挺出歯を圧下してスペースを確保!目立たない部分矯正で下顎大臼歯にインプラント治療を実現

東京駅前しらゆり歯科

電話でのご予約、お問い合わせ
03-3231-0777

平日11:00~20:00 / 土日10:00~18:00

CASES

総合歯科治療の症例

挺出歯を圧下してスペースを確保!目立たない部分矯正で下顎大臼歯にインプラント治療を実現

治療症例のビフォーアフターと詳細

患者様
20代女性
治療期間
11ヶ月
治療回数
10-30回
矯正装置
クリアブラケット
概算治療費
112万円(税込)(※費用は治療当時の料金となります)
担当医
齋藤佑磨

治療動機

「1年前に抜歯した右下の奥歯にインプラントを入れたい」とのことで来院されました。

治療計画

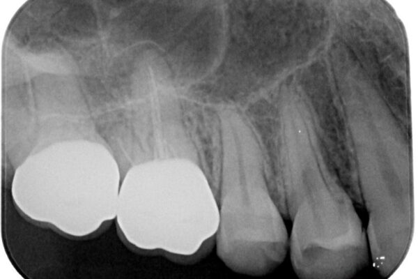
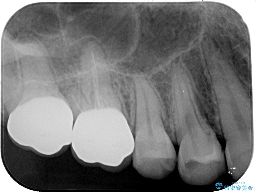
インプラント希望部位は右下第一大臼歯と第二大臼歯です。
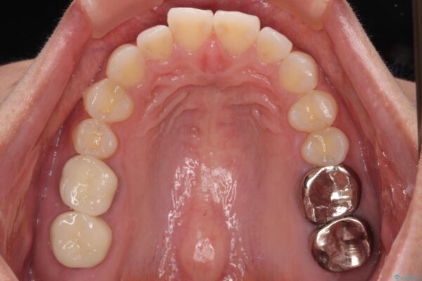
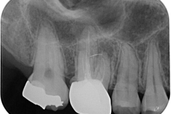
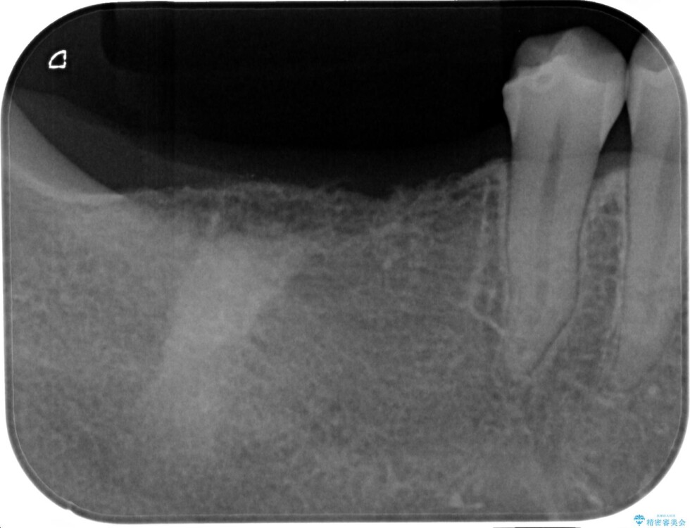
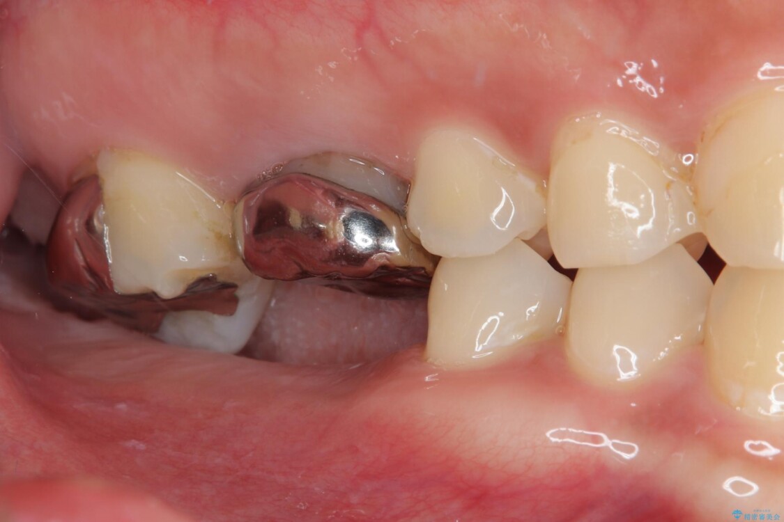
しかし、噛み合わせの相手である右上の第二大臼歯が、長期間噛み合う歯がなかった影響で**挺出(歯が下に伸びてくる状態)してしまっており、このままではインプラントを埋入して被せもの(上部構造)を入れるためのスペースが不足している状態でした。

