転勤でも安心して治療継続 抜歯スペース閉鎖と深い噛み合わせ改善のワイヤー矯正

東京駅前しらゆり歯科

電話でのご予約、お問い合わせ
03-3231-0777

平日11:00~20:00 / 土日10:00~18:00

CASES

ワイヤー矯正の症例

転勤でも安心して治療継続 抜歯スペース閉鎖と深い噛み合わせ改善のワイヤー矯正

治療症例のビフォーアフターと詳細

患者様
20代女性
治療期間
1年6ヶ月
治療回数
10-30回
矯正装置
クリアブラケット
概算治療費
55万円(税込)(※費用は治療当時の料金となります)
担当医
齋藤佑磨

治療動機

転勤により東京へ移られることになり転院先を探されていた患者様です。

治療計画

ワイヤー矯正の途中での急な転勤なうえ、今後2~3年以内に再度転勤になる可能性もあるというご事情でした。
そのため、限られた期間内に効率よく治療を完了するために、「抜歯スペースの確実な閉鎖」「深い噛み合わせ(過蓋咬合)の改善」の2点を主軸とした治療計画を立てました。

治療後について

結果的に1年半で、再度転勤になる前に治療を終えることができました。

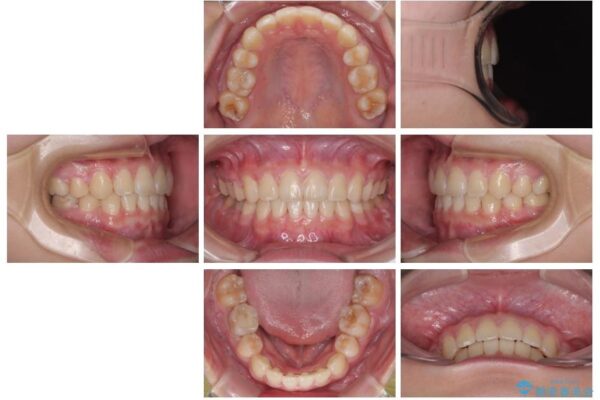
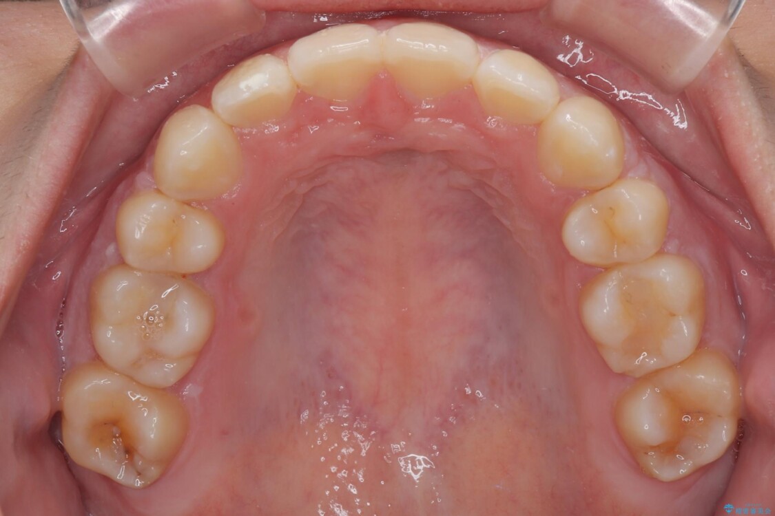
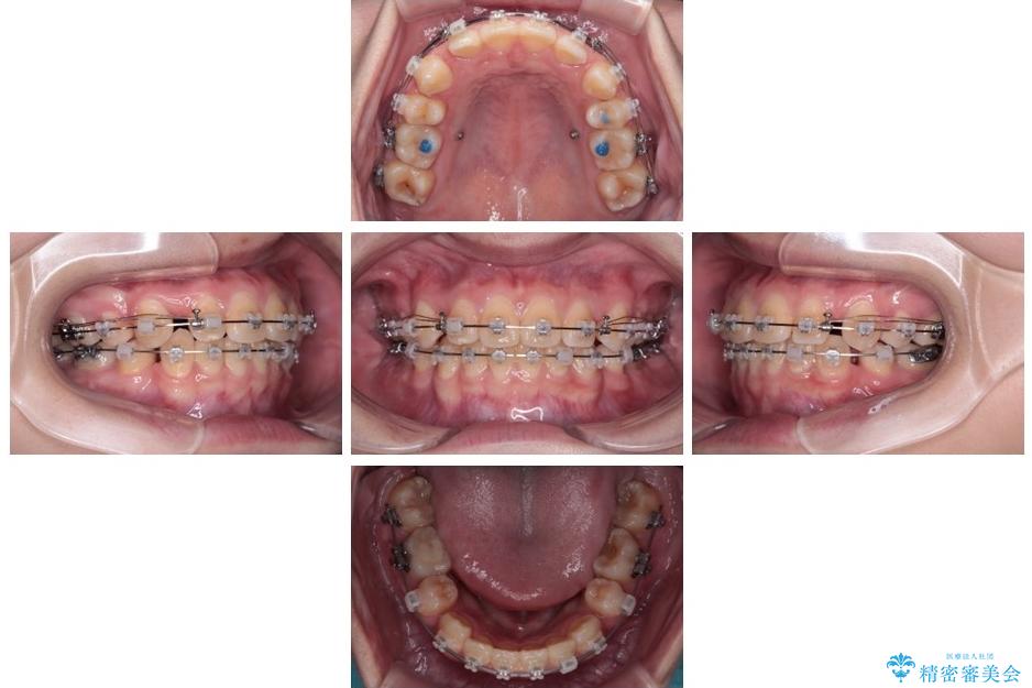
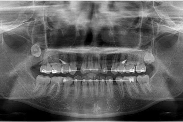
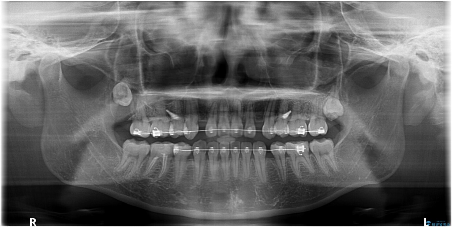
治療前
  • 転勤でも安心して治療継続 抜歯スペース閉鎖と深い噛み合わせ改善のワイヤー矯正 治療前画像
  • 転勤でも安心して治療継続 抜歯スペース閉鎖と深い噛み合わせ改善のワイヤー矯正 治療前画像
