【モニター】カリエール・ディスタライザーを併用した八重歯のインビザライン矯正

東京駅前しらゆり歯科

電話でのご予約、お問い合わせ
03-3231-0777

平日11:00~20:00 / 土日10:00~18:00

CASES

インビザライン(マウスピース矯正)の症例

【モニター】カリエール・ディスタライザーを併用した八重歯のインビザライン矯正

治療症例のビフォーアフターと詳細

患者様
30代女性
治療期間
1年8ヶ月
治療回数
10-30回
矯正装置
インビザライン
概算治療費
100万円(税込)(※費用は治療当時の料金となります)
担当医
藤巻太一朗

治療動機

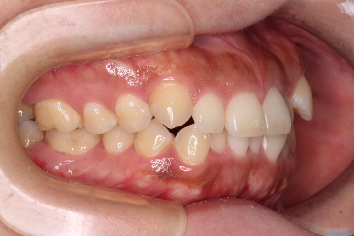
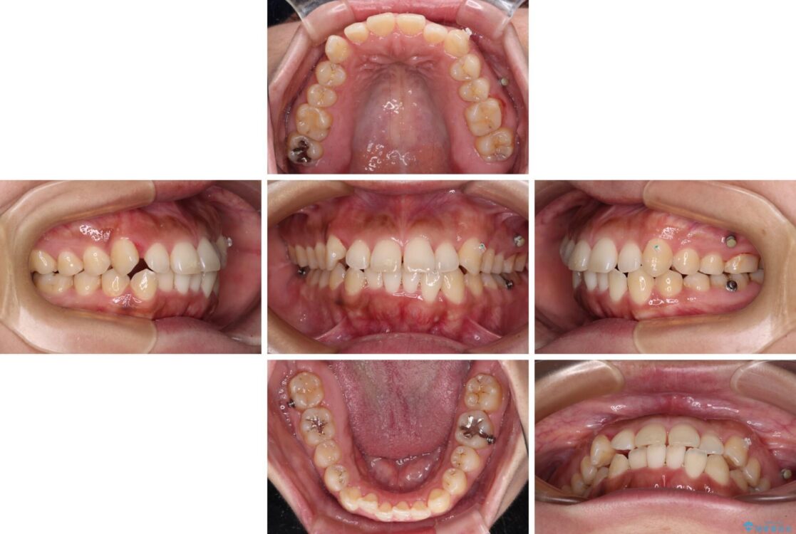
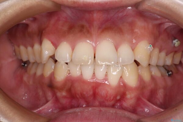
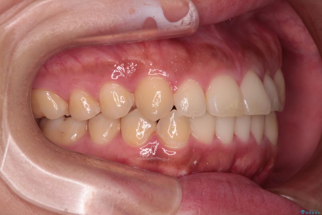
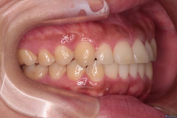
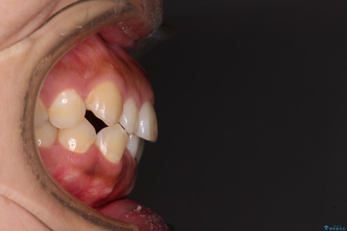
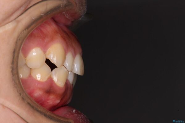
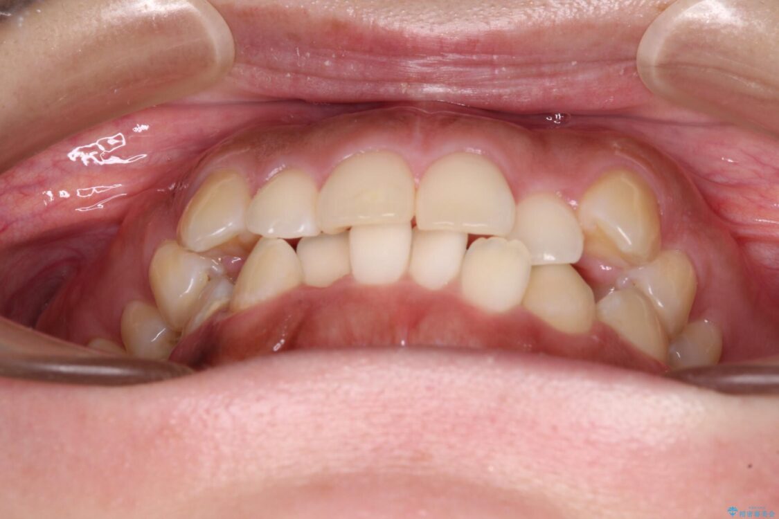
前歯の叢生と八重歯を気にして来院された患者様です。

