自然な美しさと強度を両立!右上小臼歯の被せもの脱離に対する審美補綴治療

東京駅前しらゆり歯科

電話でのご予約、お問い合わせ
03-3231-0777

平日11:00~20:00 / 土日10:00~18:00

CASES

セラミック治療の症例

自然な美しさと強度を両立!右上小臼歯の被せもの脱離に対する審美補綴治療

治療症例のビフォーアフターと詳細

患者様
50代男性
治療期間
1ヶ月
治療回数
2-5回
概算治療費
14万円(税込)(※費用は治療当時の料金となります)
担当医
齋藤佑磨

治療動機

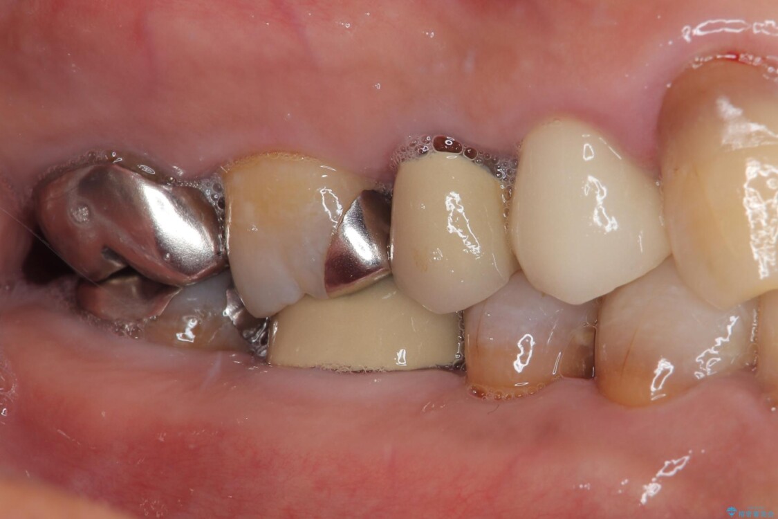
「以前治療した歯の被せものが外れてしまった」とのことで、右上の小臼歯の被せもの脱離を主訴に来院されました。

治療計画

診察の結果、被せもの(クラウン)だけでなく、土台(コア)ごと外れてしまっている状態でした。根管治療済みの歯ではありますが、今回患者様のご希望により、根管治療の再治療は行わず、補綴処置のみを行う方針となりました。

治療の流れ
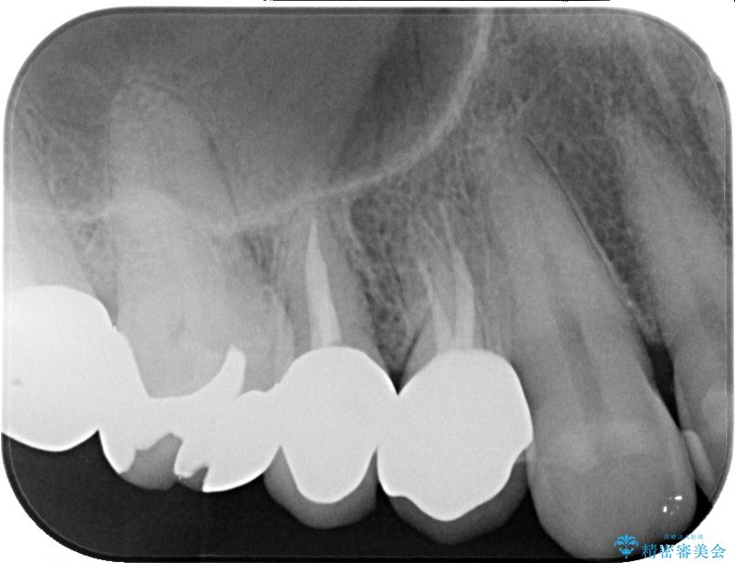
残存歯質の確認と感染リスクのチェック
ファイバーコアを築造・精密な支台歯形成と印象採得
オールセラミッククラウンの装着

