八重歯とクロスバイト 目立たないワイヤー装置で矯正治療

東京駅前しらゆり歯科

電話でのご予約、お問い合わせ
03-3231-0777

平日11:00~20:00 / 土日10:00~18:00

CASES

ワイヤー矯正の症例

八重歯とクロスバイト 目立たないワイヤー装置で矯正治療

治療症例のビフォーアフターと詳細

患者様
30代男性
治療期間
2年
治療回数
10-30回
矯正装置
審美装置
概算治療費
100万円(税込)(※費用は治療当時の料金となります)
担当医
藤巻太一朗

治療動機

八重歯と前歯のクロスバイトを改善したいとのことで来院された患者様です。

治療計画

マウスピース矯正での自己管理には自信がないとのことで、ワイヤー装置による矯正治療を行うこととしました。
デコボコの程度は強かったのですが、口元の突出感はなかったため、非抜歯矯正としました。

治療後について

クロスバイトは、治療の過程で咬み合わせが大きく変化する期間があり、食事が取りにくくなってしまいます。
また、装置が対合歯と咬み合ってしまい、頻繁に脱落するなど、色々と面倒なことがあり、治療がスムーズに進まないことがあります。
デコボコが解消されると歯列が拡大される方向に動くため、出っ歯のような仕上がりとなることがあります。舌の突出癖を改善するトレーニングをしっかりと行っていただくことで、突出を抑制することができます。

