ラバーダム使用で再感染リスクを抑えた再根管治療+精密な補綴による長期安定を実現

東京駅前しらゆり歯科

電話でのご予約、お問い合わせ
03-3231-0777

平日11:00~20:00 / 土日10:00~18:00

CASES

セラミック治療の症例

ラバーダム使用で再感染リスクを抑えた再根管治療+精密な補綴による長期安定を実現

治療症例のビフォーアフターと詳細

患者様
20代女性
治療期間
2ヶ月
治療回数
2-5回
概算治療費
30万円(税込)(※費用は治療当時の料金となります)
担当医
齋藤佑磨

治療動機

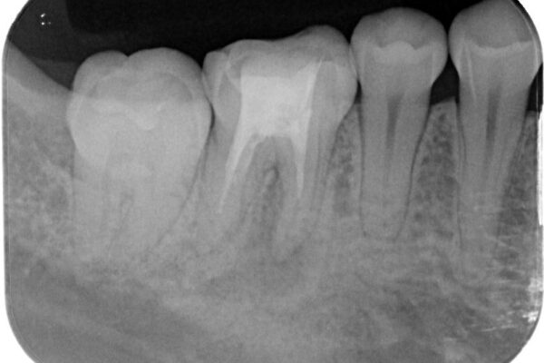
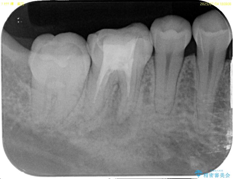
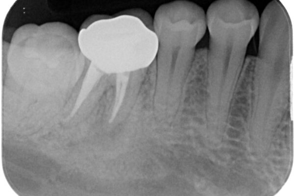
「以前に根管治療をした歯が、噛むと違和感がある」とのことでご来院された患者様の症例です。 患者様は、数年前に他院で根管治療を受けたとのことでしたが、被せもの(クラウン)は装着されていない状態でした。 噛んだときの違和感が慢性的にあり、食事中も気になるとのことで当院にご相談いただきました。 レントゲン検査では、根の先端に透過像(根尖病変の可能性)が見られ、過去の治療ではラバーダム防湿が使用されていなかったそうです。

治療計画

当院ではラバーダム防湿をし、根管内の感染源をしっかりと除去するために再根管治療を行いました。
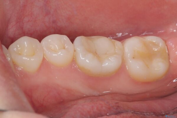
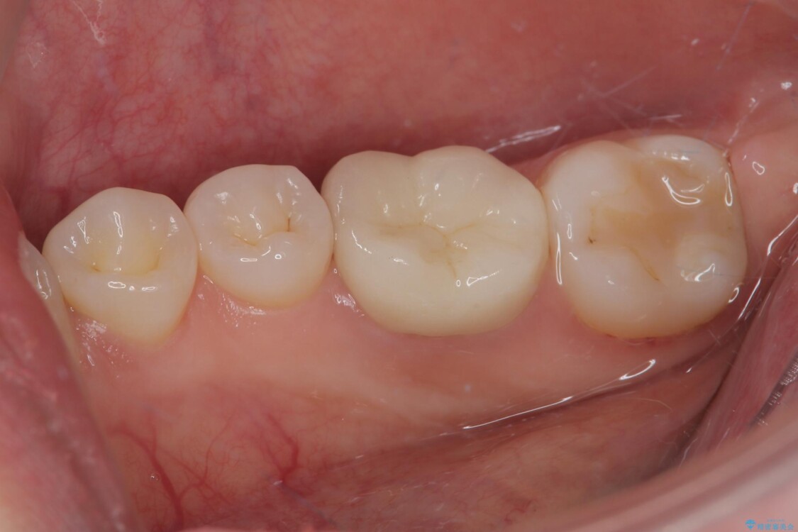
その後、ファイバーコア(グラスファイバー製の支台)を築造し、最終的には精密な適合性と審美性に優れたオールセラミッククラウンによる補綴をしました。
このセラミッククラウンは、歯科技工士と連携し、1本1本の形・色・噛み合わせまで細部にこだわって製作しており、見た目の自然さだけでなく、長期的に安心して噛める機能性も重視しています。