治療内容
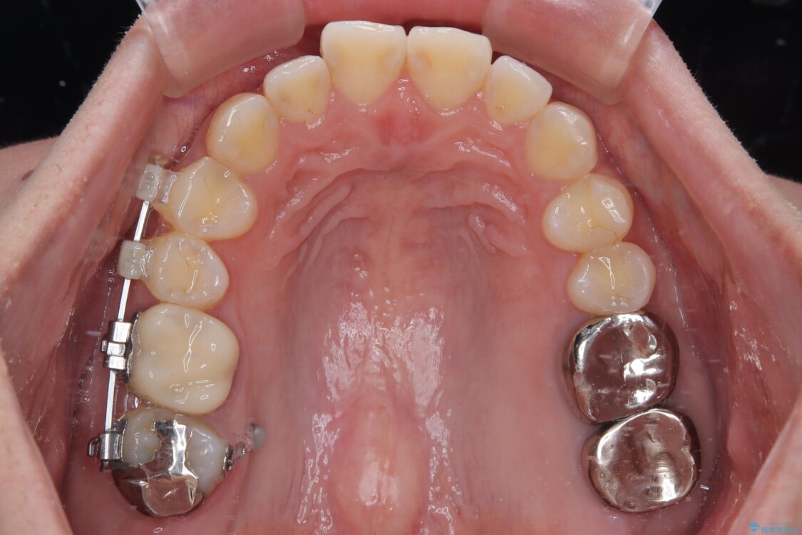
そこで、右上の奥歯に部分的なワイヤーを装着し、さらに矯正用アンカースクリュー(TADs)を併用することで、挺出した歯を圧下(歯を元の高さに戻す動き)させ、下顎にインプラントを埋入するための十分な垂直的スペースを確保しました。

