口元の突出感を改善!目立ちにくいワイヤー矯正で自信を持てる自然な横顔に

東京駅前しらゆり歯科

電話でのご予約、お問い合わせ
03-3231-0777

平日11:00~20:00 / 土日10:00~18:00

CASES

ワイヤー矯正の症例

口元の突出感を改善!目立ちにくいワイヤー矯正で自信を持てる自然な横顔に

治療症例のビフォーアフターと詳細

患者様
20代男性
治療期間
1年11ヶ月
治療回数
10-30回
矯正装置
審美装置
概算治療費
105万円(税込)(※費用は治療当時の料金となります)
担当医
齋藤佑磨

治療動機

「横から見ると唇が前に出て見えるのが気になる…」 「マスクを外すのが恥ずかしい…」 そんな口元の突出感に悩まれてご来院された患者様。

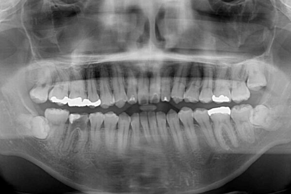
治療計画

精密検査の結果、上下左右の小臼歯4本を抜歯し、そのスペースに前歯を後方へ移動させる矯正治療をご提案しました。
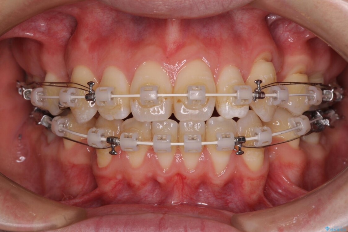
装置は、透明感のあるクリアブラケットとホワイトコーティングされたワイヤーを使用した、目立ちにくい審美装置を選択。
周囲に気づかれにくく、日常生活にも自然に溶け込みます。

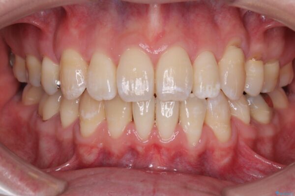
治療後について

治療期間は約2年。
少しずつ前歯を後ろに下げていくことで、横顔のラインが整い、口元の“出っ張り感”が解消。
治療後には「自然に笑えるようになった」と嬉しいお声をいただきました。

