虫歯治療ついでに歯並びの後戻りを改善 インビザラインによる矯正治療

東京駅前しらゆり歯科

電話でのご予約、お問い合わせ
03-3231-0777

平日11:00~20:00 / 土日10:00~18:00

CASES

総合歯科治療の症例

虫歯治療ついでに歯並びの後戻りを改善 インビザラインによる矯正治療

治療症例のビフォーアフターと詳細

患者様
30代女性
治療期間
4年6ヶ月
治療回数
10-30回
矯正装置
インビザライン
概算治療費
140万円(税込)(※費用は治療当時の料金となります)
担当医
藤巻太一朗

治療動機

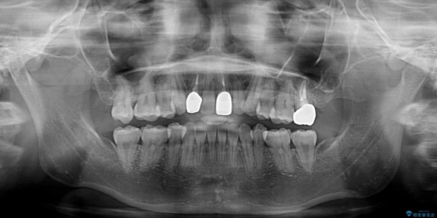
奥歯が痛いとのことで来院された患者様です。

治療計画

上顎親知らず周辺の炎症と、神経組織の失活した歯の炎症による痛みが認められたため、親知らずの抜歯と根管治療を行いました。
根管治療を行った歯はクラウンによる補綴治療が必要となりますが、高校生の頃に行った矯正治療の後戻りも気になるとのことで、補綴治療を行う前に矯正治療を行うこととしました。
後戻りは軽度であり、インビザラインにて歯列を整え、その後にオールセラミッククラウンにて補綴治療を行うこととしました。