治療計画

目立たない装置を希望とのことで、インビザラインにて矯正治療を行うこととしました。
インビザライン単体で改善することも可能ですが、八重歯とその後方にある歯列を確実移動させないと、上下正中がずれてしまう可能性があります。
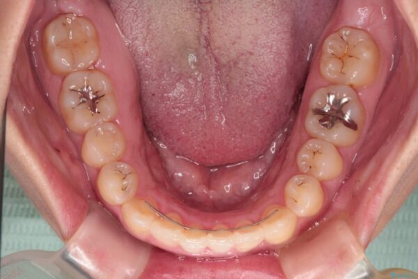
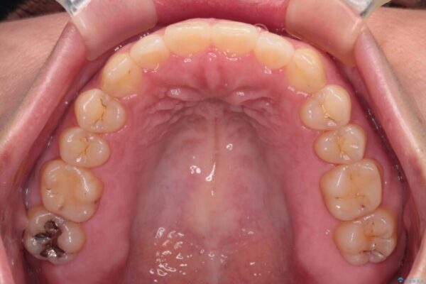
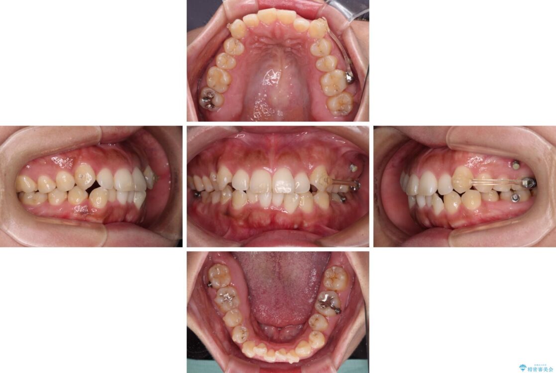
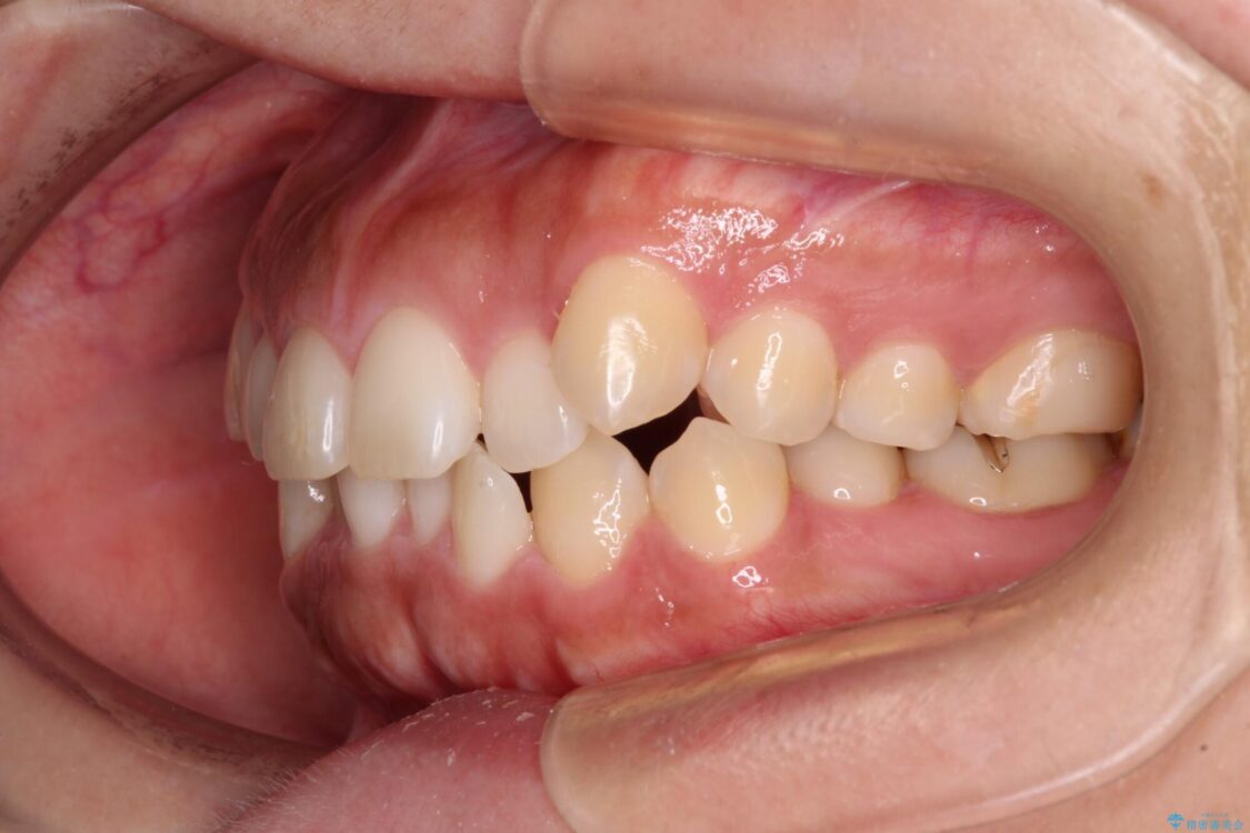
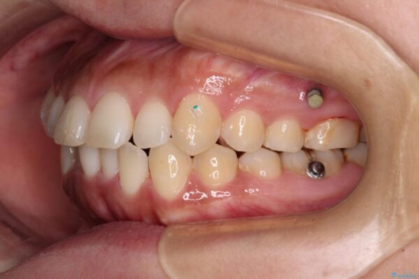
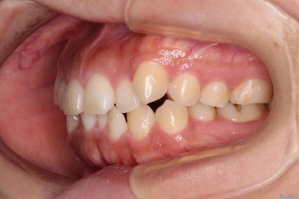
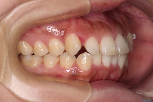
インビザライン単体での治療ではなく、カリエール・ディスタライザーという補助装置を併用して、より確実性を上げることとしました。
補助装置で八重歯を解消しながら、並行してインビザラインで歯列を整えることとしました。

