目立ちにくい表側装置で1年完了!狭いアーチを側方拡大し前歯のデコボコを整えた症例

東京駅前しらゆり歯科

電話でのご予約、お問い合わせ
03-3231-0777

平日11:00~20:00 / 土日10:00~18:00

CASES

ワイヤー矯正の症例

目立ちにくい表側装置で1年完了!狭いアーチを側方拡大し前歯のデコボコを整えた症例

治療症例のビフォーアフターと詳細

患者様
20代女性
治療期間
1年1ヶ月
治療回数
10-30回
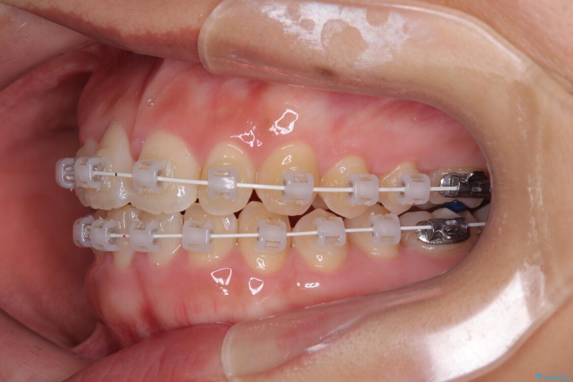
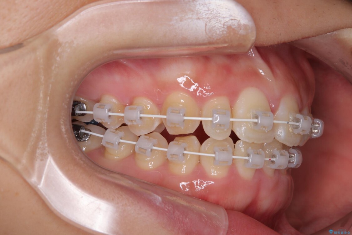
矯正装置
審美装置
概算治療費
94万円(税込)(※費用は治療当時の料金となります)
担当医
齋藤佑磨

治療動機

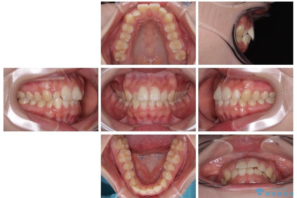
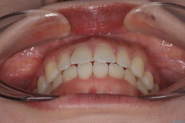
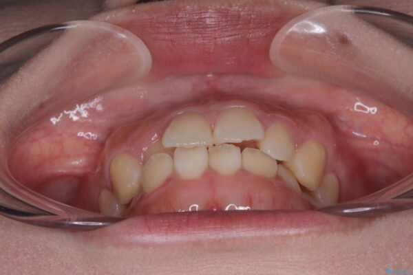
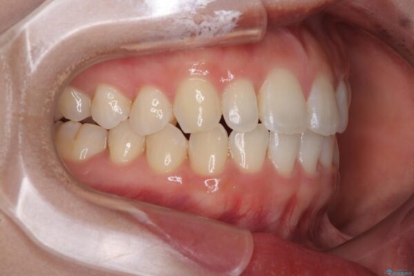
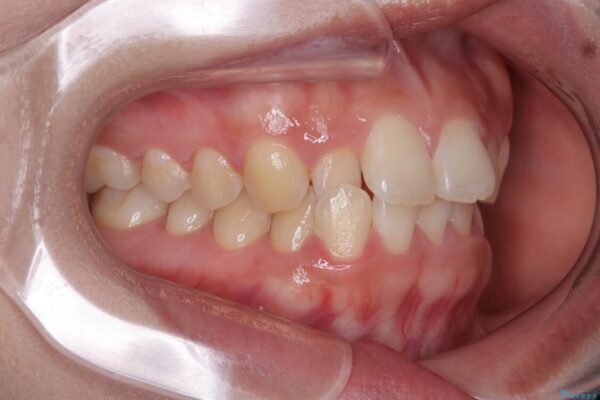
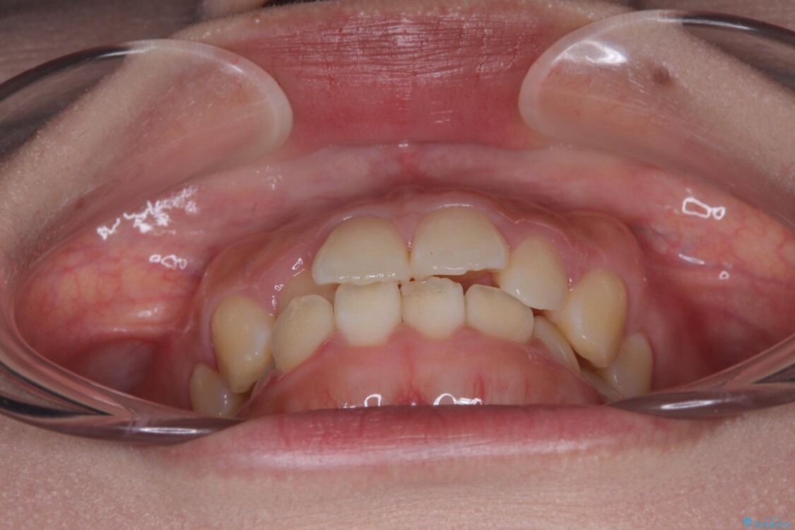
前歯のデコボコが気になるでのことで来院された患者様です。

