前歯のガタガタ・奥歯のかみ合わせ(シザーズバイト)を改善|1年半で完了したメタルブラケット矯正

東京駅前しらゆり歯科

電話でのご予約、お問い合わせ
03-3231-0777

平日11:00~20:00 / 土日10:00~18:00

CASES

ワイヤー矯正の症例

前歯のガタガタ・奥歯のかみ合わせ(シザーズバイト)を改善|1年半で完了したメタルブラケット矯正

治療症例のビフォーアフターと詳細

患者様
20代男性
治療期間
1年6ヶ月
治療回数
10-30回
矯正装置
メタルブラケット
概算治療費
75万円(税込)(※費用は治療当時の料金となります)
担当医
齋藤佑磨

治療動機

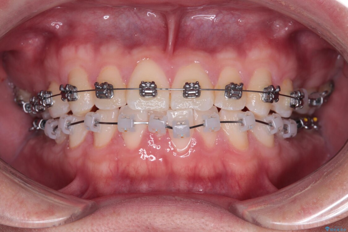
主訴:前歯のデコボコと奥歯のかみ合わせを治したい 今回ご紹介するのは、「前歯のガタガタ(叢生)」と「奥歯のかみ合わせ(シザーズバイト)」にお悩みでご来院された患者様の症例です。 患者様は、 ・歯並びをできるだけ早く改善したい ・費用を抑えた矯正治療 というご要望をお持ちでした。

治療計画

診断と治療計画
▼ 診断
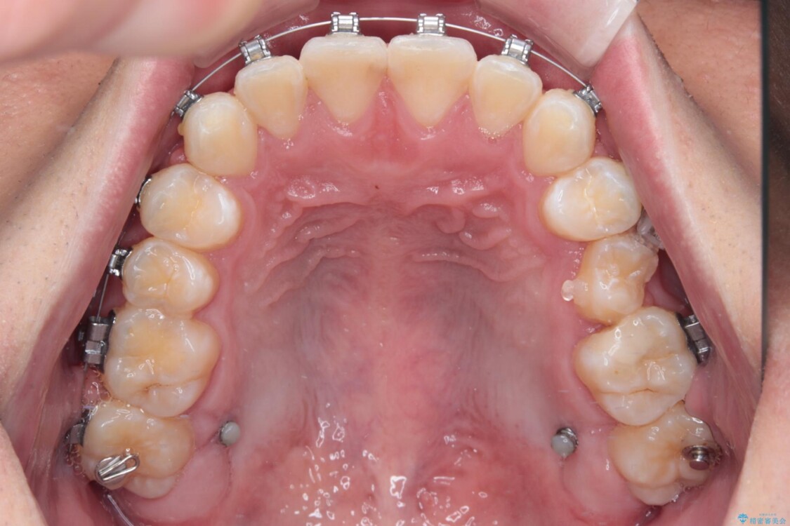
・上顎左右の第二大臼歯が頬側へ転移し、シザーズバイト(scissors bite)の状態
・上顎左側第二小臼歯が90度捻転しており、噛み合わせに影響

治療計画のポイント
患者様のご希望に合わせ、以下の治療方針を立てました。
・費用と期間を抑えるために、多少目立っても効率の良いメタルブラケットを使用
・奥歯のシザーズバイト改善には、口蓋側にアンカースクリュー(TAD)を設置し、矯正用ゴムで内側に牽引
・捻転した第二小臼歯は、ワイヤーと矯正用ゴムの力を用いて正しい位置へ回転移動