治療後について

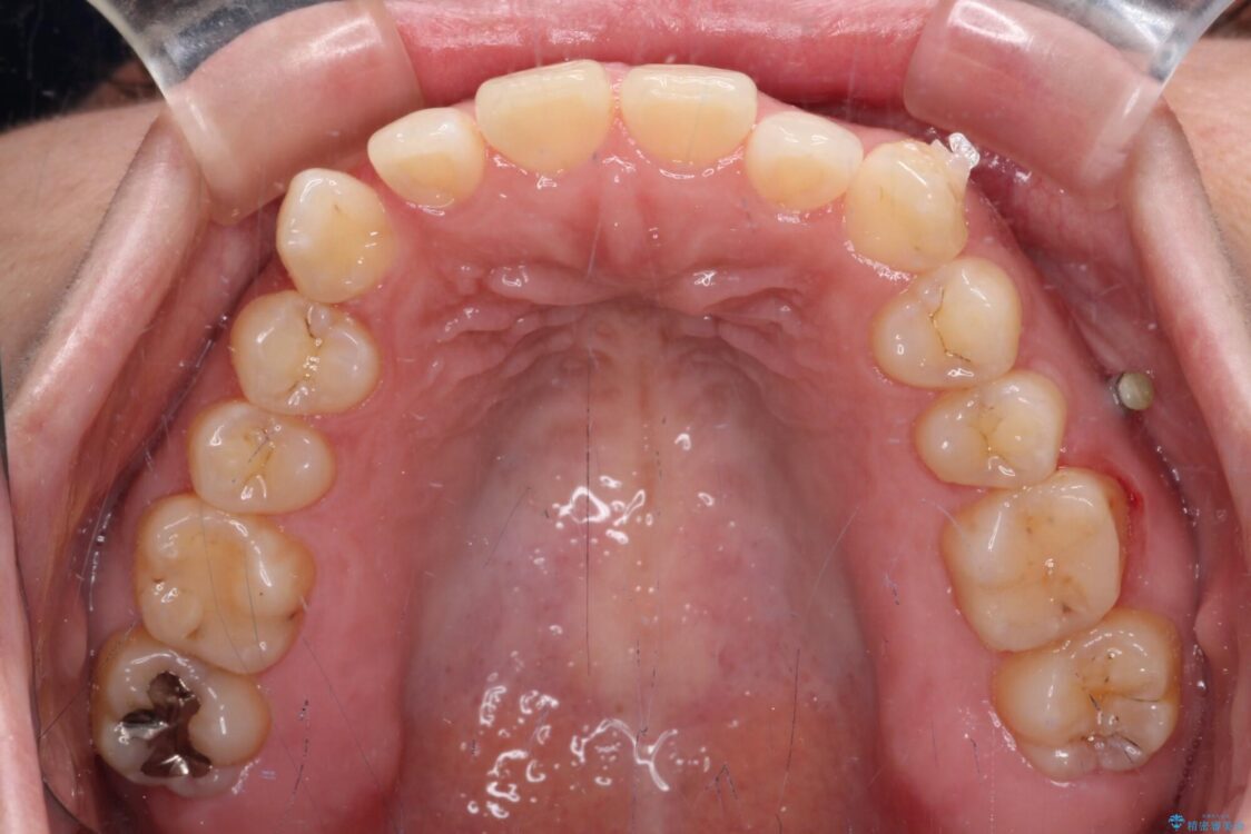
カリエールディスタライザーを併用したことで、すっきりとした口元になり、上下の正中を合わせることができました。

