口元の突出感を改善 受け口傾向の咬み合わせの抜歯矯正

東京駅前しらゆり歯科

電話でのご予約、お問い合わせ
03-3231-0777

平日11:00~20:00 / 土日10:00~18:00

CASES

ワイヤー矯正の症例

口元の突出感を改善 受け口傾向の咬み合わせの抜歯矯正

治療症例のビフォーアフターと詳細

患者様
20代男性
治療期間
3年6ヶ月
治療回数
10-30回
矯正装置
メタルブラケット
概算治療費
100万円(税込)(※費用は治療当時の料金となります)
担当医
藤巻太一朗

治療動機

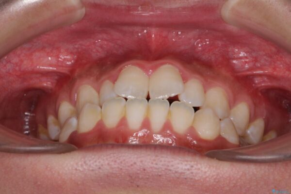
受け口傾向の咬み合わせと口元の突出感を気にして来院された患者様です。

治療計画

受け口傾向特有の狭い上顎歯列であったため、歯列の拡大を補助装置で行い、下顎歯列全体を後方に移動させることとしました。
奥歯の咬み合わせを改善させた後、上下左右の小臼歯(下顎は残存乳歯)を計4本抜歯し、ワイヤー装置にて口元の突出感を改善しながら咬み合わせを整えることとしました。

治療後について

下顎の残存乳歯は小臼歯よりも大きいため、スペースを閉じるために長い期間を必要としますが、予想通りに長期間を要することとなりました。
受け口傾向の方の抜歯矯正は、下顎前歯が舌側に倒れることで歯肉退縮を起こしやすいことが知られていますが、ワイヤーに工夫をすることでリスクを軽減させています。