治療後について

ご家庭やお仕事の都合で通院が途絶えた時期があり、治療は長期間となりましたが、無事に終えることができました。

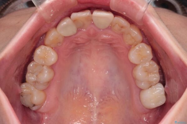
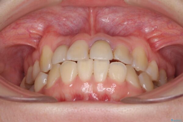
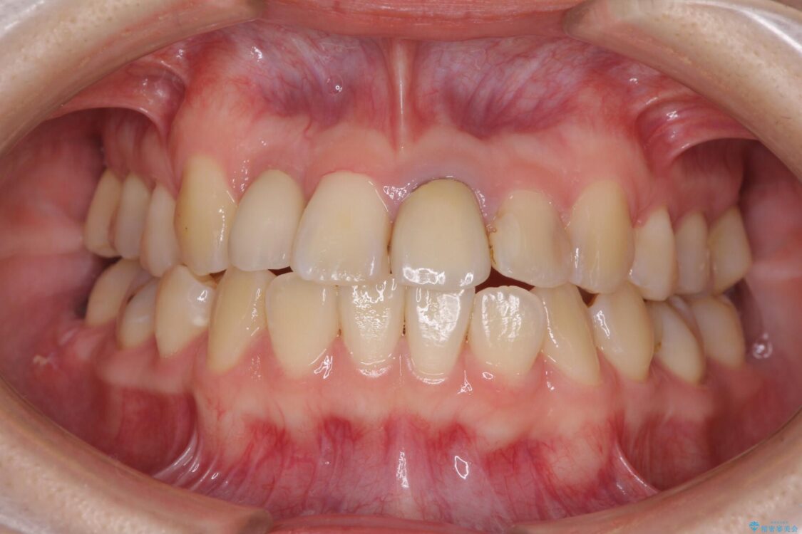
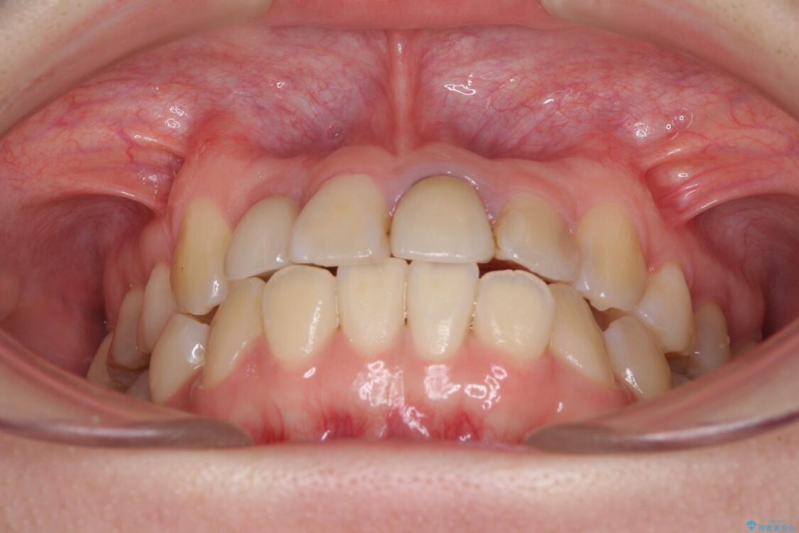
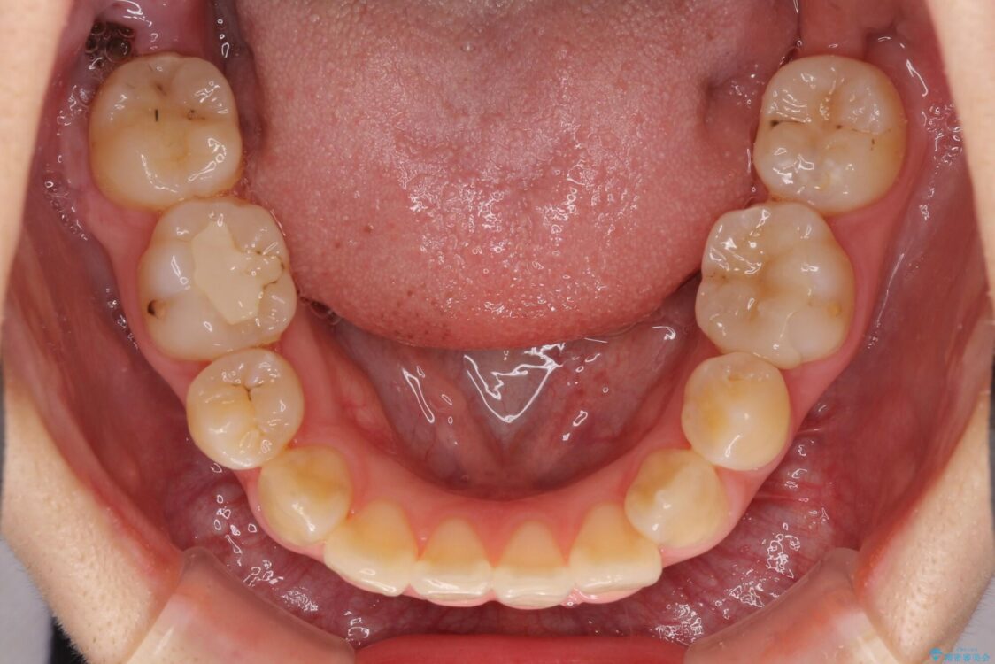
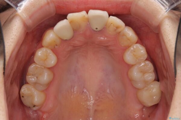
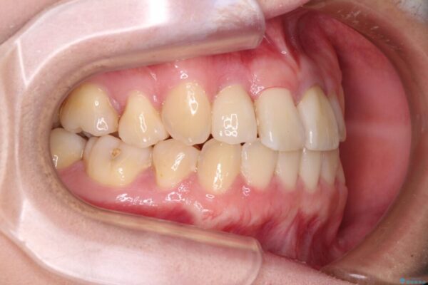
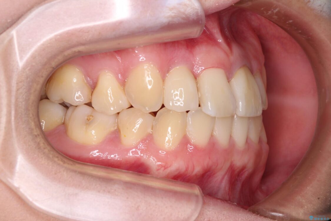
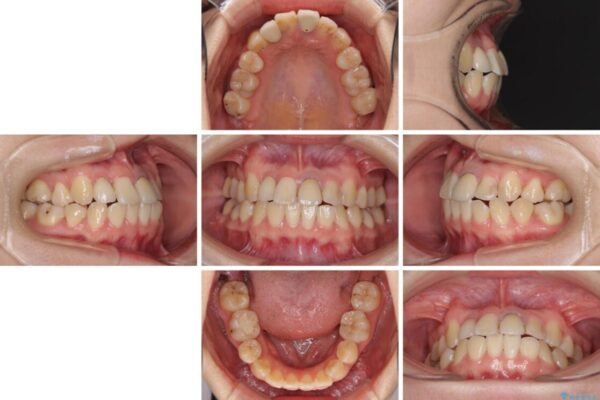