治療計画

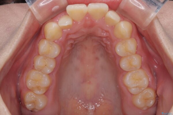
歯列アーチが狭くスペース不足により前歯がデコボコしている状態でした。見た目を改善しつつ、前歯を前方に突出させず、自然な笑顔を目指したいというご希望でした。
治療計画
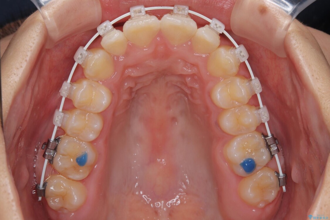
・アーチを側方に拡大して歯が並ぶスペースを確保
・抜歯は避け、非抜歯での対応
・目立ちにくい審美装置による矯正
・治療期間をできるだけ短縮するために、綿密な装置管理と協力体制を構築

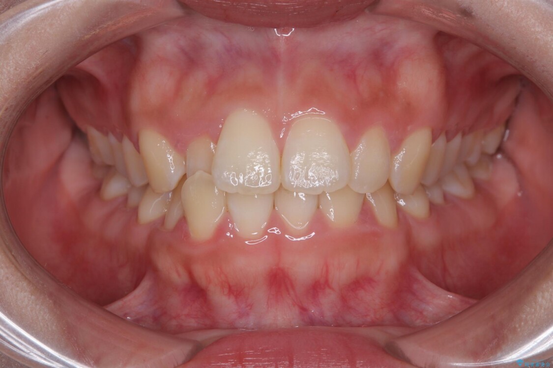
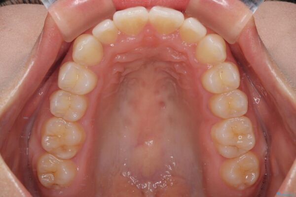
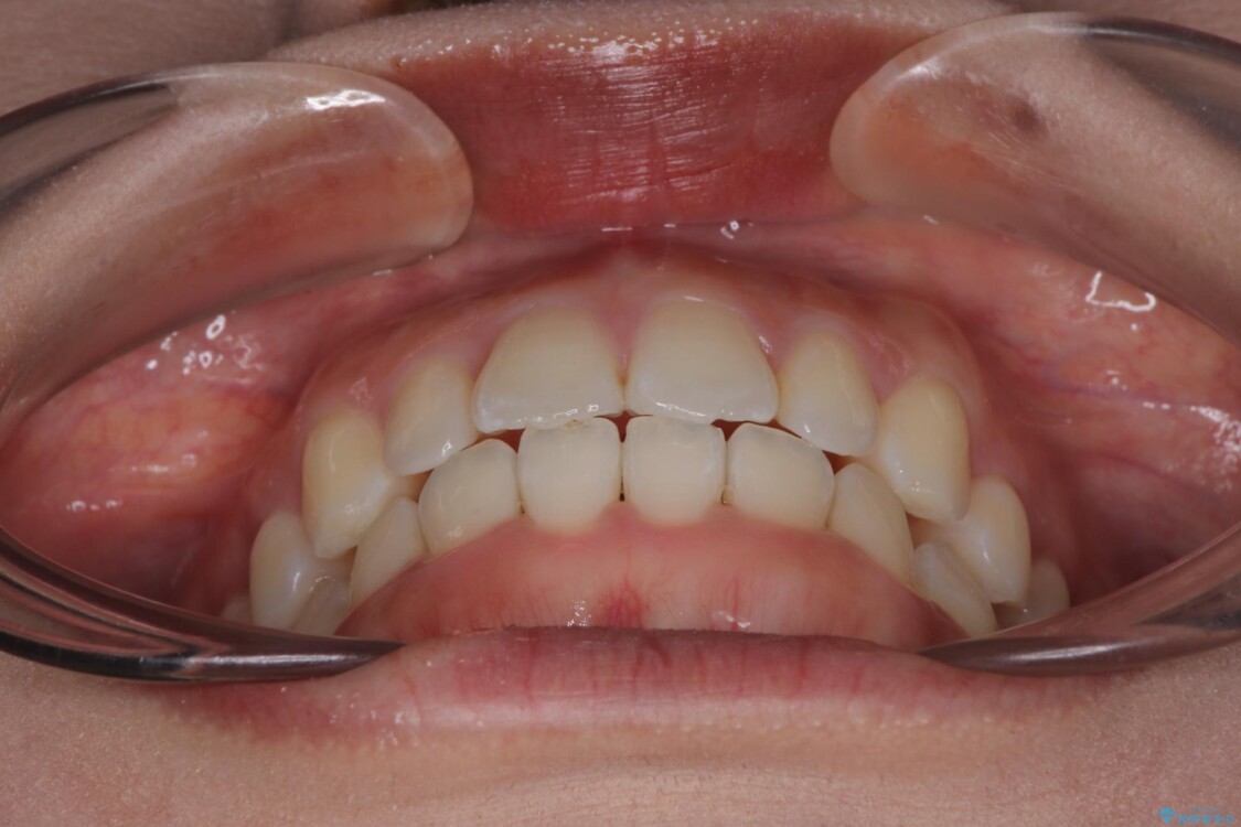
治療後について