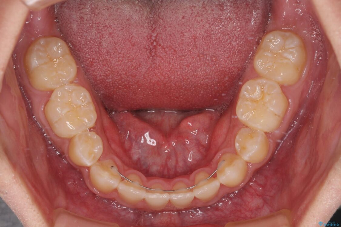
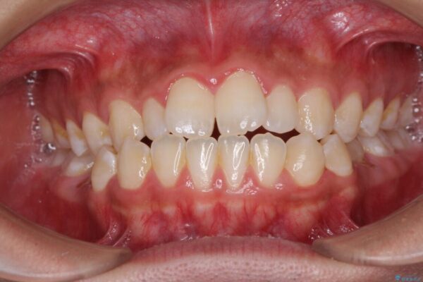
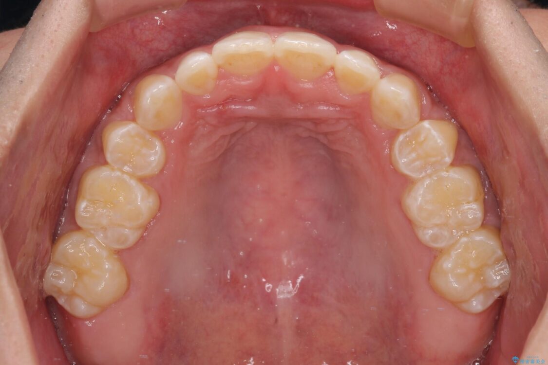
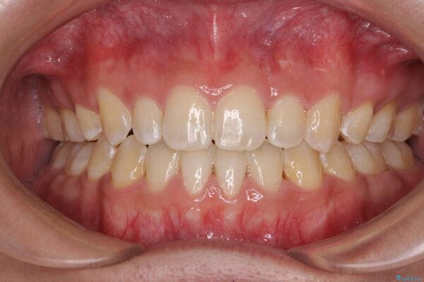
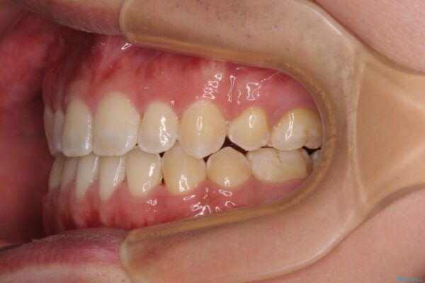
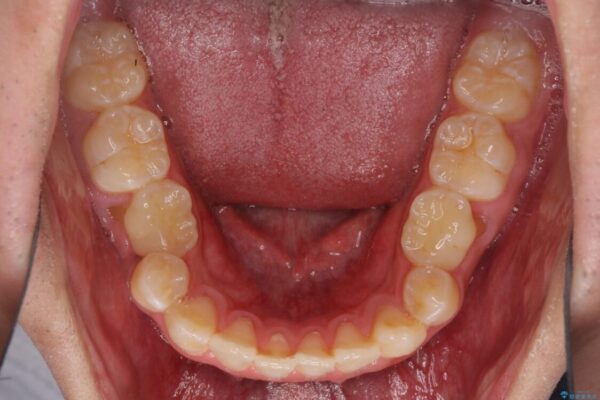
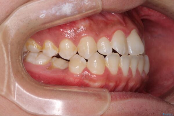
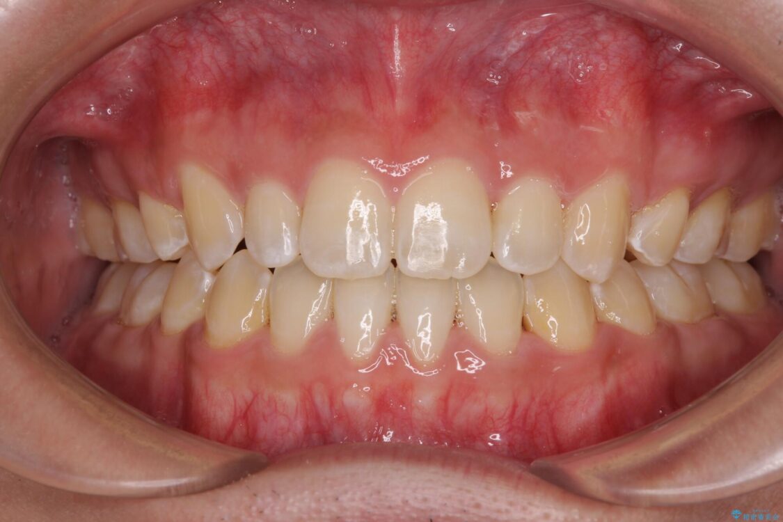
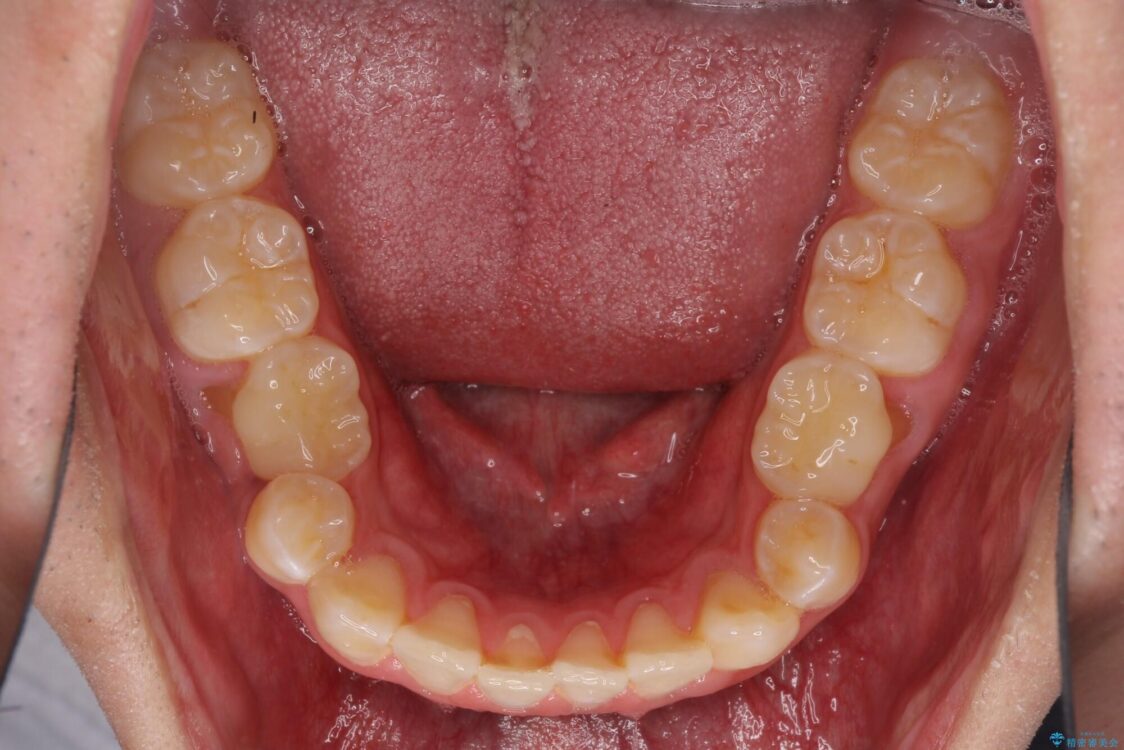
