前歯のねじれ・ガタガタを10か月で改善!20代女性の矯正治療|クリアブラケットでむし歯になりにくい歯並びへ改善

東京駅前しらゆり歯科

電話でのご予約、お問い合わせ
03-3231-0777

平日11:00~20:00 / 土日10:00~18:00

CASES

ワイヤー矯正の症例

前歯のねじれ・ガタガタを10か月で改善!20代女性の矯正治療|クリアブラケットでむし歯になりにくい歯並びへ改善

治療症例のビフォーアフターと詳細

患者様
20代女性
治療期間
10ヶ月
治療回数
10-30回
矯正装置
クリアブラケット
概算治療費
88万円(税込)(※費用は治療当時の料金となります)
担当医
齋藤佑磨

治療動機

「前歯のねじれを改善したい」とのご希望で当院に来院された患者様です。

治療計画

◆ 診断と治療計画
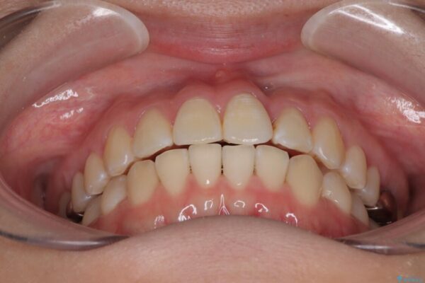
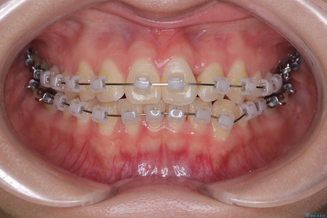
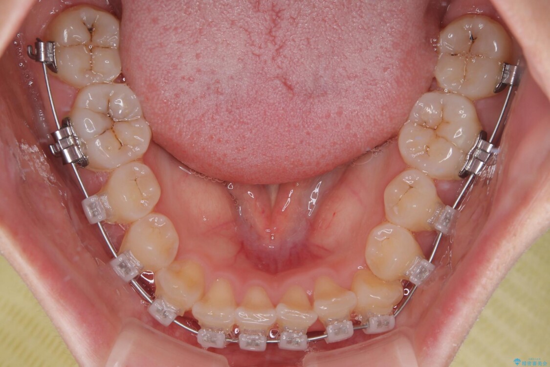
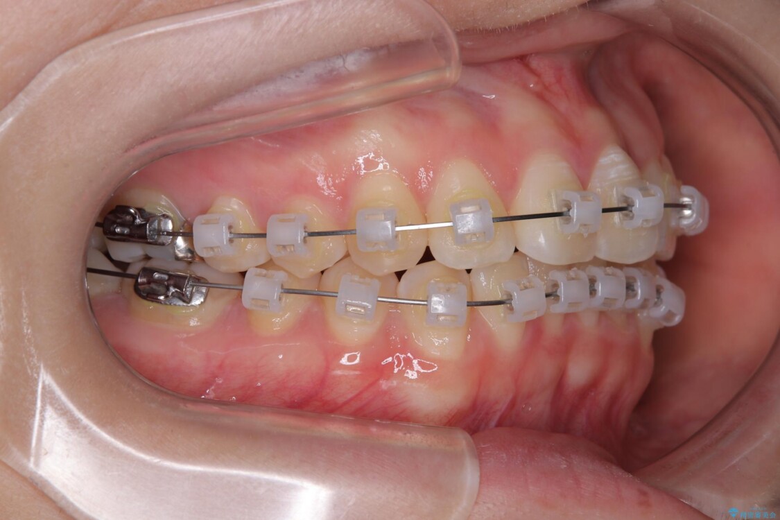
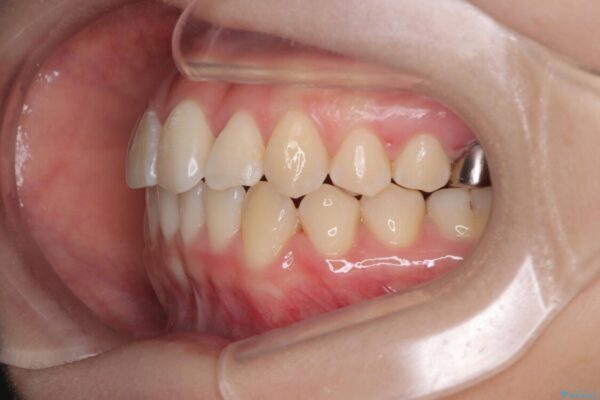
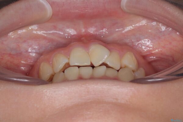
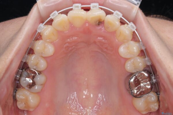
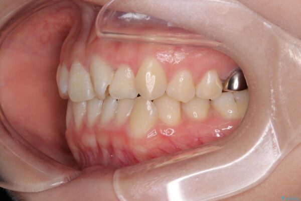
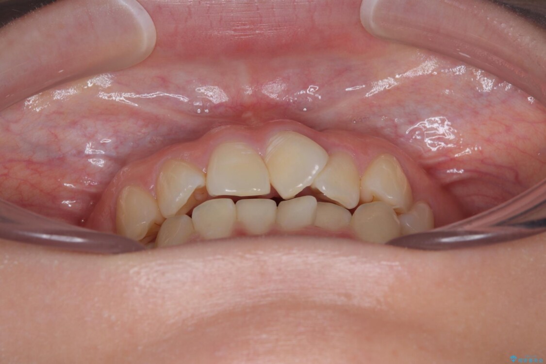
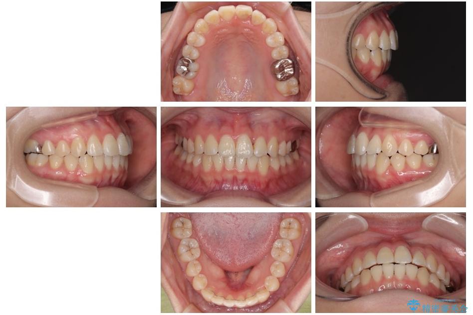
診察の結果、上下の前歯部に**叢生(そうせい/歯のガタガタ・重なり)**が認められました。
特に上の前歯にはねじれや重なりがあり、審美的にも清掃性にも影響している状態でした。