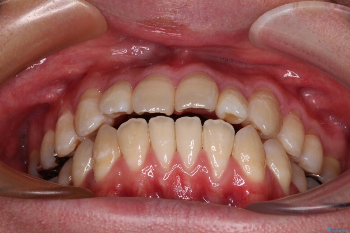
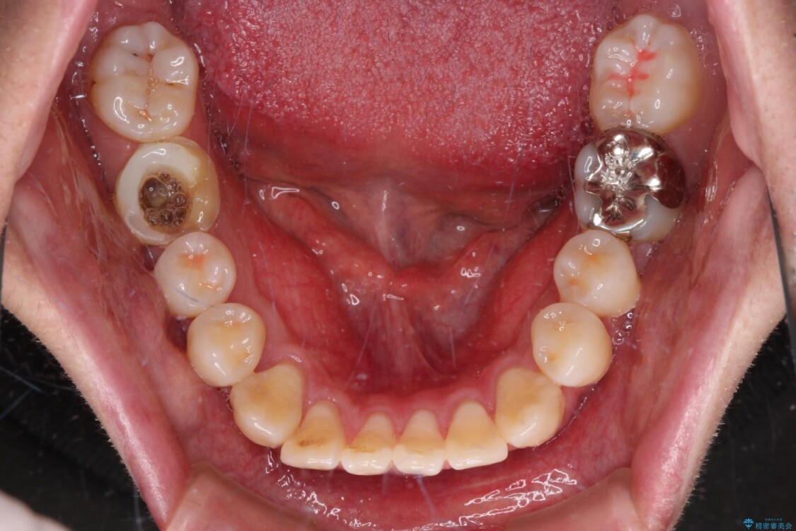
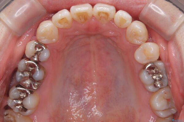
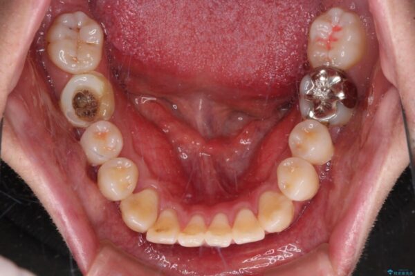
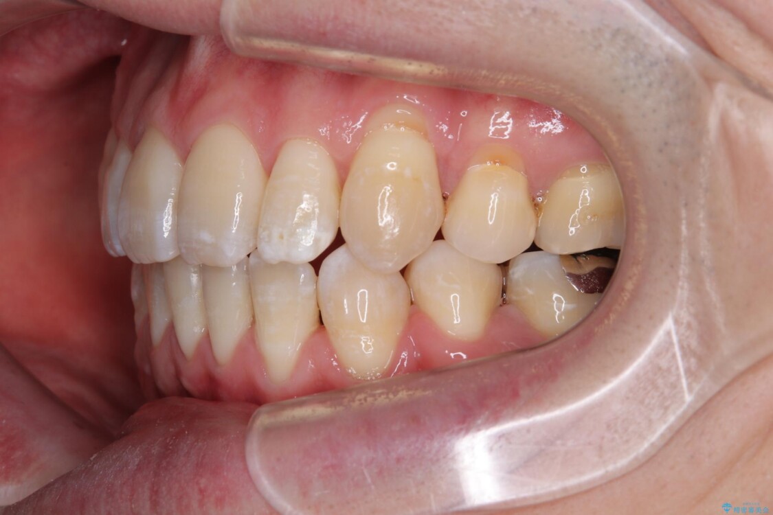
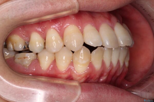
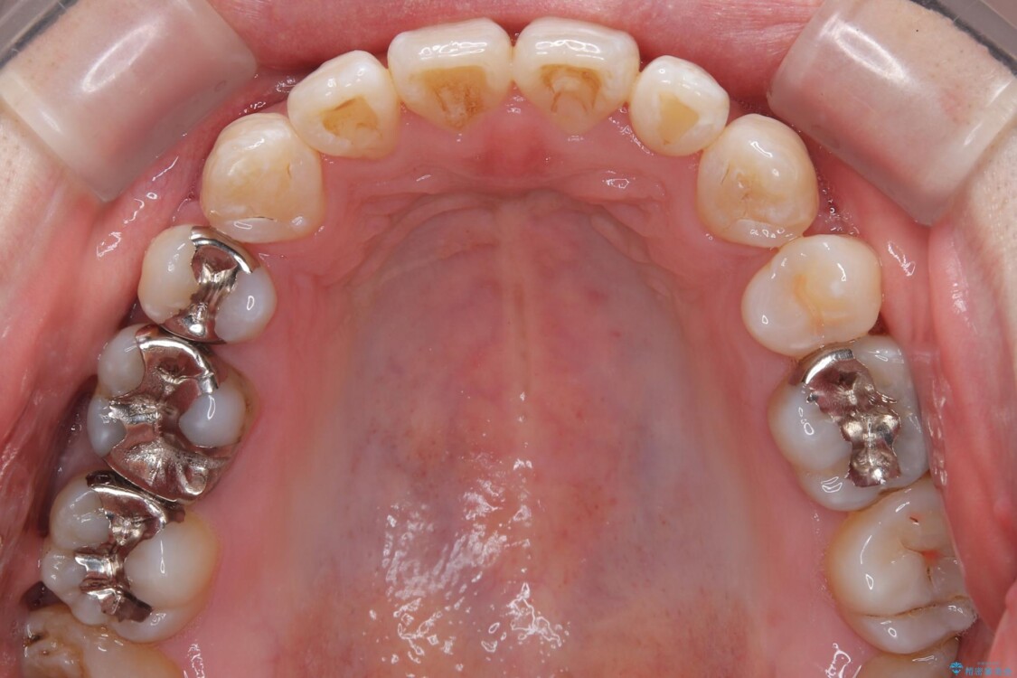
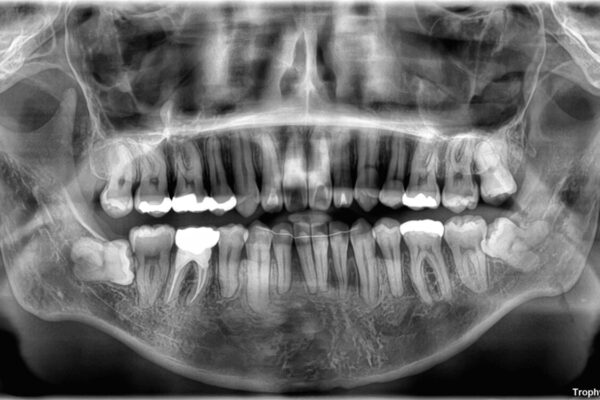
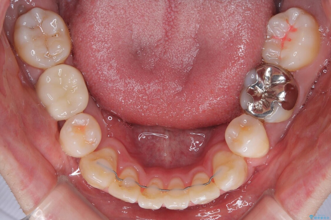
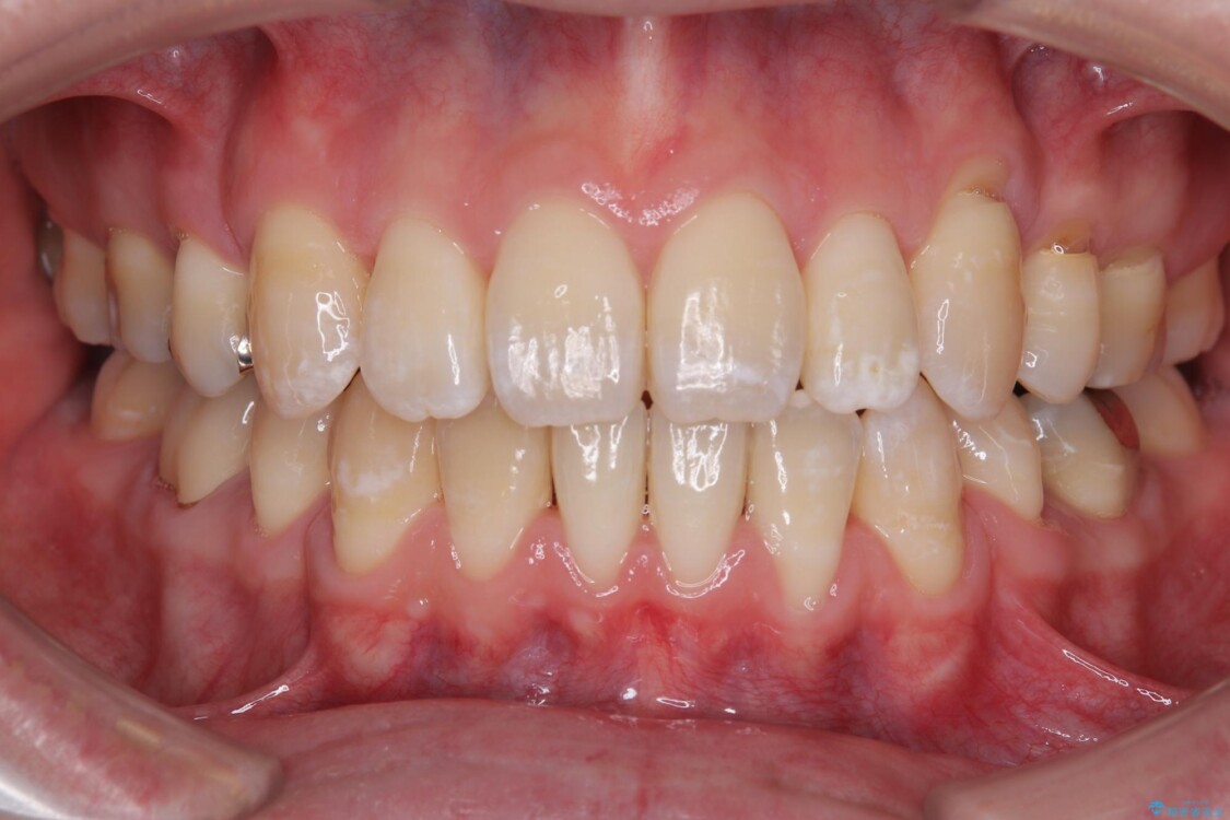