※顔写真掲載にあたり、患者様の了解を得ております。

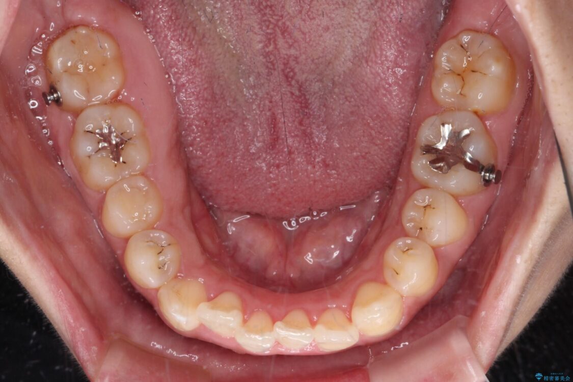
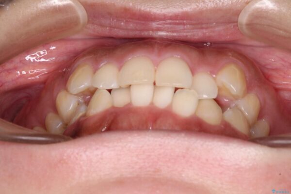
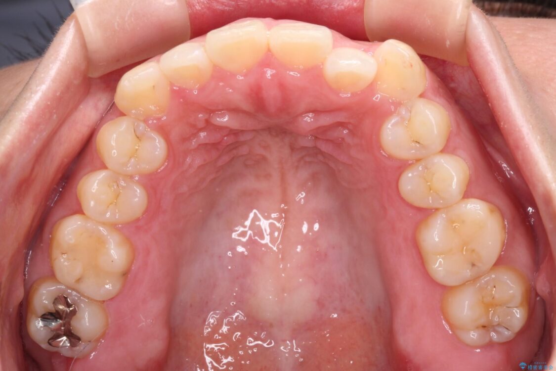
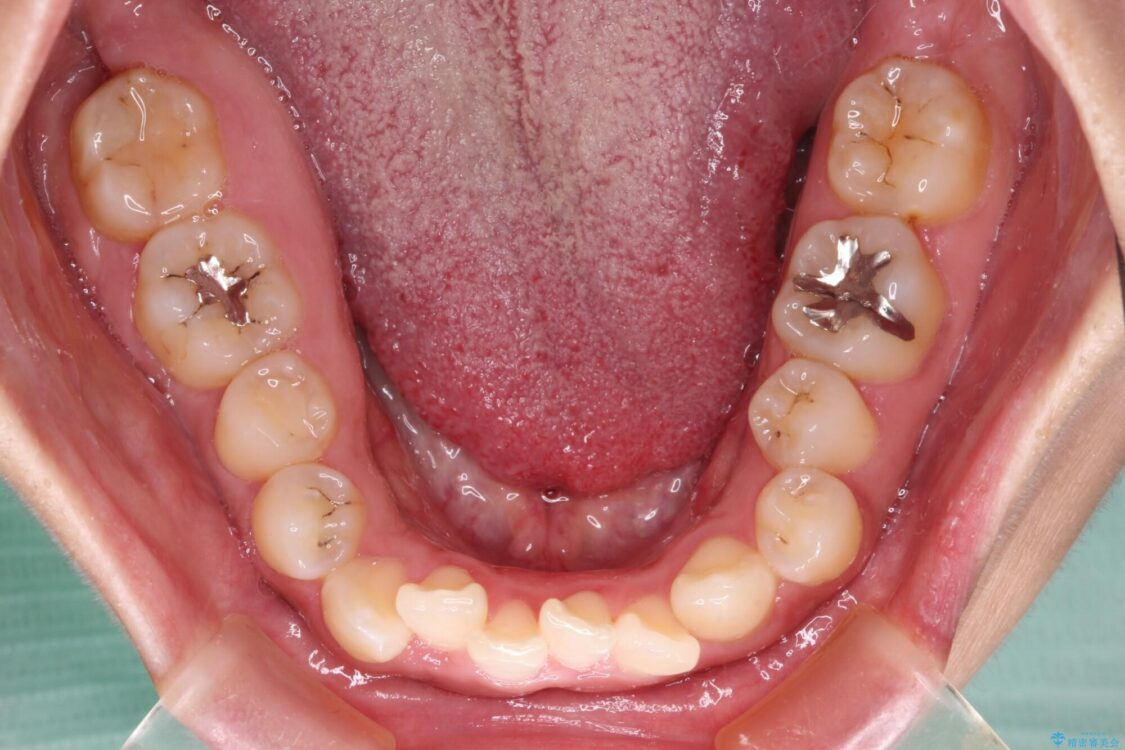
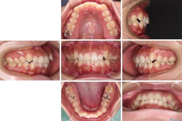
治療前
  • 【モニター】カリエール・ディスタライザーを併用した八重歯のインビザライン矯正 治療前画像
  • 【モニター】カリエール・ディスタライザーを併用した八重歯のインビザライン矯正 治療前画像
  • 【モニター】カリエール・ディスタライザーを併用した八重歯のインビザライン矯正 治療前画像
  • 【モニター】カリエール・ディスタライザーを併用した八重歯のインビザライン矯正 治療前画像
  • 【モニター】カリエール・ディスタライザーを併用した八重歯のインビザライン矯正 治療前画像
  • 【モニター】カリエール・ディスタライザーを併用した八重歯のインビザライン矯正 治療前画像
  • 【モニター】カリエール・ディスタライザーを併用した八重歯のインビザライン矯正 治療前画像
  • 【モニター】カリエール・ディスタライザーを併用した八重歯のインビザライン矯正 治療前画像
  • 【モニター】カリエール・ディスタライザーを併用した八重歯のインビザライン矯正 治療前画像
  • 【モニター】カリエール・ディスタライザーを併用した八重歯のインビザライン矯正 治療前画像
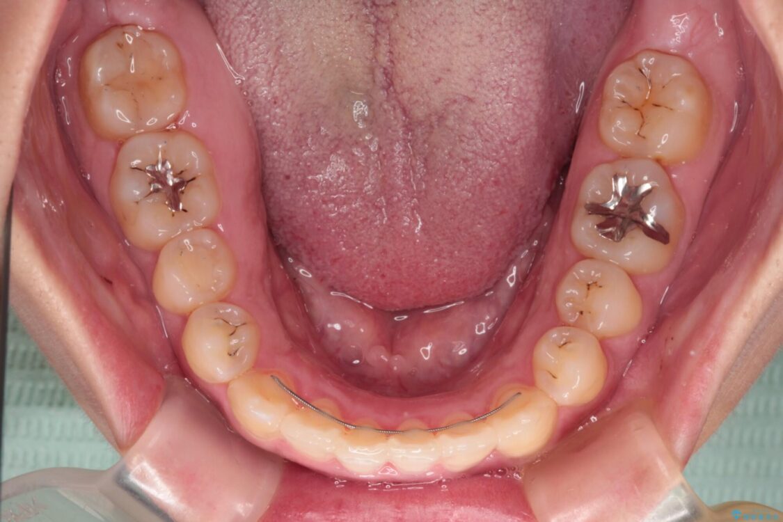
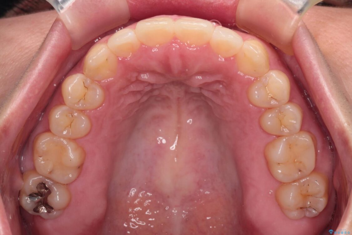
