デコボコと深い咬み合わせ ワイヤー装置での抜歯矯正

東京駅前しらゆり歯科

電話でのご予約、お問い合わせ
03-3231-0777

平日11:00~20:00 / 土日10:00~18:00

CASES

ワイヤー矯正の症例

デコボコと深い咬み合わせ ワイヤー装置での抜歯矯正

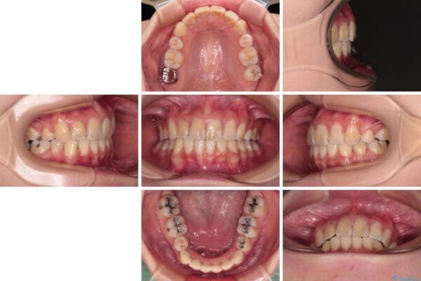
治療症例のビフォーアフターと詳細

患者様
20代女性
治療期間
3年1ヶ月
治療回数
10-30回
矯正装置
審美装置
概算治療費
105万円(税込)(※費用は治療当時の料金となります)
担当医
藤巻太一朗

治療動機

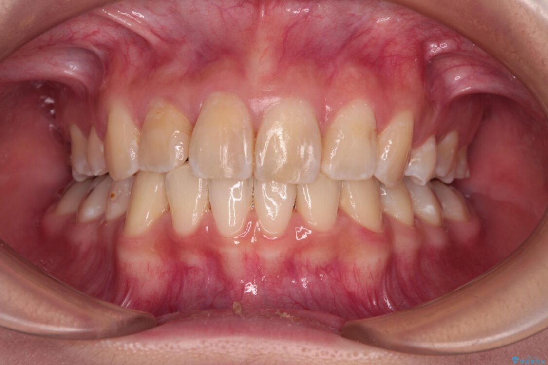
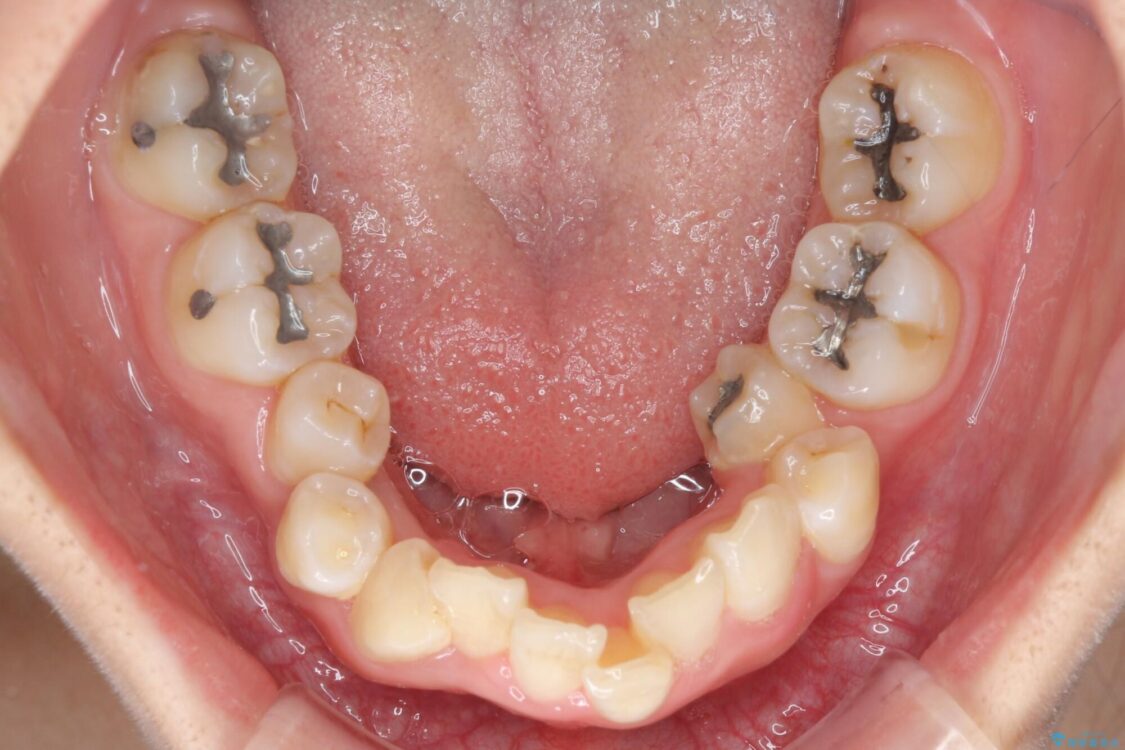
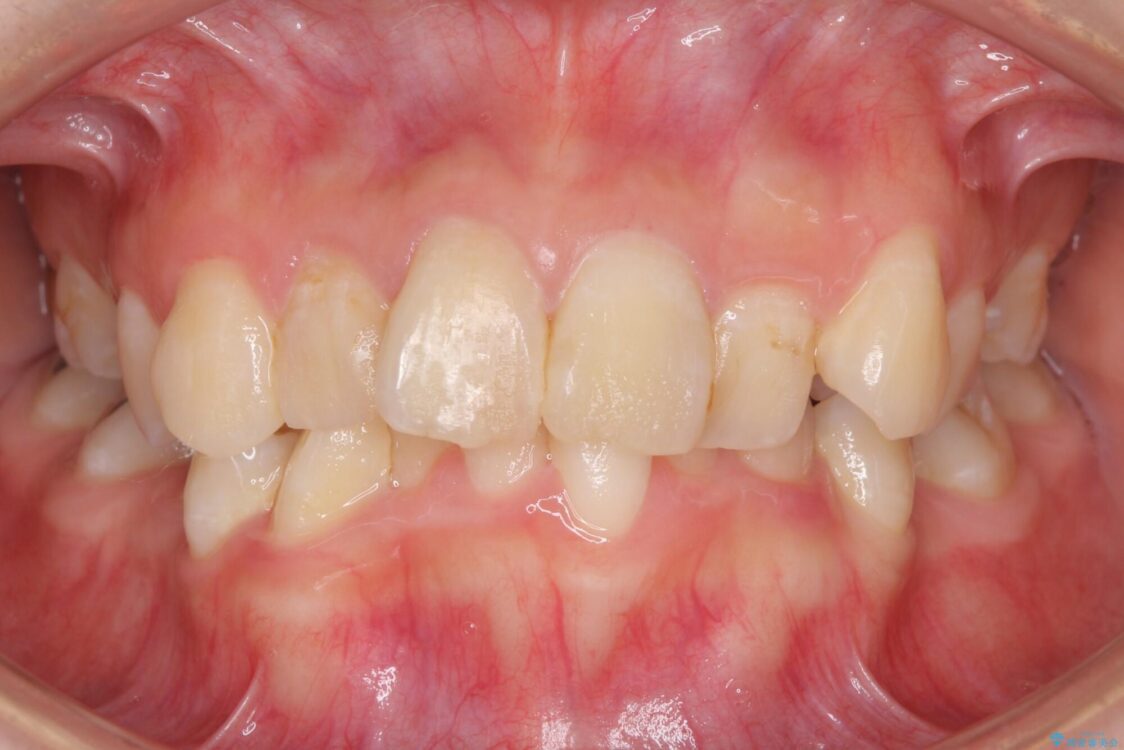
内側に倒れ込んだ歯や下の前歯が隠れてしまうほどの咬み合わせを改善したいとのことで来院された患者様です。

