【モニター】前歯のデコボコをスッキリ解消!目立ちにくいワイヤー矯正でスピーディに治療完了

東京駅前しらゆり歯科

電話でのご予約、お問い合わせ
03-3231-0777

平日11:00~20:00 / 土日10:00~18:00

CASES

ワイヤー矯正の症例

【モニター】前歯のデコボコをスッキリ解消!目立ちにくいワイヤー矯正でスピーディに治療完了

治療症例のビフォーアフターと詳細

患者様
20代女性
治療期間
1年
治療回数
10-30回
矯正装置
クリアブラケット
概算治療費
83万円(税込)(※費用は治療当時の料金となります)
担当医
齋藤佑磨

治療動機

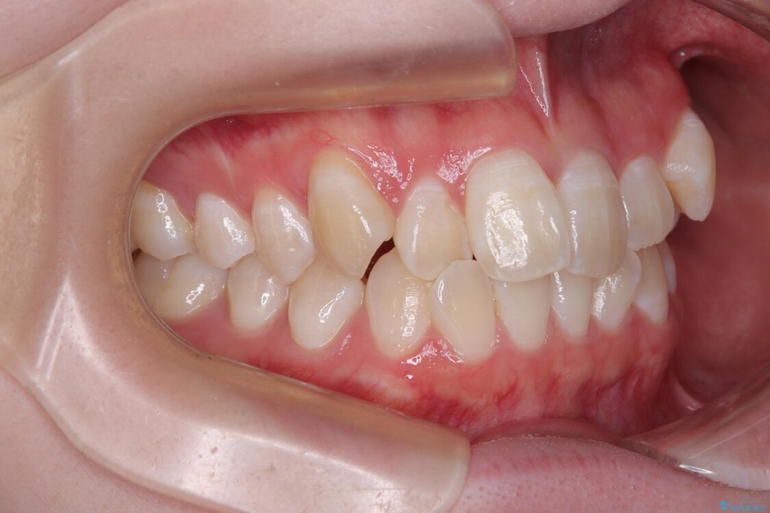
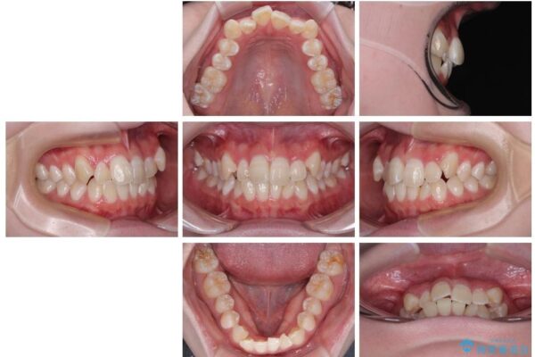
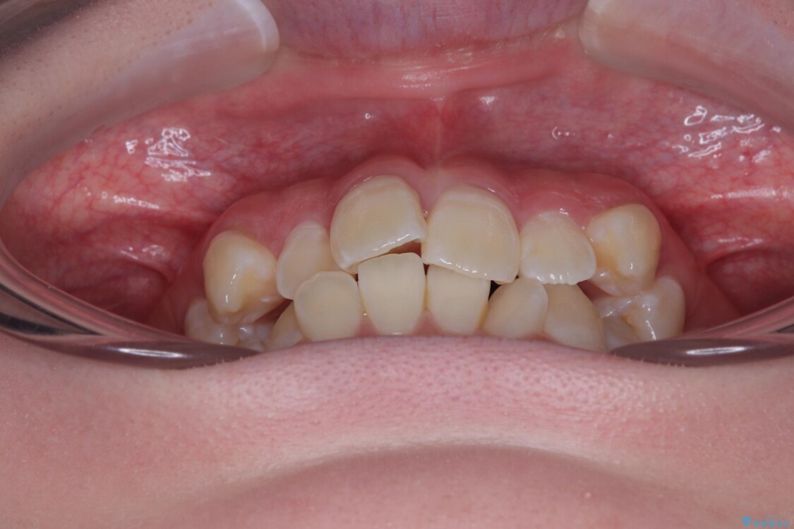
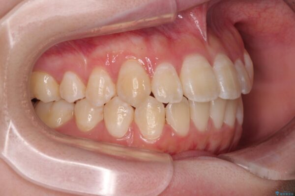
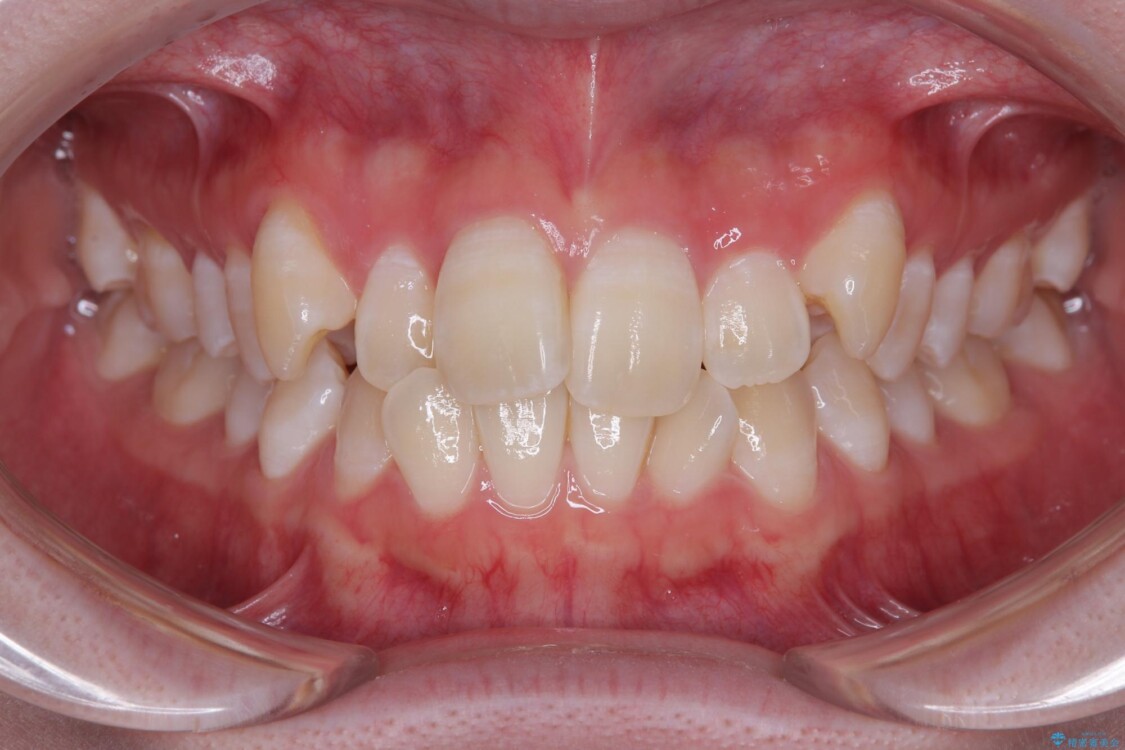
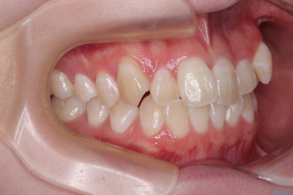
「前歯のデコボコ(叢生)をきれいに整えたい」とのことでご来院されました。