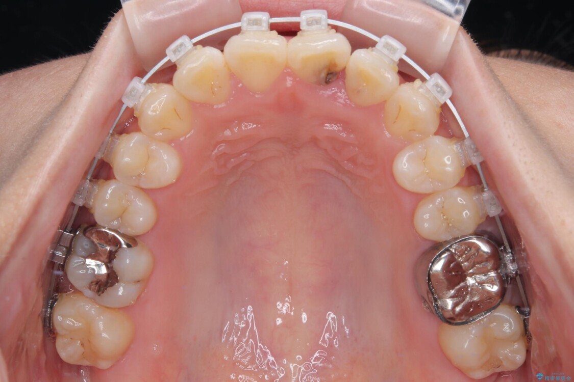
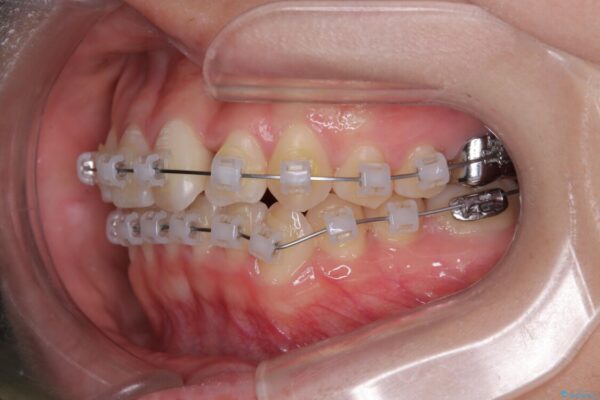
治療方法としては、装置の目立ちにくさと費用面のバランスを考慮して、プラスチック製のクリアブラケットとメタルワイヤーを組み合わせた矯正装置を使用することにしました。
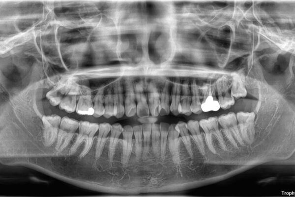
また、上顎前歯の重なっていた部分にはむし歯が見つかり、治療中に適切な処置を行っています。

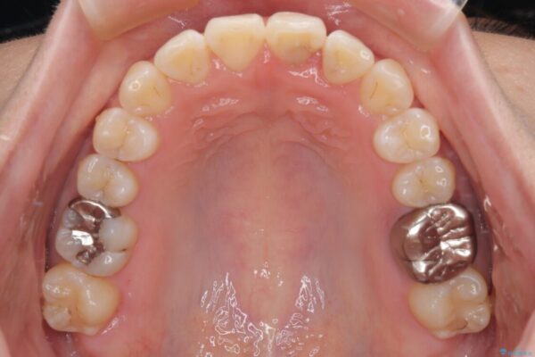
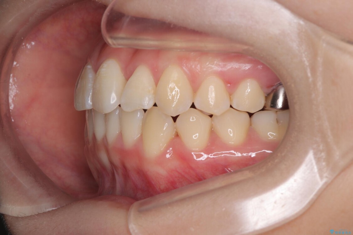
治療後について