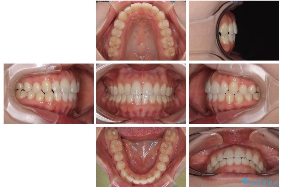
治療終了時
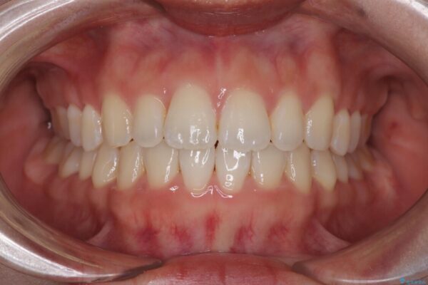
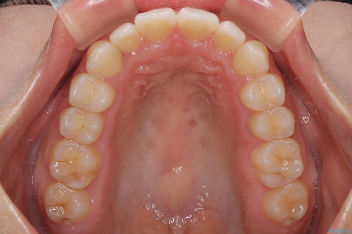
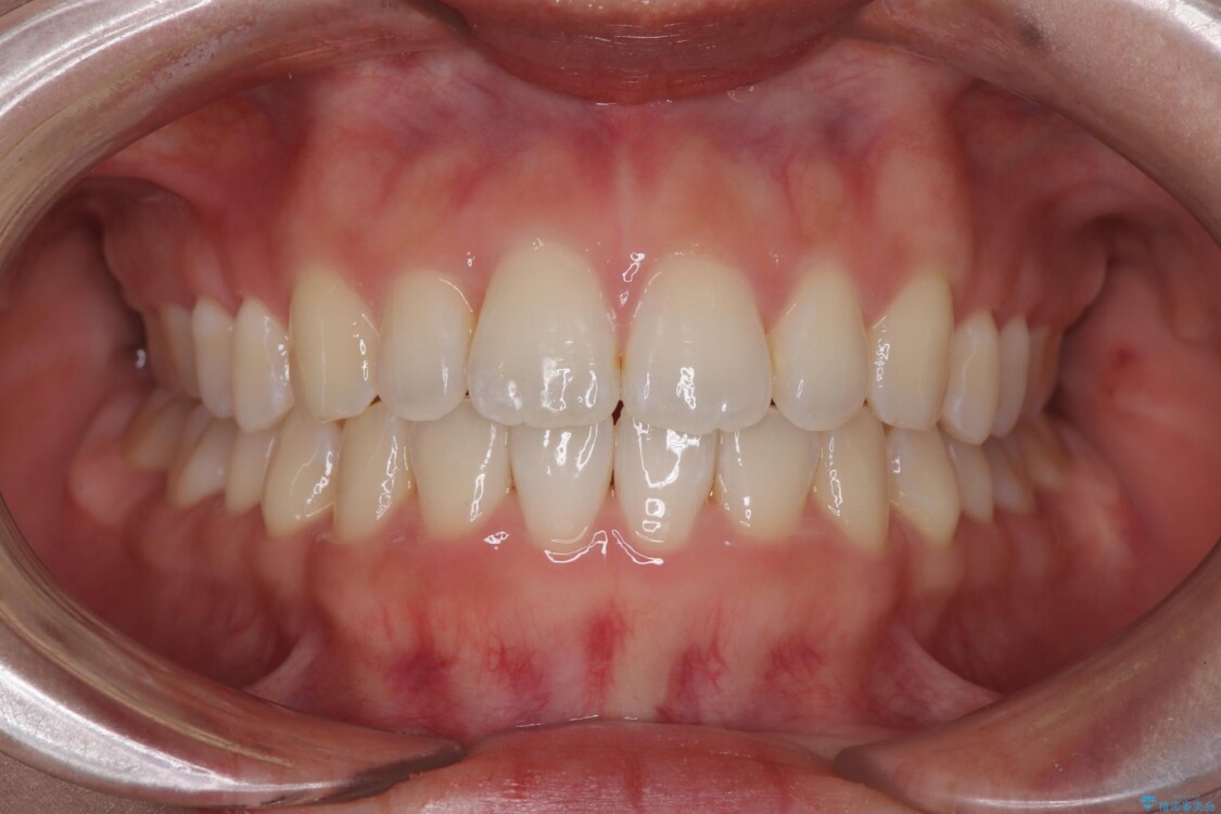
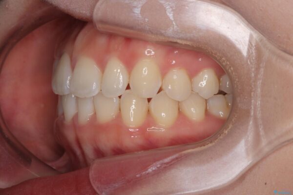
前歯が自然なアーチにきれいに並び、正中(上下の中心線)も整い、咬み合わせも良好です。
側方拡大することで、非抜歯であるにも関わらず前歯が前方に出ることなく、バランスの良い仕上がりとなりました。