治療後について

根管治療後の歯は、再感染を防ぐために精密なクラウンで補綴することが非常に重要です。
過去に治療を受けた歯に違和感がある方、クラウンを入れずにそのままにしている方は、ぜひ一度ご相談ください。

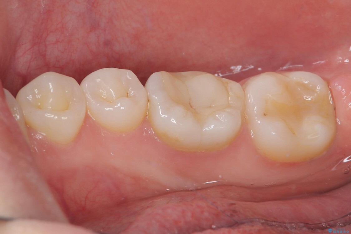
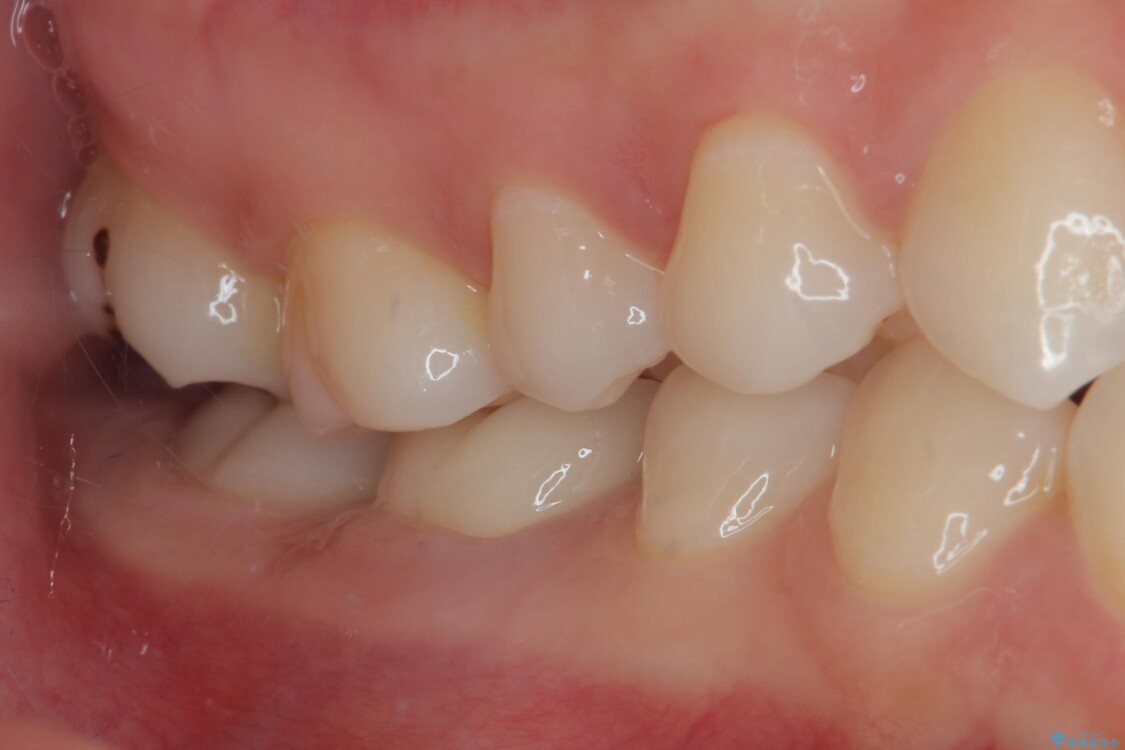
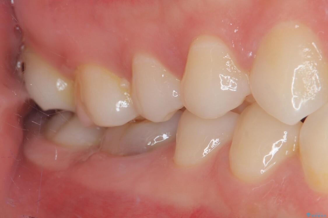
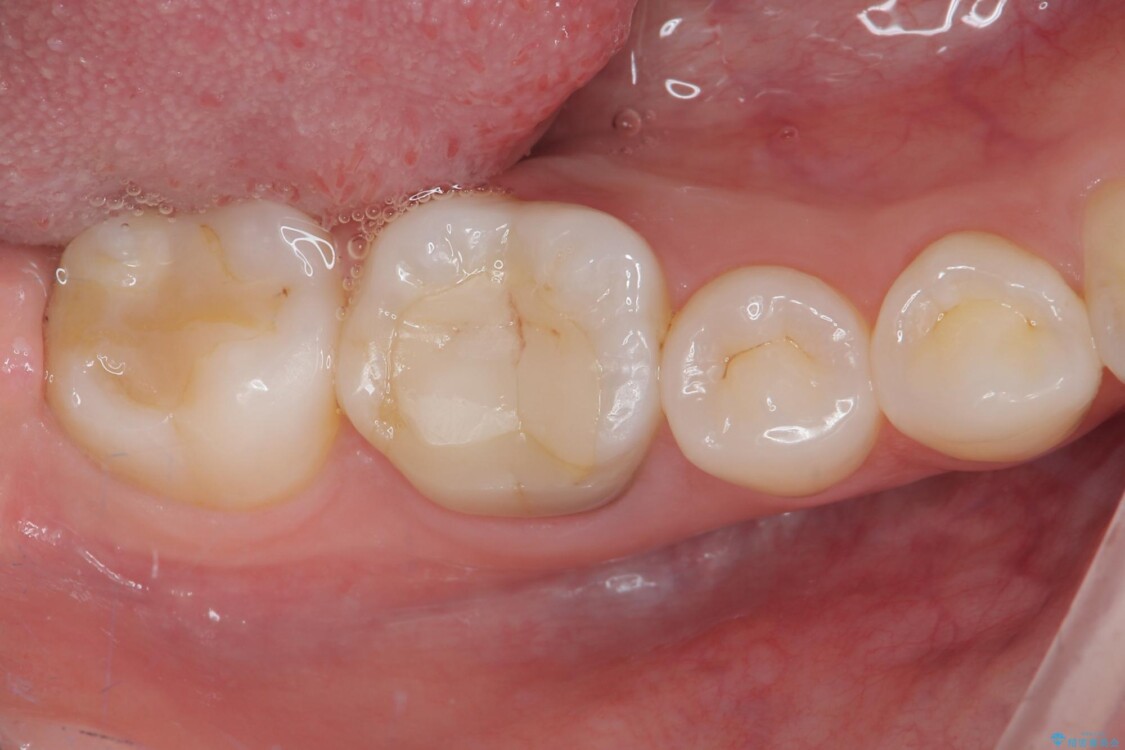
治療前
  • ラバーダム使用で再感染リスクを抑えた再根管治療+精密な補綴による長期安定を実現 治療前画像
  • ラバーダム使用で再感染リスクを抑えた再根管治療+精密な補綴による長期安定を実現 治療前画像
