「抜歯してブリッジ」と言われた20代女性が選んだ治療とは|たった4か月で自然な笑顔に抜歯即時インプラント+審美補綴の症例

東京駅前しらゆり歯科

電話でのご予約、お問い合わせ
03-3231-0777

平日11:00~20:00 / 土日10:00~18:00

CASES

総合歯科治療の症例

「抜歯してブリッジ」と言われた20代女性が選んだ治療とは|たった4か月で自然な笑顔に抜歯即時インプラント+審美補綴の症例

治療症例のビフォーアフターと詳細

患者様
20代女性
治療期間
4ヶ月
治療回数
5-10回
概算治療費
82万円(税込)(※費用は治療当時の料金となります)
担当医
齋藤佑磨

治療動機

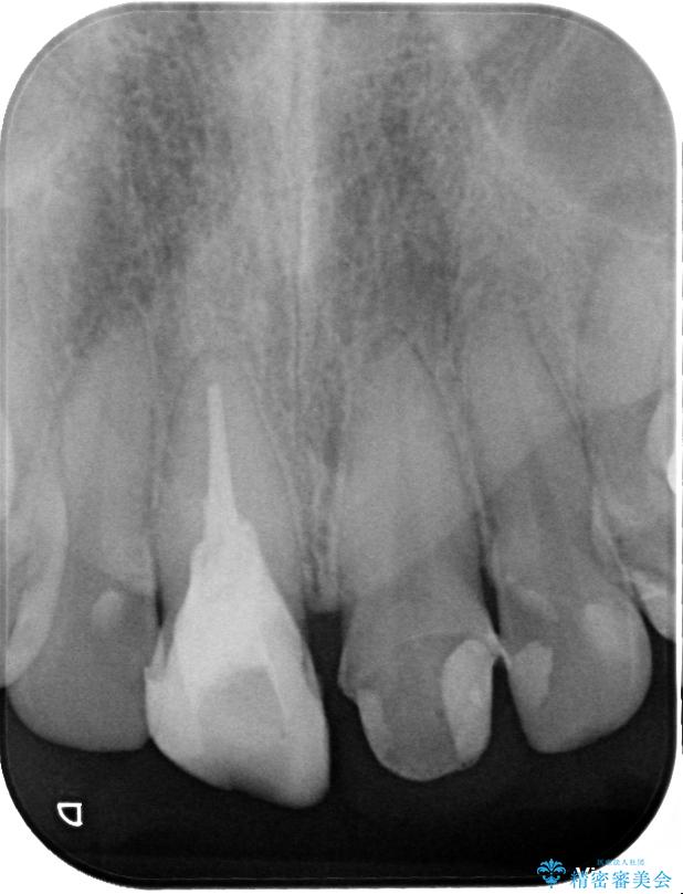
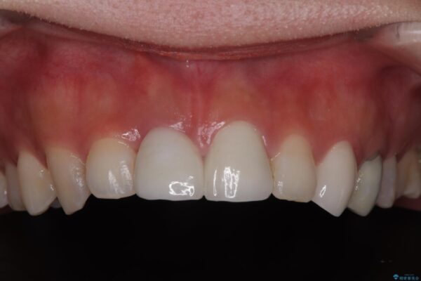
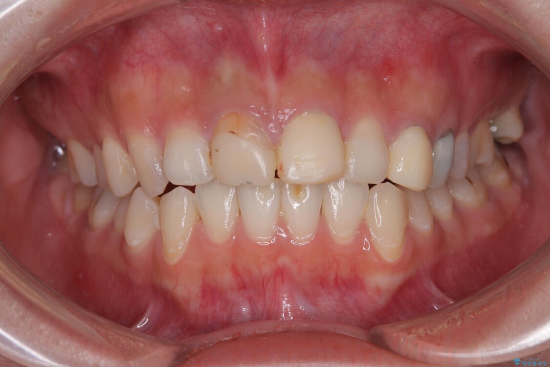
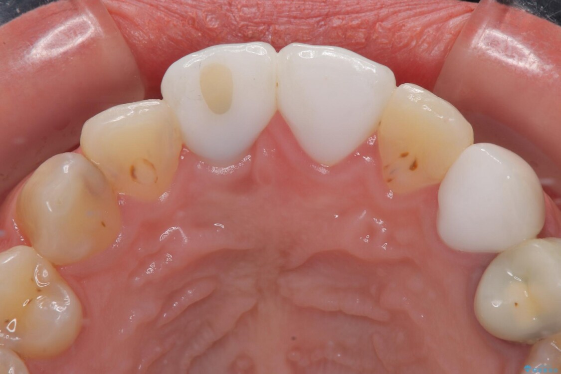
20代女性の患者様。 他院にて「上の前歯(右上中切歯)は抜歯してインプラントかブリッジにする必要がある」と診断され、大変ショックを受けられていました。 すでに根管治療を受けた歯でしたが、急に担当医が変わり、「抜歯が必要」とだけ説明されたことに不安感を抱き、当院を受診されました。 左上中切歯と犬歯も仮歯のままで、将来への不安が大きかったご様子です。