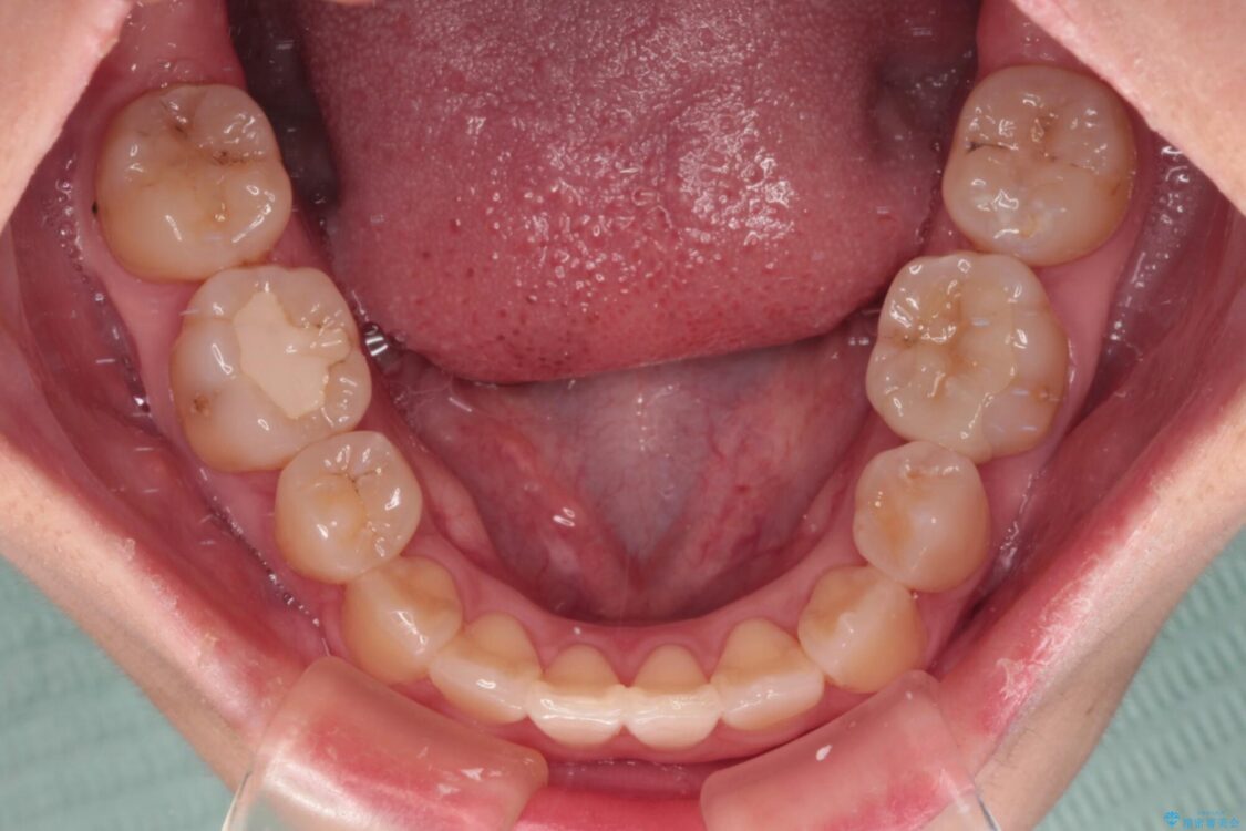
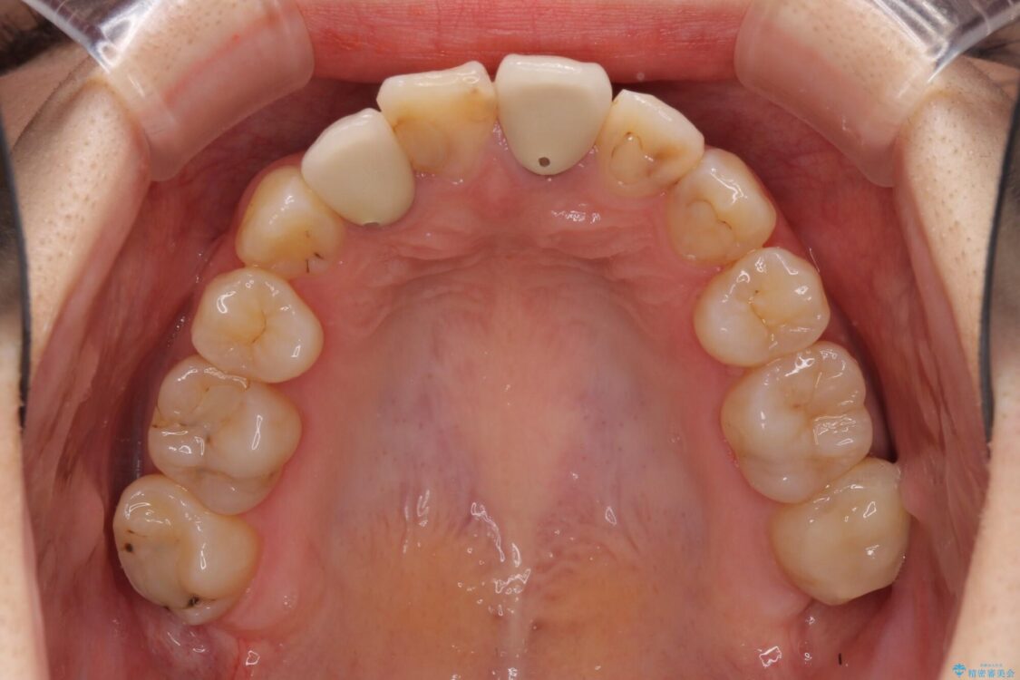
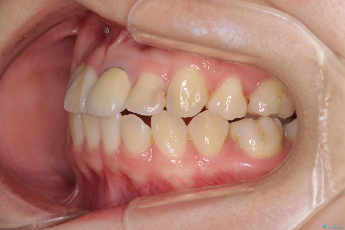
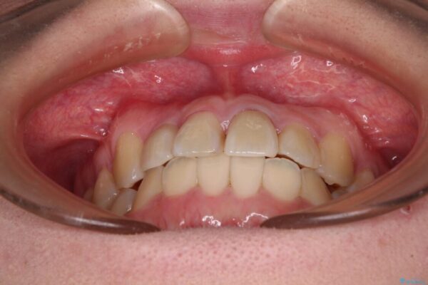
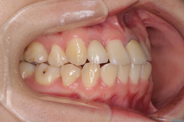
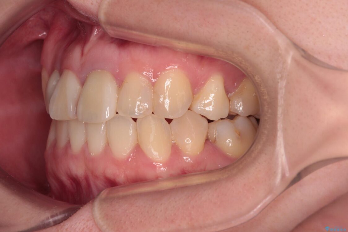
治療前
  • 虫歯治療ついでに歯並びの後戻りを改善 インビザラインによる矯正治療 治療前画像
  • 虫歯治療ついでに歯並びの後戻りを改善 インビザラインによる矯正治療 治療前画像
  • 虫歯治療ついでに歯並びの後戻りを改善 インビザラインによる矯正治療 治療前画像
  • 虫歯治療ついでに歯並びの後戻りを改善 インビザラインによる矯正治療 治療前画像