治療計画

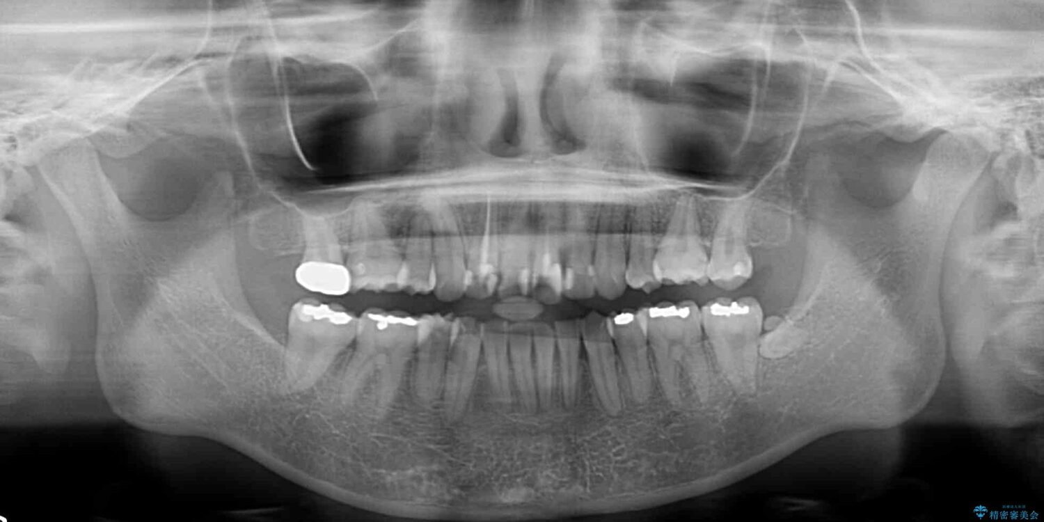
下顎の叢生を解消するために抜歯が必要であり、奥歯の咬み合わせや口元の印象から、上顎も同様に抜歯と判断し、上下左右の第1小臼歯4本抜歯してワイヤー装置にて矯正治療を行うこととしました。