治療途中
  • 【モニター】カリエール・ディスタライザーを併用した八重歯のインビザライン矯正 治療途中画像
  • 【モニター】カリエール・ディスタライザーを併用した八重歯のインビザライン矯正 治療途中画像
  • 【モニター】カリエール・ディスタライザーを併用した八重歯のインビザライン矯正 治療途中画像
  • 【モニター】カリエール・ディスタライザーを併用した八重歯のインビザライン矯正 治療途中画像
  • 【モニター】カリエール・ディスタライザーを併用した八重歯のインビザライン矯正 治療途中画像
  • 【モニター】カリエール・ディスタライザーを併用した八重歯のインビザライン矯正 治療途中画像
  • 【モニター】カリエール・ディスタライザーを併用した八重歯のインビザライン矯正 治療途中画像
  • 【モニター】カリエール・ディスタライザーを併用した八重歯のインビザライン矯正 治療途中画像
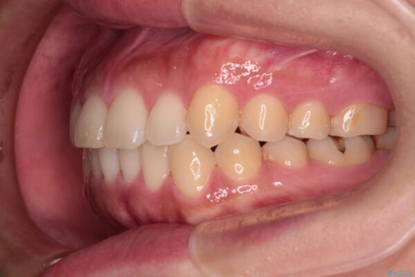
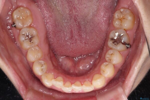
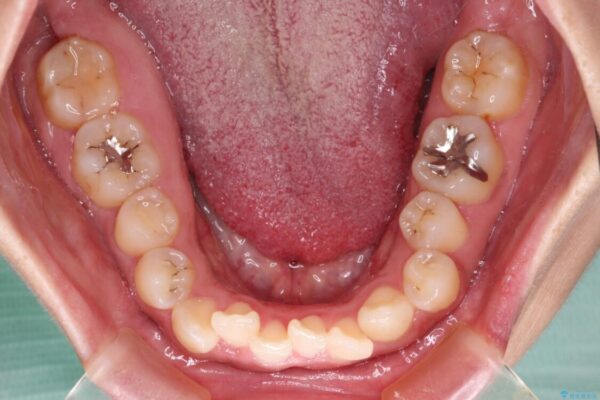
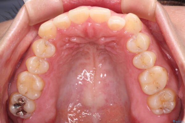
治療後
  • 【モニター】カリエール・ディスタライザーを併用した八重歯のインビザライン矯正 治療後画像
  • 【モニター】カリエール・ディスタライザーを併用した八重歯のインビザライン矯正 治療後画像
  • 【モニター】カリエール・ディスタライザーを併用した八重歯のインビザライン矯正 治療後画像
  • 【モニター】カリエール・ディスタライザーを併用した八重歯のインビザライン矯正 治療後画像