  • 虫歯治療ついでに歯並びの後戻りを改善 インビザラインによる矯正治療 治療前画像
  • 虫歯治療ついでに歯並びの後戻りを改善 インビザラインによる矯正治療 治療前画像
  • 虫歯治療ついでに歯並びの後戻りを改善 インビザラインによる矯正治療 治療前画像
  • 虫歯治療ついでに歯並びの後戻りを改善 インビザラインによる矯正治療 治療前画像
  • 虫歯治療ついでに歯並びの後戻りを改善 インビザラインによる矯正治療 治療前画像
  • 虫歯治療ついでに歯並びの後戻りを改善 インビザラインによる矯正治療 治療前画像
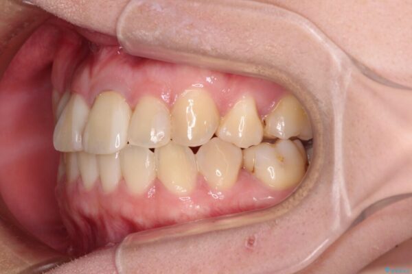
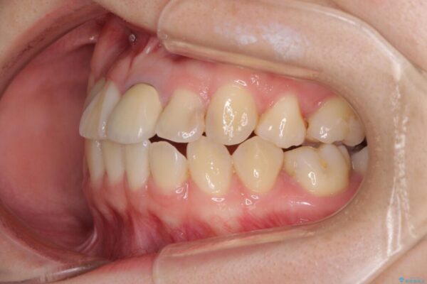
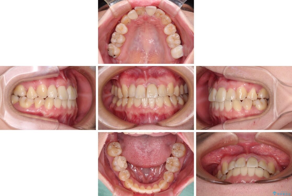
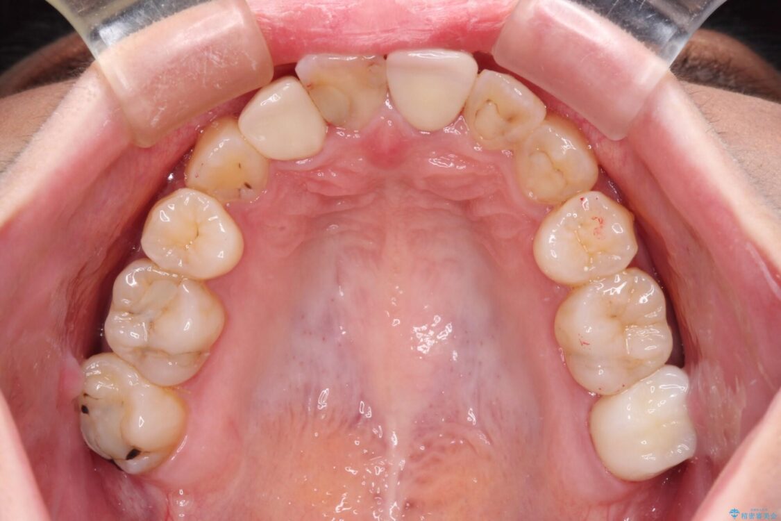