治療計画

「前歯のデコボコ(叢生)をきれいに整えたい」とのことでご来院されました。
マウスピース矯正も検討されていましたが、「装着時間の自己管理が難しそう」「なるべく早く治療を終えたい」とのご希望から、ワイヤー矯正を選択されました。
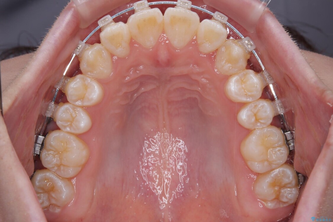
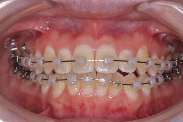
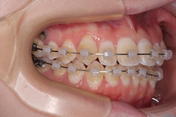
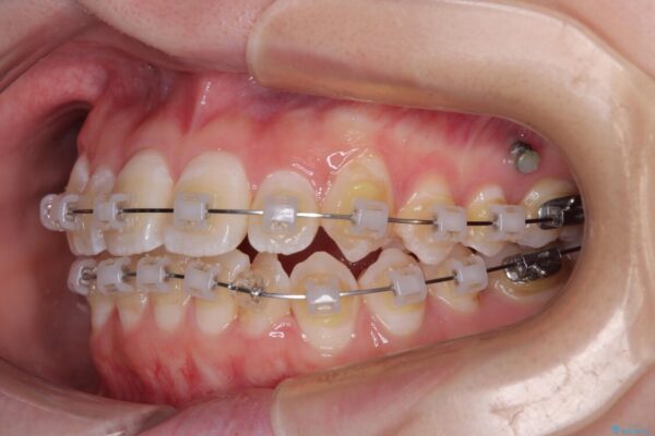
目立ちにくさと費用のバランスを考慮し、プラスチックブラケット+メタルワイヤーを採用。日常生活でも装置の存在感を気にせずお過ごしいただけます。