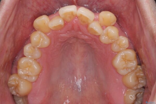
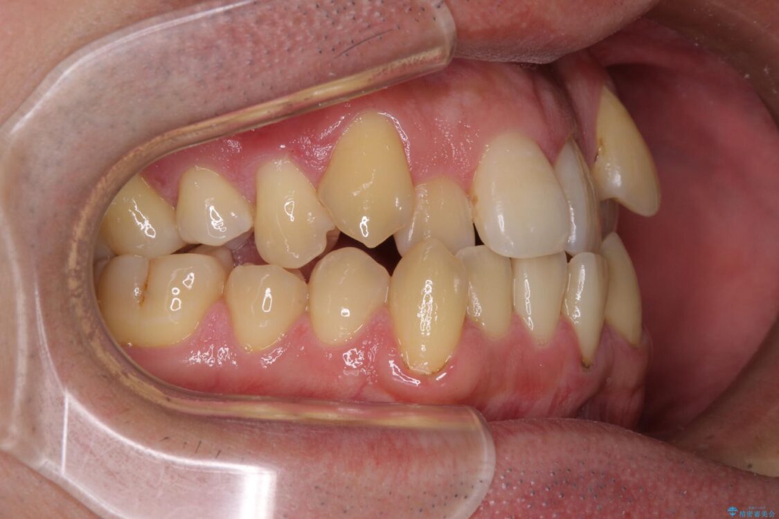
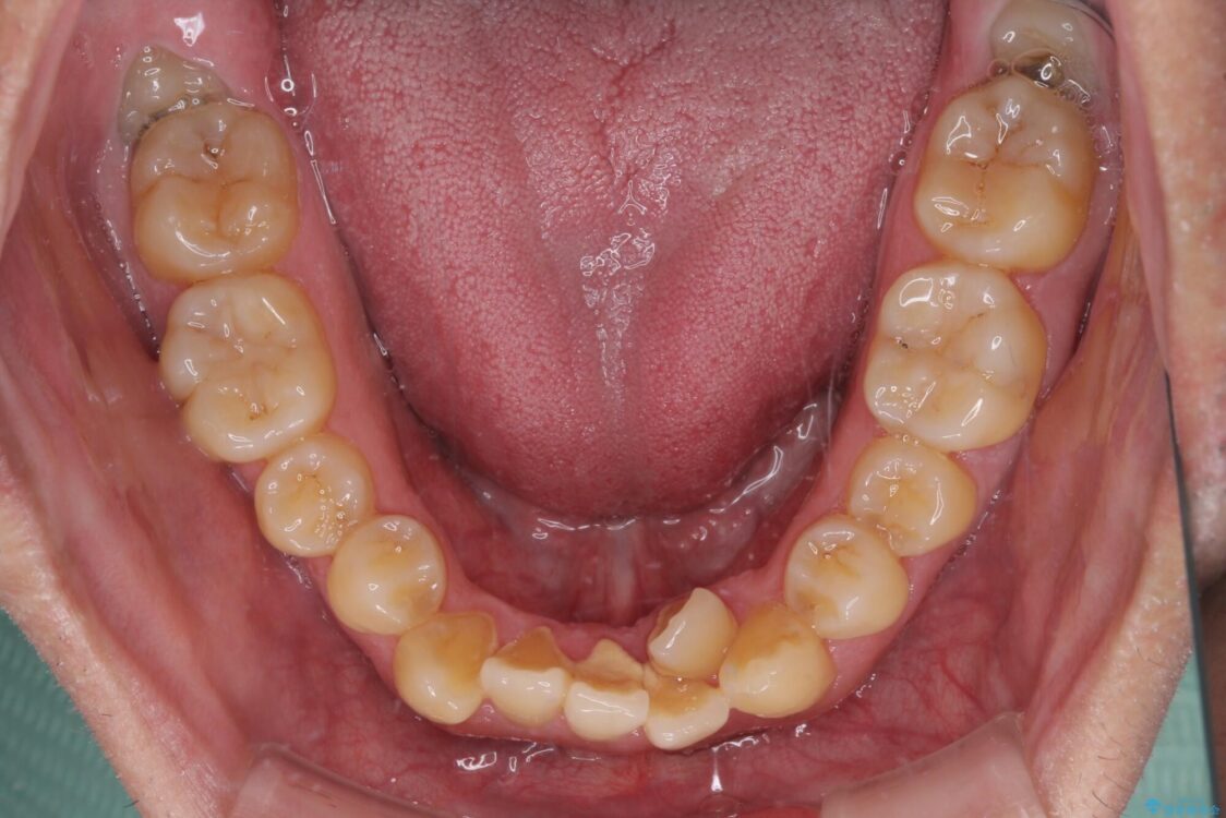
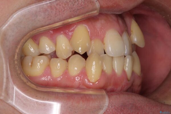
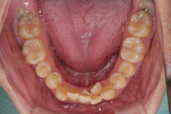
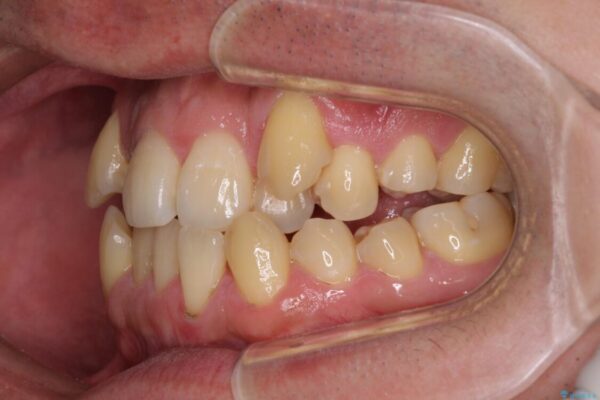
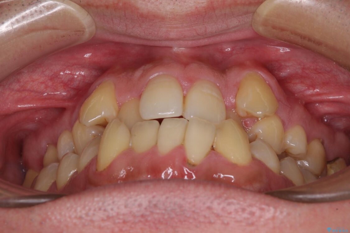
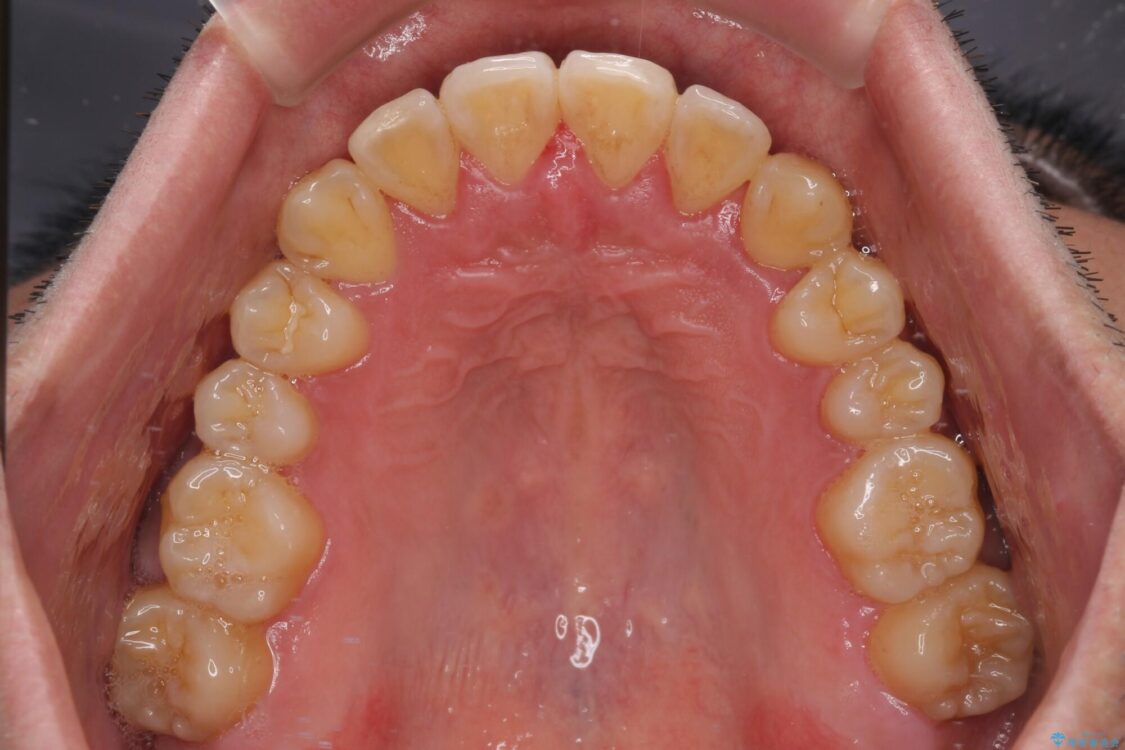