治療後について

咬み合わせが深く、そのままでは上顎の抜歯スペースが閉じきらない可能性があったため、治療初期から深い咬み合わせを改善させるように試みました。
実際にはなかなか改善されず、当初予定よりも治療期間がやや長期化してしまいました。

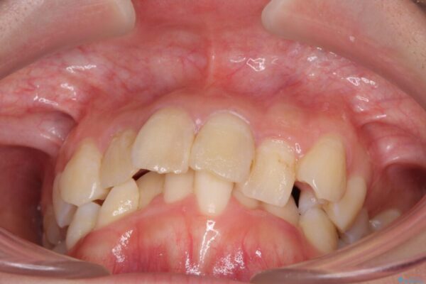
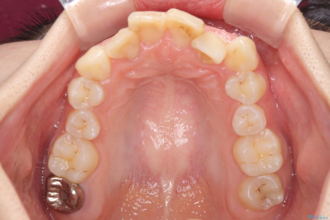
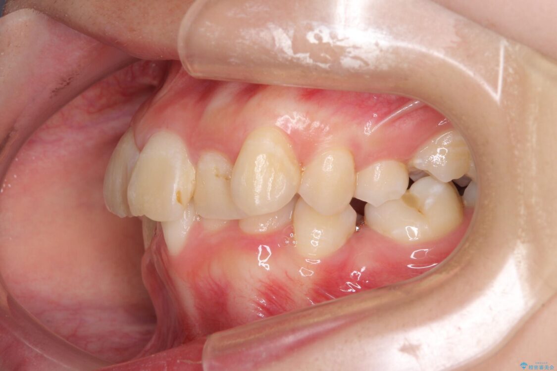
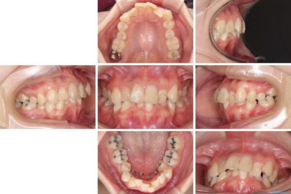
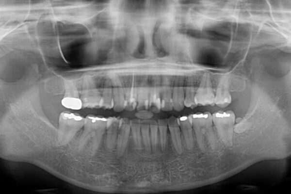
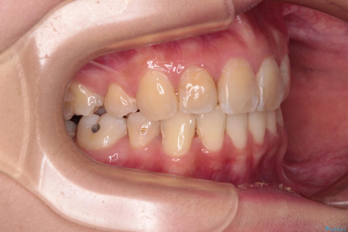
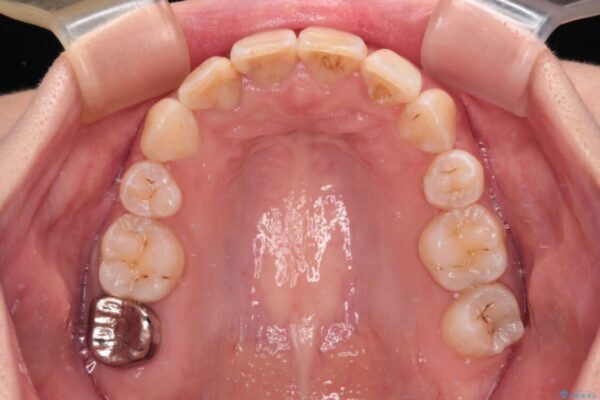