→ この装置は部分的な矯正で、前歯など見える位置にワイヤーがかかることはなく、見た目を気にすることなく、普段通りの生活を送りながら治療を進めることができました。

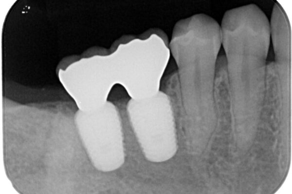
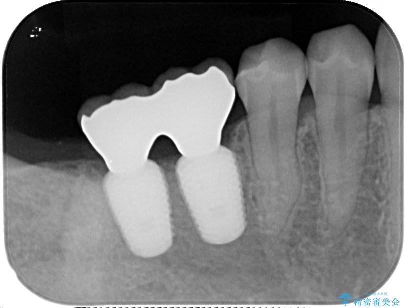
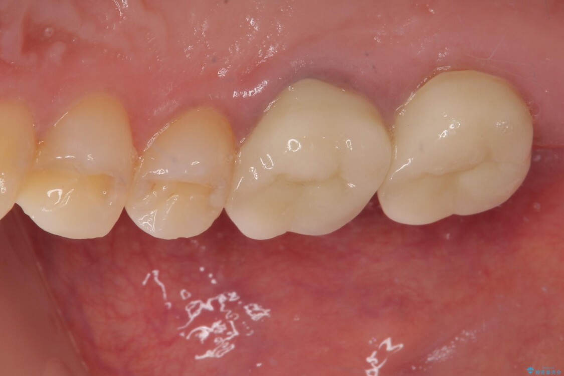