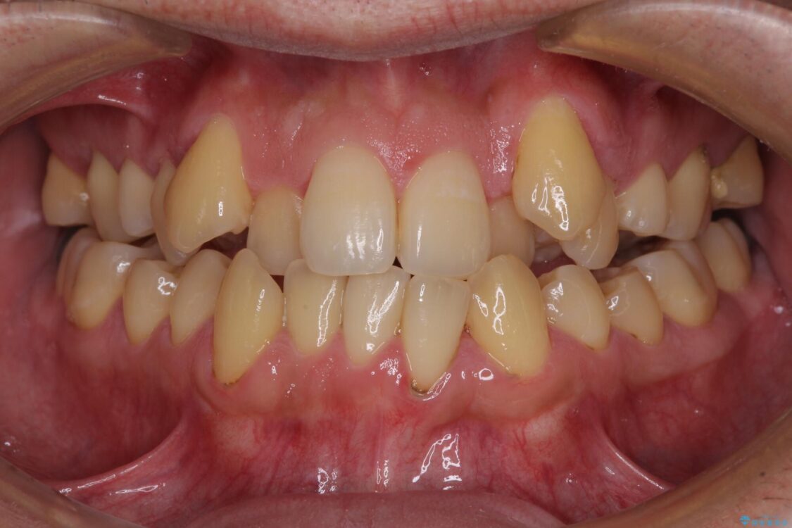
治療前
  • 八重歯とクロスバイト 目立たないワイヤー装置で矯正治療 治療前画像
  • 八重歯とクロスバイト 目立たないワイヤー装置で矯正治療 治療前画像
  • 八重歯とクロスバイト 目立たないワイヤー装置で矯正治療 治療前画像
  • 八重歯とクロスバイト 目立たないワイヤー装置で矯正治療 治療前画像
  • 八重歯とクロスバイト 目立たないワイヤー装置で矯正治療 治療前画像
  • 八重歯とクロスバイト 目立たないワイヤー装置で矯正治療 治療前画像
  • 八重歯とクロスバイト 目立たないワイヤー装置で矯正治療 治療前画像
  • 八重歯とクロスバイト 目立たないワイヤー装置で矯正治療 治療前画像