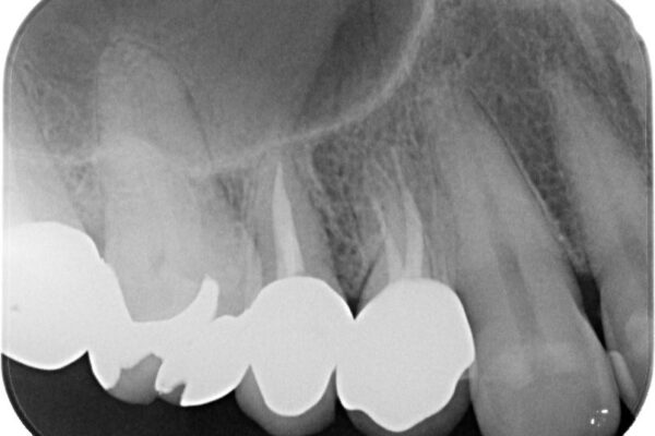
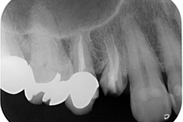
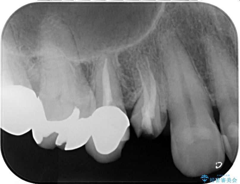
治療前
  • 自然な美しさと強度を両立!右上小臼歯の被せもの脱離に対する審美補綴治療 治療前画像
  • 自然な美しさと強度を両立!右上小臼歯の被せもの脱離に対する審美補綴治療 治療前画像
  • 自然な美しさと強度を両立!右上小臼歯の被せもの脱離に対する審美補綴治療 治療前画像
  • 自然な美しさと強度を両立!右上小臼歯の被せもの脱離に対する審美補綴治療 治療前画像
治療途中
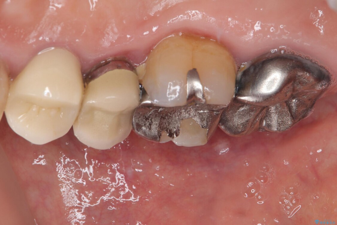
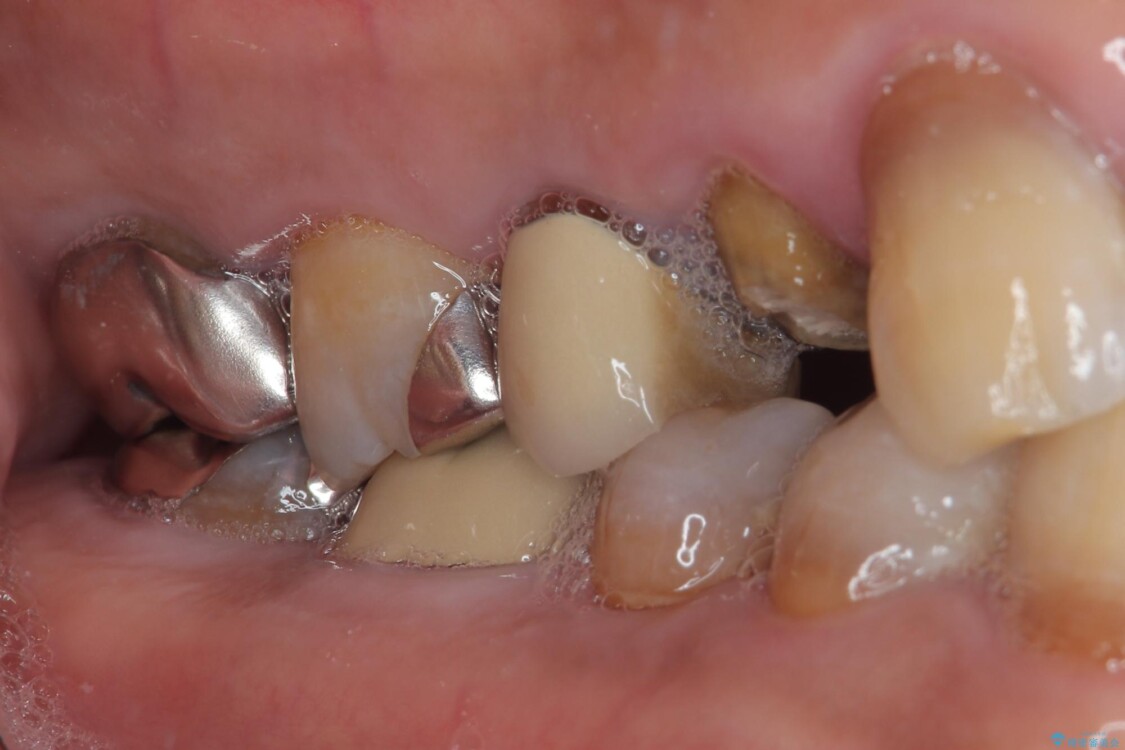
治療後
  • 自然な美しさと強度を両立!右上小臼歯の被せもの脱離に対する審美補綴治療 治療後画像
  • 自然な美しさと強度を両立!右上小臼歯の被せもの脱離に対する審美補綴治療 治療後画像
  • 自然な美しさと強度を両立!右上小臼歯の被せもの脱離に対する審美補綴治療 治療後画像
  • 自然な美しさと強度を両立!右上小臼歯の被せもの脱離に対する審美補綴治療 治療後画像

セラミック治療の注意事項(リスク・副作用など)

・天然歯を削ります。
・硬い素材は天然歯を傷つけてしまう場合があります。
・かみ合わせや歯ぎしりが強すぎる方はセラミックが割れてしまう可能性があります。
・自費診療(保険適用外治療)となります。

その他の注意事項(リスク・副作用など)

・担当歯科医師、歯科衛生士又は医院スタッフから受けた説明、注意事項をよくご確認ください。
・医療を提供するに当たり、適切な説明を行い、患者様の十分な理解を得るよう努めております。

当サイトの内容、テキスト、画像等の無断転載、複製、複写、盗用を固く禁じます。

24時間受付 Web申し込み


無料カウンセリング予約

無料の個別相談(予約制)を実施しております

医院直通 電話予約
03-3231-0777

平日 11:00~20:00 / 土日 10:00~18:00

※ お電話での治療に関するご相談は、ドクターによる対応ができないためお受けできません