  • 転勤でも安心して治療継続 抜歯スペース閉鎖と深い噛み合わせ改善のワイヤー矯正 治療前画像
  • 転勤でも安心して治療継続 抜歯スペース閉鎖と深い噛み合わせ改善のワイヤー矯正 治療前画像
  • 転勤でも安心して治療継続 抜歯スペース閉鎖と深い噛み合わせ改善のワイヤー矯正 治療前画像
  • 転勤でも安心して治療継続 抜歯スペース閉鎖と深い噛み合わせ改善のワイヤー矯正 治療前画像
  • 転勤でも安心して治療継続 抜歯スペース閉鎖と深い噛み合わせ改善のワイヤー矯正 治療前画像
  • 転勤でも安心して治療継続 抜歯スペース閉鎖と深い噛み合わせ改善のワイヤー矯正 治療前画像
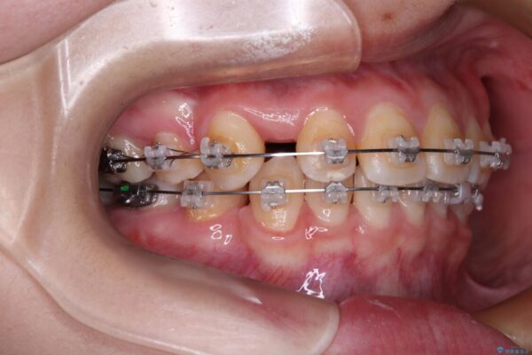
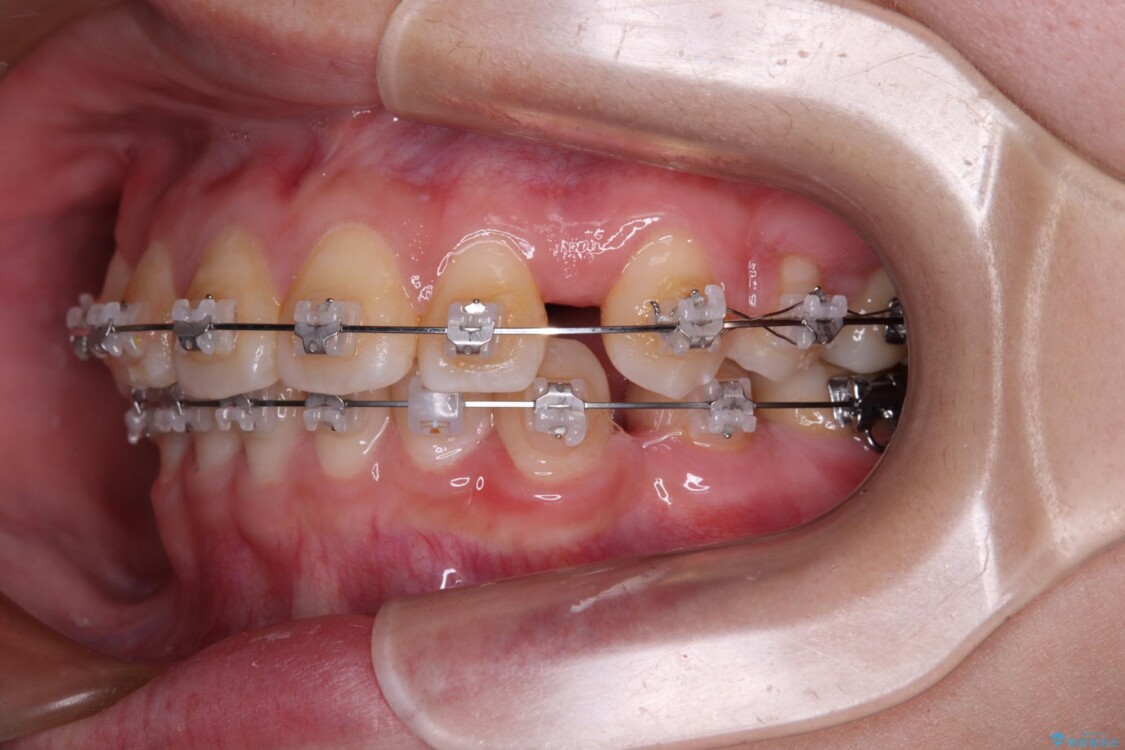
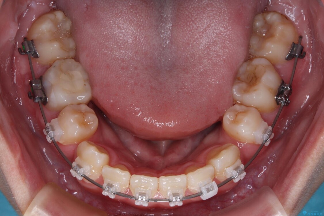