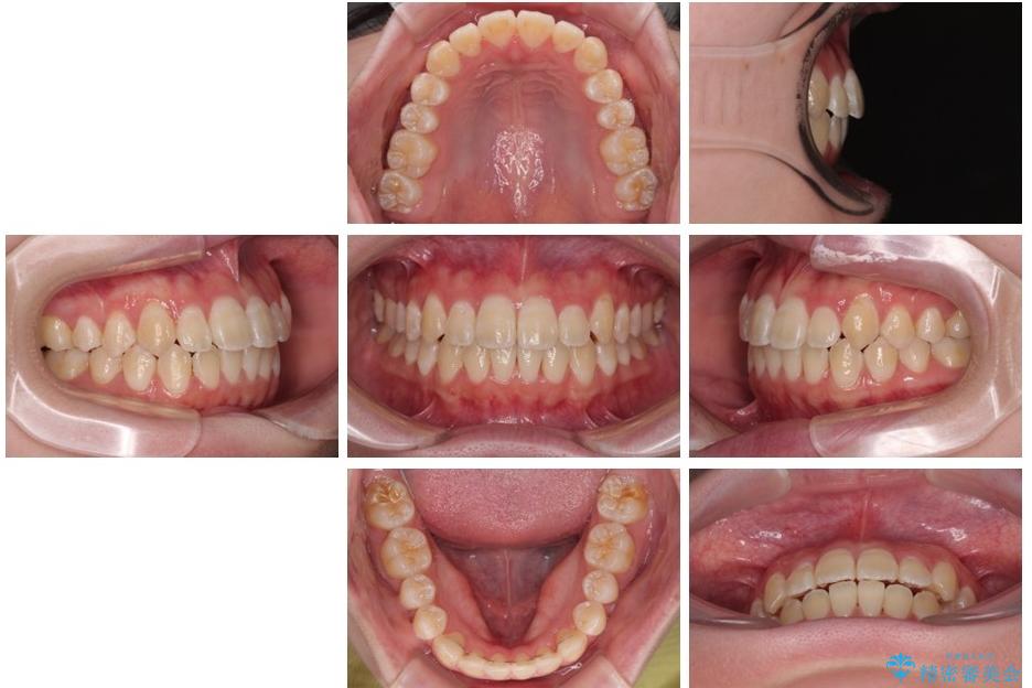
患者様の協力もあり、およそ1年間で治療を完了。スムーズな歯の移動を実現しました。
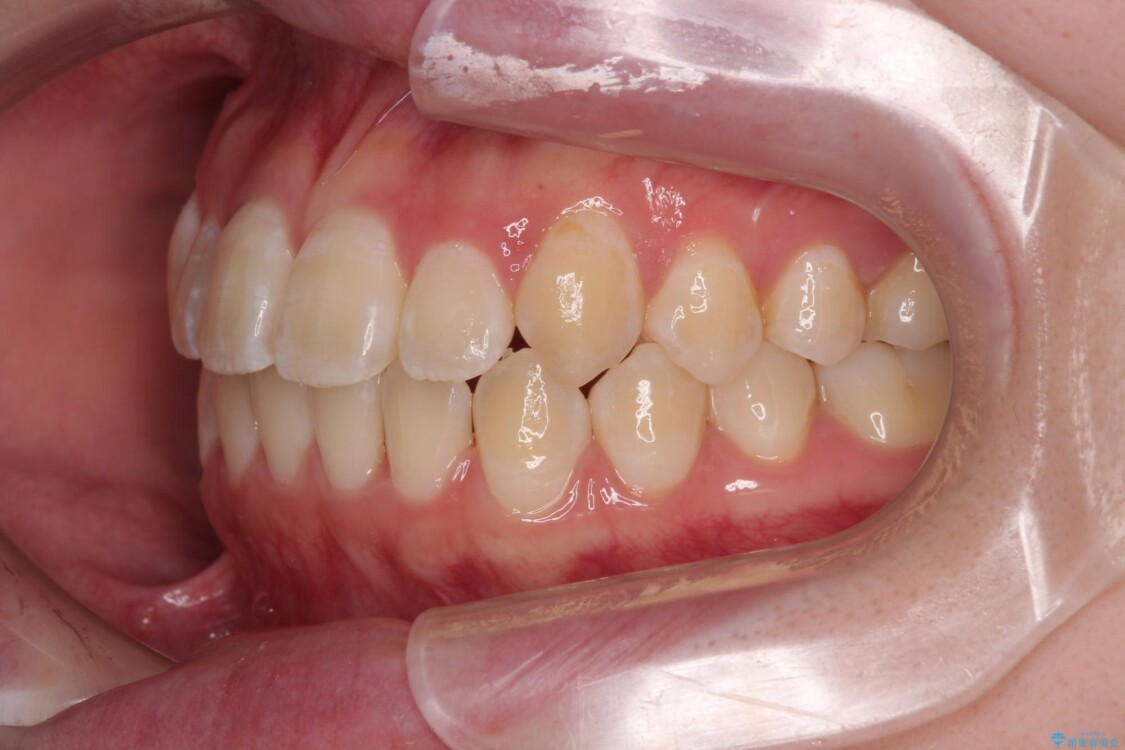
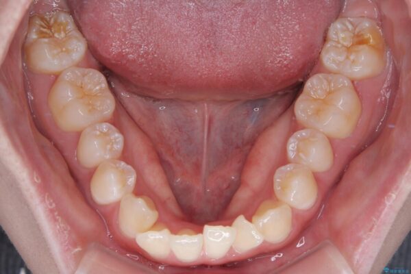
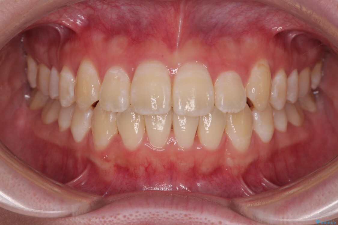
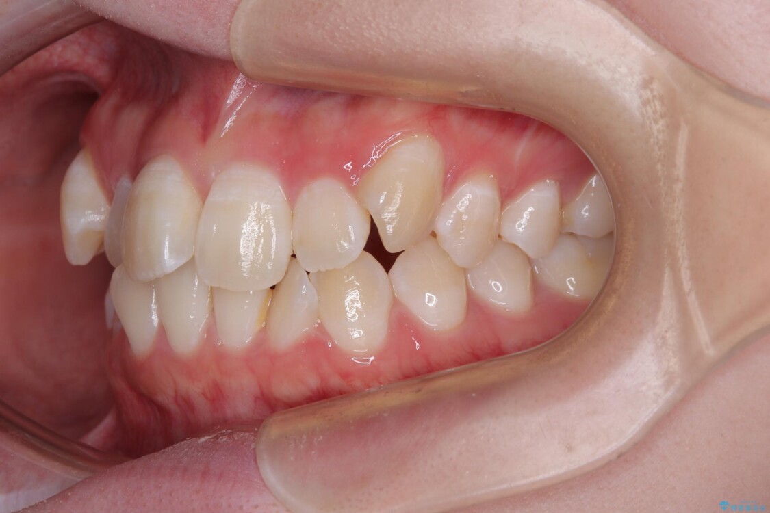
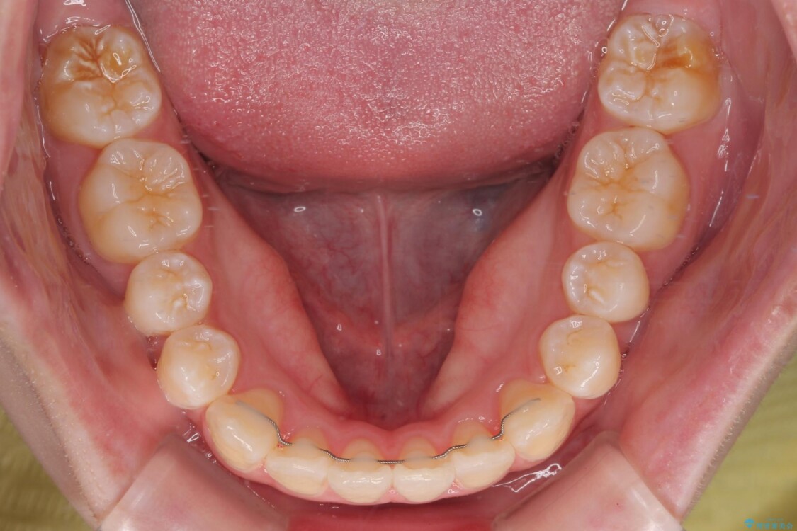
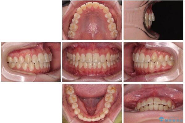
上下の正中(真ん中のライン)もずれることなく、バランスの取れた美しい歯並びに。笑顔に自信を持てる仕上がりとなりました。