  • ラバーダム使用で再感染リスクを抑えた再根管治療+精密な補綴による長期安定を実現 治療前画像
  • ラバーダム使用で再感染リスクを抑えた再根管治療+精密な補綴による長期安定を実現 治療前画像
治療途中
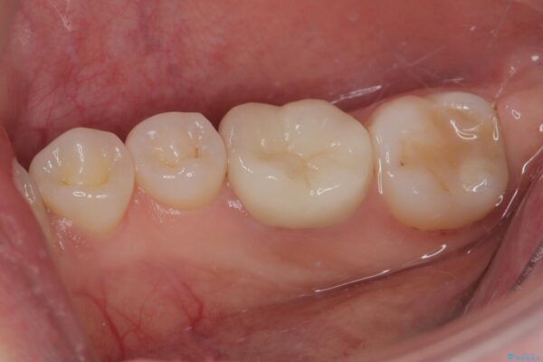
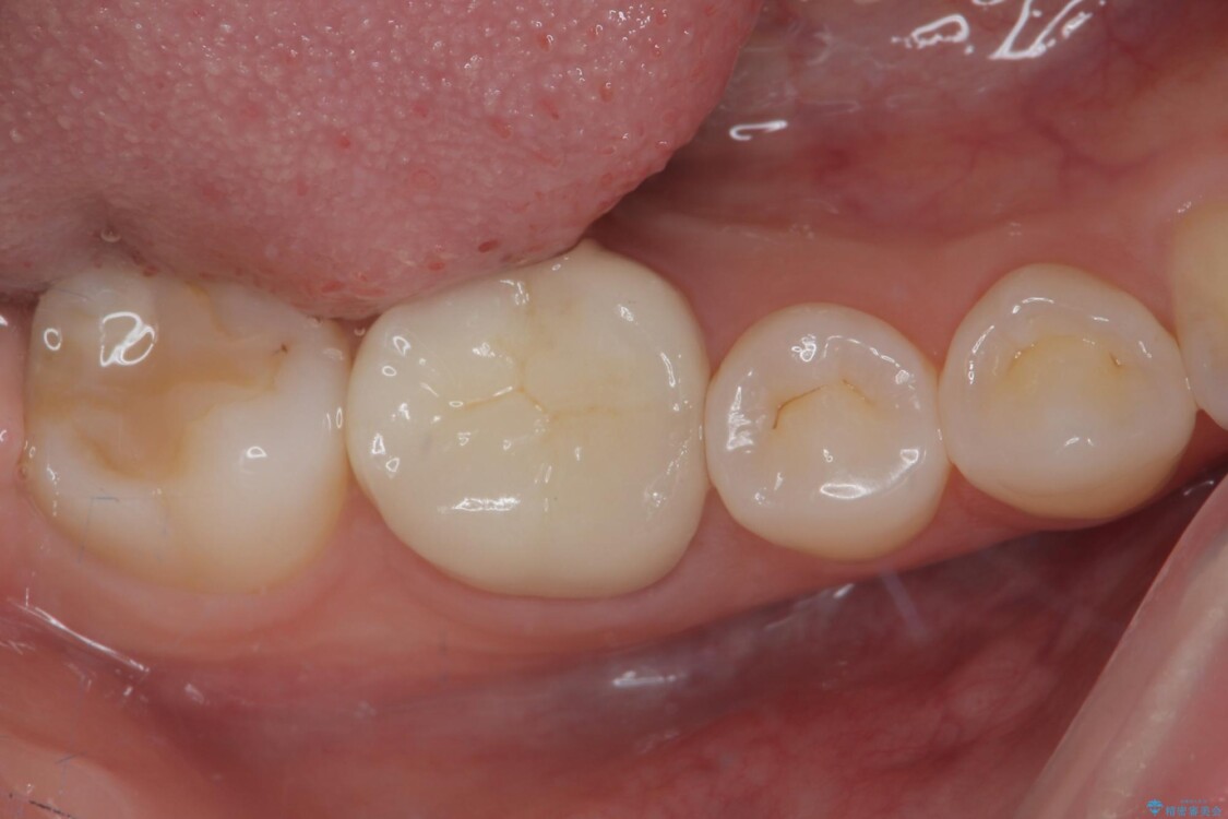
治療後
  • ラバーダム使用で再感染リスクを抑えた再根管治療+精密な補綴による長期安定を実現 治療後画像
  • ラバーダム使用で再感染リスクを抑えた再根管治療+精密な補綴による長期安定を実現 治療後画像
  • ラバーダム使用で再感染リスクを抑えた再根管治療+精密な補綴による長期安定を実現 治療後画像
  • ラバーダム使用で再感染リスクを抑えた再根管治療+精密な補綴による長期安定を実現 治療後画像