治療途中
  • 虫歯治療ついでに歯並びの後戻りを改善 インビザラインによる矯正治療 治療途中画像
  • 虫歯治療ついでに歯並びの後戻りを改善 インビザラインによる矯正治療 治療途中画像
  • 虫歯治療ついでに歯並びの後戻りを改善 インビザラインによる矯正治療 治療途中画像
  • 虫歯治療ついでに歯並びの後戻りを改善 インビザラインによる矯正治療 治療途中画像
  • 虫歯治療ついでに歯並びの後戻りを改善 インビザラインによる矯正治療 治療途中画像
  • 虫歯治療ついでに歯並びの後戻りを改善 インビザラインによる矯正治療 治療途中画像
  • 虫歯治療ついでに歯並びの後戻りを改善 インビザラインによる矯正治療 治療途中画像
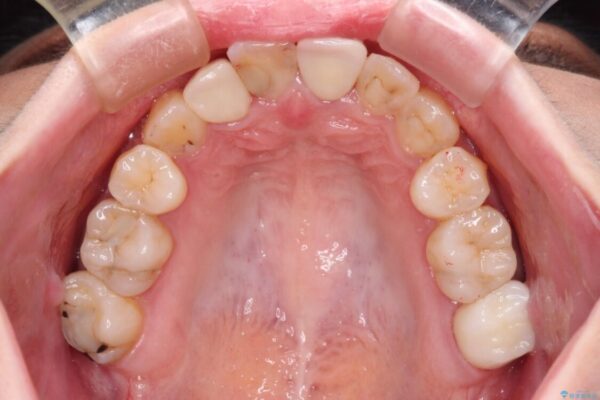
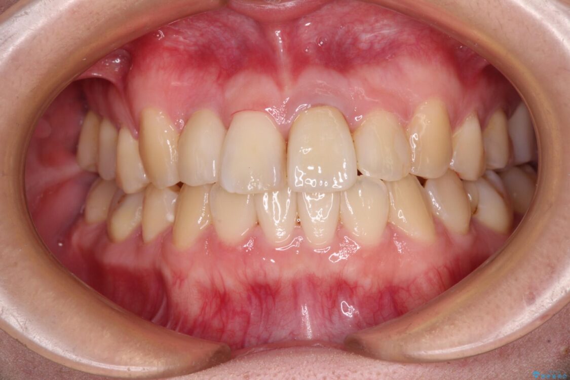