治療後について

「もっと時間がかかると思っていましたが、あっという間でした。装置も思ったより気にならず、前歯がきれいに並んでとても満足しています。」とうれしいお言葉をいただきました。
※顔写真掲載にあたり、患者様の了解を得ております。

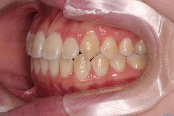
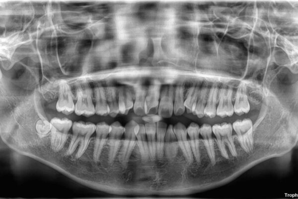
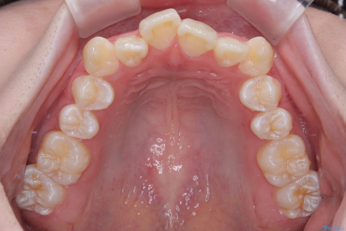
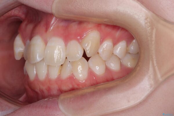
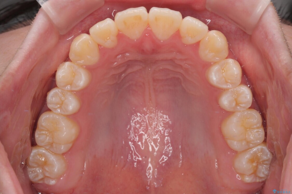
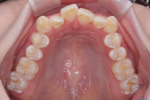
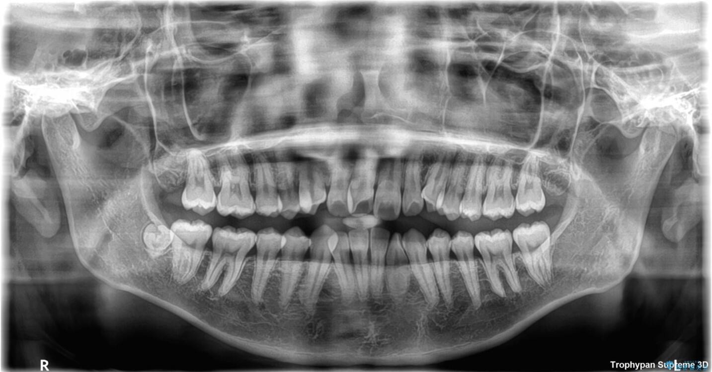
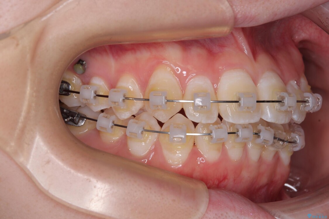
治療前
  • 【モニター】前歯のデコボコをスッキリ解消!目立ちにくいワイヤー矯正でスピーディに治療完了 治療前画像
  • 【モニター】前歯のデコボコをスッキリ解消!目立ちにくいワイヤー矯正でスピーディに治療完了 治療前画像
  • 【モニター】前歯のデコボコをスッキリ解消!目立ちにくいワイヤー矯正でスピーディに治療完了 治療前画像
  • 【モニター】前歯のデコボコをスッキリ解消!目立ちにくいワイヤー矯正でスピーディに治療完了 治療前画像
  • 【モニター】前歯のデコボコをスッキリ解消!目立ちにくいワイヤー矯正でスピーディに治療完了 治療前画像
  • 【モニター】前歯のデコボコをスッキリ解消!目立ちにくいワイヤー矯正でスピーディに治療完了 治療前画像
  • 【モニター】前歯のデコボコをスッキリ解消!目立ちにくいワイヤー矯正でスピーディに治療完了 治療前画像
  • 【モニター】前歯のデコボコをスッキリ解消!目立ちにくいワイヤー矯正でスピーディに治療完了 治療前画像
  • 【モニター】前歯のデコボコをスッキリ解消!目立ちにくいワイヤー矯正でスピーディに治療完了 治療前画像
  • 【モニター】前歯のデコボコをスッキリ解消!目立ちにくいワイヤー矯正でスピーディに治療完了 治療前画像
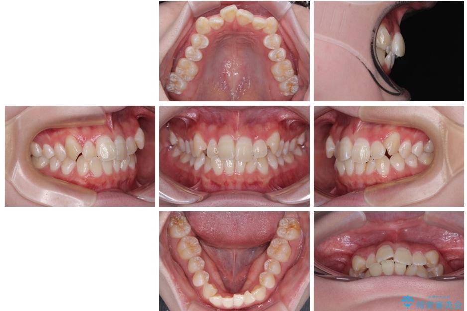
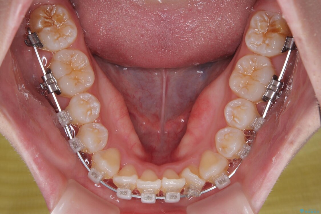