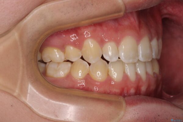
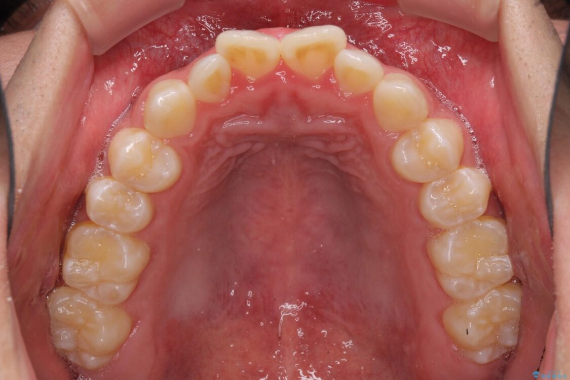
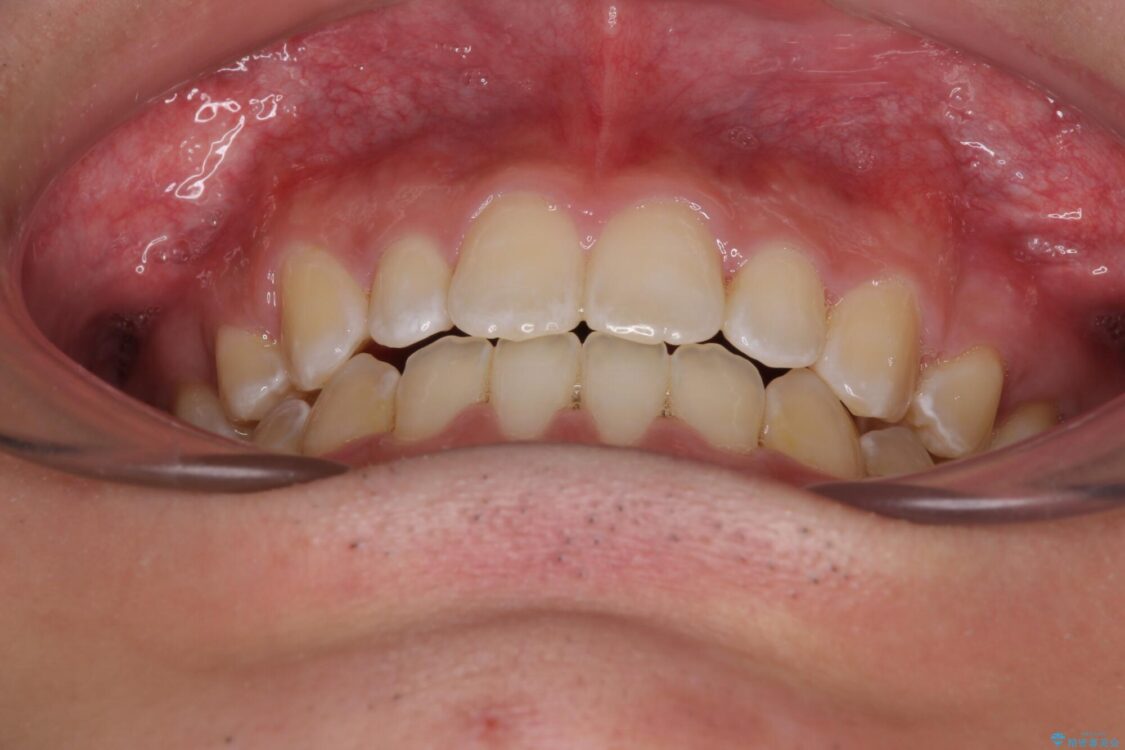
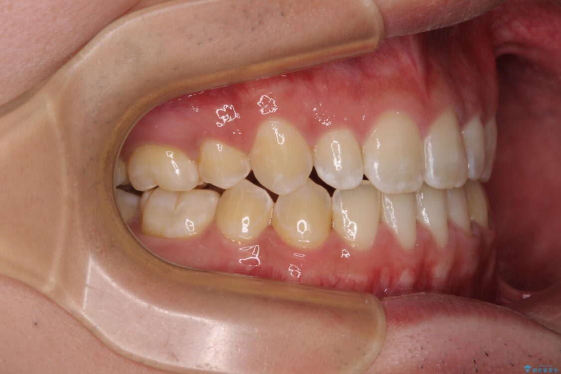
治療前
  • 口元の突出感を改善 受け口傾向の咬み合わせの抜歯矯正 治療前画像
  • 口元の突出感を改善 受け口傾向の咬み合わせの抜歯矯正 治療前画像
  • 口元の突出感を改善 受け口傾向の咬み合わせの抜歯矯正 治療前画像
  • 口元の突出感を改善 受け口傾向の咬み合わせの抜歯矯正 治療前画像
  • 口元の突出感を改善 受け口傾向の咬み合わせの抜歯矯正 治療前画像
  • 口元の突出感を改善 受け口傾向の咬み合わせの抜歯矯正 治療前画像
