上下の八重歯を治したい インビザラインと補助装置を用いた抜歯治療

東京駅前しらゆり歯科

電話でのご予約、お問い合わせ
03-3231-0777

平日11:00~20:00 / 土日10:00~18:00

CASES

インビザライン(マウスピース矯正)の症例

上下の八重歯を治したい インビザラインと補助装置を用いた抜歯治療

治療症例のビフォーアフターと詳細

患者様
20代女性
治療期間
3年2ヶ月
治療回数
10-30回
矯正装置
インビザライン
概算治療費
85万円(費用は治療当時の料金となります)
担当医
藤巻太一朗

治療動機

上下の八重歯を気にして来院された患者様です。

治療計画

八重歯の後ろの歯を1歯抜歯し、補助装置(リンガルアーチ)を用いて八重歯の位置を改善し、その後インビザラインにより矯正治療を行うこととしました。
右側のみ上下小臼歯を抜歯するため、上下の正中が右にずれてしまう可能性があります。
また、元々右側は上下が咬み合っていないため、矯正をしても咬み合わないことも考えられました。

治療後について

右側のみ上下小臼歯を抜歯したため、上下の正中が右にずれてしまう可能性があります。
また、元々右側は上下が咬み合っていないため、矯正をしても咬み合わないことも考えられました。
治療期間はかかりましたが、正中も合い、綺麗な仕上がりとなりました。