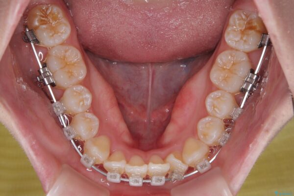
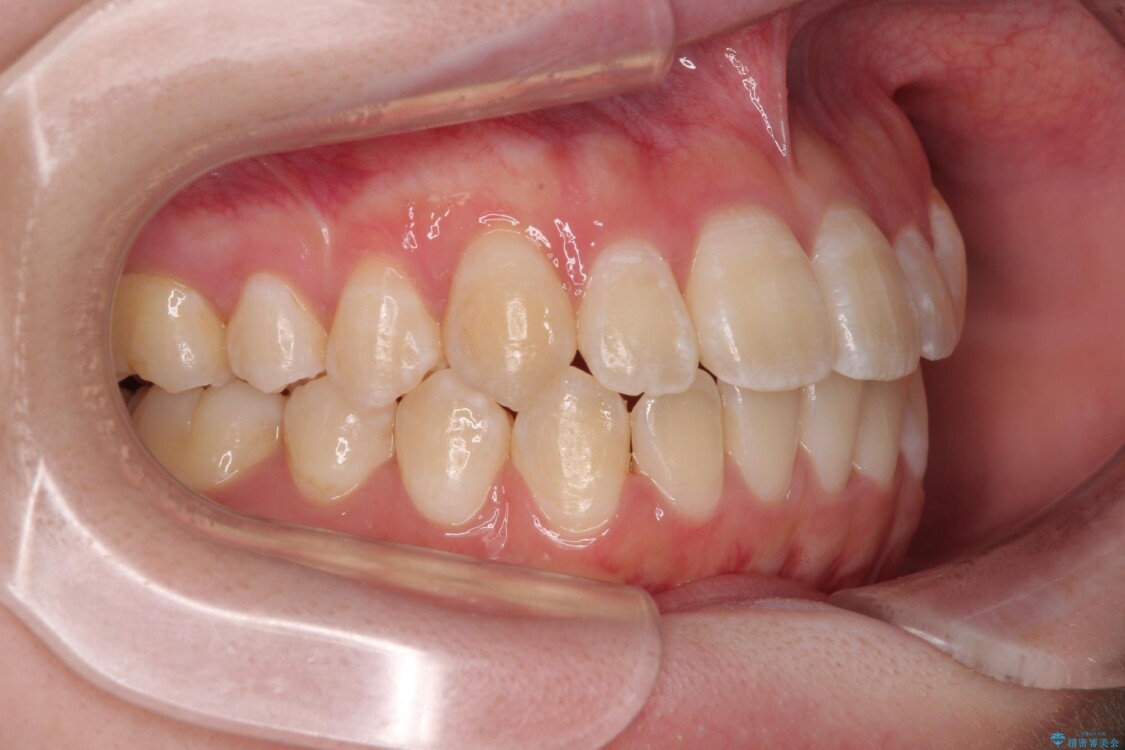
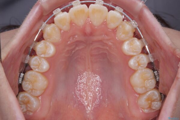
治療途中
  • 【モニター】前歯のデコボコをスッキリ解消!目立ちにくいワイヤー矯正でスピーディに治療完了 治療途中画像
  • 【モニター】前歯のデコボコをスッキリ解消!目立ちにくいワイヤー矯正でスピーディに治療完了 治療途中画像
  • 【モニター】前歯のデコボコをスッキリ解消!目立ちにくいワイヤー矯正でスピーディに治療完了 治療途中画像
  • 【モニター】前歯のデコボコをスッキリ解消!目立ちにくいワイヤー矯正でスピーディに治療完了 治療途中画像
  • 【モニター】前歯のデコボコをスッキリ解消!目立ちにくいワイヤー矯正でスピーディに治療完了 治療途中画像
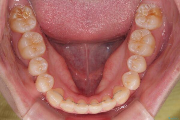
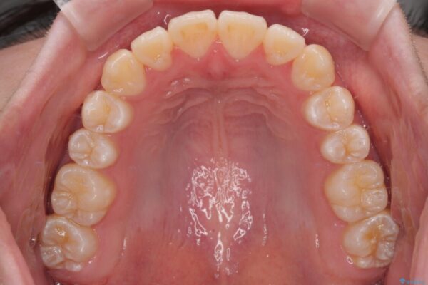
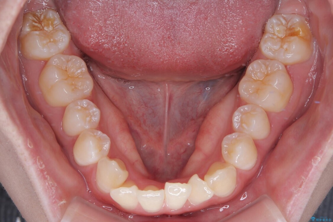
治療後
  • 【モニター】前歯のデコボコをスッキリ解消!目立ちにくいワイヤー矯正でスピーディに治療完了 治療後画像
  • 【モニター】前歯のデコボコをスッキリ解消!目立ちにくいワイヤー矯正でスピーディに治療完了 治療後画像
  • 【モニター】前歯のデコボコをスッキリ解消!目立ちにくいワイヤー矯正でスピーディに治療完了 治療後画像
  • 【モニター】前歯のデコボコをスッキリ解消!目立ちにくいワイヤー矯正でスピーディに治療完了 治療後画像
  • 【モニター】前歯のデコボコをスッキリ解消!目立ちにくいワイヤー矯正でスピーディに治療完了 治療後画像
  • 【モニター】前歯のデコボコをスッキリ解消!目立ちにくいワイヤー矯正でスピーディに治療完了 治療後画像
  • 【モニター】前歯のデコボコをスッキリ解消!目立ちにくいワイヤー矯正でスピーディに治療完了 治療後画像
  • 【モニター】前歯のデコボコをスッキリ解消!目立ちにくいワイヤー矯正でスピーディに治療完了 治療後画像
  • 【モニター】前歯のデコボコをスッキリ解消!目立ちにくいワイヤー矯正でスピーディに治療完了 治療後画像
  • 【モニター】前歯のデコボコをスッキリ解消!目立ちにくいワイヤー矯正でスピーディに治療完了 治療後画像