  • 口元の突出感を改善 受け口傾向の咬み合わせの抜歯矯正 治療前画像
  • 口元の突出感を改善 受け口傾向の咬み合わせの抜歯矯正 治療前画像
  • 口元の突出感を改善 受け口傾向の咬み合わせの抜歯矯正 治療前画像
  • 口元の突出感を改善 受け口傾向の咬み合わせの抜歯矯正 治療前画像
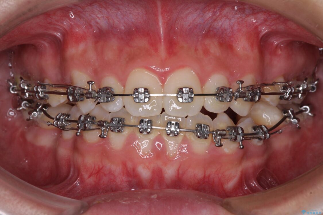
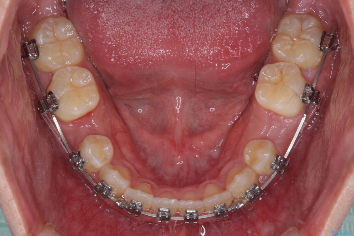
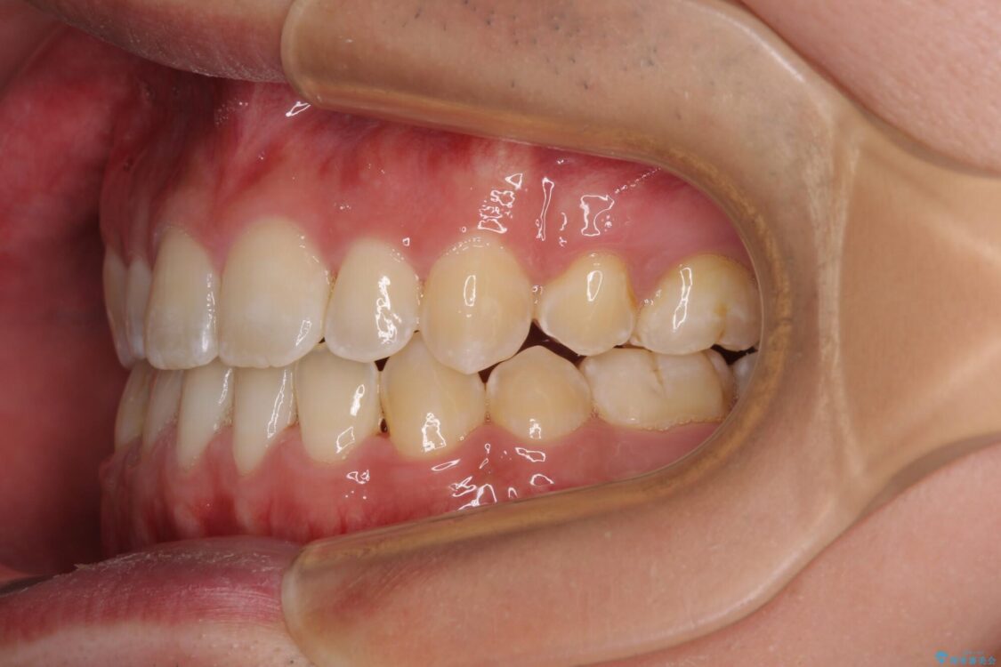
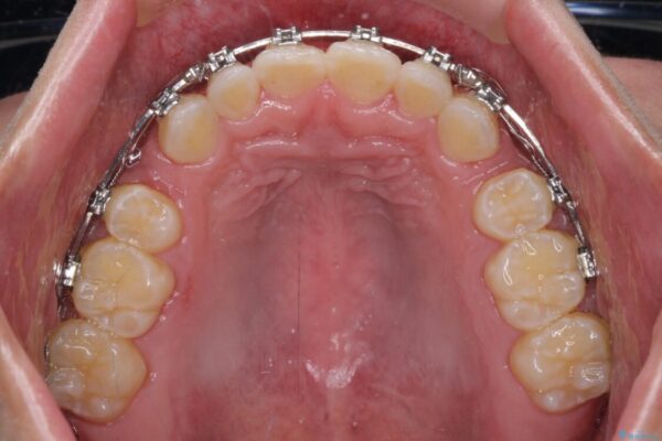
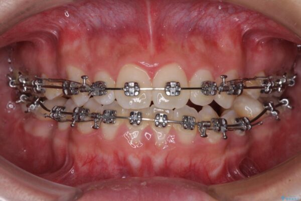
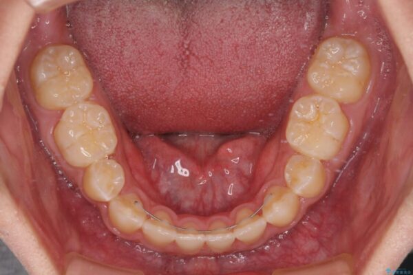