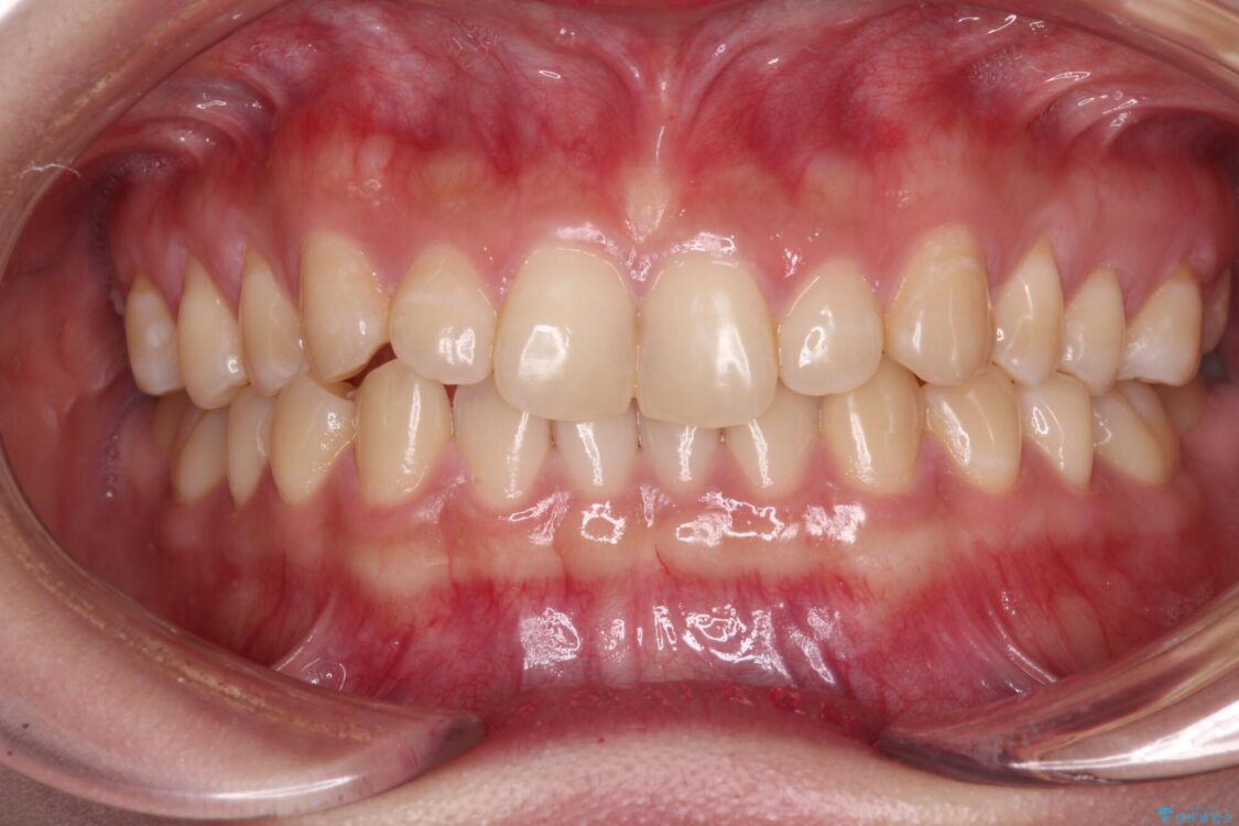
治療前
  • 上下の八重歯を治したい インビザラインと補助装置を用いた抜歯治療 治療前画像
  • 上下の八重歯を治したい インビザラインと補助装置を用いた抜歯治療 治療前画像
  • 上下の八重歯を治したい インビザラインと補助装置を用いた抜歯治療 治療前画像
  • 上下の八重歯を治したい インビザラインと補助装置を用いた抜歯治療 治療前画像
  • 上下の八重歯を治したい インビザラインと補助装置を用いた抜歯治療 治療前画像
  • 上下の八重歯を治したい インビザラインと補助装置を用いた抜歯治療 治療前画像
  • 上下の八重歯を治したい インビザラインと補助装置を用いた抜歯治療 治療前画像
  • 上下の八重歯を治したい インビザラインと補助装置を用いた抜歯治療 治療前画像
  • 上下の八重歯を治したい インビザラインと補助装置を用いた抜歯治療 治療前画像
  • 上下の八重歯を治したい インビザラインと補助装置を用いた抜歯治療 治療前画像
治療途中
  • 上下の八重歯を治したい インビザラインと補助装置を用いた抜歯治療 治療途中画像
  • 上下の八重歯を治したい インビザラインと補助装置を用いた抜歯治療 治療途中画像
  • 上下の八重歯を治したい インビザラインと補助装置を用いた抜歯治療 治療途中画像
  • 上下の八重歯を治したい インビザラインと補助装置を用いた抜歯治療 治療途中画像
  • 上下の八重歯を治したい インビザラインと補助装置を用いた抜歯治療 治療途中画像
  • 上下の八重歯を治したい インビザラインと補助装置を用いた抜歯治療 治療途中画像
治療後
  • 上下の八重歯を治したい インビザラインと補助装置を用いた抜歯治療 治療後画像
  • 上下の八重歯を治したい インビザラインと補助装置を用いた抜歯治療 治療後画像
  • 上下の八重歯を治したい インビザラインと補助装置を用いた抜歯治療 治療後画像
  • 上下の八重歯を治したい インビザラインと補助装置を用いた抜歯治療 治療後画像
  • 上下の八重歯を治したい インビザラインと補助装置を用いた抜歯治療 治療後画像
  • 上下の八重歯を治したい インビザラインと補助装置を用いた抜歯治療 治療後画像
  • 上下の八重歯を治したい インビザラインと補助装置を用いた抜歯治療 治療後画像
  • 上下の八重歯を治したい インビザラインと補助装置を用いた抜歯治療 治療後画像
  • 上下の八重歯を治したい インビザラインと補助装置を用いた抜歯治療 治療後画像
  • 上下の八重歯を治したい インビザラインと補助装置を用いた抜歯治療 治療後画像

マウスピース矯正の注意事項(リスク・副作用など)

・口腔内・歯並びの状態によっては対応できない場合があります。
・マウスピース型矯正装置の長時間装着が必須です。
・治療計画通りに進めるためには、患者様の意志が重要になります。
・矯正治療後の保定が不十分だと後戻り(元の位置に戻ろうとする動き)をします。
・自費診療(保険適用外)となります。

その他の注意事項(リスク・副作用など)

・担当歯科医師、歯科衛生士又は医院スタッフから受けた説明、注意事項をよくご確認ください。
・医療を提供するに当たり、適切な説明を行い、患者様の十分な理解を得るよう努めております。

当サイトの内容、テキスト、画像等の無断転載、複製、複写、盗用を固く禁じます。

24時間受付 Web申し込み


無料カウンセリング予約

無料の個別相談(予約制)を実施しております

医院直通 電話予約
03-3231-0777

平日 11:00~20:00 / 土日 10:00~18:00

※ お電話での治療に関するご相談は、ドクターによる対応ができないためお受けできません