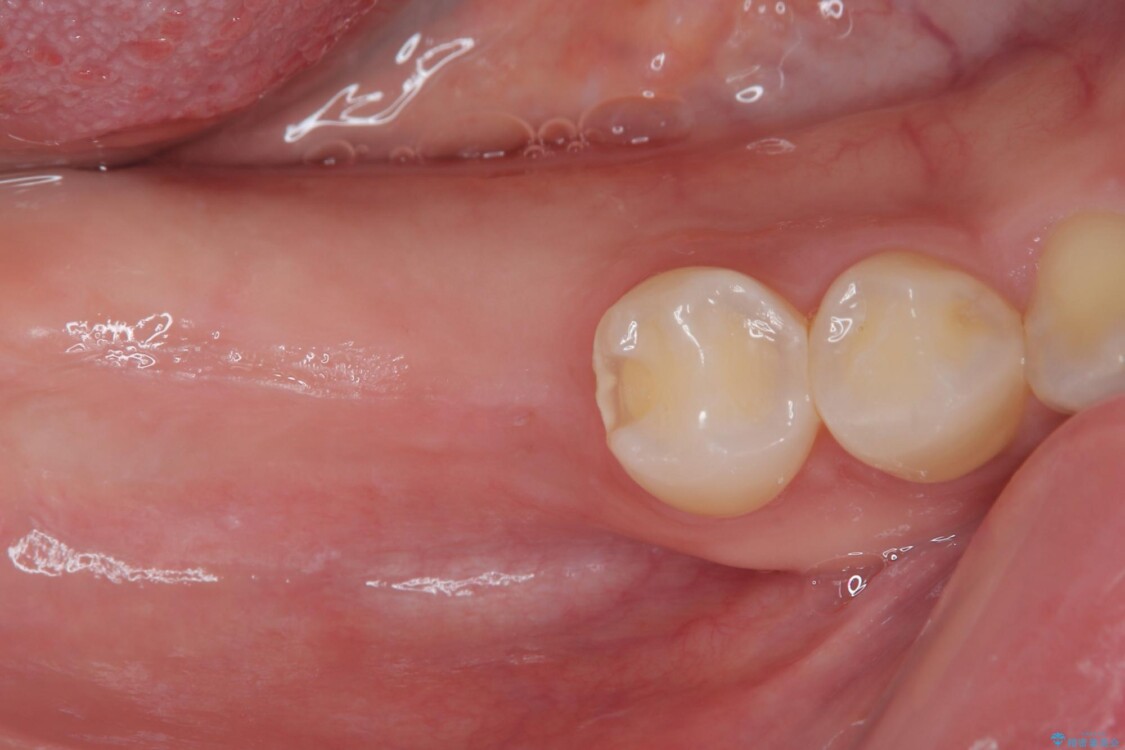
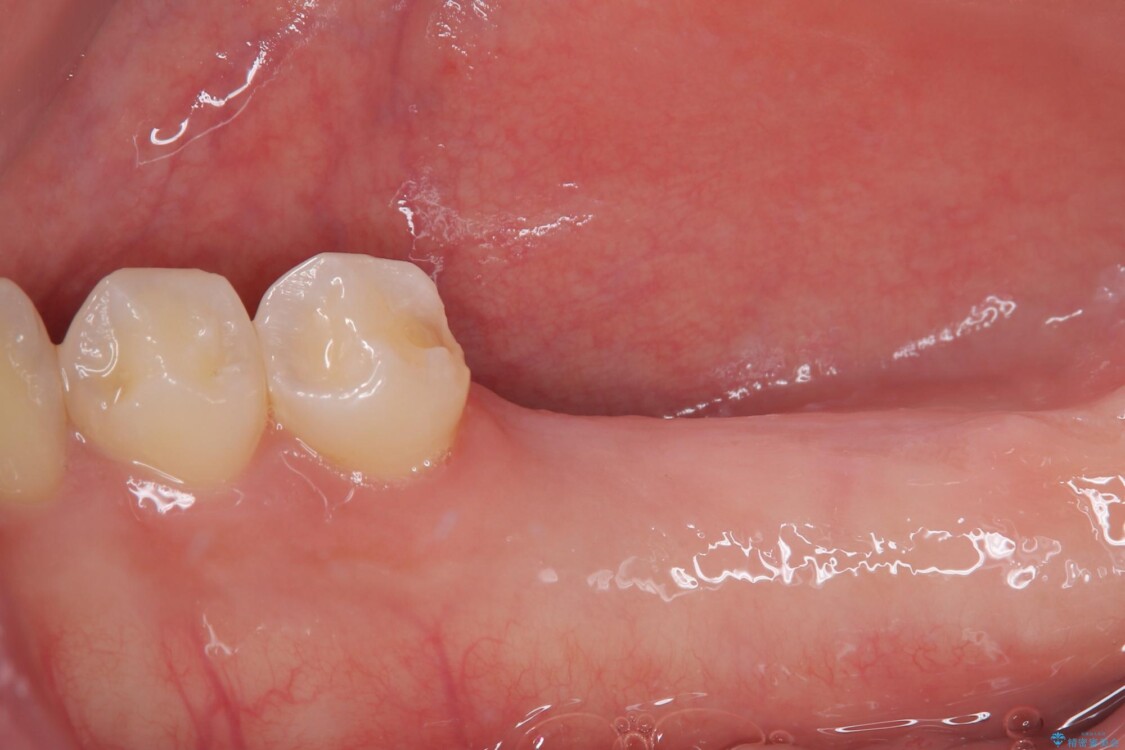
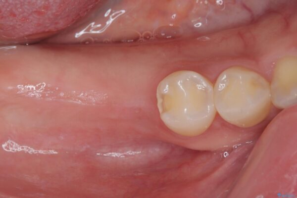
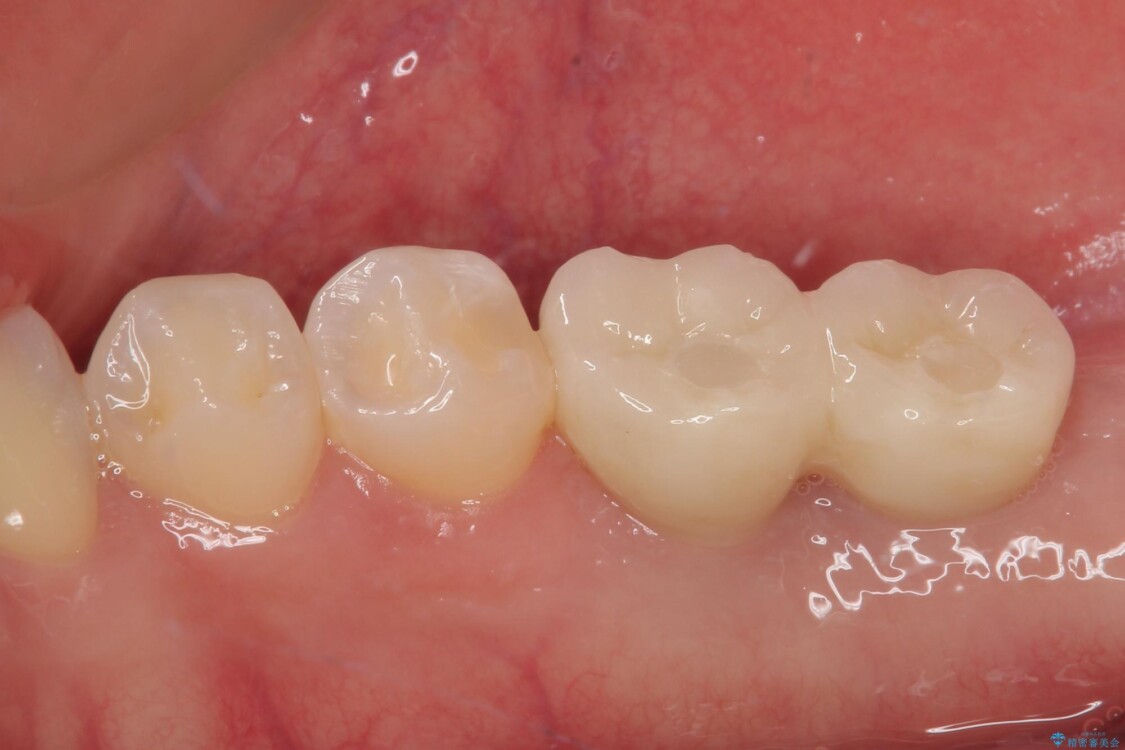
スペースが整った段階で、右下の第一大臼歯と第二大臼歯にインプラントを埋入。
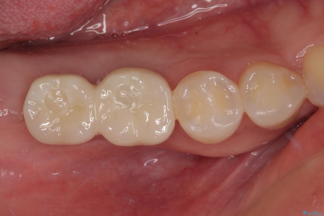