「矯正装置が目立たず、思ったより短期間で仕上がりに満足しています。鏡を見るのが毎日楽しみになりました!」とうれしいお言葉をいただきました。

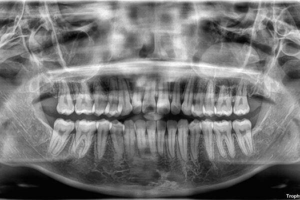
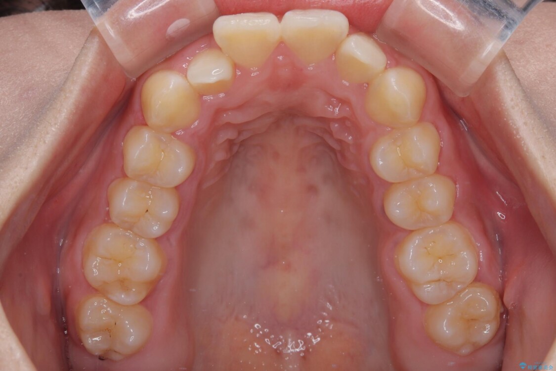
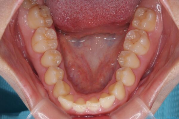
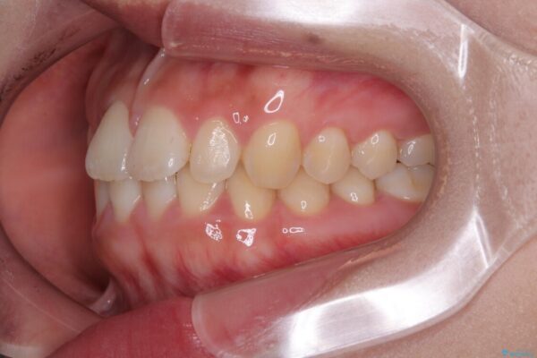
治療前
  • 目立ちにくい表側装置で1年完了!狭いアーチを側方拡大し前歯のデコボコを整えた症例 治療前画像
  • 目立ちにくい表側装置で1年完了!狭いアーチを側方拡大し前歯のデコボコを整えた症例 治療前画像
  • 目立ちにくい表側装置で1年完了!狭いアーチを側方拡大し前歯のデコボコを整えた症例 治療前画像
  • 目立ちにくい表側装置で1年完了!狭いアーチを側方拡大し前歯のデコボコを整えた症例 治療前画像
  • 目立ちにくい表側装置で1年完了!狭いアーチを側方拡大し前歯のデコボコを整えた症例 治療前画像