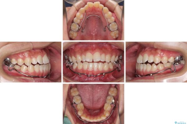
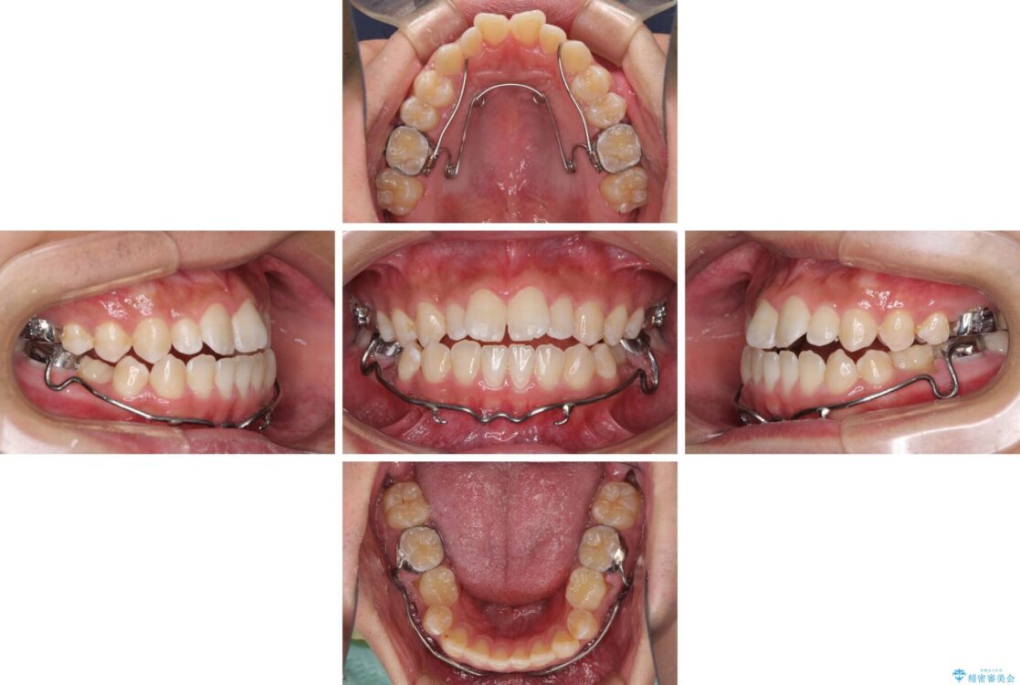
治療途中
  • 口元の突出感を改善 受け口傾向の咬み合わせの抜歯矯正 治療途中画像
  • 口元の突出感を改善 受け口傾向の咬み合わせの抜歯矯正 治療途中画像
  • 口元の突出感を改善 受け口傾向の咬み合わせの抜歯矯正 治療途中画像
  • 口元の突出感を改善 受け口傾向の咬み合わせの抜歯矯正 治療途中画像
  • 口元の突出感を改善 受け口傾向の咬み合わせの抜歯矯正 治療途中画像
  • 口元の突出感を改善 受け口傾向の咬み合わせの抜歯矯正 治療途中画像
  • 口元の突出感を改善 受け口傾向の咬み合わせの抜歯矯正 治療途中画像
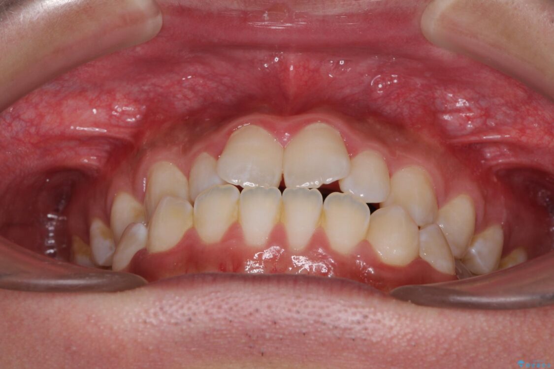