  • 八重歯とクロスバイト 目立たないワイヤー装置で矯正治療 治療前画像
  • 八重歯とクロスバイト 目立たないワイヤー装置で矯正治療 治療前画像
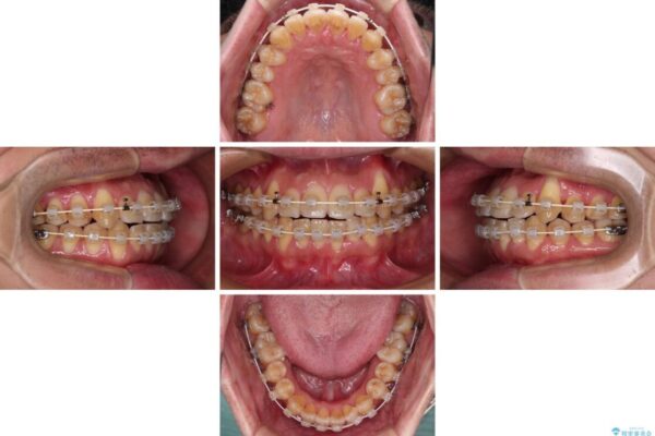
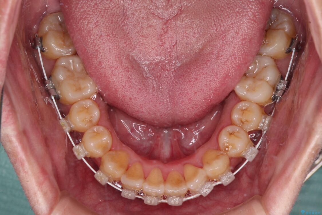
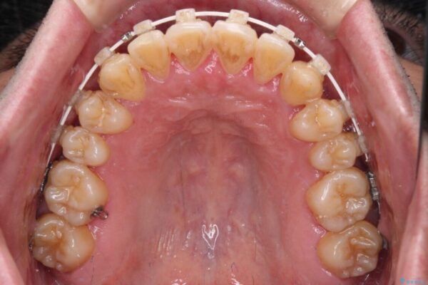
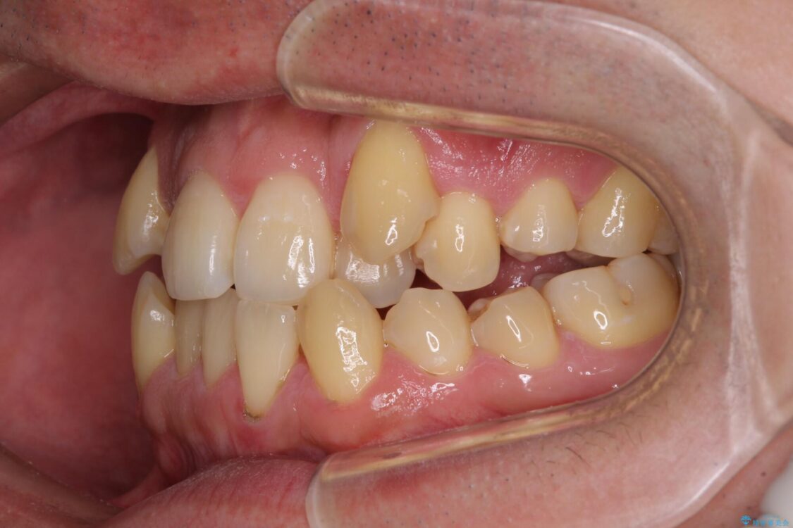
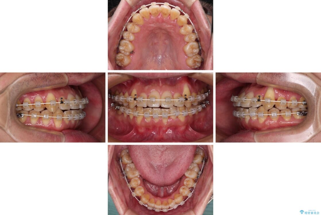
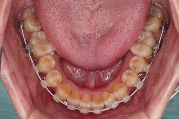
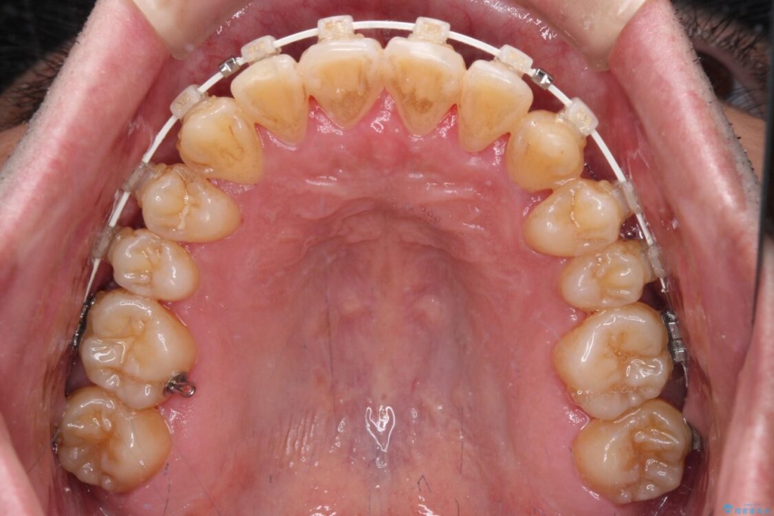