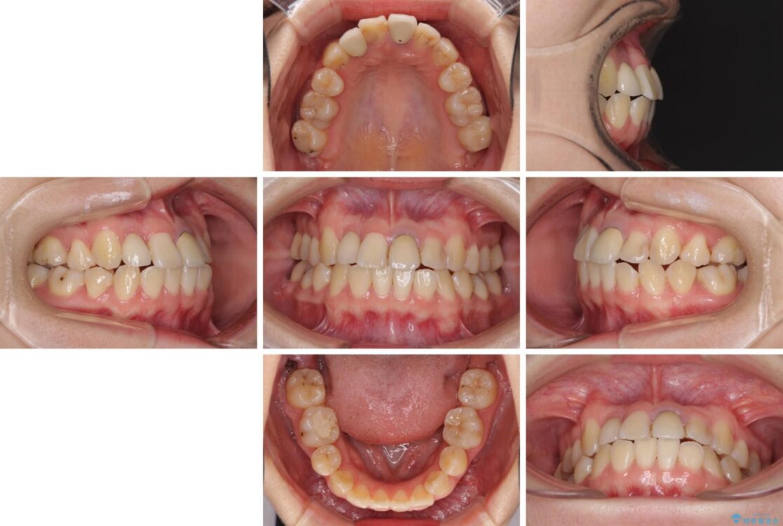
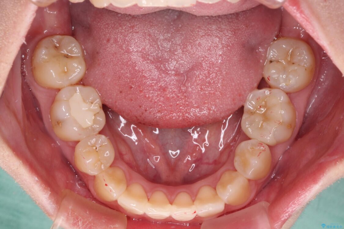
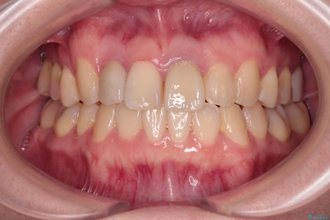
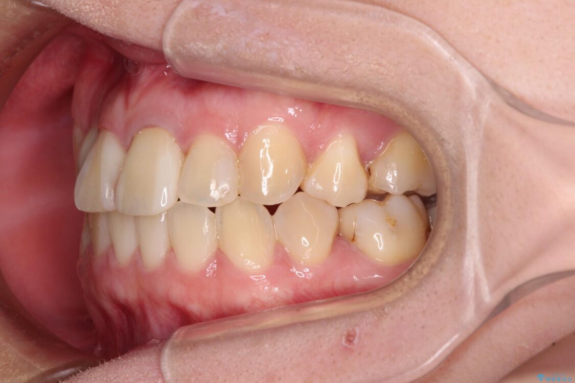
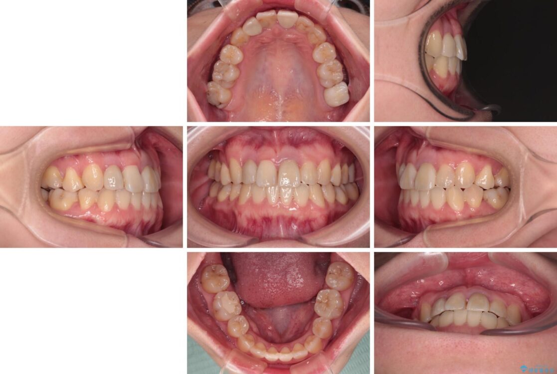
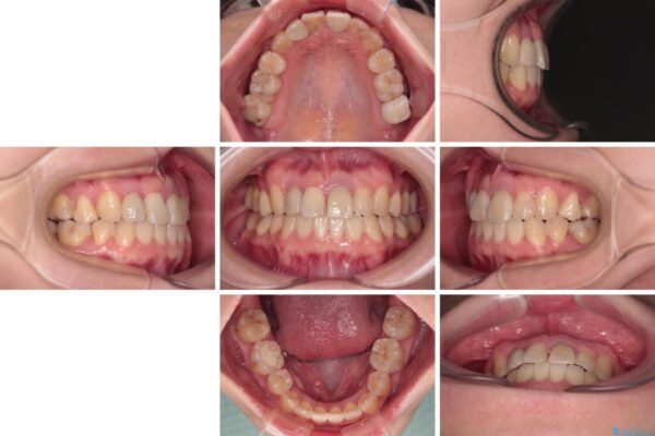
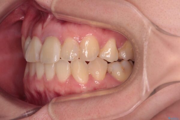
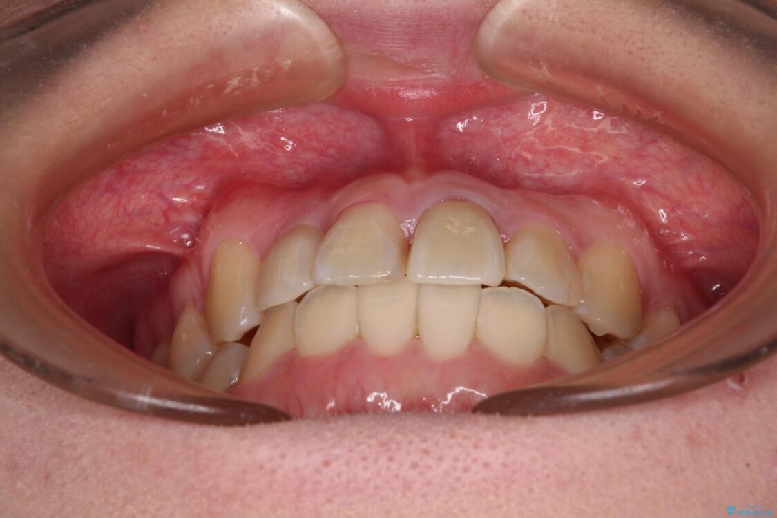
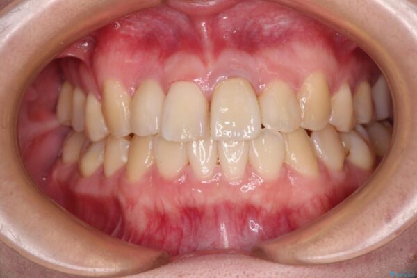
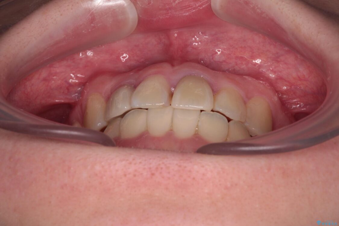
治療後
  • 虫歯治療ついでに歯並びの後戻りを改善 インビザラインによる矯正治療 治療後画像
  • 虫歯治療ついでに歯並びの後戻りを改善 インビザラインによる矯正治療 治療後画像
  • 虫歯治療ついでに歯並びの後戻りを改善 インビザラインによる矯正治療 治療後画像
  • 虫歯治療ついでに歯並びの後戻りを改善 インビザラインによる矯正治療 治療後画像
  • 虫歯治療ついでに歯並びの後戻りを改善 インビザラインによる矯正治療 治療後画像
  • 虫歯治療ついでに歯並びの後戻りを改善 インビザラインによる矯正治療 治療後画像
  • 虫歯治療ついでに歯並びの後戻りを改善 インビザラインによる矯正治療 治療後画像
  • 虫歯治療ついでに歯並びの後戻りを改善 インビザラインによる矯正治療 治療後画像
  • 虫歯治療ついでに歯並びの後戻りを改善 インビザラインによる矯正治療 治療後画像
  • 虫歯治療ついでに歯並びの後戻りを改善 インビザラインによる矯正治療 治療後画像