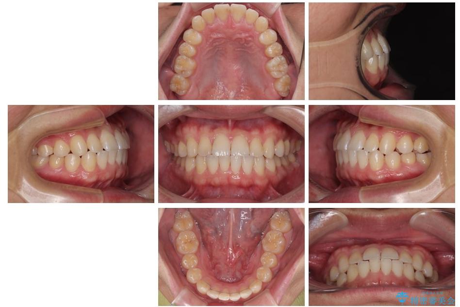
治療後について

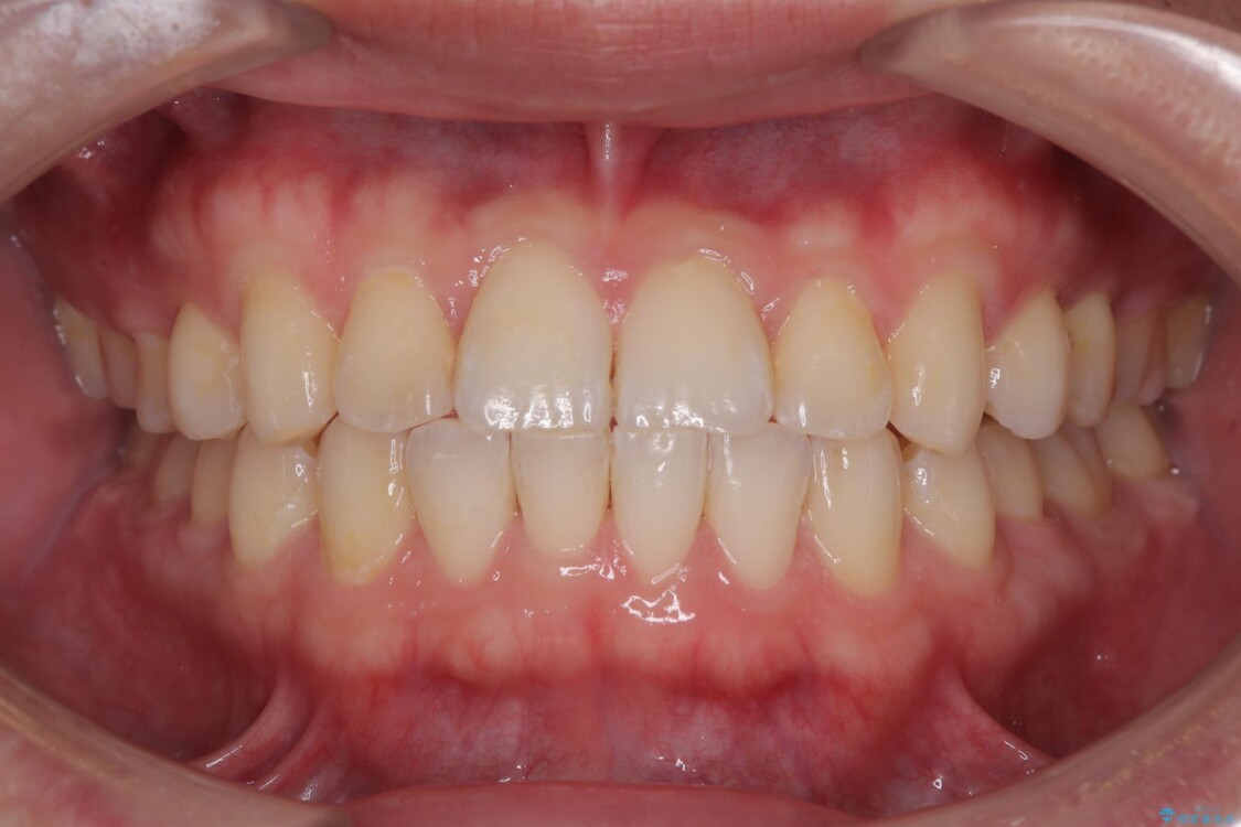
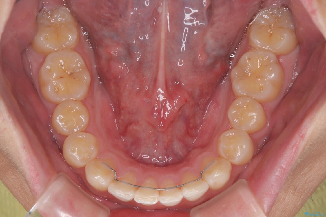
**前歯のデコボコ(叢生)**が整い、歯列全体が美しく改善

シザーズバイトの奥歯も正常なかみ合わせに改善

捻転歯も回転が修正され、全体的に清掃性・咀嚼効率が向上

患者様にも「大人になってから矯正を始めることに不安もありましたが、思っていたよりも短期間で治療が終わって本当にうれしいです。前歯のガタガタも気にならなくなり、笑うことに自信が持てるようになりました!」と喜んでいただけました。