  • 【モニター】カリエール・ディスタライザーを併用した八重歯のインビザライン矯正 治療後画像
  • 【モニター】カリエール・ディスタライザーを併用した八重歯のインビザライン矯正 治療後画像
  • 【モニター】カリエール・ディスタライザーを併用した八重歯のインビザライン矯正 治療後画像
  • 【モニター】カリエール・ディスタライザーを併用した八重歯のインビザライン矯正 治療後画像
  • 【モニター】カリエール・ディスタライザーを併用した八重歯のインビザライン矯正 治療後画像
  • 【モニター】カリエール・ディスタライザーを併用した八重歯のインビザライン矯正 治療後画像

マウスピース矯正の注意事項(リスク・副作用など)

・口腔内・歯並びの状態によっては対応できない場合があります。
・マウスピース型矯正装置の長時間装着が必須です。
・治療計画通りに進めるためには、患者様の意志が重要になります。
・矯正治療後の保定が不十分だと後戻り(元の位置に戻ろうとする動き)をします。
・自費診療(保険適用外治療)となります。
・※薬機法対象外の矯正歯科装置のため医薬品副作用被害救済制度の対象外となる場合があります。

その他の注意事項(リスク・副作用など)

・担当歯科医師、歯科衛生士又は医院スタッフから受けた説明、注意事項をよくご確認ください。
・医療を提供するに当たり、適切な説明を行い、患者様の十分な理解を得るよう努めております。

当サイトの内容、テキスト、画像等の無断転載、複製、複写、盗用を固く禁じます。

24時間受付 Web申し込み


無料カウンセリング予約

無料の個別相談(予約制)を実施しております

医院直通 電話予約
03-3231-0777

平日 11:00~20:00 / 土日 10:00~18:00

※ お電話での治療に関するご相談は、ドクターによる対応ができないためお受けできません