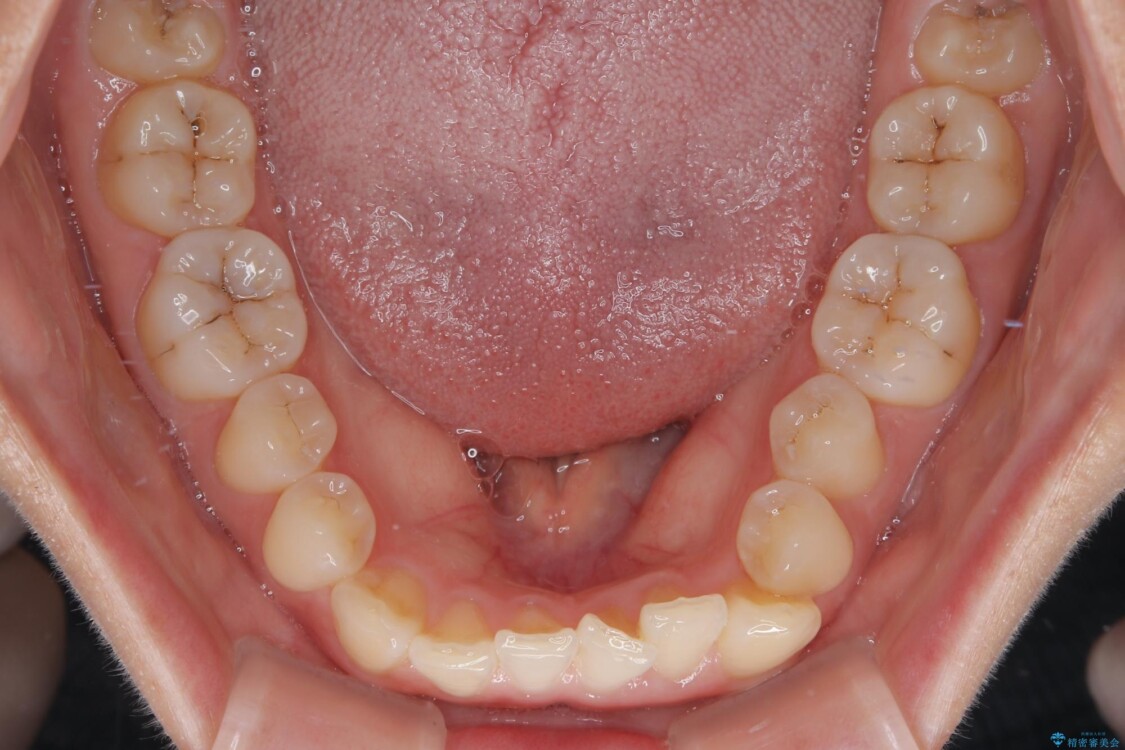
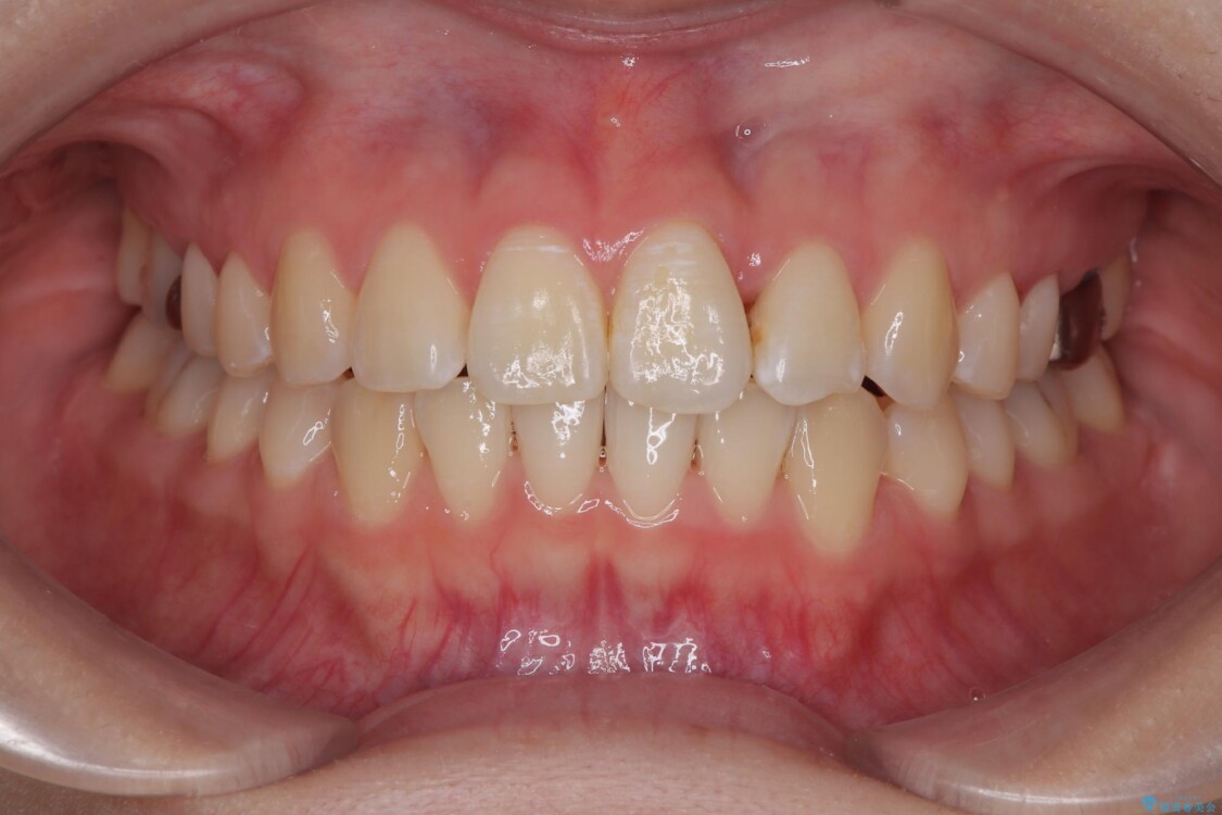
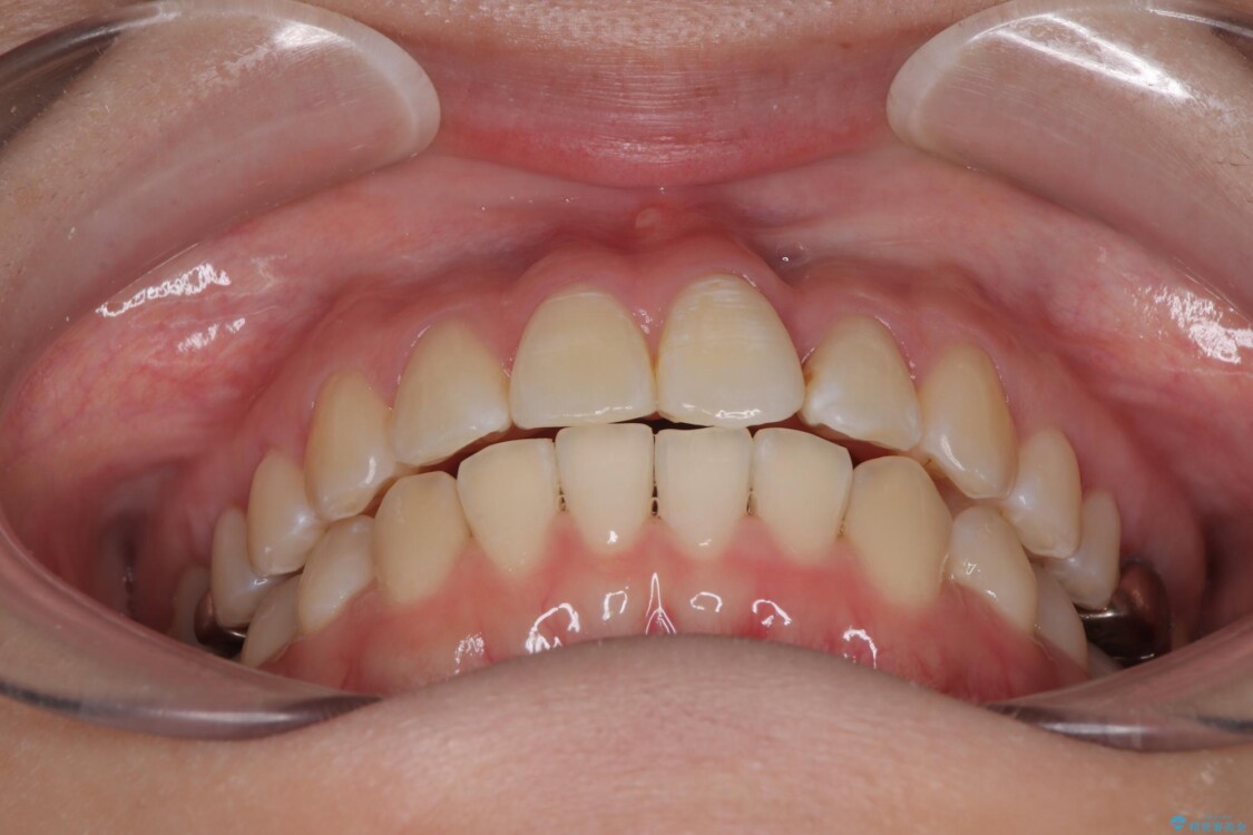
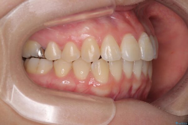
矯正治療期間はわずか10か月と、比較的短期間で終了しました。
前歯のデコボコがなくなり、見た目の印象が大きく変わっただけでなく、歯磨きがしやすくなり、むし歯や歯周病のリスクが大きく減少しました。