治療途中
  • 八重歯とクロスバイト 目立たないワイヤー装置で矯正治療 治療途中画像
  • 八重歯とクロスバイト 目立たないワイヤー装置で矯正治療 治療途中画像
  • 八重歯とクロスバイト 目立たないワイヤー装置で矯正治療 治療途中画像
  • 八重歯とクロスバイト 目立たないワイヤー装置で矯正治療 治療途中画像
  • 八重歯とクロスバイト 目立たないワイヤー装置で矯正治療 治療途中画像
  • 八重歯とクロスバイト 目立たないワイヤー装置で矯正治療 治療途中画像
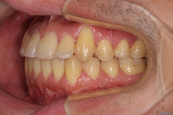
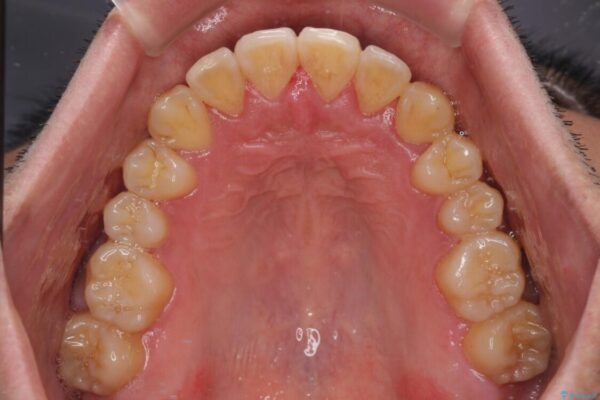