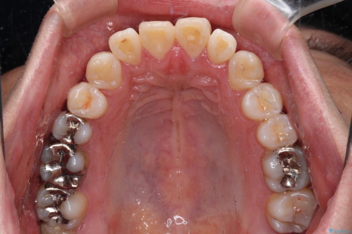
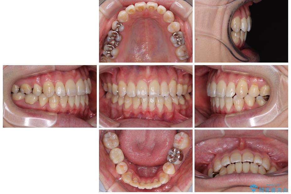
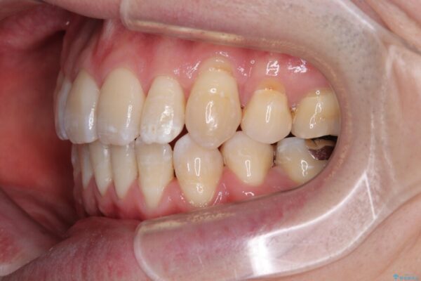
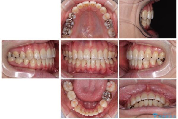
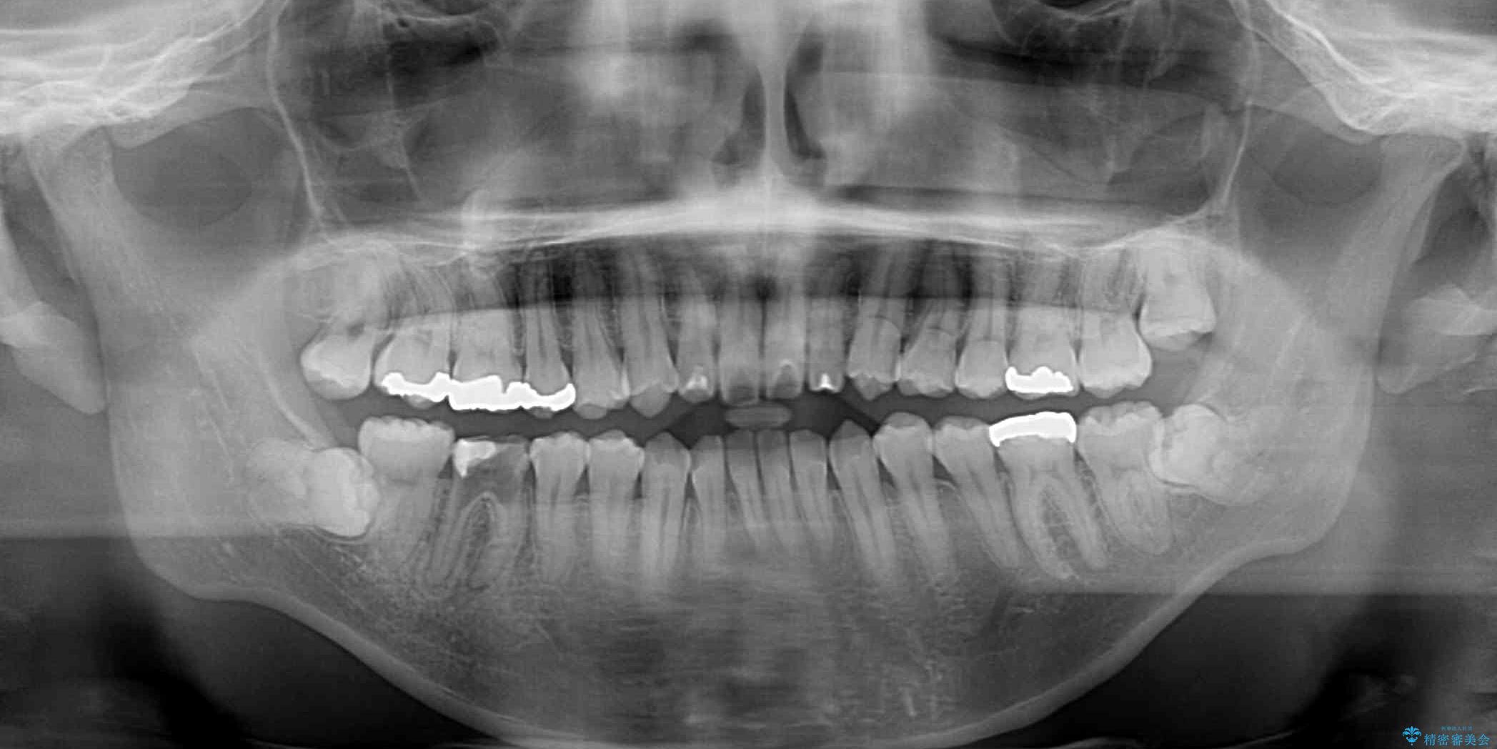
治療前
  • 口元の突出感を改善!目立ちにくいワイヤー矯正で自信を持てる自然な横顔に 治療前画像
  • 口元の突出感を改善!目立ちにくいワイヤー矯正で自信を持てる自然な横顔に 治療前画像
  • 口元の突出感を改善!目立ちにくいワイヤー矯正で自信を持てる自然な横顔に 治療前画像
  • 口元の突出感を改善!目立ちにくいワイヤー矯正で自信を持てる自然な横顔に 治療前画像
  • 口元の突出感を改善!目立ちにくいワイヤー矯正で自信を持てる自然な横顔に 治療前画像