マウスピース矯正の注意事項(リスク・副作用など)

・口腔内・歯並びの状態によっては対応できない場合があります。
・マウスピース型矯正装置の長時間装着が必須です。
・治療計画通りに進めるためには、患者様の意志が重要になります。
・矯正治療後の保定が不十分だと後戻り(元の位置に戻ろうとする動き)をします。
・自費診療(保険適用外治療)となります。
・※薬機法対象外の矯正歯科装置のため医薬品副作用被害救済制度の対象外となる場合があります。

セラミック治療の注意事項(リスク・副作用など)

・天然歯を削ります。
・硬い素材は天然歯を傷つけてしまう場合があります。
・かみ合わせや歯ぎしりが強すぎる方はセラミックが割れてしまう可能性があります。
・自費診療(保険適用外治療)となります。

根管治療の注意事項(リスク・副作用など)

・根管治療は非常に成功率の高い治療ですが、治療の成否を決める多くの要素があるため、根管治療がなされた後も再治療、外科処置、抜歯などの処置をしなくてはならなくなることもあります。
・根管治療中には、器具の破折、穿孔、修復物の損傷、歯の破折、術中・術後の不快症状、術後の痛みや腫脹などの事象が稀ではありますが起こりうることがあります。
・自費診療(保険適用外治療)となります。

その他の注意事項(リスク・副作用など)

・担当歯科医師、歯科衛生士又は医院スタッフから受けた説明、注意事項をよくご確認ください。
・医療を提供するに当たり、適切な説明を行い、患者様の十分な理解を得るよう努めております。

当サイトの内容、テキスト、画像等の無断転載、複製、複写、盗用を固く禁じます。

24時間受付 Web申し込み


無料カウンセリング予約

無料の個別相談(予約制)を実施しております

医院直通 電話予約
03-3231-0777

平日 11:00~20:00 / 土日 10:00~18:00

※ お電話での治療に関するご相談は、ドクターによる対応ができないためお受けできません