空いている時間を利用して通院 奥歯のインプラント治療

東京駅前しらゆり歯科

電話でのご予約、お問い合わせ
03-3231-0777

平日11:00~20:00 / 土日10:00~18:00

CASES

セラミック治療の症例

空いている時間を利用して通院 奥歯のインプラント治療

治療症例のビフォーアフターと詳細

患者様
30代男性
治療期間
3ヶ月
治療回数
5-10回
概算治療費
45万円(税込)(※費用は治療当時の料金となりま
担当医
藤巻太一朗

治療動機

大学病院でインプラント治療を進めていたものの、予約のタイミングが合わないとのことで来院された患者様です。

治療計画

欠損部位の骨や歯肉の状態は非常に良く、速やかにインプラント埋入を行い、補綴治療を進めて行くことのできる状態でした。
当院の予約も空きはあまりないのですが、キャンセルが出たタイミングなどをうまく活用し、速やかに進めて行くこととしました。

治療後について

平日の昼間でもご来院可能とのことであったので、必要最小限の期間で治療を終えることができました。

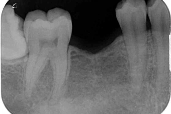
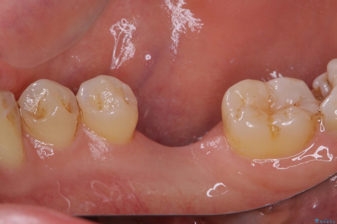
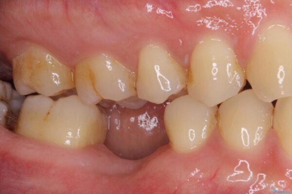
治療前
  • 空いている時間を利用して通院 奥歯のインプラント治療 治療前画像
  • 空いている時間を利用して通院 奥歯のインプラント治療 治療前画像
  • 空いている時間を利用して通院 奥歯のインプラント治療 治療前画像
  • 空いている時間を利用して通院 奥歯のインプラント治療 治療前画像
  • 空いている時間を利用して通院 奥歯のインプラント治療 治療前画像
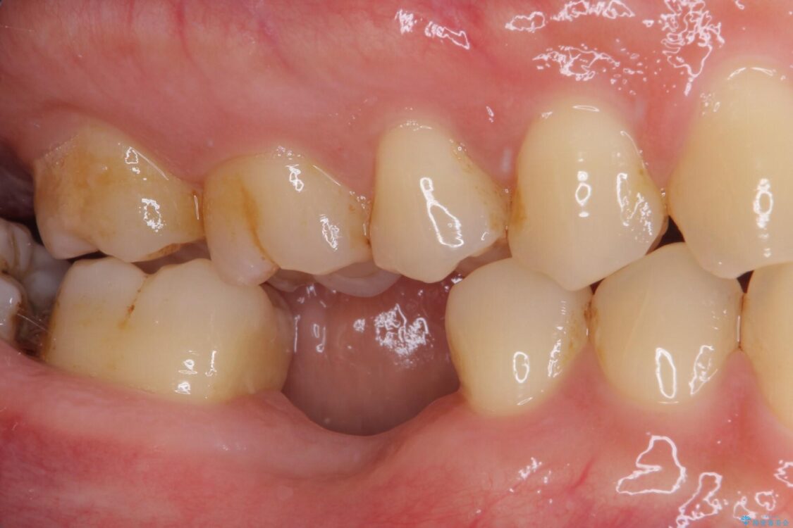
治療途中
  • 空いている時間を利用して通院 奥歯のインプラント治療 治療途中画像
  • 空いている時間を利用して通院 奥歯のインプラント治療 治療途中画像
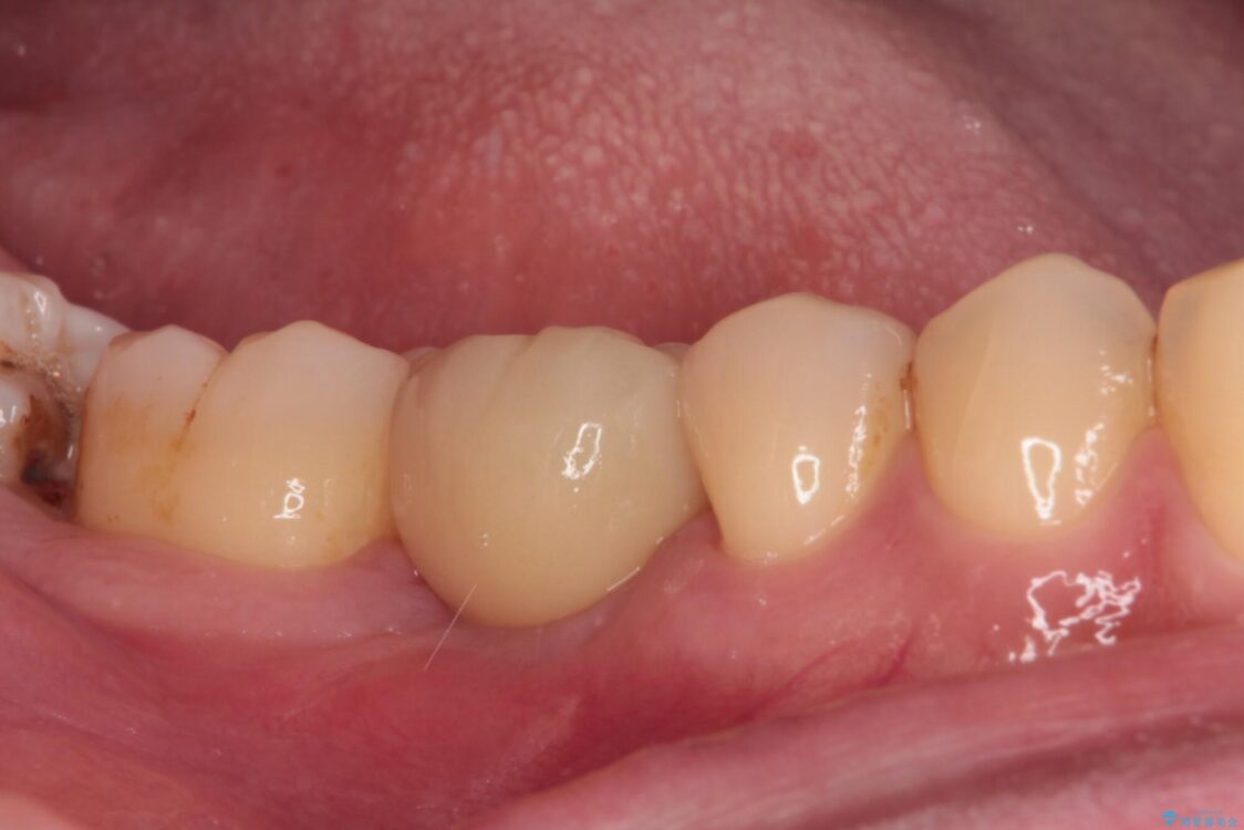
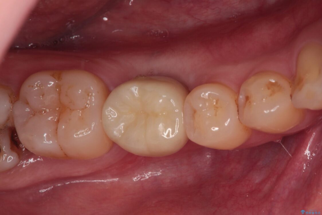
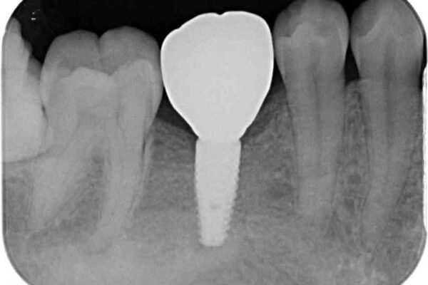
治療後
  • 空いている時間を利用して通院 奥歯のインプラント治療 治療後画像
  • 空いている時間を利用して通院 奥歯のインプラント治療 治療後画像
  • 空いている時間を利用して通院 奥歯のインプラント治療 治療後画像
  • 空いている時間を利用して通院 奥歯のインプラント治療 治療後画像
  • 空いている時間を利用して通院 奥歯のインプラント治療 治療後画像