  • 口元の突出感を改善!目立ちにくいワイヤー矯正で自信を持てる自然な横顔に 治療前画像
  • 口元の突出感を改善!目立ちにくいワイヤー矯正で自信を持てる自然な横顔に 治療前画像
  • 口元の突出感を改善!目立ちにくいワイヤー矯正で自信を持てる自然な横顔に 治療前画像
  • 口元の突出感を改善!目立ちにくいワイヤー矯正で自信を持てる自然な横顔に 治療前画像
  • 口元の突出感を改善!目立ちにくいワイヤー矯正で自信を持てる自然な横顔に 治療前画像
  • 口元の突出感を改善!目立ちにくいワイヤー矯正で自信を持てる自然な横顔に 治療前画像
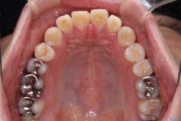
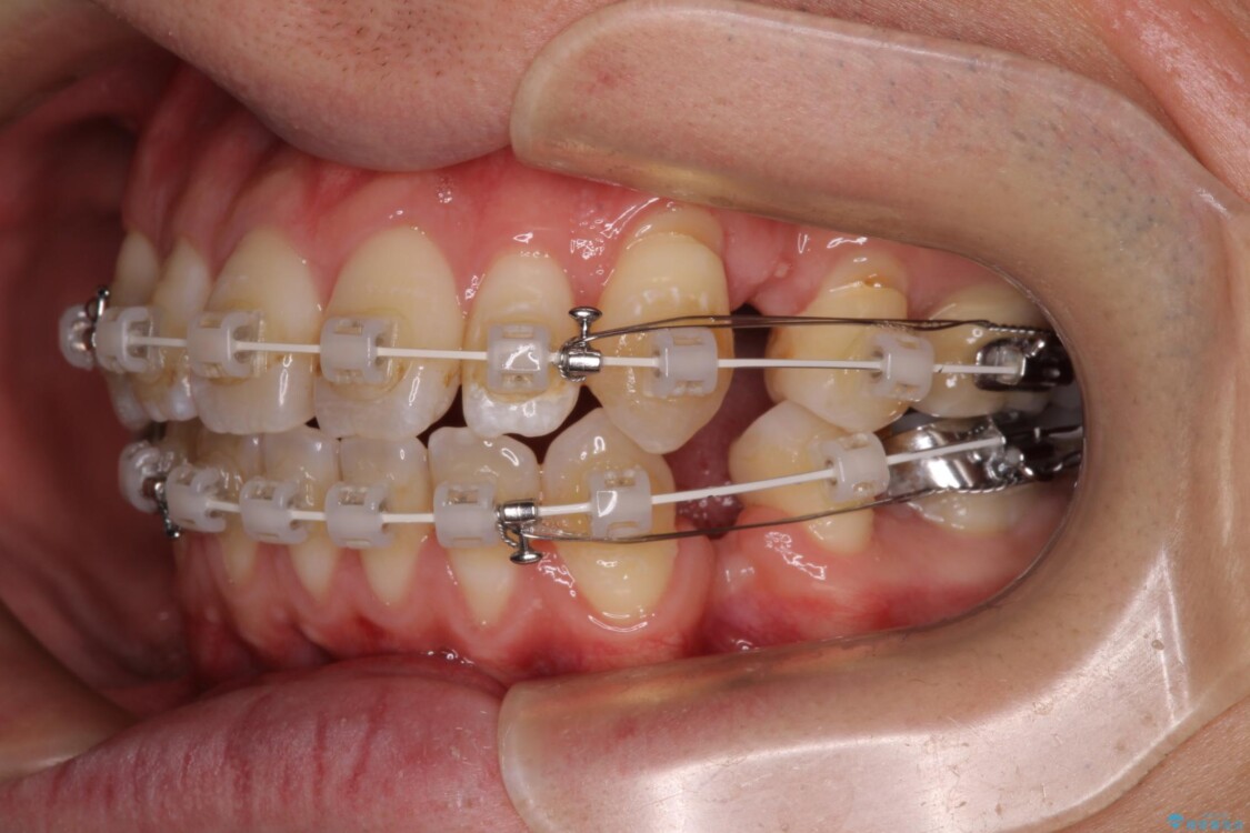
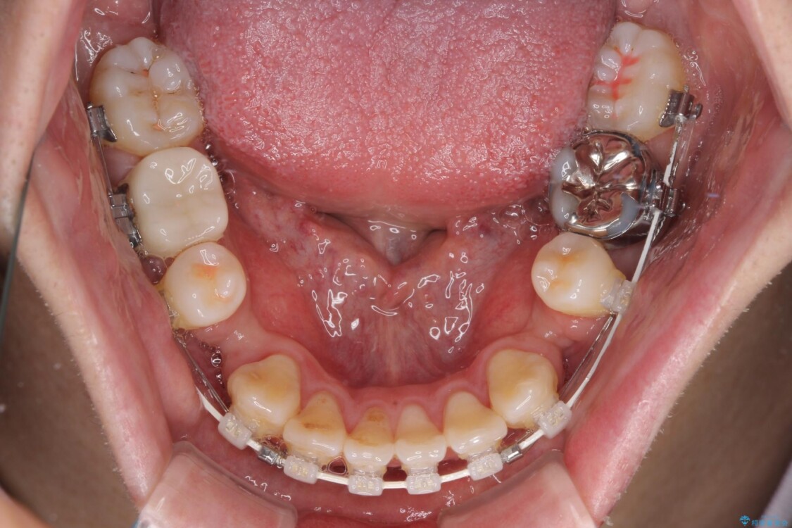
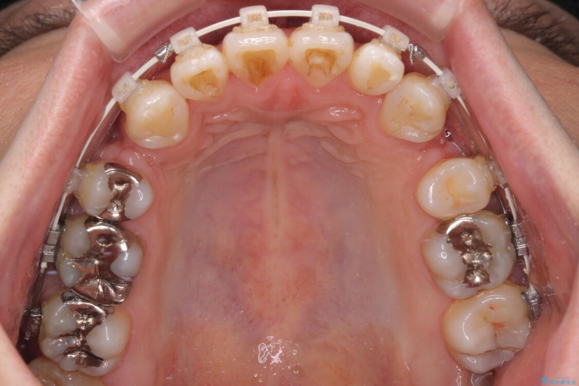
