治療をしても違和感の続く奥歯 神経を極力残した虫歯治療

東京駅前しらゆり歯科

電話でのご予約、お問い合わせ
03-3231-0777

平日11:00~20:00 / 土日10:00~18:00

CASES

セラミック治療の症例

治療をしても違和感の続く奥歯 神経を極力残した虫歯治療

治療症例のビフォーアフターと詳細

患者様
50代男性
治療期間
2ヶ月
治療回数
5-10回
概算治療費
16万円(税込)(※費用は治療当時の料金となります)
担当医
藤巻太一朗

治療動機

痛みを感じ近医を受診したものの、違和感が改善しないとのことで来院された患者様です。

治療計画

診査をしたところ、神経組織に影響を及ぼすような大きな虫歯があることが分かりました。
虫歯が歯髄腔(神経の部屋)に達している可能性が非常に高かったため、炎症を起こしている神経組織を部分的に切除し、歯根部分の神経組織を保存する治療法が望ましいと考えられました。
歯質の欠損が大きいため、処置後はオールセラミッククラウンにて補綴治療を行うこととしました。

治療後について

神経組織を部分的に除去することが分かっていたため、ラバーダムなどの環境を整え、無菌的環境下にて処置を進めて行きました。
虫歯は深くまで進行しており、歯冠部の神経から出血が認められました。神経を部分的に除去したところ出血が治まったので、生体親和性の非常に高いセメントにて充填し、仮封をしました。
後日状態を確認したところ、残された神経に異常は認められませんでした。