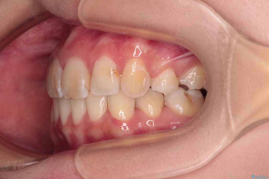
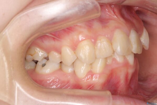
治療前
  • デコボコと深い咬み合わせ ワイヤー装置での抜歯矯正 治療前画像
  • デコボコと深い咬み合わせ ワイヤー装置での抜歯矯正 治療前画像
  • デコボコと深い咬み合わせ ワイヤー装置での抜歯矯正 治療前画像
  • デコボコと深い咬み合わせ ワイヤー装置での抜歯矯正 治療前画像
  • デコボコと深い咬み合わせ ワイヤー装置での抜歯矯正 治療前画像
  • デコボコと深い咬み合わせ ワイヤー装置での抜歯矯正 治療前画像
  • デコボコと深い咬み合わせ ワイヤー装置での抜歯矯正 治療前画像
  • デコボコと深い咬み合わせ ワイヤー装置での抜歯矯正 治療前画像
  • デコボコと深い咬み合わせ ワイヤー装置での抜歯矯正 治療前画像
  • デコボコと深い咬み合わせ ワイヤー装置での抜歯矯正 治療前画像
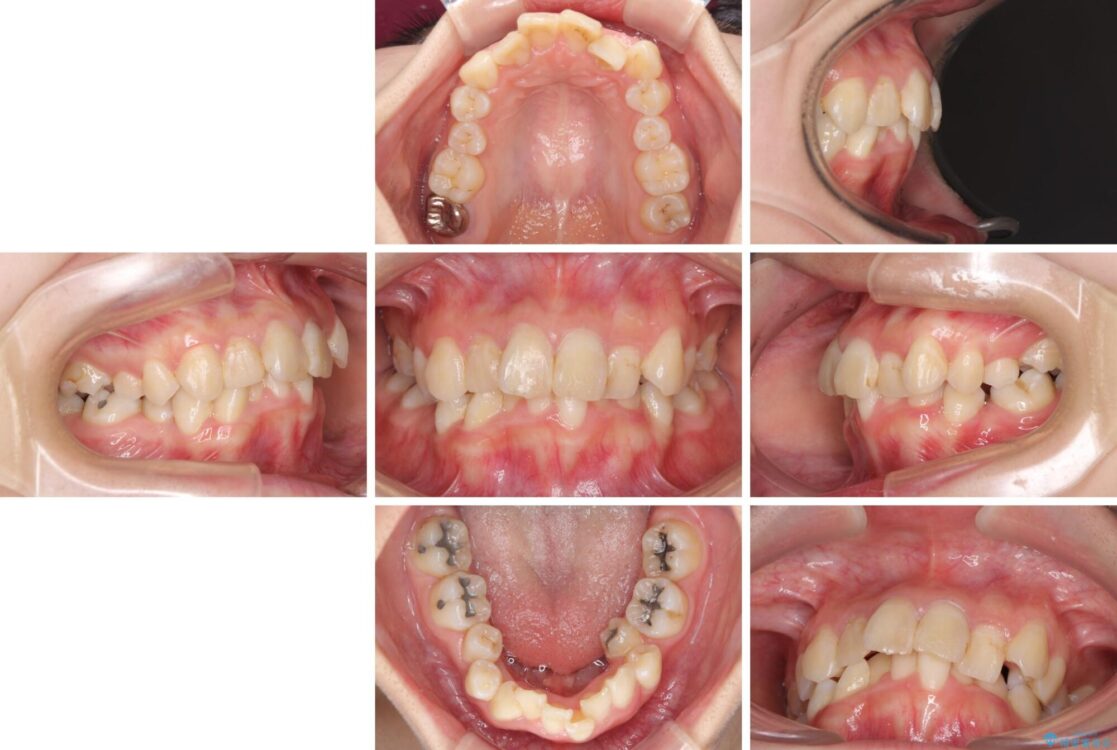
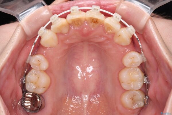
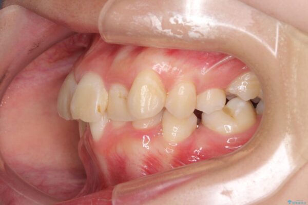
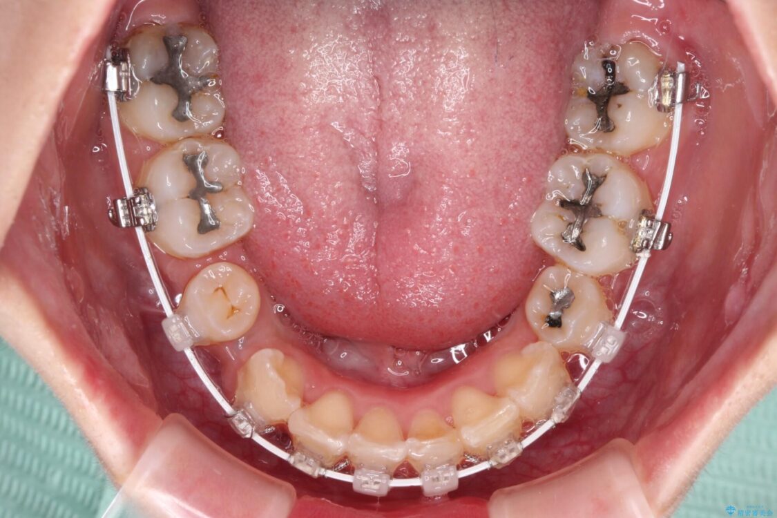
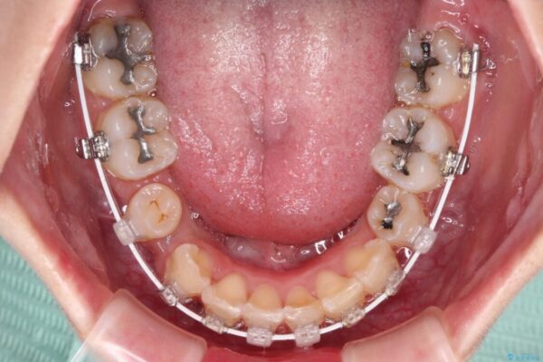
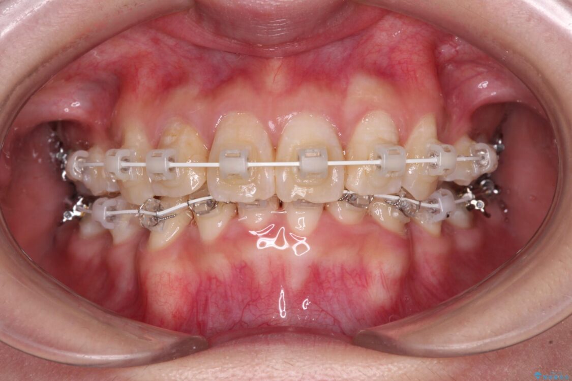
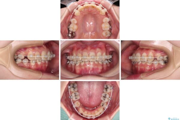
治療途中
  • デコボコと深い咬み合わせ ワイヤー装置での抜歯矯正 治療途中画像
  • デコボコと深い咬み合わせ ワイヤー装置での抜歯矯正 治療途中画像
  • デコボコと深い咬み合わせ ワイヤー装置での抜歯矯正 治療途中画像