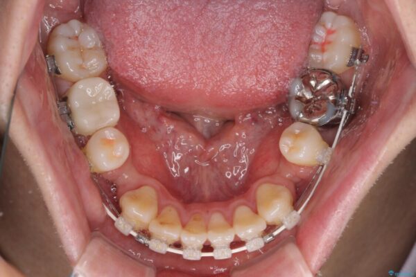
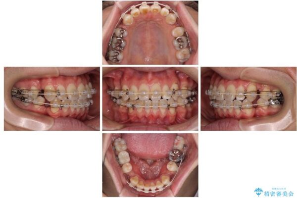
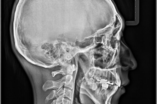
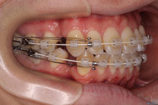
治療途中
  • 口元の突出感を改善!目立ちにくいワイヤー矯正で自信を持てる自然な横顔に 治療途中画像
  • 口元の突出感を改善!目立ちにくいワイヤー矯正で自信を持てる自然な横顔に 治療途中画像
  • 口元の突出感を改善!目立ちにくいワイヤー矯正で自信を持てる自然な横顔に 治療途中画像
  • 口元の突出感を改善!目立ちにくいワイヤー矯正で自信を持てる自然な横顔に 治療途中画像
  • 口元の突出感を改善!目立ちにくいワイヤー矯正で自信を持てる自然な横顔に 治療途中画像
  • 口元の突出感を改善!目立ちにくいワイヤー矯正で自信を持てる自然な横顔に 治療途中画像