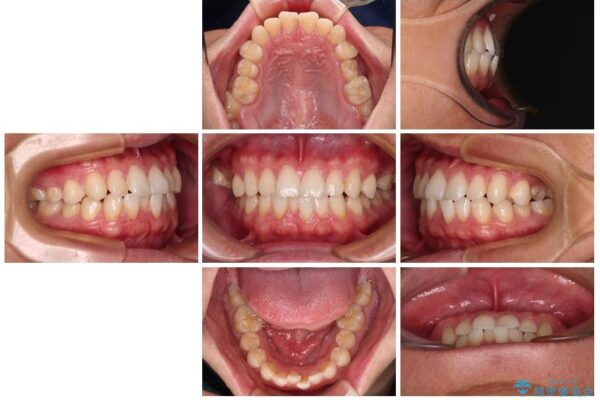
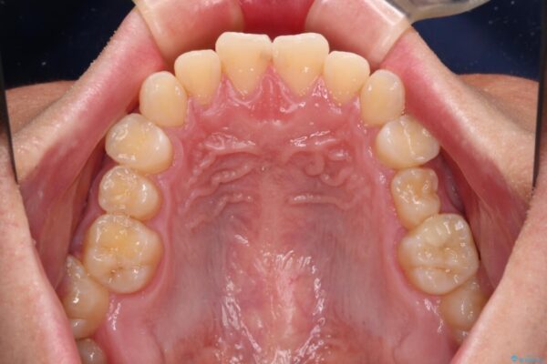
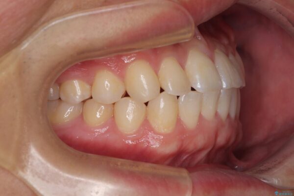
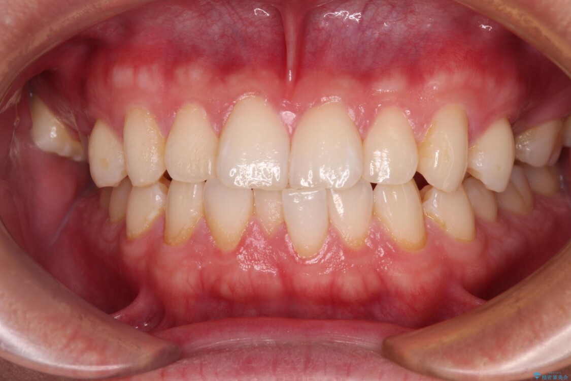
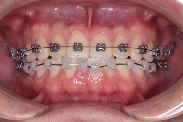
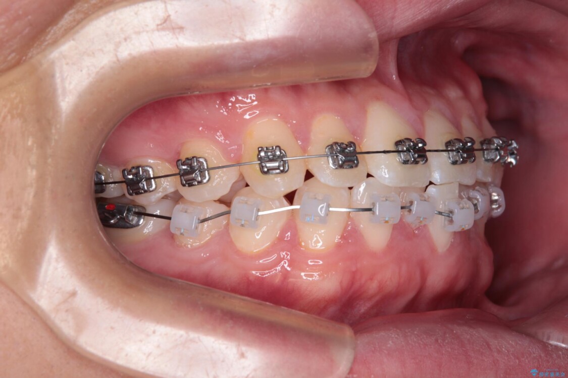
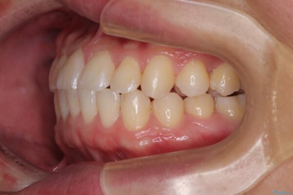
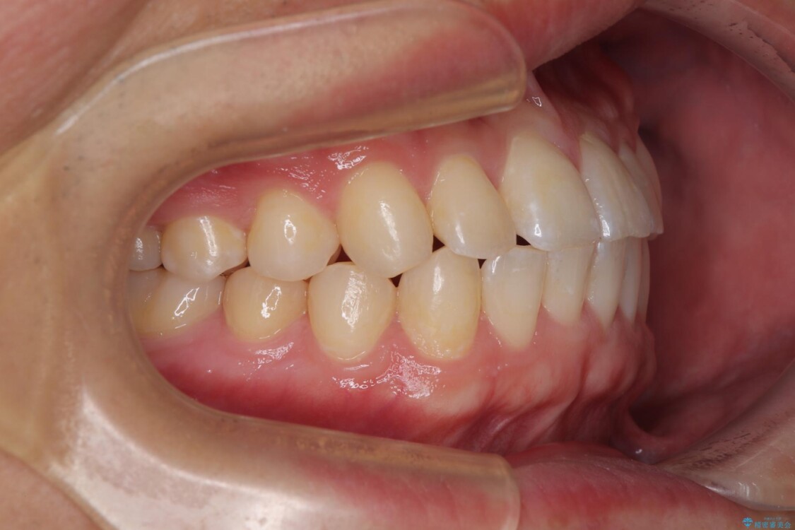
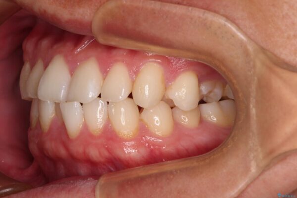
治療前
  • 前歯のガタガタ・奥歯のかみ合わせ(シザーズバイト)を改善|1年半で完了したメタルブラケット矯正 治療前画像
  • 前歯のガタガタ・奥歯のかみ合わせ(シザーズバイト)を改善|1年半で完了したメタルブラケット矯正 治療前画像