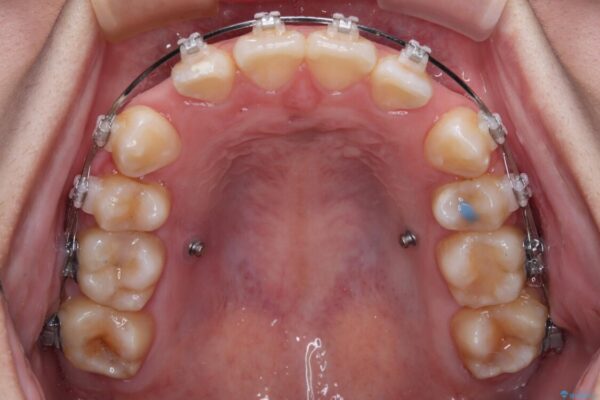
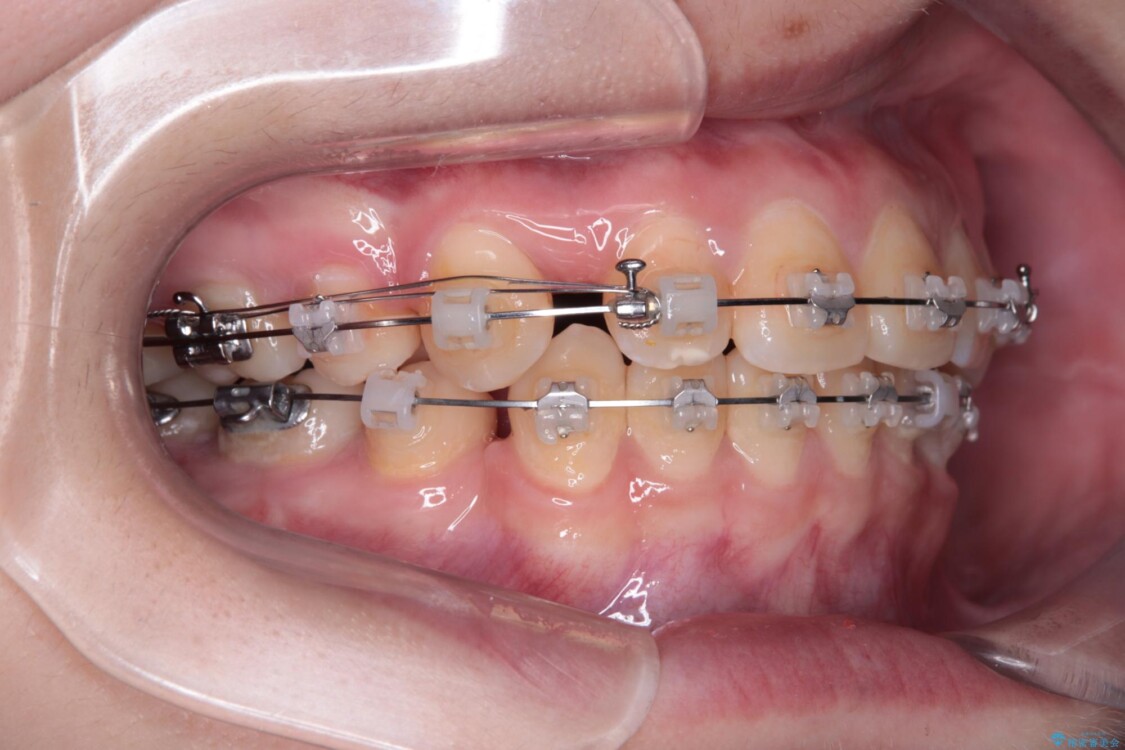
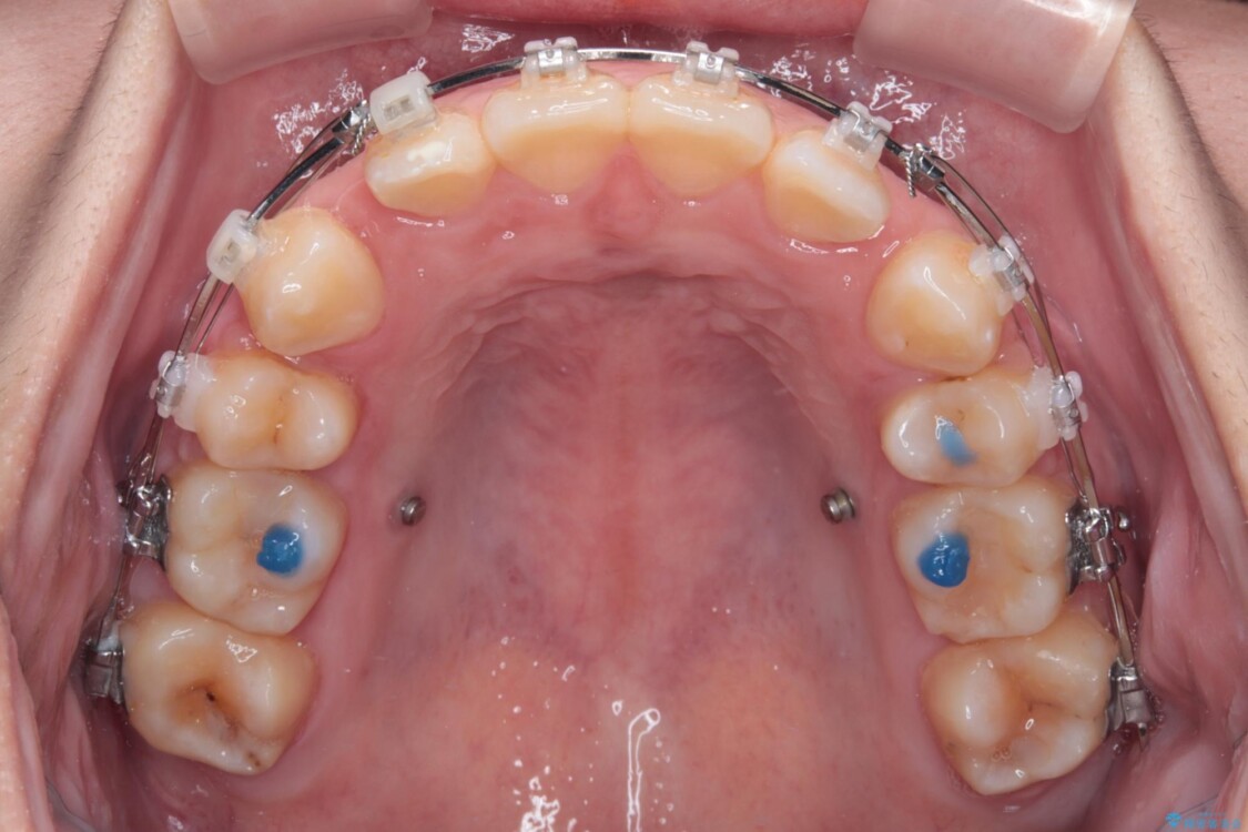
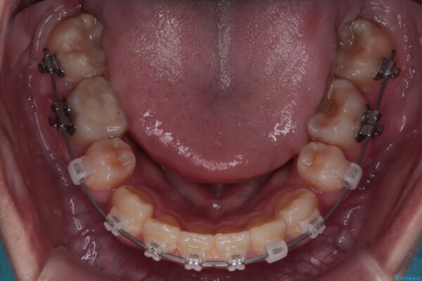
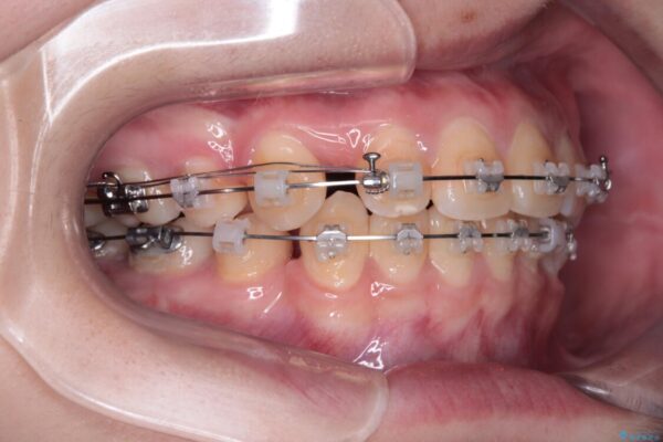
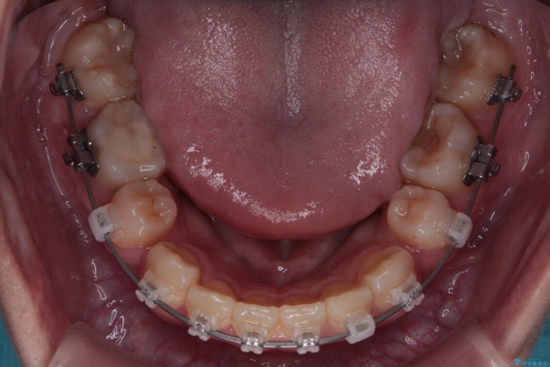
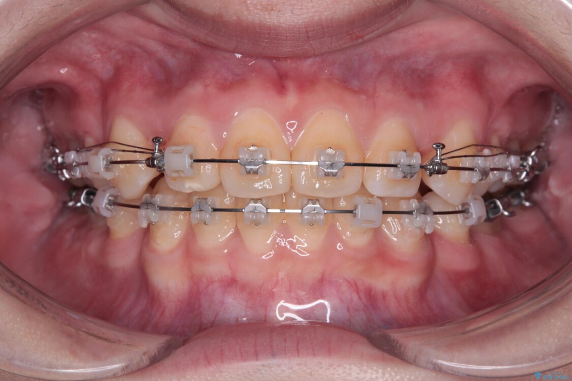
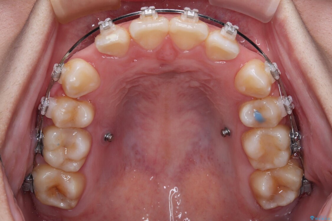
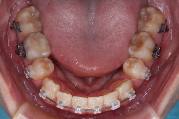
治療途中
  • 転勤でも安心して治療継続 抜歯スペース閉鎖と深い噛み合わせ改善のワイヤー矯正 治療途中画像