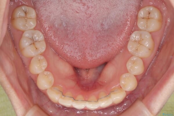
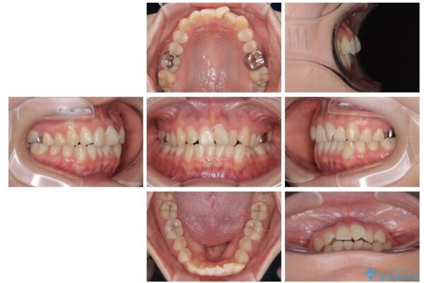
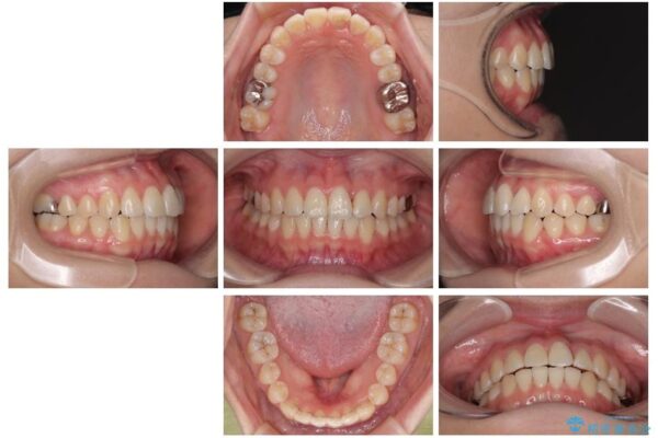
治療前
  • 前歯のねじれ・ガタガタを10か月で改善!20代女性の矯正治療|クリアブラケットでむし歯になりにくい歯並びへ改善 治療前画像
  • 前歯のねじれ・ガタガタを10か月で改善!20代女性の矯正治療|クリアブラケットでむし歯になりにくい歯並びへ改善 治療前画像
  • 前歯のねじれ・ガタガタを10か月で改善!20代女性の矯正治療|クリアブラケットでむし歯になりにくい歯並びへ改善 治療前画像
  • 前歯のねじれ・ガタガタを10か月で改善!20代女性の矯正治療|クリアブラケットでむし歯になりにくい歯並びへ改善 治療前画像
  • 前歯のねじれ・ガタガタを10か月で改善!20代女性の矯正治療|クリアブラケットでむし歯になりにくい歯並びへ改善 治療前画像
  • 前歯のねじれ・ガタガタを10か月で改善!20代女性の矯正治療|クリアブラケットでむし歯になりにくい歯並びへ改善 治療前画像
  • 前歯のねじれ・ガタガタを10か月で改善!20代女性の矯正治療|クリアブラケットでむし歯になりにくい歯並びへ改善 治療前画像
  • 前歯のねじれ・ガタガタを10か月で改善!20代女性の矯正治療|クリアブラケットでむし歯になりにくい歯並びへ改善 治療前画像