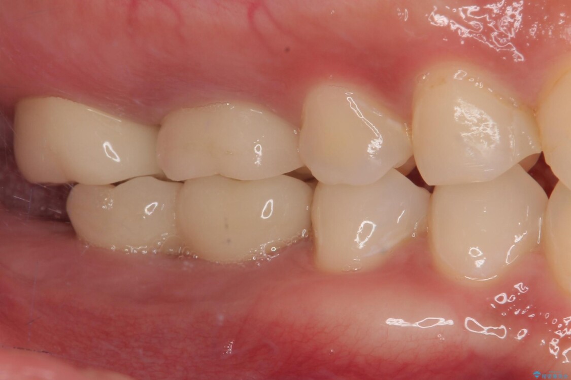
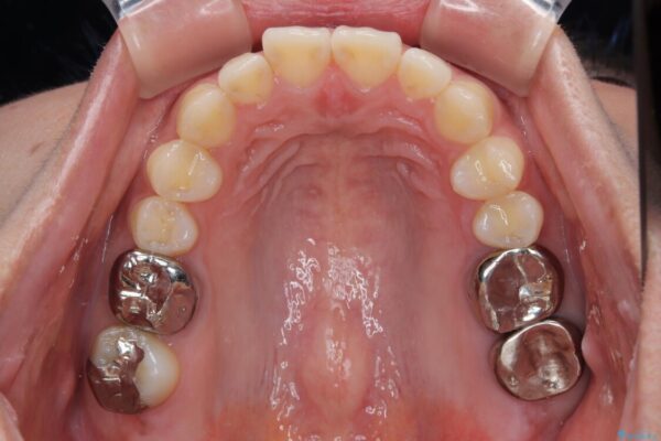
その後、挺出していた右上第一大臼歯と第二大臼歯に装着されていた銀歯についても、審美性と適合性の向上を目的に、オールセラミッククラウンにやり替えました。
これにより、より自然で美しい見た目と、高い精度の咬合が得られています。