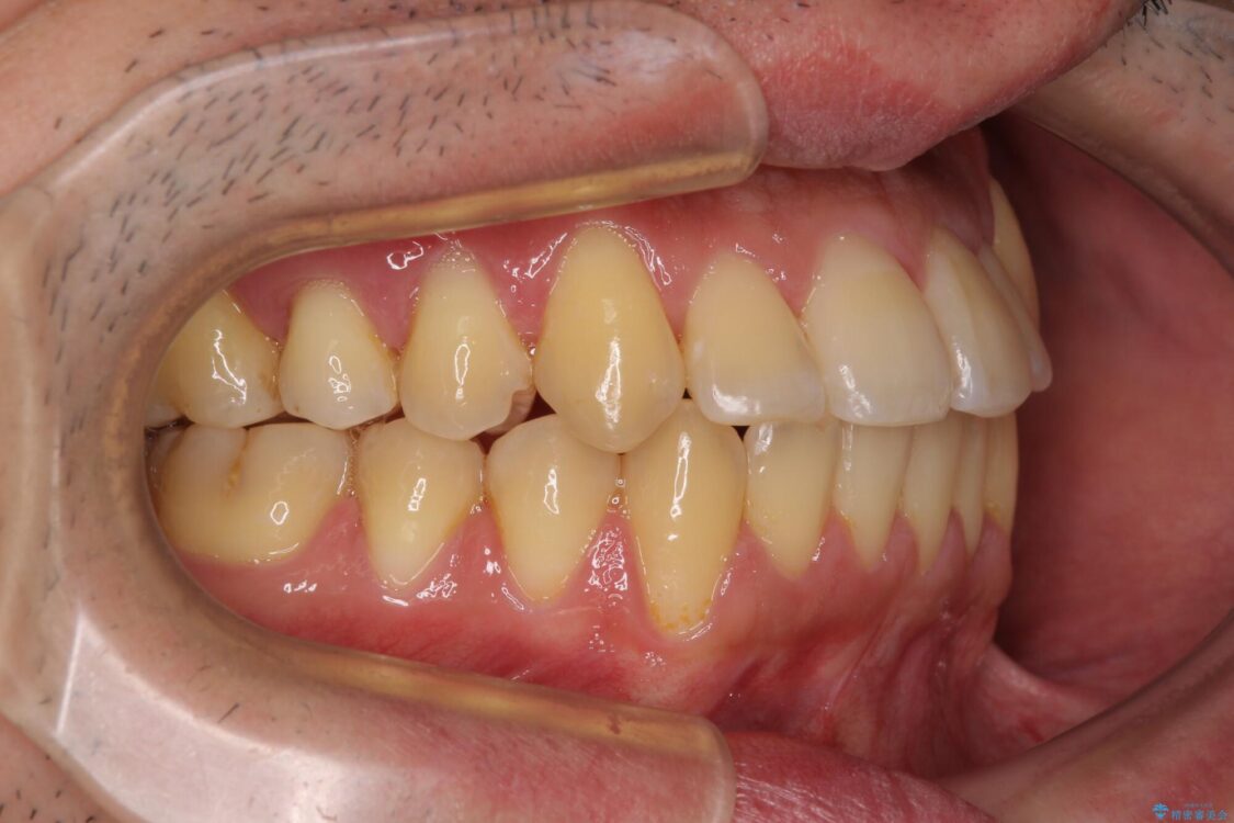
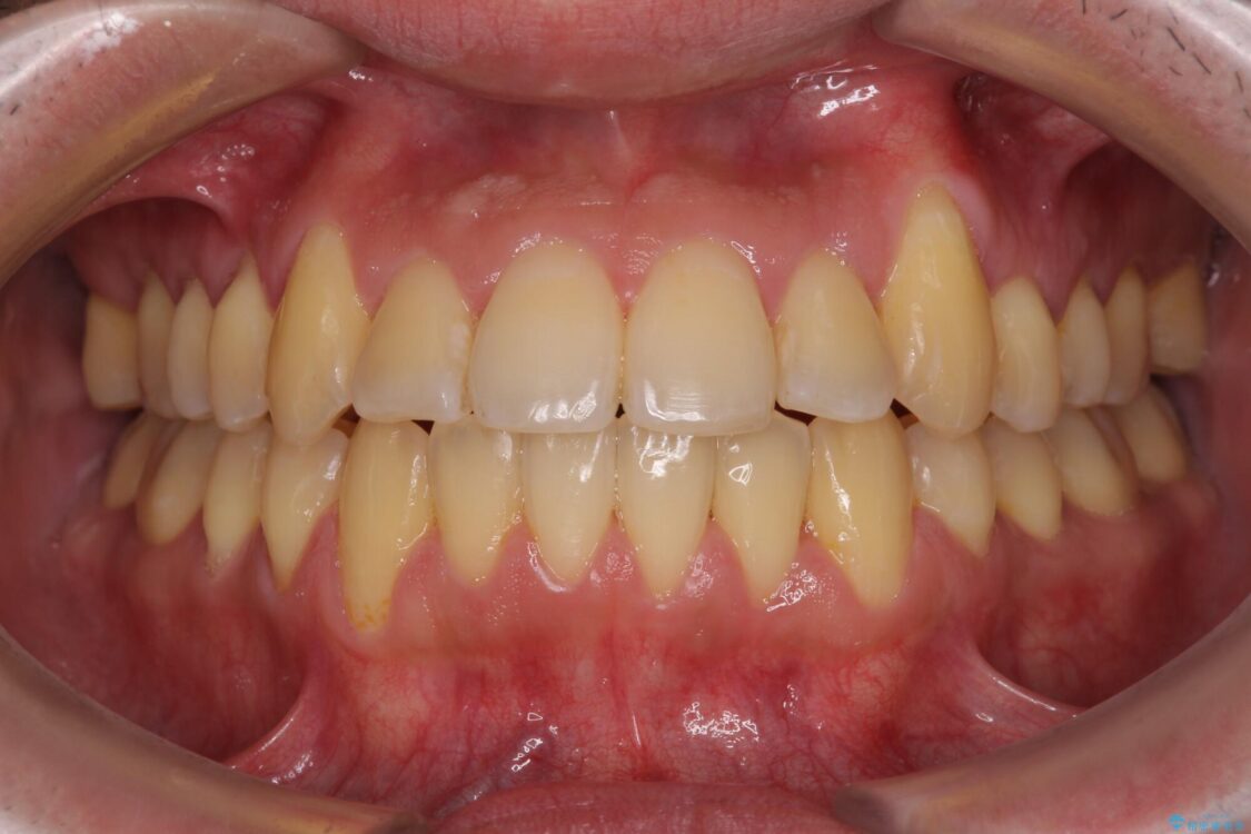
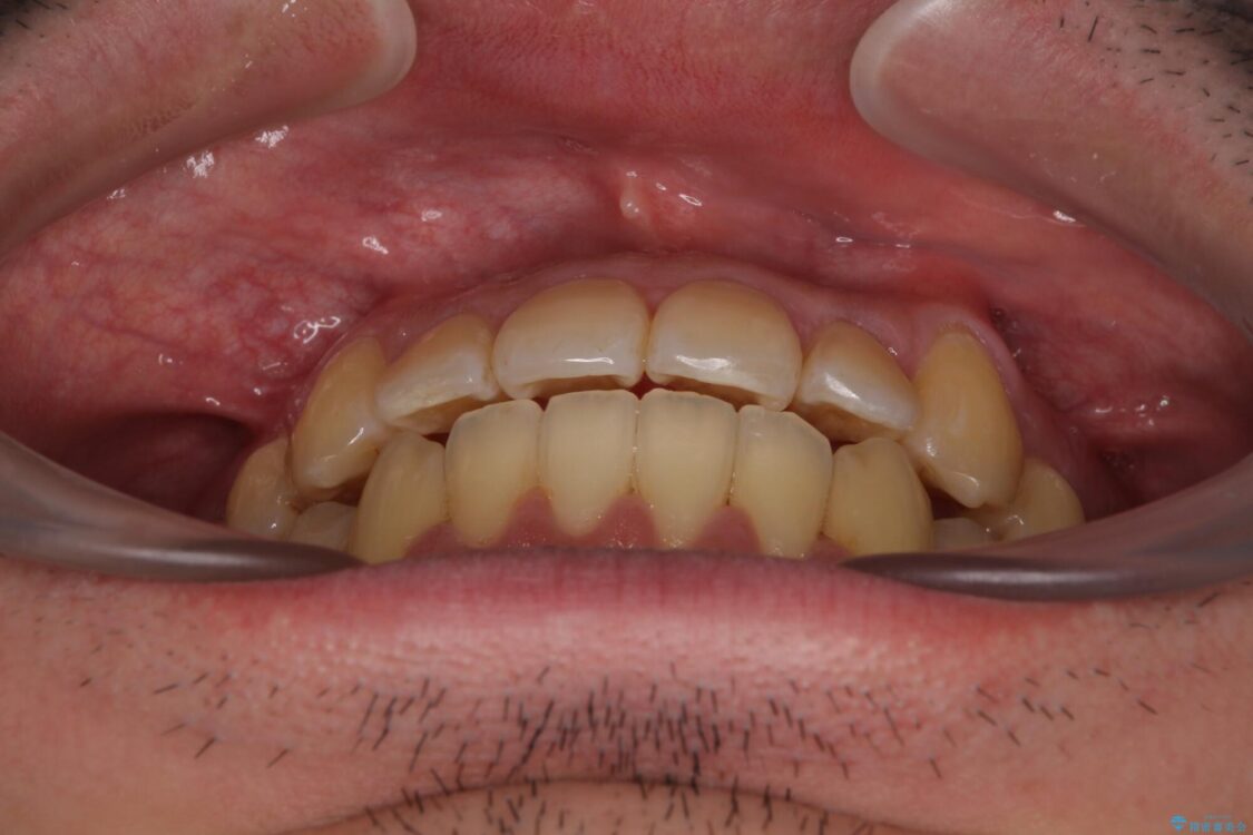
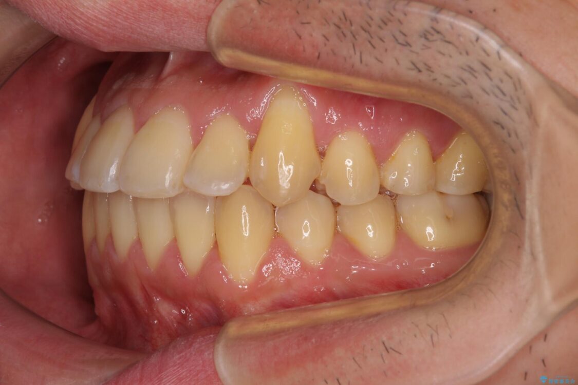
治療後
  • 八重歯とクロスバイト 目立たないワイヤー装置で矯正治療 治療後画像
  • 八重歯とクロスバイト 目立たないワイヤー装置で矯正治療 治療後画像
  • 八重歯とクロスバイト 目立たないワイヤー装置で矯正治療 治療後画像
  • 八重歯とクロスバイト 目立たないワイヤー装置で矯正治療 治療後画像