  • 前歯のねじれ・ガタガタを10か月で改善!20代女性の矯正治療|クリアブラケットでむし歯になりにくい歯並びへ改善 治療前画像
  • 前歯のねじれ・ガタガタを10か月で改善!20代女性の矯正治療|クリアブラケットでむし歯になりにくい歯並びへ改善 治療前画像
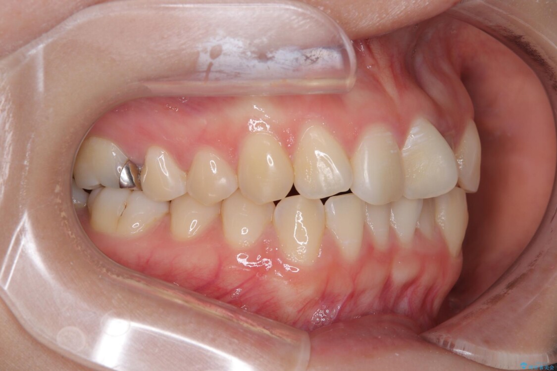
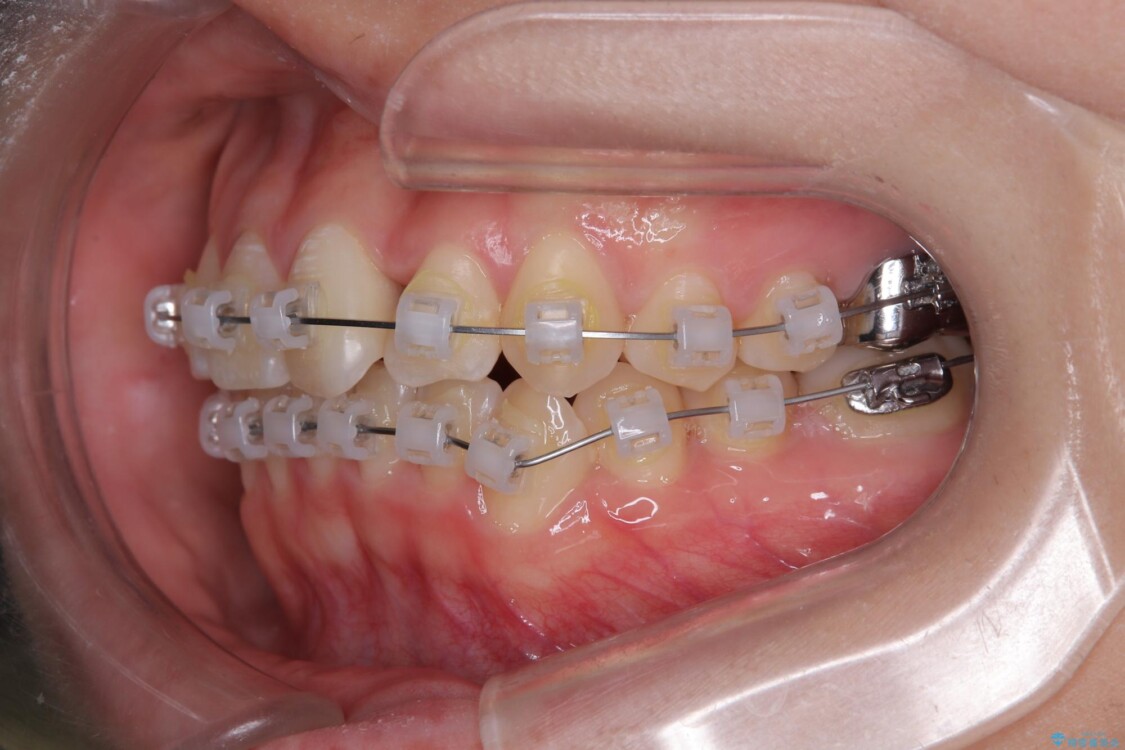
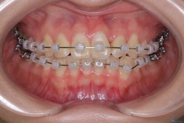
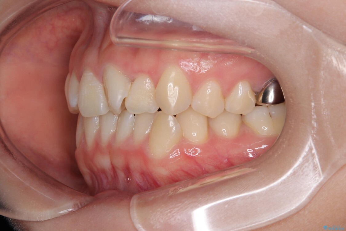
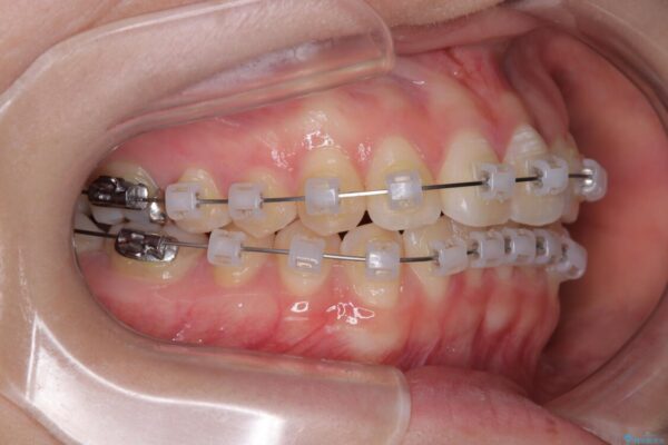
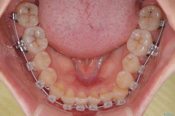
治療途中
  • 前歯のねじれ・ガタガタを10か月で改善!20代女性の矯正治療|クリアブラケットでむし歯になりにくい歯並びへ改善 治療途中画像
  • 前歯のねじれ・ガタガタを10か月で改善!20代女性の矯正治療|クリアブラケットでむし歯になりにくい歯並びへ改善 治療途中画像
  • 前歯のねじれ・ガタガタを10か月で改善!20代女性の矯正治療|クリアブラケットでむし歯になりにくい歯並びへ改善 治療途中画像
  • 前歯のねじれ・ガタガタを10か月で改善!20代女性の矯正治療|クリアブラケットでむし歯になりにくい歯並びへ改善 治療途中画像
  • 前歯のねじれ・ガタガタを10か月で改善!20代女性の矯正治療|クリアブラケットでむし歯になりにくい歯並びへ改善 治療途中画像