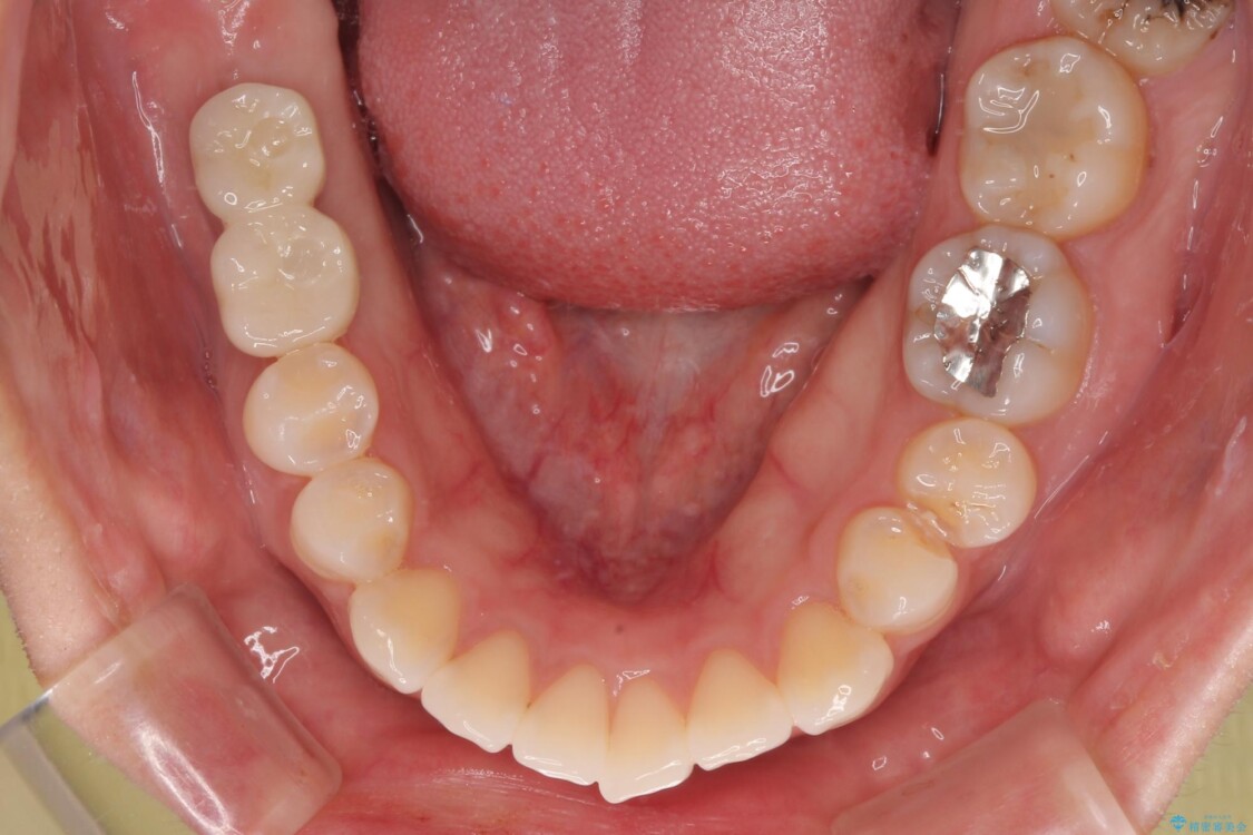
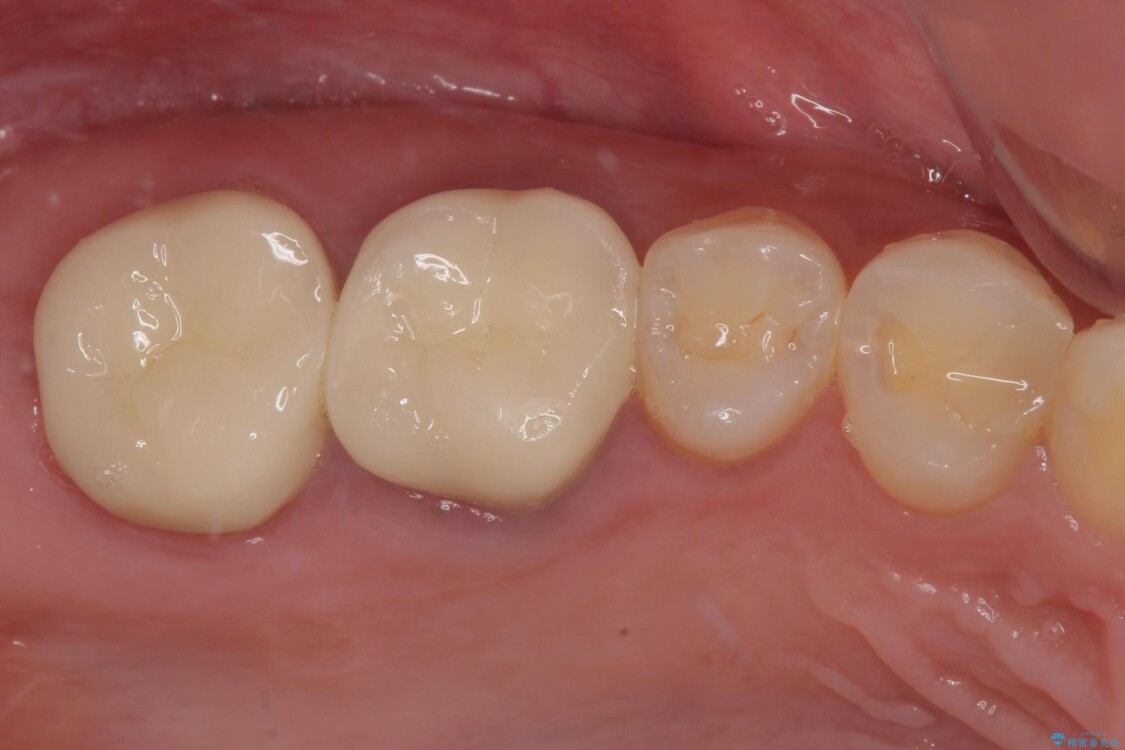
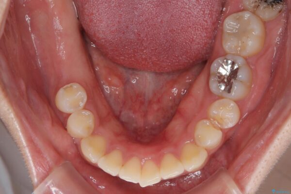
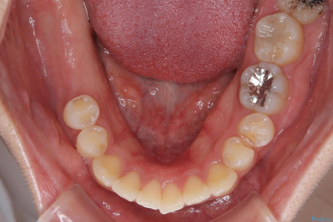
治療前
  • 挺出歯を圧下してスペースを確保!目立たない部分矯正で下顎大臼歯にインプラント治療を実現 治療前画像
  • 挺出歯を圧下してスペースを確保!目立たない部分矯正で下顎大臼歯にインプラント治療を実現 治療前画像
  • 挺出歯を圧下してスペースを確保!目立たない部分矯正で下顎大臼歯にインプラント治療を実現 治療前画像
  • 挺出歯を圧下してスペースを確保!目立たない部分矯正で下顎大臼歯にインプラント治療を実現 治療前画像
  • 挺出歯を圧下してスペースを確保!目立たない部分矯正で下顎大臼歯にインプラント治療を実現 治療前画像
  • 挺出歯を圧下してスペースを確保!目立たない部分矯正で下顎大臼歯にインプラント治療を実現 治療前画像
  • 挺出歯を圧下してスペースを確保!目立たない部分矯正で下顎大臼歯にインプラント治療を実現 治療前画像
  • 挺出歯を圧下してスペースを確保!目立たない部分矯正で下顎大臼歯にインプラント治療を実現 治療前画像
  • 挺出歯を圧下してスペースを確保!目立たない部分矯正で下顎大臼歯にインプラント治療を実現 治療前画像
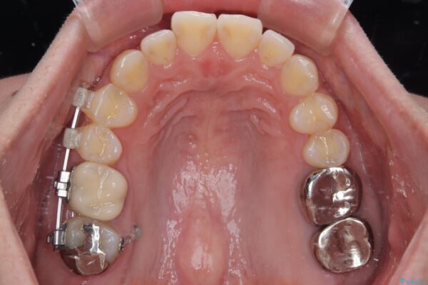
治療途中
  • 挺出歯を圧下してスペースを確保!目立たない部分矯正で下顎大臼歯にインプラント治療を実現 治療途中画像
  • 挺出歯を圧下してスペースを確保!目立たない部分矯正で下顎大臼歯にインプラント治療を実現 治療途中画像
  • 挺出歯を圧下してスペースを確保!目立たない部分矯正で下顎大臼歯にインプラント治療を実現 治療途中画像
