎リカバリー治療 治療後画像
  • 放置したインプラントとインビザライン 全顎リカバリー治療 治療後画像
  • 放置したインプラントとインビザライン 全顎リカバリー治療 治療後画像
  • 放置したインプラントとインビザライン 全顎リカバリー治療 治療後画像
  • 放置したインプラントとインビザライン 全顎リカバリー治療 治療後画像
  • 放置したインプラントとインビザライン 全顎リカバリー治療 治療後画像
  • 放置したインプラントとインビザライン 全顎リカバリー治療 治療後画像
  • 放置したインプラントとインビザライン 全顎リカバリー治療 治療後画像
  • 放置したインプラントとインビザライン 全顎リカバリー治療 治療後画像

セラミック治療の注意事項(リスク・副作用など)

・天然歯を削ります。
・硬い素材は天然歯を傷つけてしまう場合があります。
・かみ合わせや歯ぎしりが強すぎる方はセラミックが割れてしまう可能性があります。
・自費診療(保険適用外治療)となります。

ワイヤー矯正の注意事項(リスク・副作用など)

・治療中は違和感や痛みが起こることがあります。
・症状により、抜歯が必要な場合があります。
・治療中は歯磨きがしにくくなるため、虫歯や歯周病になりやすくなります。
・矯正治療後の保定が不十分だと後戻り(元の位置に戻ろうとする動き)をします。
・自費診療(保険適用外)となります。

その他の注意事項(リスク・副作用など)

・担当歯科医師、歯科衛生士又は医院スタッフから受けた説明、注意事項をよくご確認ください。
・医療を提供するに当たり、適切な説明を行い、患者様の十分な理解を得るよう努めております。

当サイトの内容、テキスト、画像等の無断転載、複製、複写、盗用を固く禁じます。

24時間受付 Web申し込み


無料カウンセリング予約

無料の個別相談(予約制)を実施しております

医院直通 電話予約
03-3231-0777

平日 11:00~20:00 / 土日 10:00~18:00

※ お電話での治療に関するご相談は、ドクターによる対応ができないためお受けできません