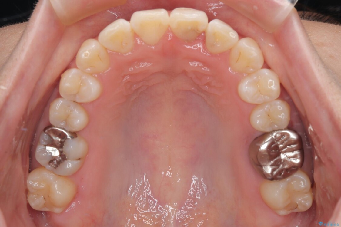
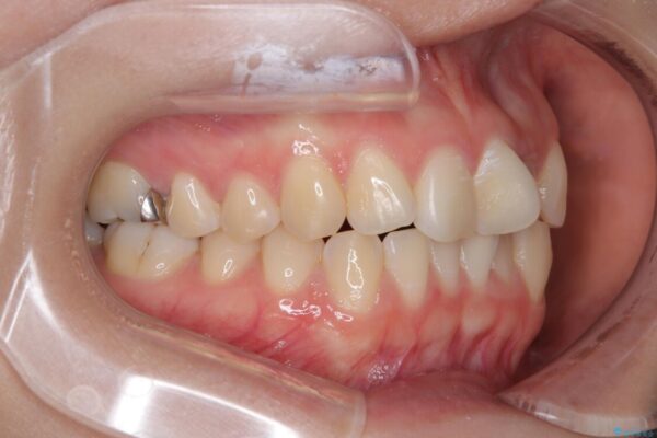
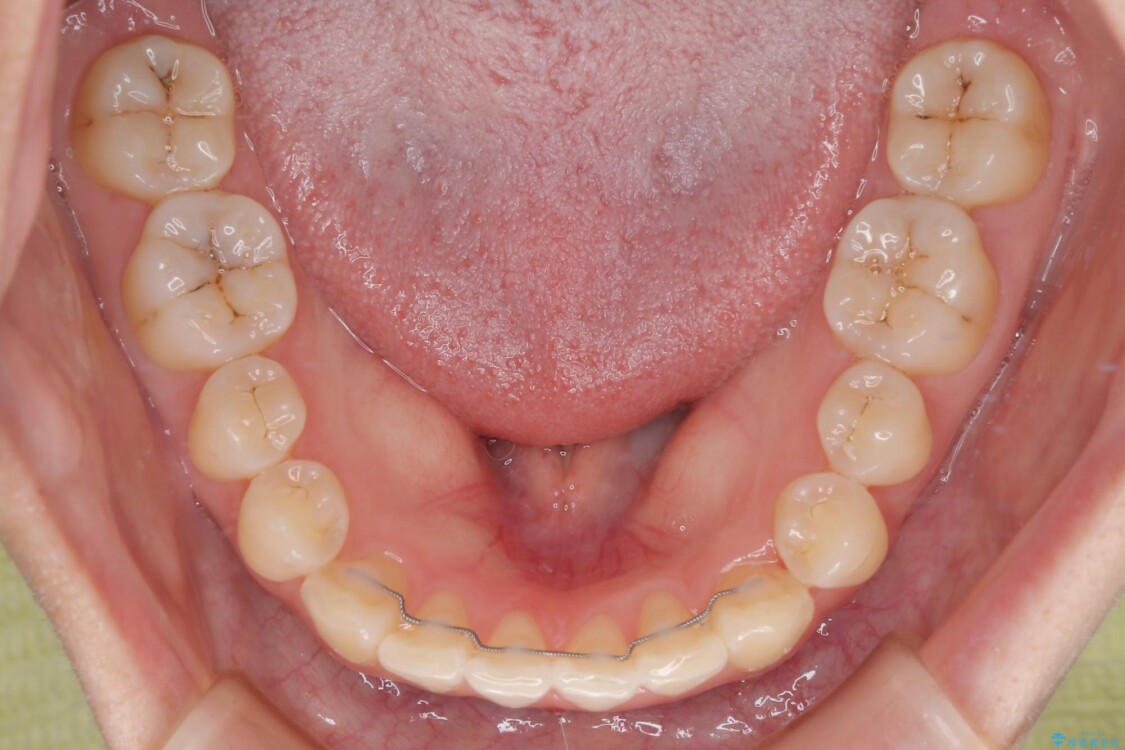
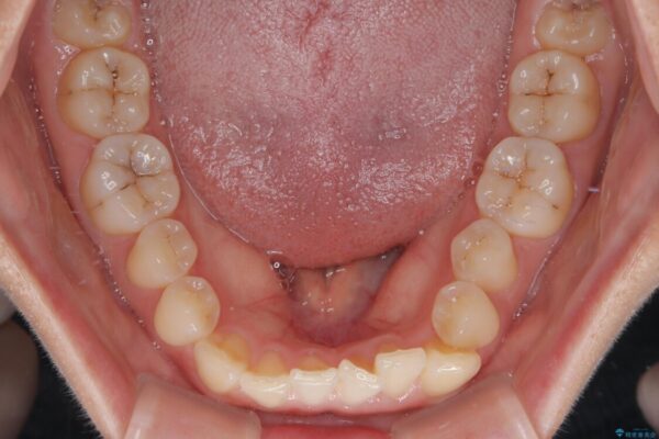
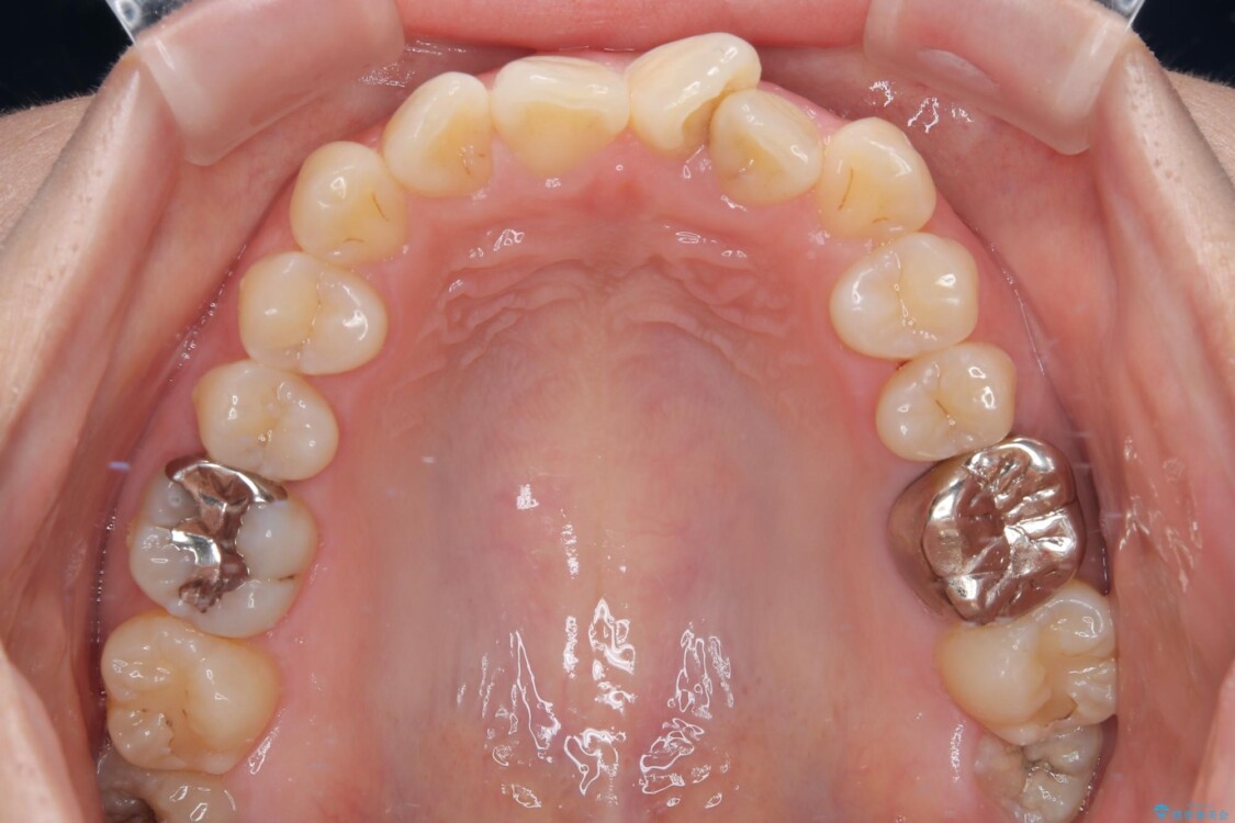
治療後
  • 前歯のねじれ・ガタガタを10か月で改善!20代女性の矯正治療|クリアブラケットでむし歯になりにくい歯並びへ改善 治療後画像
  • 前歯のねじれ・ガタガタを10か月で改善!20代女性の矯正治療|クリアブラケットでむし歯になりにくい歯並びへ改善 治療後画像
  • 前歯のねじれ・ガタガタを10か月で改善!20代女性の矯正治療|クリアブラケットでむし歯になりにくい歯並びへ改善 治療後画像
  • 前歯のねじれ・ガタガタを10か月で改善!20代女性の矯正治療|クリアブラケットでむし歯になりにくい歯並びへ改善 治療後画像
  • 前歯のねじれ・ガタガタを10か月で改善!20代女性の矯正治療|クリアブラケットでむし歯になりにくい歯並びへ改善 治療後画像
  • 前歯のねじれ・ガタガタを10か月で改善!20代女性の矯正治療|クリアブラケットでむし歯になりにくい歯並びへ改善 治療後画像
  • 前歯のねじれ・ガタガタを10か月で改善!20代女性の矯正治療|クリアブラケットでむし歯になりにくい歯並びへ改善 治療後画像