  • 挺出歯を圧下してスペースを確保!目立たない部分矯正で下顎大臼歯にインプラント治療を実現 治療途中画像
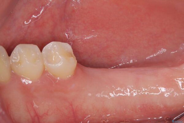
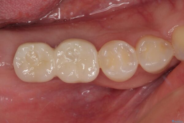
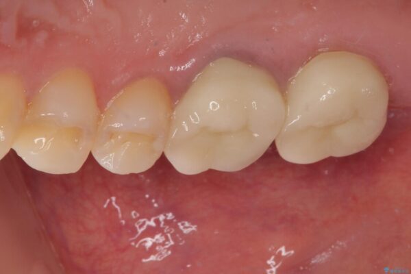
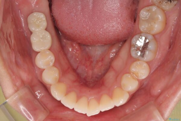
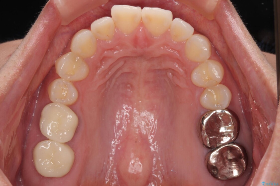
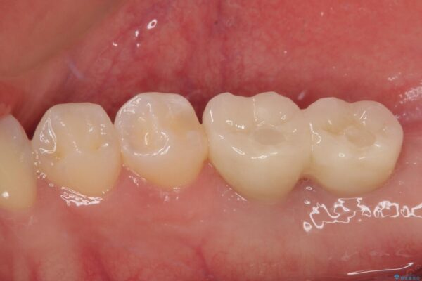
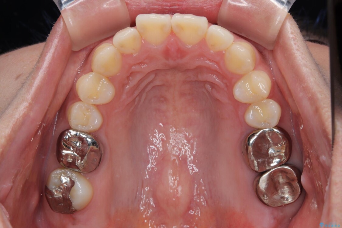
治療後
  • 挺出歯を圧下してスペースを確保!目立たない部分矯正で下顎大臼歯にインプラント治療を実現 治療後画像
  • 挺出歯を圧下してスペースを確保!目立たない部分矯正で下顎大臼歯にインプラント治療を実現 治療後画像
  • 挺出歯を圧下してスペースを確保!目立たない部分矯正で下顎大臼歯にインプラント治療を実現 治療後画像
  • 挺出歯を圧下してスペースを確保!目立たない部分矯正で下顎大臼歯にインプラント治療を実現 治療後画像
  • 挺出歯を圧下してスペースを確保!目立たない部分矯正で下顎大臼歯にインプラント治療を実現 治療後画像
  • 挺出歯を圧下してスペースを確保!目立たない部分矯正で下顎大臼歯にインプラント治療を実現 治療後画像
  • 挺出歯を圧下してスペースを確保!目立たない部分矯正で下顎大臼歯にインプラント治療を実現 治療後画像
  • 挺出歯を圧下してスペースを確保!目立たない部分矯正で下顎大臼歯にインプラント治療を実現 治療後画像
  • 挺出歯を圧下してスペースを確保!目立たない部分矯正で下顎大臼歯にインプラント治療を実現 治療後画像