治療計画

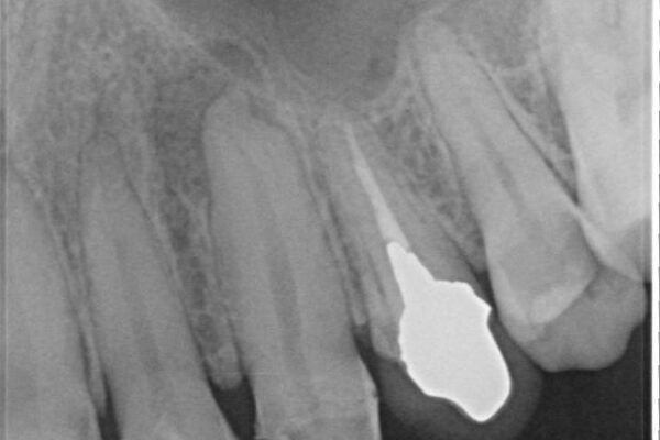
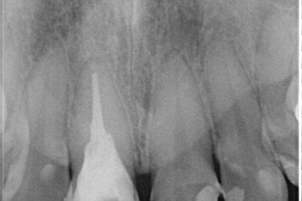
精密検査の結果、右上中切歯には**フェルール(歯の周囲の健全な歯質)**がほぼ存在せず、このままの状態での保存は困難と判断しました。

■保存治療の選択肢として**挺出(エクストリュージョン)**により歯を引っ張り出し、フェルールを確保する方法も検討可能でしたが、患者様のご希望により、より短期間で審美性を回復できる治療法を選択。

▶右上中切歯
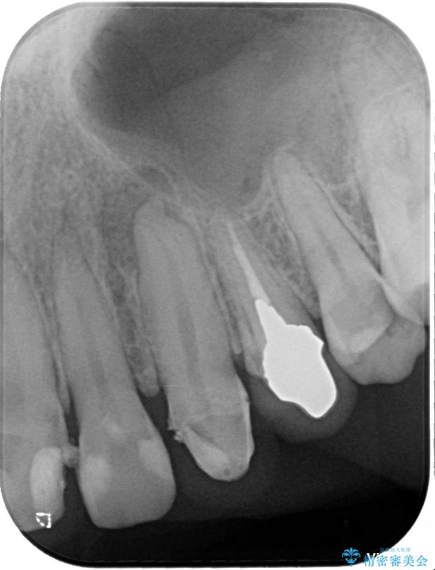
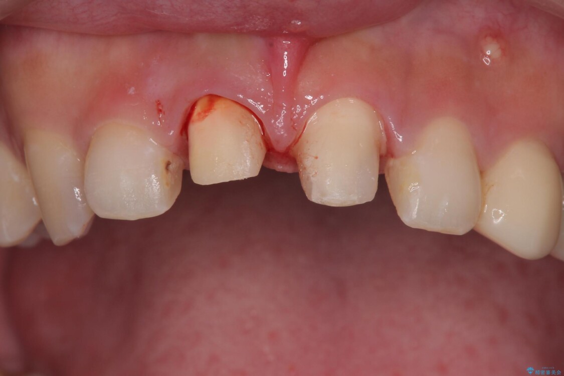
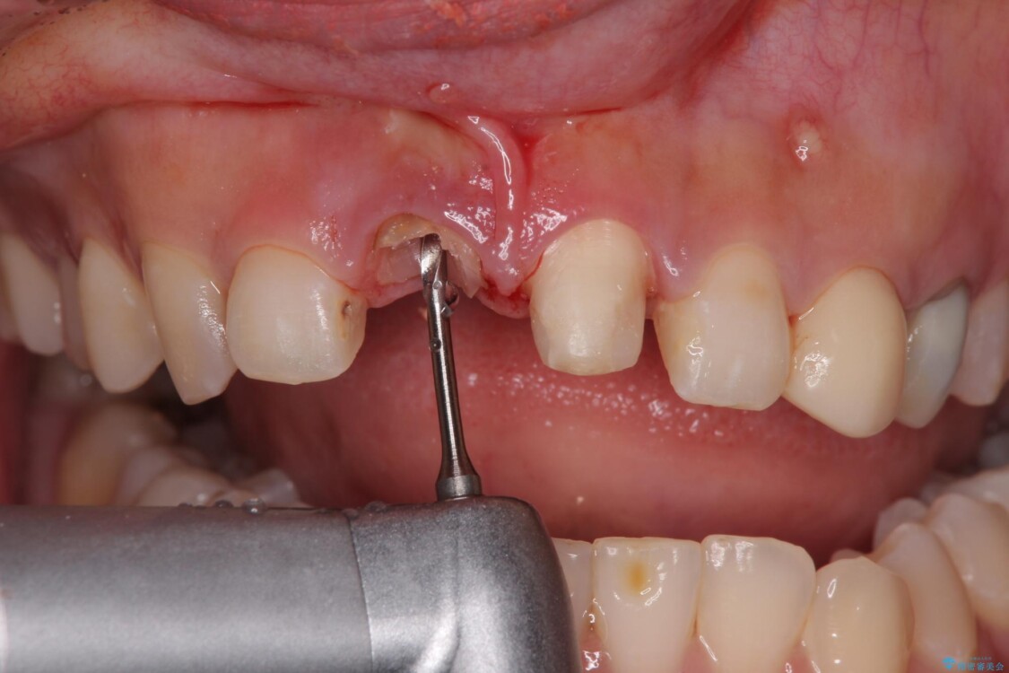
抜歯後、即時インプラント埋入
審美性を考慮し、仮歯を即日装着
治療期間を最小限に抑えつつ、自然な前歯のラインと歯ぐきの形を維持