インプラント治療の注意事項(リスク・副作用など)

・外科手術のため、術後に痛みや腫れ、違和感を伴います。
・メンテナンスを怠ったり喫煙をしたりすることにより、お口の中に大きな悪影響を及ぼすインプラント周囲炎等にかかる可能性があります。
・糖尿病、肝硬変、心臓病等の場合、インプラント治療ができない可能性があります。
・高血圧、貧血・不整脈等の場合、インプラント治療後に治癒不全を招く可能性があります。
・自費診療(保険適用外治療)となります。

セラミック治療の注意事項(リスク・副作用など)

・天然歯を削ります。
・硬い素材は天然歯を傷つけてしまう場合があります。
・かみ合わせや歯ぎしりが強すぎる方はセラミックが割れてしまう可能性があります。
・自費診療(保険適用外治療)となります。

その他の注意事項(リスク・副作用など)

・担当歯科医師、歯科衛生士又は医院スタッフから受けた説明、注意事項をよくご確認ください。
・医療を提供するに当たり、適切な説明を行い、患者様の十分な理解を得るよう努めております。

当サイトの内容、テキスト、画像等の無断転載、複製、複写、盗用を固く禁じます。

24時間受付 Web申し込み


無料カウンセリング予約

無料の個別相談(予約制)を実施しております

医院直通 電話予約
03-3231-0777

平日 11:00~20:00 / 土日 10:00~18:00

※ お電話での治療に関するご相談は、ドクターによる対応ができないためお受けできません