  • 転勤でも安心して治療継続 抜歯スペース閉鎖と深い噛み合わせ改善のワイヤー矯正 治療途中画像
  • 転勤でも安心して治療継続 抜歯スペース閉鎖と深い噛み合わせ改善のワイヤー矯正 治療途中画像
  • 転勤でも安心して治療継続 抜歯スペース閉鎖と深い噛み合わせ改善のワイヤー矯正 治療途中画像
  • 転勤でも安心して治療継続 抜歯スペース閉鎖と深い噛み合わせ改善のワイヤー矯正 治療途中画像
  • 転勤でも安心して治療継続 抜歯スペース閉鎖と深い噛み合わせ改善のワイヤー矯正 治療途中画像
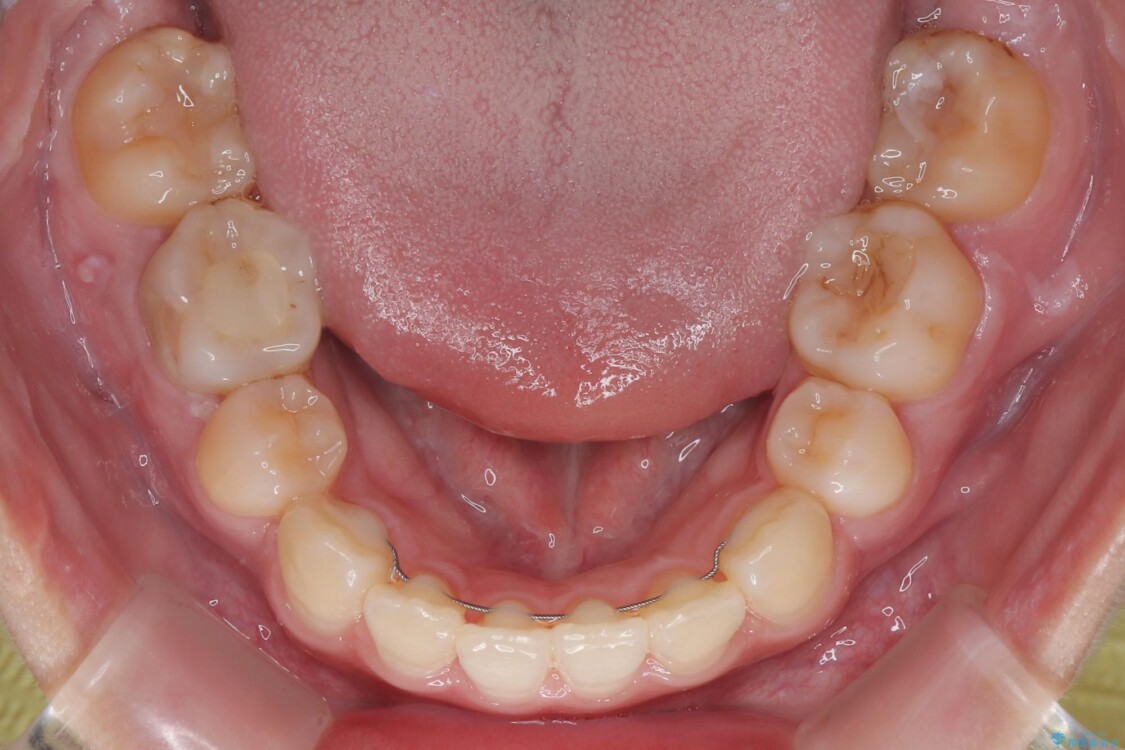
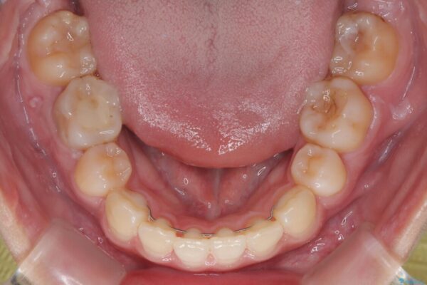
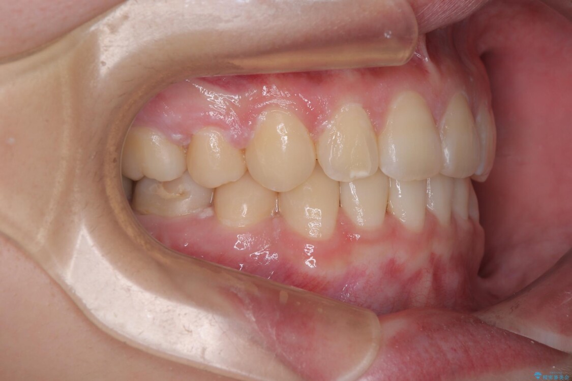
治療後
  • 転勤でも安心して治療継続 抜歯スペース閉鎖と深い噛み合わせ改善のワイヤー矯正 治療後画像