▶左上中切歯
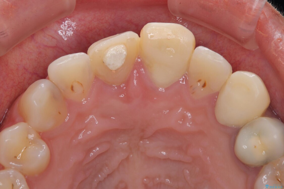
土台を再度丁寧に整え、オールセラミッククラウンにて補綴

▶左上犬歯
根管治療行い感染除去した後、最終補綴はオールセラミッククラウンにて審美的に

治療後について

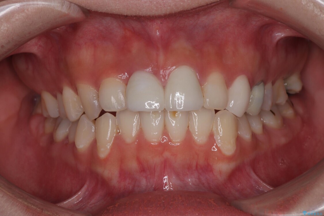
抜歯を避けられない場合でも、「即日でインプラント治療+仮歯装着」により見た目を損なわないで治療を終えることができました。
抜歯をしてインプラントを埋入してから、4か月で最終補綴物(オールセラミッククラウン)の装着まで終えることができ非常に満足いただきました。

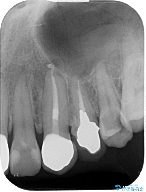
治療前
  • 「抜歯してブリッジ」と言われた20代女性が選んだ治療とは|たった4か月で自然な笑顔に抜歯即時インプラント+審美補綴の症例 治療前画像
  • 「抜歯してブリッジ」と言われた20代女性が選んだ治療とは|たった4か月で自然な笑顔に抜歯即時インプラント+審美補綴の症例 治療前画像
  • 「抜歯してブリッジ」と言われた20代女性が選んだ治療とは|たった4か月で自然な笑顔に抜歯即時インプラント+審美補綴の症例 治療前画像
  • 「抜歯してブリッジ」と言われた20代女性が選んだ治療とは|たった4か月で自然な笑顔に抜歯即時インプラント+審美補綴の症例 治療前画像
  • 「抜歯してブリッジ」と言われた20代女性が選んだ治療とは|たった4か月で自然な笑顔に抜歯即時インプラント+審美補綴の症例 治療前画像
  • 「抜歯してブリッジ」と言われた20代女性が選んだ治療とは|たった4か月で自然な笑顔に抜歯即時インプラント+審美補綴の症例 治療前画像
  • 「抜歯してブリッジ」と言われた20代女性が選んだ治療とは|たった4か月で自然な笑顔に抜歯即時インプラント+審美補綴の症例 治療前画像
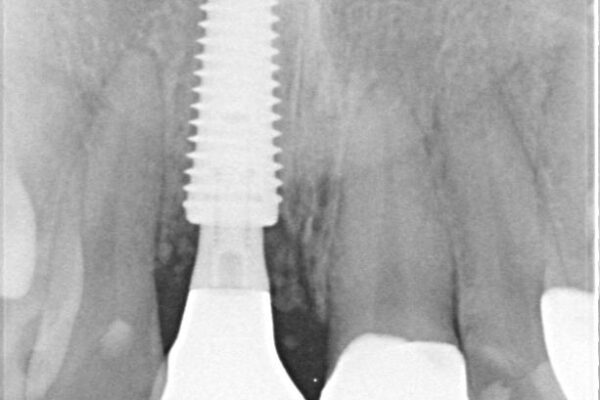
治療途中
  • 「抜歯してブリッジ」と言われた20代女性が選んだ治療とは|たった4か月で自然な笑顔に抜歯即時インプラント+審美補綴の症例 治療途中画像
  • 「抜歯してブリッジ」と言われた20代女性が選んだ治療とは|たった4か月で自然な笑顔に抜歯即時インプラント+審美補綴の症例 治療途中画像
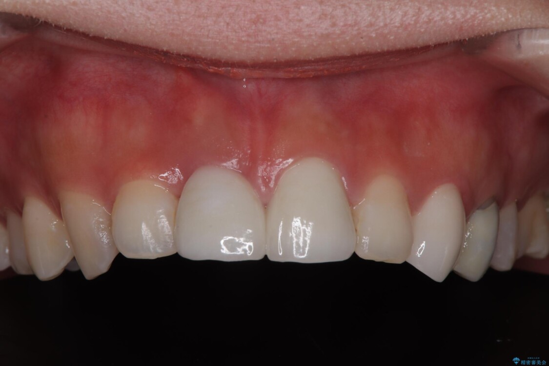
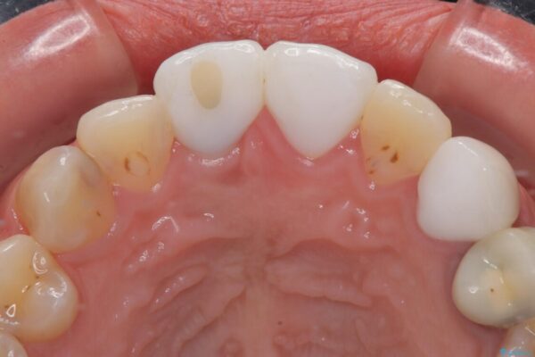
治療後
  • 「抜歯してブリッジ」と言われた20代女性が選んだ治療とは|たった4か月で自然な笑顔に抜歯即時インプラント+審美補綴の症例 治療後画像
  • 「抜歯してブリッジ」と言われた20代女性が選んだ治療とは|たった4か月で自然な笑顔に抜歯即時インプラント+審美補綴の症例 治療後画像