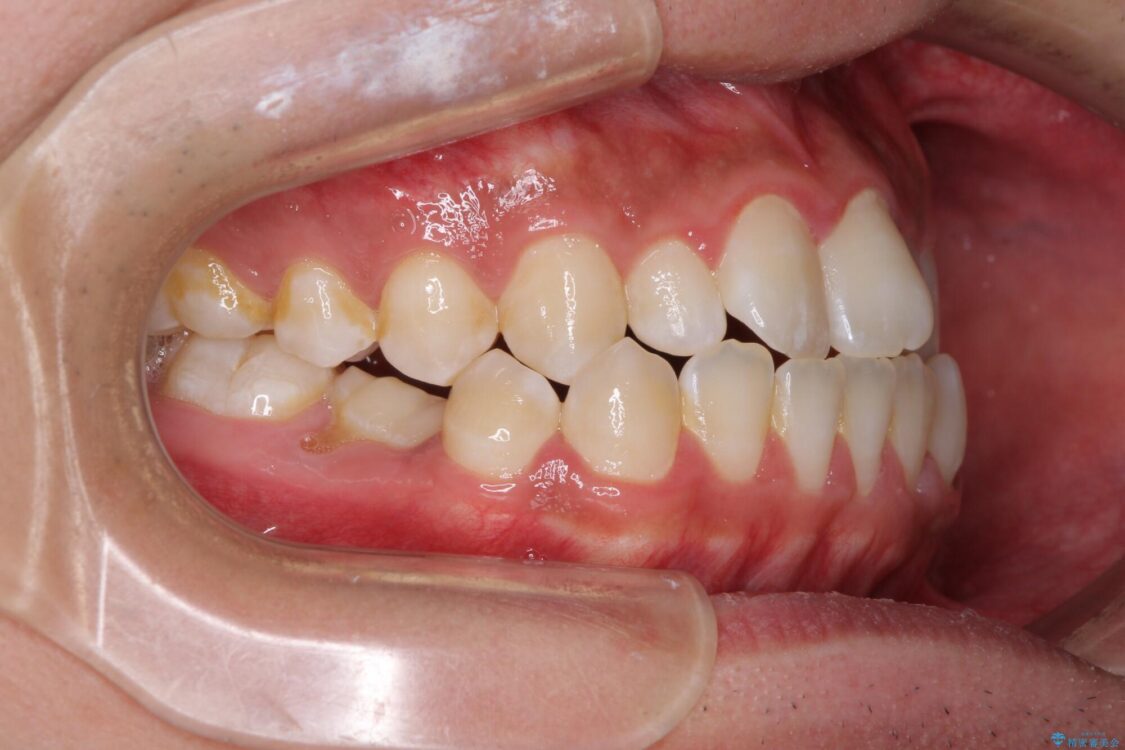
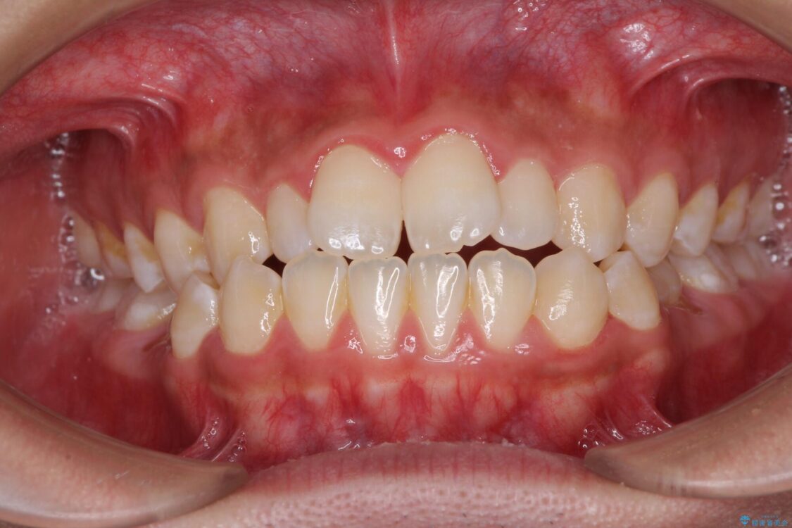
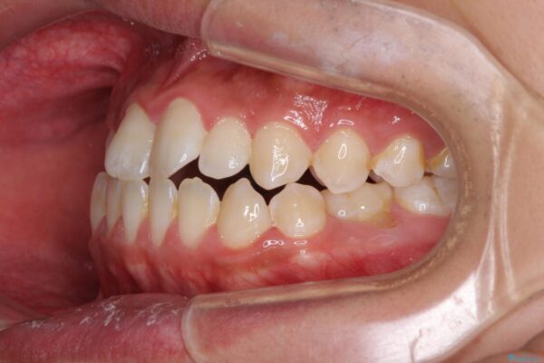
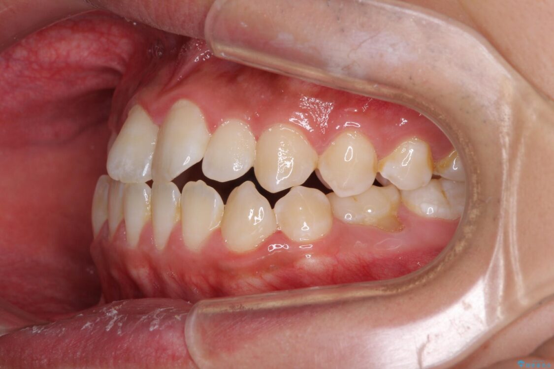
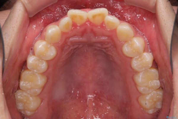
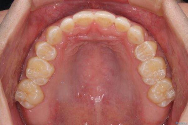
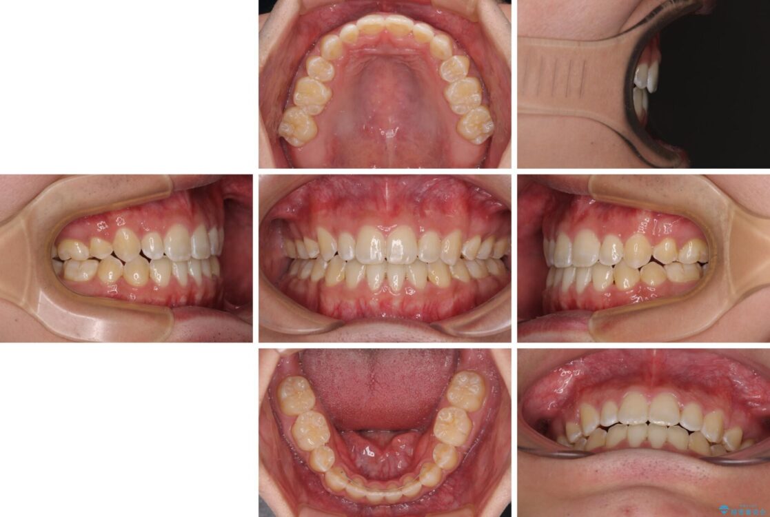
治療後
  • 口元の突出感を改善 受け口傾向の咬み合わせの抜歯矯正 治療後画像
  • 口元の突出感を改善 受け口傾向の咬み合わせの抜歯矯正 治療後画像