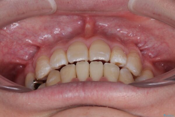
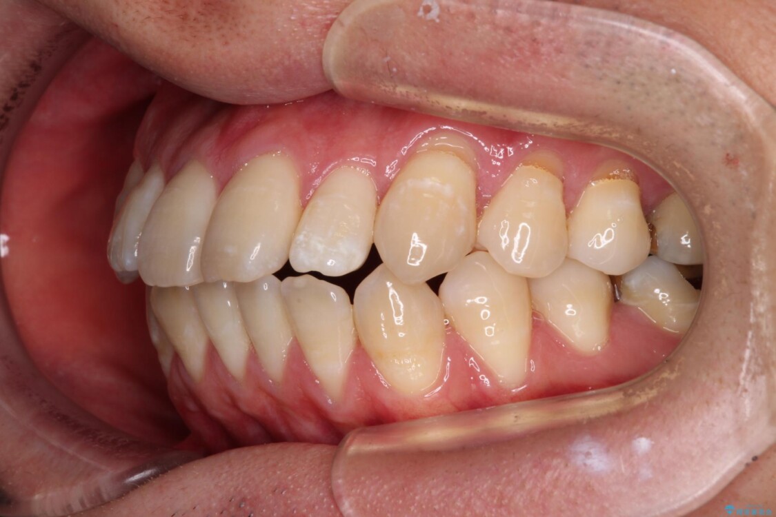
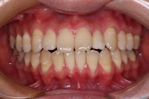
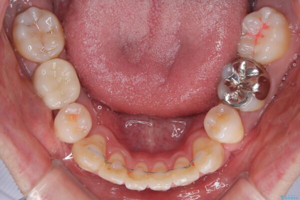
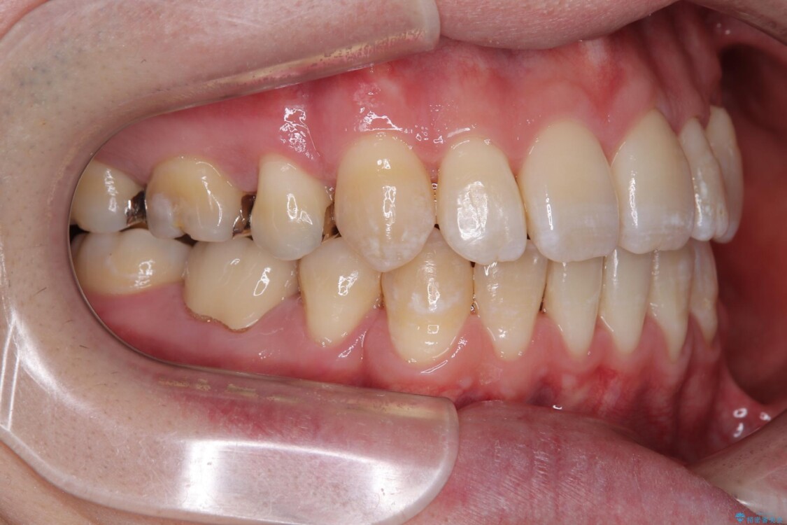
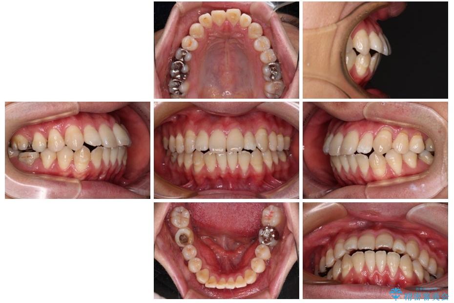
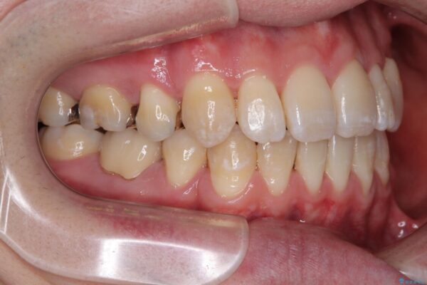
治療後
  • 口元の突出感を改善!目立ちにくいワイヤー矯正で自信を持てる自然な横顔に 治療後画像
  • 口元の突出感を改善!目立ちにくいワイヤー矯正で自信を持てる自然な横顔に 治療後画像
  • 口元の突出感を改善!目立ちにくいワイヤー矯正で自信を持てる自然な横顔に 治療後画像