このような方におすすめです

・抜歯してから時間が経ち、インプラントが難しいと言われた方
・目立たない矯正で機能を回復したい方
・噛み合わせや歯並びを含めたトータルな治療を希望される方

セラミック治療の注意事項(リスク・副作用など)

・天然歯を削ります。
・硬い素材は天然歯を傷つけてしまう場合があります。
・かみ合わせや歯ぎしりが強すぎる方はセラミックが割れてしまう可能性があります。
・自費診療(保険適用外治療)となります。

ワイヤー矯正の注意事項(リスク・副作用など)

・治療中は違和感や痛みが起こることがあります。
・症状により、抜歯が必要な場合があります。
・治療中は歯磨きがしにくくなるため、虫歯や歯周病になりやすくなります。
・矯正治療後の保定が不十分だと後戻り(元の位置に戻ろうとする動き)をします。
・自費診療(保険適用外)となります。

インプラント治療の注意事項(リスク・副作用など)

・外科手術のため、術後に痛みや腫れ、違和感を伴います。
・メンテナンスを怠ったり喫煙をしたりすることにより、お口の中に大きな悪影響を及ぼすインプラント周囲炎等にかかる可能性があります。
・糖尿病、肝硬変、心臓病等の場合、インプラント治療ができない可能性があります。
・高血圧、貧血・不整脈等の場合、インプラント治療後に治癒不全を招く可能性があります。
・自費診療(保険適用外治療)となります。

その他の注意事項(リスク・副作用など)

・担当歯科医師、歯科衛生士又は医院スタッフから受けた説明、注意事項をよくご確認ください。
・医療を提供するに当たり、適切な説明を行い、患者様の十分な理解を得るよう努めております。

当サイトの内容、テキスト、画像等の無断転載、複製、複写、盗用を固く禁じます。

24時間受付 Web申し込み


無料カウンセリング予約

無料の個別相談(予約制)を実施しております

医院直通 電話予約
03-3231-0777

平日 11:00~20:00 / 土日 10:00~18:00

※ お電話での治療に関するご相談は、ドクターによる対応ができないためお受けできません