歯周病改善のための総合歯科治療

東京駅前しらゆり歯科

電話でのご予約、お問い合わせ
03-3231-0777

平日11:00~20:00 / 土日10:00~18:00

CASES

総合歯科治療の症例

歯周病改善のための総合歯科治療

治療症例のビフォーアフターと詳細

患者様
50代女性
治療期間
4ヶ月
治療回数
5-10回
矯正装置
審美装置
概算治療費
350万円(費用は治療当時の料金となります)
担当医
藤巻太一朗

治療動機

歯の欠損や歯肉からの出血などを気にして来院された患者様です。

治療計画

診査の結果、歯周病であることが分かり、抜歯が必要な歯も見受けられました。
骨造成やインプラント、歯周外科、歯肉移植、矯正など、多くの処置を組み合わせて治療を行うこととしました。

治療後について

幾度も外科処置を行ったため、治療期間は長期間となりました。
一方、外科処置をしっかりと行ったことで、歯周病の状態は改善され、安定した状態にしあげることができました。

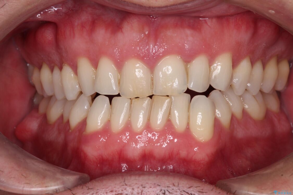
治療前
  • 歯周病改善のための総合歯科治療 治療前画像
  • 歯周病改善のための総合歯科治療 治療前画像
  • 歯周病改善のための総合歯科治療 治療前画像
  • 歯周病改善のための総合歯科治療 治療前画像
  • 歯周病改善のための総合歯科治療 治療前画像
  • 歯周病改善のための総合歯科治療 治療前画像
  • 歯周病改善のための総合歯科治療 治療前画像
  • 歯周病改善のための総合歯科治療 治療前画像
  • 歯周病改善のための総合歯科治療 治療前画像
  • 歯周病改善のための総合歯科治療 治療前画像
  • 歯周病改善のための総合歯科治療 治療前画像
  • 歯周病改善のための総合歯科治療 治療前画像
  • 歯周病改善のための総合歯科治療 治療前画像
  • 歯周病改善のための総合歯科治療 治療前画像
治療途中
  • 歯周病改善のための総合歯科治療 治療途中画像
  • 歯周病改善のための総合歯科治療 治療途中画像
  • 歯周病改善のための総合歯科治療 治療途中画像
  • 歯周病改善のための総合歯科治療 治療途中画像
治療後
  • 歯周病改善のための総合歯科治療 治療後画像
  • 歯周病改善のための総合歯科治療 治療後画像
  • 歯周病改善のための総合歯科治療 治療後画像
  • 歯周病改善のための総合歯科治療 治療後画像
  • 歯周病改善のための総合歯科治療 治療後画像
  • 歯周病改善のための総合歯科治療 治療後画像
  • 歯周病改善のための総合歯科治療 治療後画像
  • 歯周病改善のための総合歯科治療 治療後画像
  • 歯周病改善のための総合歯科治療 治療後画像
  • 歯周病改善のための総合歯科治療 治療後画像
  • 歯周病改善のための総合歯科治療 治療後画像
  • 歯周病改善のための総合歯科治療 治療後画像
  • 歯周病改善のための総合歯科治療 治療後画像
  • 歯周病改善のための総合歯科治療 治療後画像

セラミック治療の注意事項(リスク・副作用など)

・天然歯を削ります。
・硬い素材は天然歯を傷つけてしまう場合があります。
・かみ合わせや歯ぎしりが強すぎる方はセラミックが割れてしまう可能性があります。
・自費診療(保険適用外治療)となります。

インプラント治療の注意事項(リスク・副作用など)

・外科手術のため、術後に痛みや腫れ、違和感を伴います。
・メンテナンスを怠ったり喫煙により、お口の中に大きな悪影響を及ぼすインプラント周囲炎等にかかる可能性があります。
・糖尿病、肝硬変、心臓病等の場合、インプラント治療ができない可能性があります。
・高血圧、貧血・不整脈等の場合、インプラント治療後に治癒不全を招く可能性があります。
・自費診療(保険適用外治療)となります。

ワイヤー矯正の注意事項(リスク・副作用など)

・治療中は違和感や痛みが起こることがあります。
・症状により、抜歯が必要な場合があります。
・治療中は歯磨きがしにくくなるため、虫歯や歯周病になりやすくなります。
・矯正治療後の保定が不十分だと後戻り(元の位置に戻ろうとする動き)をします。
・自費診療(保険適用外)となります。

歯周病治療の注意事項(リスク・副作用など)

・外科手術のため、術後に痛みや腫れ、違和感を伴います。
・歯周組織再生治療は患者様の状態によって術後の経過が異なります(見た目が改善しない場合もあります)。
・歯周組織再生治療は自費診療(保険適用外)となります。

その他の注意事項(リスク・副作用など)

・担当歯科医師、歯科衛生士又は医院スタッフから受けた説明、注意事項をよくご確認ください。
・医療を提供するに当たり、適切な説明を行い、患者様の十分な理解を得るよう努めております。

当サイトの内容、テキスト、画像等の無断転載、複製、複写、盗用を固く禁じます。

24時間受付 Web申し込み


無料カウンセリング予約

無料の個別相談(予約制)を実施しております

医院直通 電話予約
03-3231-0777

平日 11:00~20:00 / 土日 10:00~18:00

※ お電話での治療に関するご相談は、ドクターによる対応ができないためお受けできません