  • 口元の突出感を改善!目立ちにくいワイヤー矯正で自信を持てる自然な横顔に 治療後画像
  • 口元の突出感を改善!目立ちにくいワイヤー矯正で自信を持てる自然な横顔に 治療後画像
  • 口元の突出感を改善!目立ちにくいワイヤー矯正で自信を持てる自然な横顔に 治療後画像
  • 口元の突出感を改善!目立ちにくいワイヤー矯正で自信を持てる自然な横顔に 治療後画像
  • 口元の突出感を改善!目立ちにくいワイヤー矯正で自信を持てる自然な横顔に 治療後画像
  • 口元の突出感を改善!目立ちにくいワイヤー矯正で自信を持てる自然な横顔に 治療後画像
  • 口元の突出感を改善!目立ちにくいワイヤー矯正で自信を持てる自然な横顔に 治療後画像
  • 口元の突出感を改善!目立ちにくいワイヤー矯正で自信を持てる自然な横顔に 治療後画像

ワイヤー矯正の注意事項(リスク・副作用など)

・治療中は違和感や痛みが起こることがあります。
・症状により、抜歯が必要な場合があります。
・治療中は歯磨きがしにくくなるため、虫歯や歯周病になりやすくなります。
・矯正治療後の保定が不十分だと後戻り(元の位置に戻ろうとする動き)をします。
・自費診療(保険適用外)となります。

その他の注意事項(リスク・副作用など)

・担当歯科医師、歯科衛生士又は医院スタッフから受けた説明、注意事項をよくご確認ください。
・医療を提供するに当たり、適切な説明を行い、患者様の十分な理解を得るよう努めております。

当サイトの内容、テキスト、画像等の無断転載、複製、複写、盗用を固く禁じます。

24時間受付 Web申し込み


無料カウンセリング予約

無料の個別相談(予約制)を実施しております

医院直通 電話予約
03-3231-0777

平日 11:00~20:00 / 土日 10:00~18:00

※ お電話での治療に関するご相談は、ドクターによる対応ができないためお受けできません