  • 目立ちにくい表側装置で1年完了!狭いアーチを側方拡大し前歯のデコボコを整えた症例 治療前画像
  • 目立ちにくい表側装置で1年完了!狭いアーチを側方拡大し前歯のデコボコを整えた症例 治療前画像
  • 目立ちにくい表側装置で1年完了!狭いアーチを側方拡大し前歯のデコボコを整えた症例 治療前画像
  • 目立ちにくい表側装置で1年完了!狭いアーチを側方拡大し前歯のデコボコを整えた症例 治療前画像
  • 目立ちにくい表側装置で1年完了!狭いアーチを側方拡大し前歯のデコボコを整えた症例 治療前画像
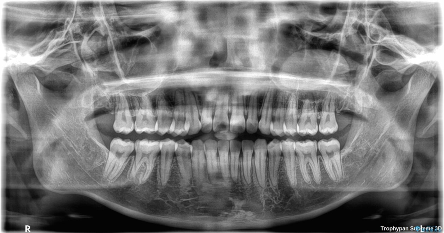
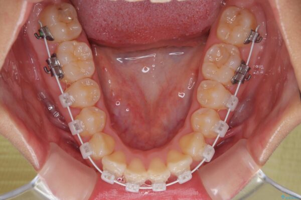
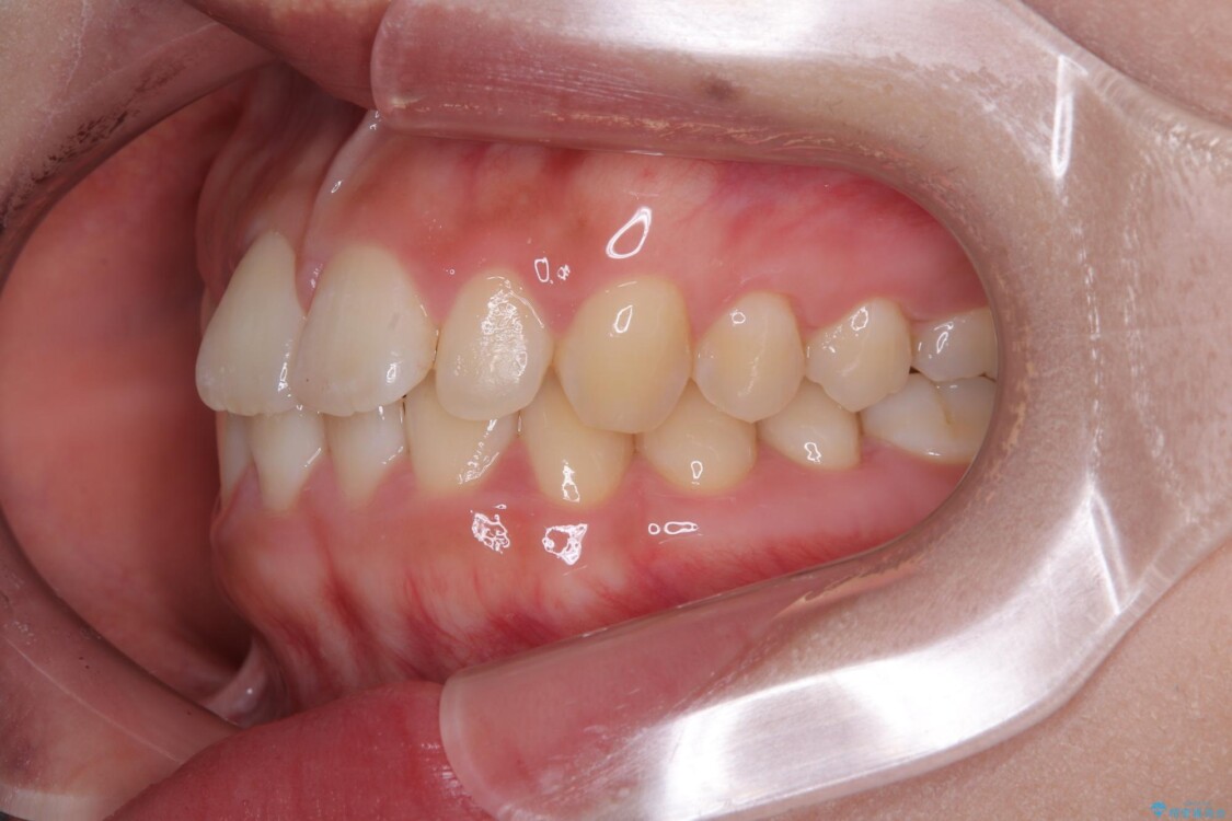
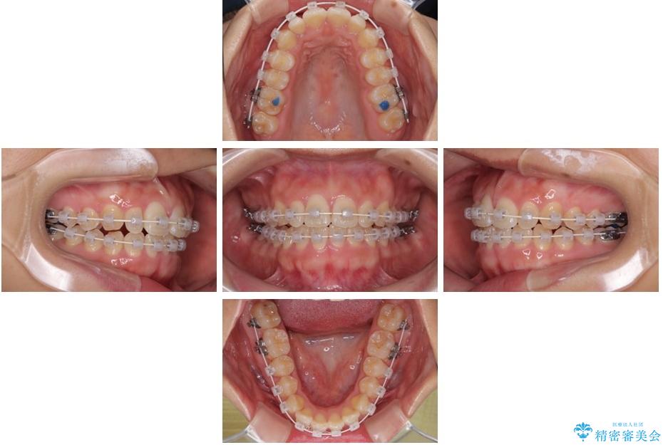
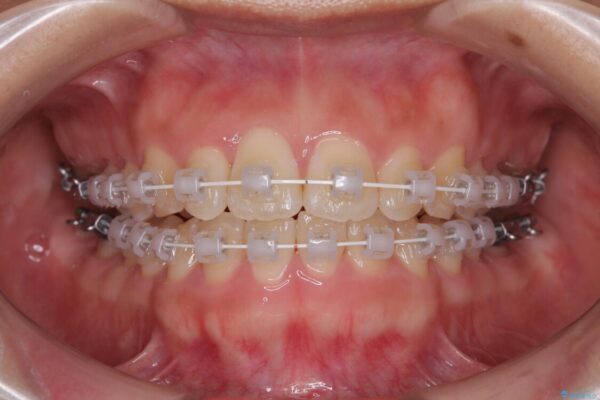
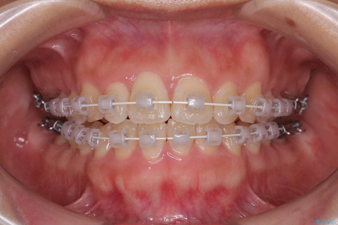