  • デコボコと深い咬み合わせ ワイヤー装置での抜歯矯正 治療途中画像
  • デコボコと深い咬み合わせ ワイヤー装置での抜歯矯正 治療途中画像
  • デコボコと深い咬み合わせ ワイヤー装置での抜歯矯正 治療途中画像
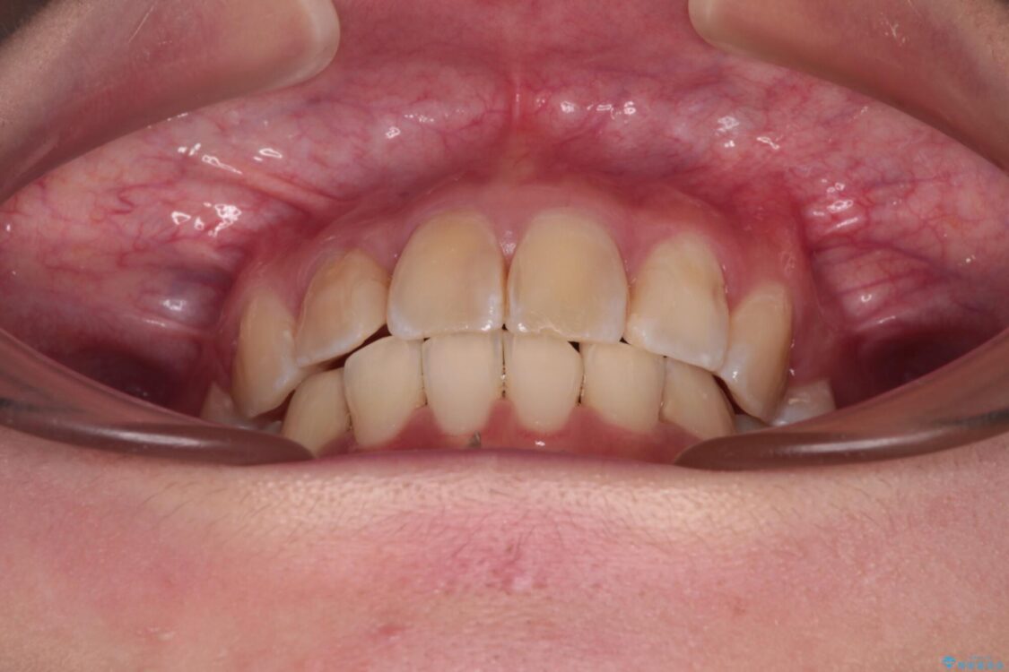
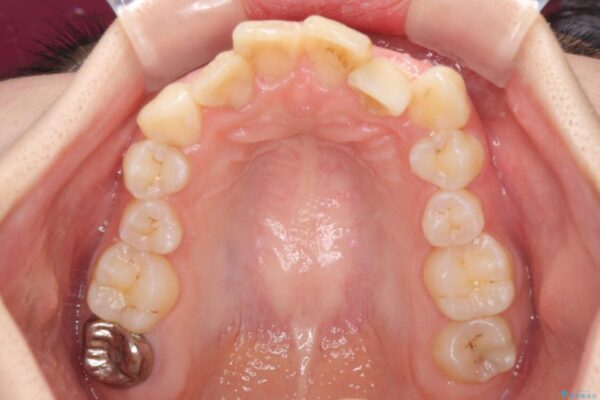
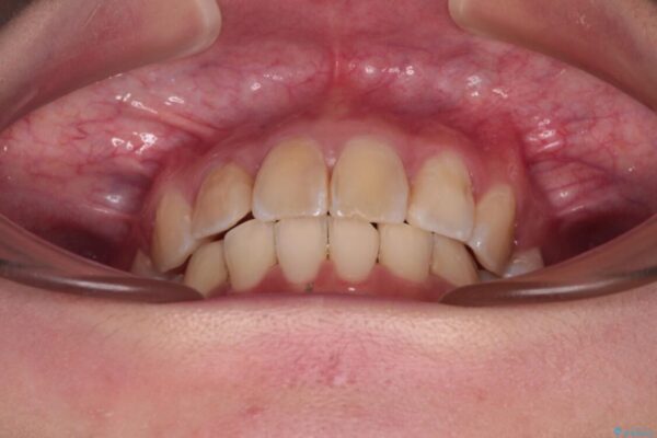
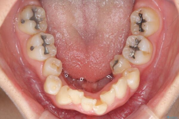
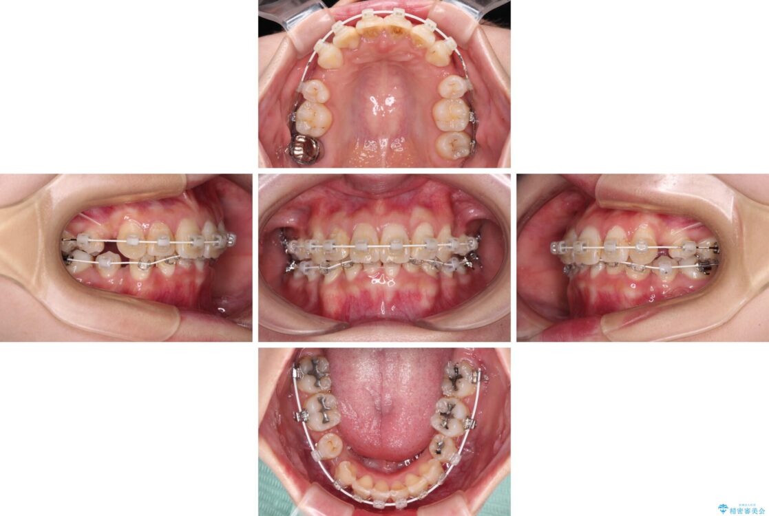
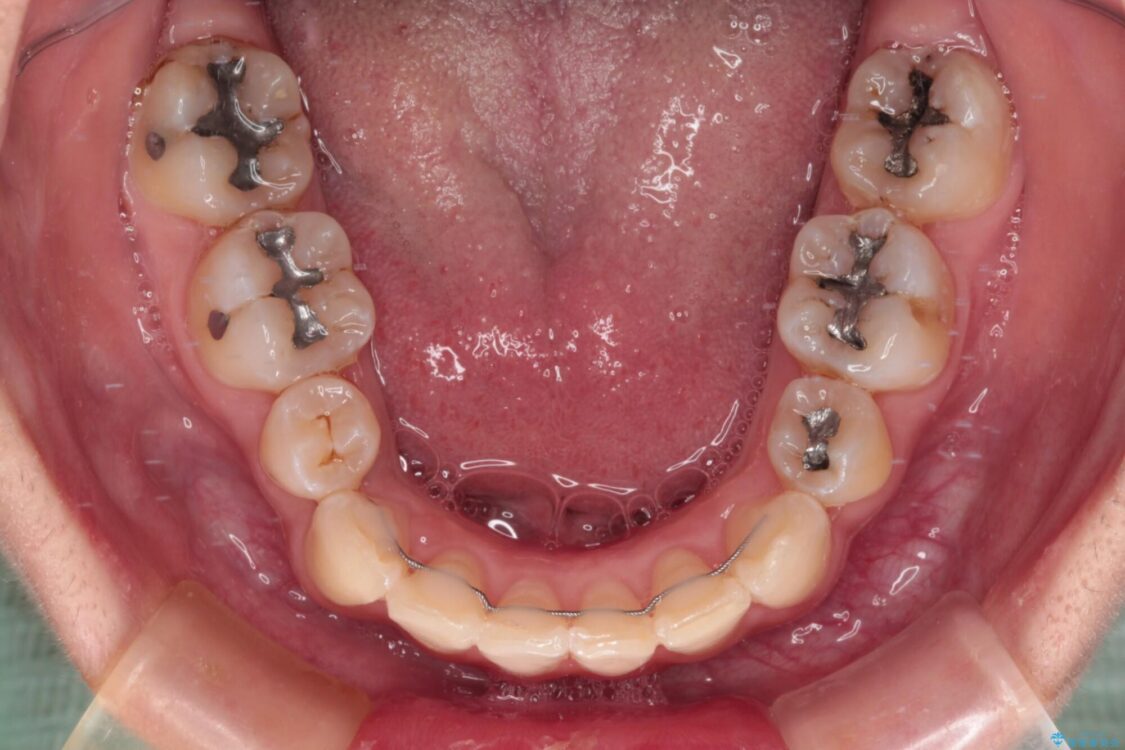
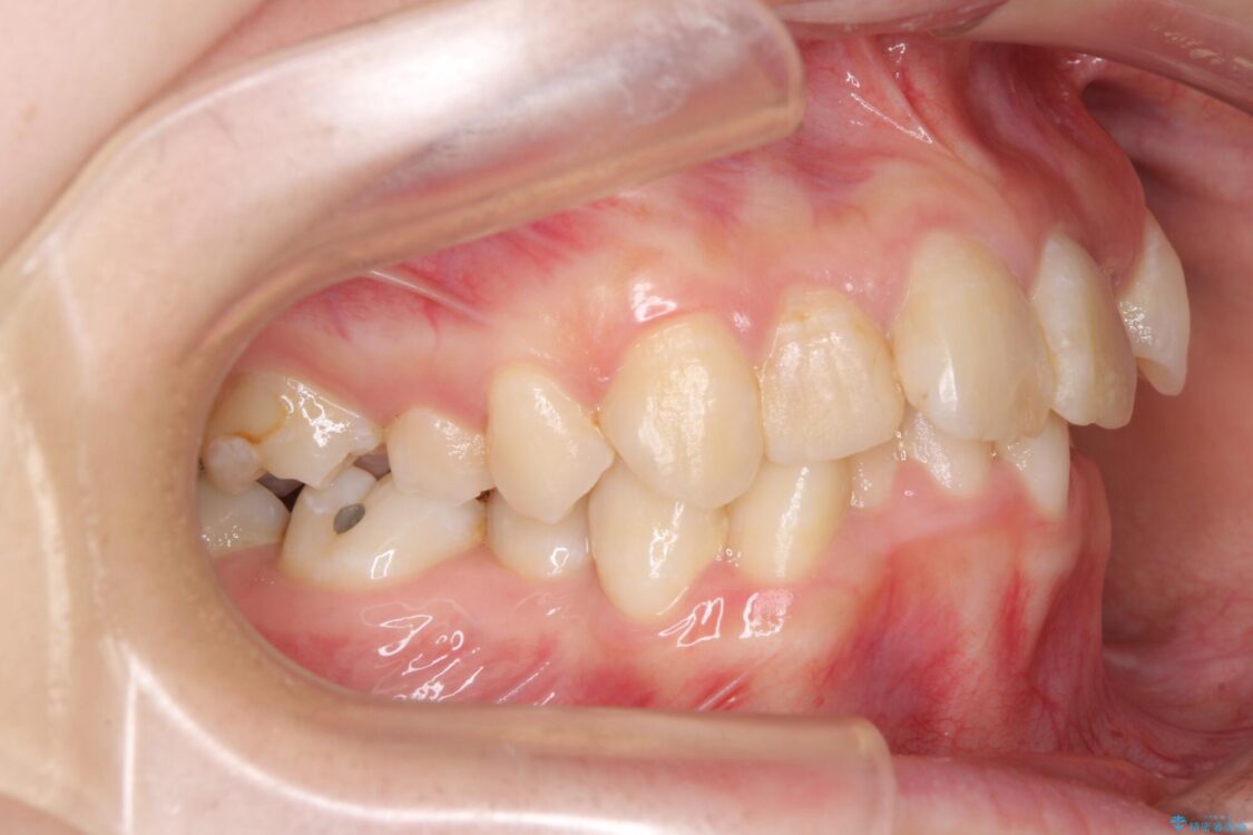
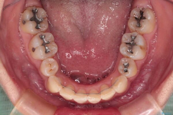