  • 八重歯とクロスバイト 目立たないワイヤー装置で矯正治療 治療後画像
  • 八重歯とクロスバイト 目立たないワイヤー装置で矯正治療 治療後画像
  • 八重歯とクロスバイト 目立たないワイヤー装置で矯正治療 治療後画像
  • 八重歯とクロスバイト 目立たないワイヤー装置で矯正治療 治療後画像
  • 八重歯とクロスバイト 目立たないワイヤー装置で矯正治療 治療後画像
  • 八重歯とクロスバイト 目立たないワイヤー装置で矯正治療 治療後画像

ワイヤー矯正の注意事項(リスク・副作用など)

・治療中は違和感や痛みが起こることがあります。
・症状により、抜歯が必要な場合があります。
・治療中は歯磨きがしにくくなるため、虫歯や歯周病になりやすくなります。
・矯正治療後の保定が不十分だと後戻り(元の位置に戻ろうとする動き)をします。
・自費診療(保険適用外)となります。

その他の注意事項(リスク・副作用など)

・担当歯科医師、歯科衛生士又は医院スタッフから受けた説明、注意事項をよくご確認ください。
・医療を提供するに当たり、適切な説明を行い、患者様の十分な理解を得るよう努めております。

当サイトの内容、テキスト、画像等の無断転載、複製、複写、盗用を固く禁じます。

24時間受付 Web申し込み


無料カウンセリング予約

無料の個別相談(予約制)を実施しております

医院直通 電話予約
03-3231-0777

平日 11:00~20:00 / 土日 10:00~18:00

※ お電話での治療に関するご相談は、ドクターによる対応ができないためお受けできません