  • 転勤でも安心して治療継続 抜歯スペース閉鎖と深い噛み合わせ改善のワイヤー矯正 治療後画像
  • 転勤でも安心して治療継続 抜歯スペース閉鎖と深い噛み合わせ改善のワイヤー矯正 治療後画像
  • 転勤でも安心して治療継続 抜歯スペース閉鎖と深い噛み合わせ改善のワイヤー矯正 治療後画像
  • 転勤でも安心して治療継続 抜歯スペース閉鎖と深い噛み合わせ改善のワイヤー矯正 治療後画像
  • 転勤でも安心して治療継続 抜歯スペース閉鎖と深い噛み合わせ改善のワイヤー矯正 治療後画像
  • 転勤でも安心して治療継続 抜歯スペース閉鎖と深い噛み合わせ改善のワイヤー矯正 治療後画像
  • 転勤でも安心して治療継続 抜歯スペース閉鎖と深い噛み合わせ改善のワイヤー矯正 治療後画像

ワイヤー矯正の注意事項(リスク・副作用など)

・治療中は違和感や痛みが起こることがあります。
・症状により、抜歯が必要な場合があります。
・治療中は歯磨きがしにくくなるため、虫歯や歯周病になりやすくなります。
・矯正治療後の保定が不十分だと後戻り(元の位置に戻ろうとする動き)をします。
・自費診療(保険適用外)となります。

その他の注意事項(リスク・副作用など)

・担当歯科医師、歯科衛生士又は医院スタッフから受けた説明、注意事項をよくご確認ください。
・医療を提供するに当たり、適切な説明を行い、患者様の十分な理解を得るよう努めております。

当サイトの内容、テキスト、画像等の無断転載、複製、複写、盗用を固く禁じます。

24時間受付 Web申し込み


無料カウンセリング予約

無料の個別相談(予約制)を実施しております

医院直通 電話予約
03-3231-0777

平日 11:00~20:00 / 土日 10:00~18:00

※ お電話での治療に関するご相談は、ドクターによる対応ができないためお受けできません