治療後
  • デコボコと深い咬み合わせ ワイヤー装置での抜歯矯正 治療後画像
  • デコボコと深い咬み合わせ ワイヤー装置での抜歯矯正 治療後画像
  • デコボコと深い咬み合わせ ワイヤー装置での抜歯矯正 治療後画像
  • デコボコと深い咬み合わせ ワイヤー装置での抜歯矯正 治療後画像
  • デコボコと深い咬み合わせ ワイヤー装置での抜歯矯正 治療後画像
  • デコボコと深い咬み合わせ ワイヤー装置での抜歯矯正 治療後画像
  • デコボコと深い咬み合わせ ワイヤー装置での抜歯矯正 治療後画像
  • デコボコと深い咬み合わせ ワイヤー装置での抜歯矯正 治療後画像
  • デコボコと深い咬み合わせ ワイヤー装置での抜歯矯正 治療後画像
  • デコボコと深い咬み合わせ ワイヤー装置での抜歯矯正 治療後画像

ワイヤー矯正の注意事項(リスク・副作用など)

・治療中は違和感や痛みが起こることがあります。
・症状により、抜歯が必要な場合があります。
・治療中は歯磨きがしにくくなるため、虫歯や歯周病になりやすくなります。
・矯正治療後の保定が不十分だと後戻り(元の位置に戻ろうとする動き)をします。
・自費診療(保険適用外)となります。

その他の注意事項(リスク・副作用など)

・担当歯科医師、歯科衛生士又は医院スタッフから受けた説明、注意事項をよくご確認ください。
・医療を提供するに当たり、適切な説明を行い、患者様の十分な理解を得るよう努めております。

当サイトの内容、テキスト、画像等の無断転載、複製、複写、盗用を固く禁じます。

24時間受付 Web申し込み


無料カウンセリング予約

無料の個別相談(予約制)を実施しております

医院直通 電話予約
03-3231-0777

平日 11:00~20:00 / 土日 10:00~18:00

※ お電話での治療に関するご相談は、ドクターによる対応ができないためお受けできません