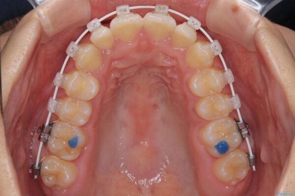
治療途中
  • 目立ちにくい表側装置で1年完了!狭いアーチを側方拡大し前歯のデコボコを整えた症例 治療途中画像
  • 目立ちにくい表側装置で1年完了!狭いアーチを側方拡大し前歯のデコボコを整えた症例 治療途中画像
  • 目立ちにくい表側装置で1年完了!狭いアーチを側方拡大し前歯のデコボコを整えた症例 治療途中画像
  • 目立ちにくい表側装置で1年完了!狭いアーチを側方拡大し前歯のデコボコを整えた症例 治療途中画像
  • 目立ちにくい表側装置で1年完了!狭いアーチを側方拡大し前歯のデコボコを整えた症例 治療途中画像
  • 目立ちにくい表側装置で1年完了!狭いアーチを側方拡大し前歯のデコボコを整えた症例 治療途中画像
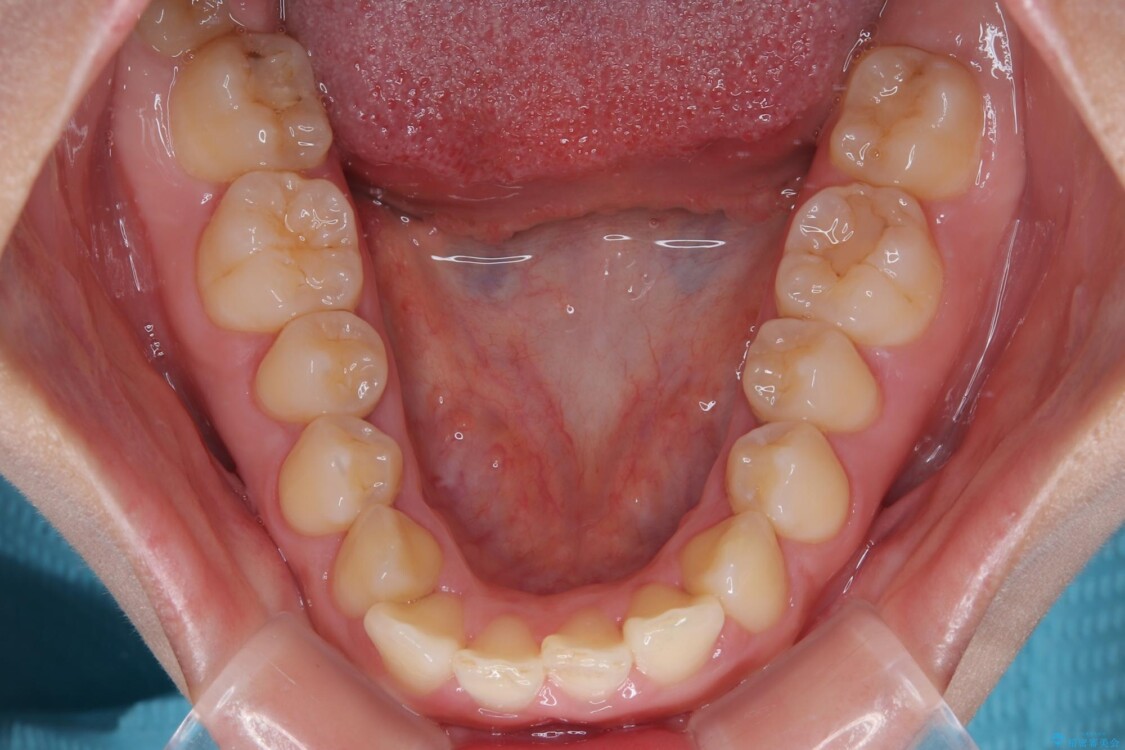
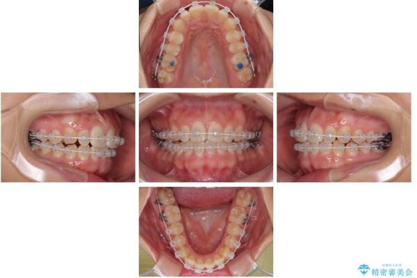
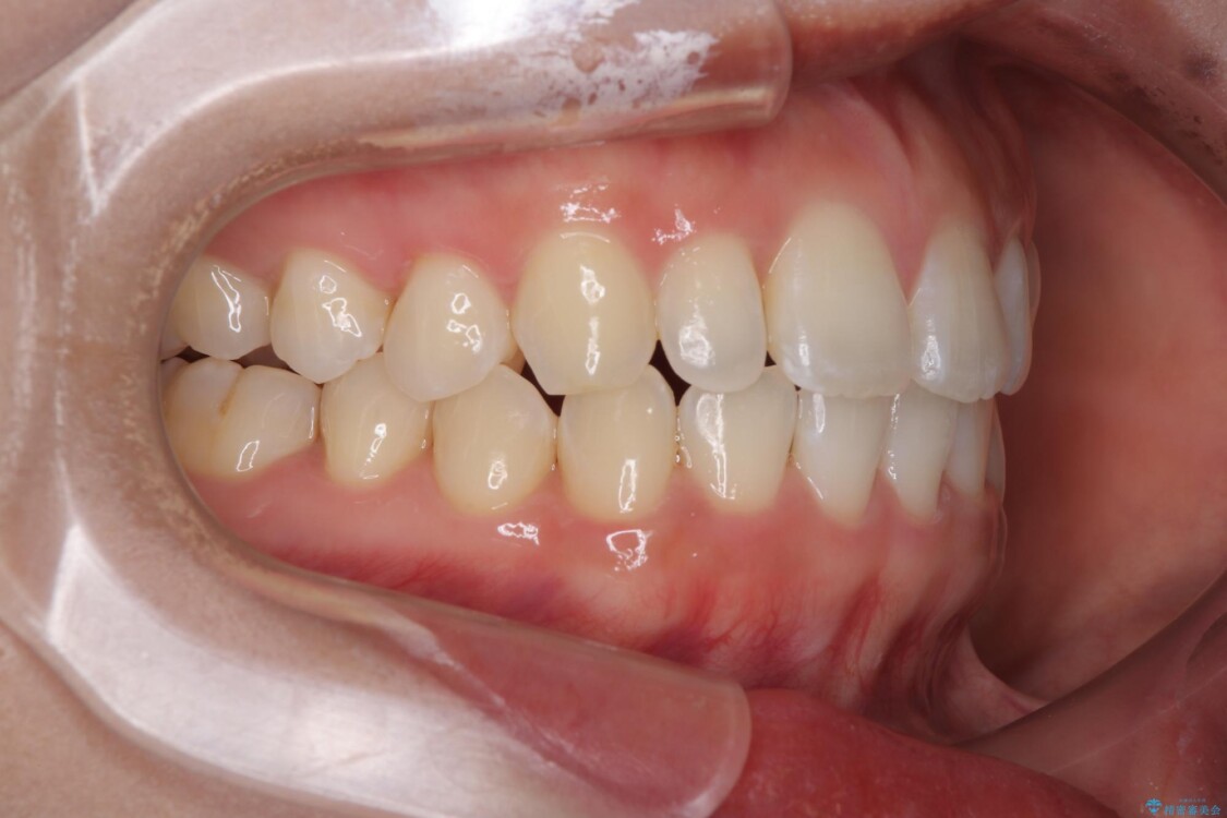