ワイヤー矯正の注意事項(リスク・副作用など)

・治療中は違和感や痛みが起こることがあります。
・症状により、抜歯が必要な場合があります。
・治療中は歯磨きがしにくくなるため、虫歯や歯周病になりやすくなります。
・矯正治療後の保定が不十分だと後戻り(元の位置に戻ろうとする動き)をします。
・自費診療(保険適用外)となります。

このような方におすすめです

・前歯のガタガタが気になる
・マウスピース矯正の自己管理に不安がある
・見た目に配慮しつつ、しっかり効果を感じたい
・短期間で治療を終えたい

矯正治療にはさまざまな方法がありますが、ライフスタイルやご希望に合わせたご提案を大切にしています。
歯並びが気になる方は、ぜひ一度ご相談ください。

その他の注意事項(リスク・副作用など)

・担当歯科医師、歯科衛生士又は医院スタッフから受けた説明、注意事項をよくご確認ください。
・医療を提供するに当たり、適切な説明を行い、患者様の十分な理解を得るよう努めております。

当サイトの内容、テキスト、画像等の無断転載、複製、複写、盗用を固く禁じます。

24時間受付 Web申し込み


無料カウンセリング予約

無料の個別相談(予約制)を実施しております

医院直通 電話予約
03-3231-0777

平日 11:00~20:00 / 土日 10:00~18:00

※ お電話での治療に関するご相談は、ドクターによる対応ができないためお受けできません