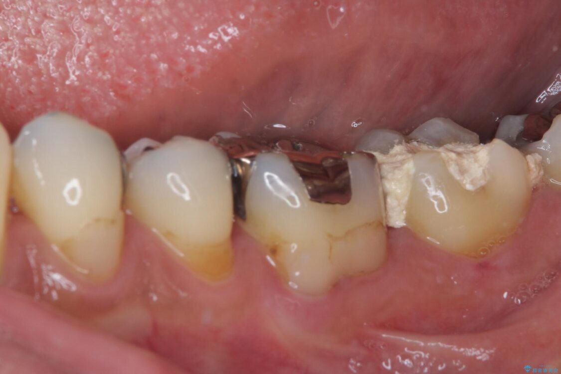
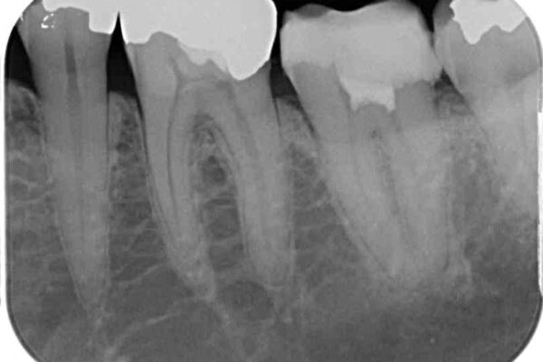
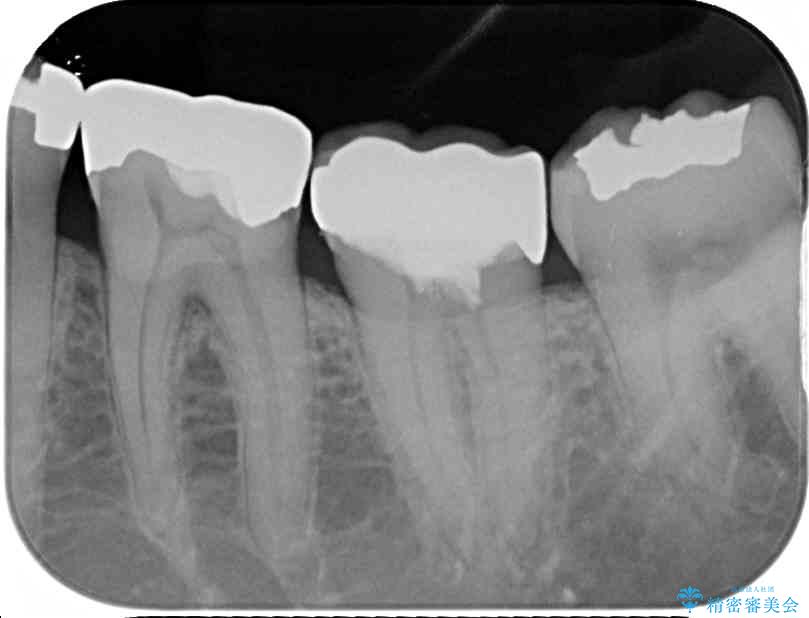
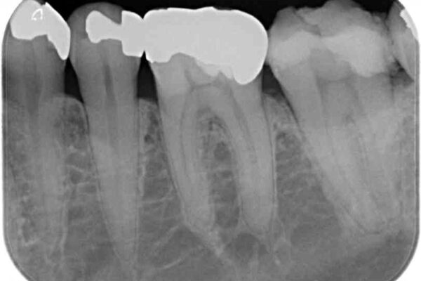
治療前
  • 治療をしても違和感の続く奥歯 神経を極力残した虫歯治療 治療前画像
  • 治療をしても違和感の続く奥歯 神経を極力残した虫歯治療 治療前画像
  • 治療をしても違和感の続く奥歯 神経を極力残した虫歯治療 治療前画像
  • 治療をしても違和感の続く奥歯 神経を極力残した虫歯治療 治療前画像
治療途中
  • 治療をしても違和感の続く奥歯 神経を極力残した虫歯治療 治療途中画像
  • 治療をしても違和感の続く奥歯 神経を極力残した虫歯治療 治療途中画像
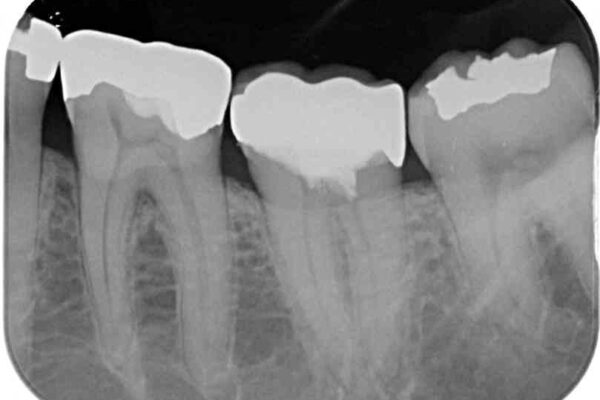
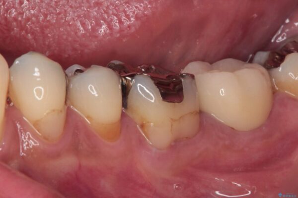
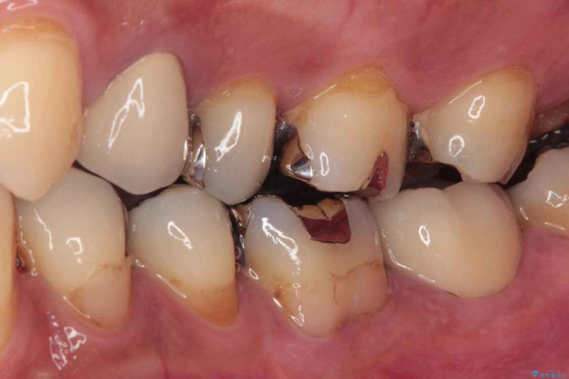
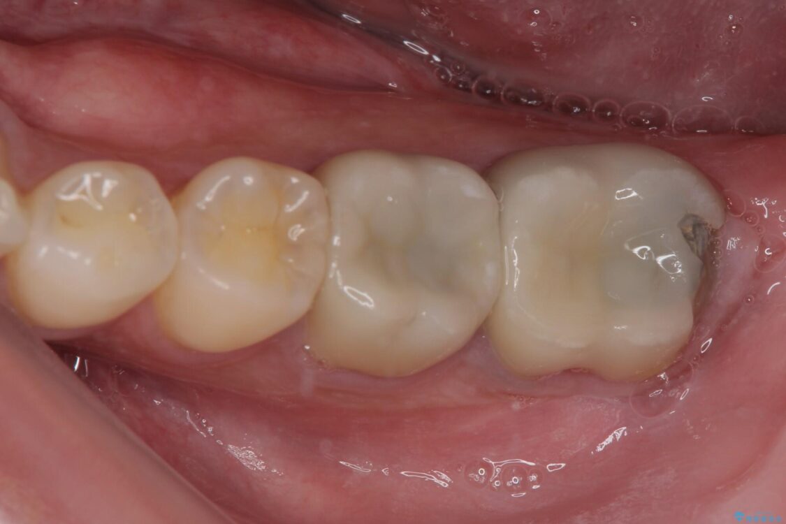
治療後
  • 治療をしても違和感の続く奥歯 神経を極力残した虫歯治療 治療後画像
  • 治療をしても違和感の続く奥歯 神経を極力残した虫歯治療 治療後画像
  • 治療をしても違和感の続く奥歯 神経を極力残した虫歯治療 治療後画像
  • 治療をしても違和感の続く奥歯 神経を極力残した虫歯治療 治療後画像

セラミック治療の注意事項(リスク・副作用など)

・天然歯を削ります。
・硬い素材は天然歯を傷つけてしまう場合があります。
・かみ合わせや歯ぎしりが強すぎる方はセラミックが割れてしまう可能性があります。
・自費診療(保険適用外治療)となります。

その他の注意事項(リスク・副作用など)

・担当歯科医師、歯科衛生士又は医院スタッフから受けた説明、注意事項をよくご確認ください。
・医療を提供するに当たり、適切な説明を行い、患者様の十分な理解を得るよう努めております。

当サイトの内容、テキスト、画像等の無断転載、複製、複写、盗用を固く禁じます。

24時間受付 Web申し込み


無料カウンセリング予約

無料の個別相談(予約制)を実施しております

医院直通 電話予約
03-3231-0777

平日 11:00~20:00 / 土日 10:00~18:00

※ お電話での治療に関するご相談は、ドクターによる対応ができないためお受けできません