セラミック治療の注意事項(リスク・副作用など)

・天然歯を削ります。
・硬い素材は天然歯を傷つけてしまう場合があります。
・かみ合わせや歯ぎしりが強すぎる方はセラミックが割れてしまう可能性があります。
・自費診療(保険適用外治療)となります。

根管治療の注意事項(リスク・副作用など)

・根管治療は非常に成功率の高い治療ですが、治療の成否を決める多くの要素があるため、根管治療がなされた後も再治療、外科処置、抜歯などの処置をしなくてはならなくなることもあります。
・根管治療中には、器具の破折、穿孔、修復物の損傷、歯の破折、術中・術後の不快症状、術後の痛みや腫脹などの事象が稀ではありますが起こりうることがあります。
・自費診療(保険適用外治療)となります。

その他の注意事項(リスク・副作用など)

・担当歯科医師、歯科衛生士又は医院スタッフから受けた説明、注意事項をよくご確認ください。
・医療を提供するに当たり、適切な説明を行い、患者様の十分な理解を得るよう努めております。

当サイトの内容、テキスト、画像等の無断転載、複製、複写、盗用を固く禁じます。

24時間受付 Web申し込み


無料カウンセリング予約

無料の個別相談(予約制)を実施しております

医院直通 電話予約
03-3231-0777

平日 11:00~20:00 / 土日 10:00~18:00

※ お電話での治療に関するご相談は、ドクターによる対応ができないためお受けできません