  • 前歯のねじれ・ガタガタを10か月で改善!20代女性の矯正治療|クリアブラケットでむし歯になりにくい歯並びへ改善 治療後画像
  • 前歯のねじれ・ガタガタを10か月で改善!20代女性の矯正治療|クリアブラケットでむし歯になりにくい歯並びへ改善 治療後画像
  • 前歯のねじれ・ガタガタを10か月で改善!20代女性の矯正治療|クリアブラケットでむし歯になりにくい歯並びへ改善 治療後画像

ワイヤー矯正の注意事項(リスク・副作用など)

・治療中は違和感や痛みが起こることがあります。
・症状により、抜歯が必要な場合があります。
・治療中は歯磨きがしにくくなるため、虫歯や歯周病になりやすくなります。
・矯正治療後の保定が不十分だと後戻り(元の位置に戻ろうとする動き)をします。
・自費診療(保険適用外)となります。

その他の注意事項(リスク・副作用など)

・担当歯科医師、歯科衛生士又は医院スタッフから受けた説明、注意事項をよくご確認ください。
・医療を提供するに当たり、適切な説明を行い、患者様の十分な理解を得るよう努めております。

当サイトの内容、テキスト、画像等の無断転載、複製、複写、盗用を固く禁じます。

24時間受付 Web申し込み


無料カウンセリング予約

無料の個別相談(予約制)を実施しております

医院直通 電話予約
03-3231-0777

平日 11:00~20:00 / 土日 10:00~18:00

※ お電話での治療に関するご相談は、ドクターによる対応ができないためお受けできません