治療後
  • 目立ちにくい表側装置で1年完了!狭いアーチを側方拡大し前歯のデコボコを整えた症例 治療後画像
  • 目立ちにくい表側装置で1年完了!狭いアーチを側方拡大し前歯のデコボコを整えた症例 治療後画像
  • 目立ちにくい表側装置で1年完了!狭いアーチを側方拡大し前歯のデコボコを整えた症例 治療後画像
  • 目立ちにくい表側装置で1年完了!狭いアーチを側方拡大し前歯のデコボコを整えた症例 治療後画像
  • 目立ちにくい表側装置で1年完了!狭いアーチを側方拡大し前歯のデコボコを整えた症例 治療後画像
  • 目立ちにくい表側装置で1年完了!狭いアーチを側方拡大し前歯のデコボコを整えた症例 治療後画像
  • 目立ちにくい表側装置で1年完了!狭いアーチを側方拡大し前歯のデコボコを整えた症例 治療後画像
  • 目立ちにくい表側装置で1年完了!狭いアーチを側方拡大し前歯のデコボコを整えた症例 治療後画像
  • 目立ちにくい表側装置で1年完了!狭いアーチを側方拡大し前歯のデコボコを整えた症例 治療後画像
  • 目立ちにくい表側装置で1年完了!狭いアーチを側方拡大し前歯のデコボコを整えた症例 治療後画像

ワイヤー矯正の注意事項(リスク・副作用など)

・治療中は違和感や痛みが起こることがあります。
・症状により、抜歯が必要な場合があります。
・治療中は歯磨きがしにくくなるため、虫歯や歯周病になりやすくなります。
・矯正治療後の保定が不十分だと後戻り(元の位置に戻ろうとする動き)をします。
・自費診療(保険適用外)となります。

その他の注意事項(リスク・副作用など)

・担当歯科医師、歯科衛生士又は医院スタッフから受けた説明、注意事項をよくご確認ください。
・医療を提供するに当たり、適切な説明を行い、患者様の十分な理解を得るよう努めております。

当サイトの内容、テキスト、画像等の無断転載、複製、複写、盗用を固く禁じます。

24時間受付 Web申し込み


無料カウンセリング予約

無料の個別相談(予約制)を実施しております

医院直通 電話予約
03-3231-0777

平日 11:00~20:00 / 土日 10:00~18:00

※ お電話での治療に関するご相談は、ドクターによる対応ができないためお受けできません