  • 口元の突出感を改善 受け口傾向の咬み合わせの抜歯矯正 治療後画像
  • 口元の突出感を改善 受け口傾向の咬み合わせの抜歯矯正 治療後画像
  • 口元の突出感を改善 受け口傾向の咬み合わせの抜歯矯正 治療後画像
  • 口元の突出感を改善 受け口傾向の咬み合わせの抜歯矯正 治療後画像
  • 口元の突出感を改善 受け口傾向の咬み合わせの抜歯矯正 治療後画像
  • 口元の突出感を改善 受け口傾向の咬み合わせの抜歯矯正 治療後画像
  • 口元の突出感を改善 受け口傾向の咬み合わせの抜歯矯正 治療後画像
  • 口元の突出感を改善 受け口傾向の咬み合わせの抜歯矯正 治療後画像

ワイヤー矯正の注意事項(リスク・副作用など)

・治療中は違和感や痛みが起こることがあります。
・症状により、抜歯が必要な場合があります。
・治療中は歯磨きがしにくくなるため、虫歯や歯周病になりやすくなります。
・矯正治療後の保定が不十分だと後戻り(元の位置に戻ろうとする動き)をします。
・自費診療(保険適用外)となります。

その他の注意事項(リスク・副作用など)

・担当歯科医師、歯科衛生士又は医院スタッフから受けた説明、注意事項をよくご確認ください。
・医療を提供するに当たり、適切な説明を行い、患者様の十分な理解を得るよう努めております。

当サイトの内容、テキスト、画像等の無断転載、複製、複写、盗用を固く禁じます。

24時間受付 Web申し込み


無料カウンセリング予約

無料の個別相談(予約制)を実施しております

医院直通 電話予約
03-3231-0777

平日 11:00~20:00 / 土日 10:00~18:00

※ お電話での治療に関するご相談は、ドクターによる対応ができないためお受けできません