  • 「抜歯してブリッジ」と言われた20代女性が選んだ治療とは|たった4か月で自然な笑顔に抜歯即時インプラント+審美補綴の症例 治療後画像
  • 「抜歯してブリッジ」と言われた20代女性が選んだ治療とは|たった4か月で自然な笑顔に抜歯即時インプラント+審美補綴の症例 治療後画像
  • 「抜歯してブリッジ」と言われた20代女性が選んだ治療とは|たった4か月で自然な笑顔に抜歯即時インプラント+審美補綴の症例 治療後画像
  • 「抜歯してブリッジ」と言われた20代女性が選んだ治療とは|たった4か月で自然な笑顔に抜歯即時インプラント+審美補綴の症例 治療後画像
  • 「抜歯してブリッジ」と言われた20代女性が選んだ治療とは|たった4か月で自然な笑顔に抜歯即時インプラント+審美補綴の症例 治療後画像

セラミック治療の注意事項(リスク・副作用など)

・天然歯を削ります。
・硬い素材は天然歯を傷つけてしまう場合があります。
・かみ合わせや歯ぎしりが強すぎる方はセラミックが割れてしまう可能性があります。
・自費診療(保険適用外治療)となります。

インプラント治療の注意事項(リスク・副作用など)

・根管治療は非常に成功率の高い治療ですが、治療の成否を決める多くの要素があるため、根管治療がなされた後も再治療、外科処置、抜歯などの処置をしなくてはならなくなることもあります。
・根管治療中には、器具の破折、穿孔、修復物の損傷、歯の破折、術中・術後の不快症状、術後の痛みや腫脹などの事象が稀ではありますが起こりうることがあります。
・自費診療(保険適用外治療)となります。

根管治療の注意事項(リスク・副作用など)

・根管治療は非常に成功率の高い治療ですが、治療の成否を決める多くの要素があるため、根管治療がなされた後も再治療、外科処置、抜歯などの処置をしなくてはならなくなることもあります。
・根管治療中には、器具の破折、穿孔、修復物の損傷、歯の破折、術中・術後の不快症状、術後の痛みや腫脹などの事象が稀ではありますが起こりうることがあります。
・自費診療(保険適用外治療)となります。

その他の注意事項(リスク・副作用など)

・担当歯科医師、歯科衛生士又は医院スタッフから受けた説明、注意事項をよくご確認ください。
・医療を提供するに当たり、適切な説明を行い、患者様の十分な理解を得るよう努めております。

当サイトの内容、テキスト、画像等の無断転載、複製、複写、盗用を固く禁じます。

24時間受付 Web申し込み


無料カウンセリング予約

無料の個別相談(予約制)を実施しております

医院直通 電話予約
03-3231-0777

平日 11:00~20:00 / 土日 10:00~18:00

※ お電話での治療に関するご相談は、ドクターによる対応ができないためお受けできません