  • 前歯のガタガタ・奥歯のかみ合わせ(シザーズバイト)を改善|1年半で完了したメタルブラケット矯正 治療前画像
  • 前歯のガタガタ・奥歯のかみ合わせ(シザーズバイト)を改善|1年半で完了したメタルブラケット矯正 治療前画像
  • 前歯のガタガタ・奥歯のかみ合わせ(シザーズバイト)を改善|1年半で完了したメタルブラケット矯正 治療前画像
  • 前歯のガタガタ・奥歯のかみ合わせ(シザーズバイト)を改善|1年半で完了したメタルブラケット矯正 治療前画像
  • 前歯のガタガタ・奥歯のかみ合わせ(シザーズバイト)を改善|1年半で完了したメタルブラケット矯正 治療前画像
  • 前歯のガタガタ・奥歯のかみ合わせ(シザーズバイト)を改善|1年半で完了したメタルブラケット矯正 治療前画像
  • 前歯のガタガタ・奥歯のかみ合わせ(シザーズバイト)を改善|1年半で完了したメタルブラケット矯正 治療前画像
  • 前歯のガタガタ・奥歯のかみ合わせ(シザーズバイト)を改善|1年半で完了したメタルブラケット矯正 治療前画像
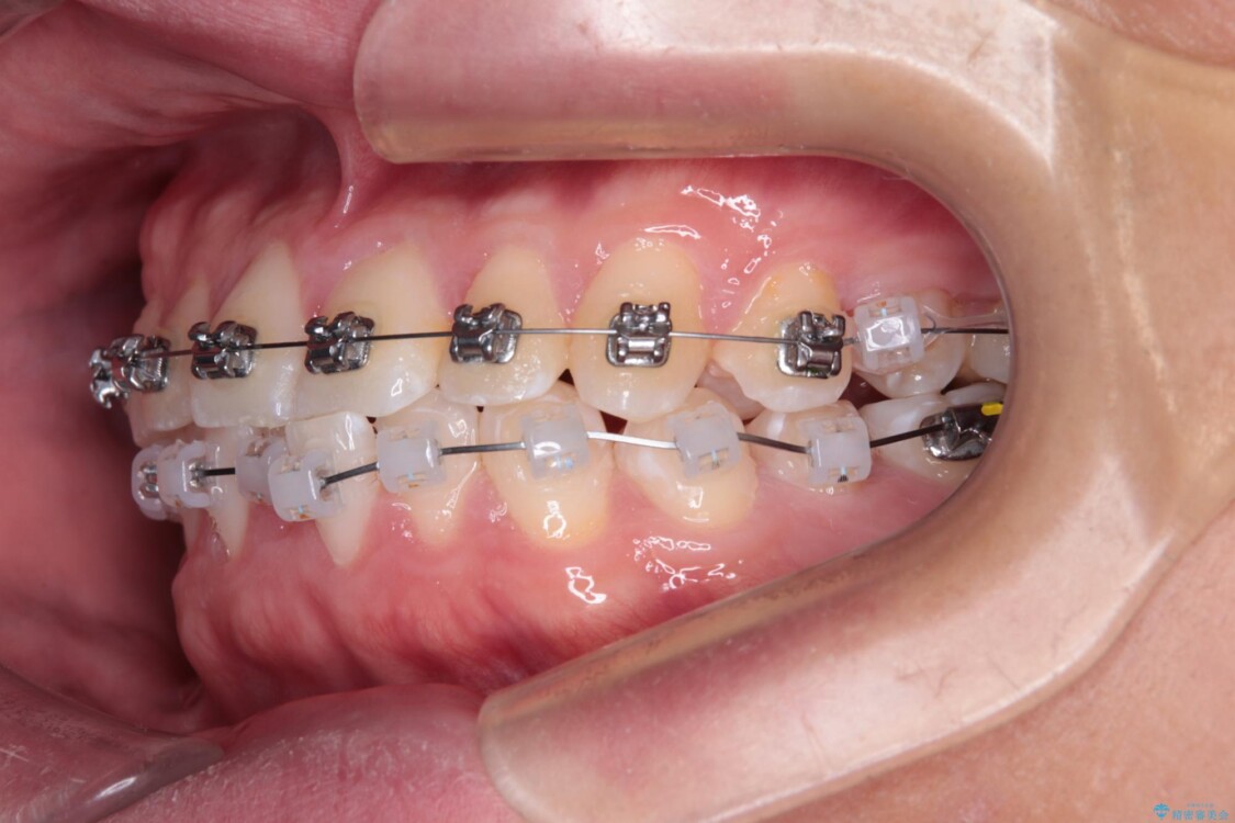
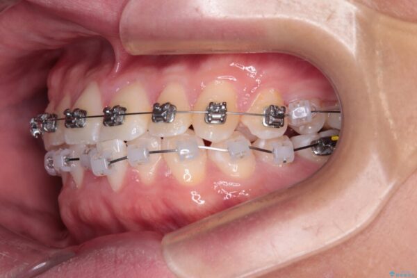
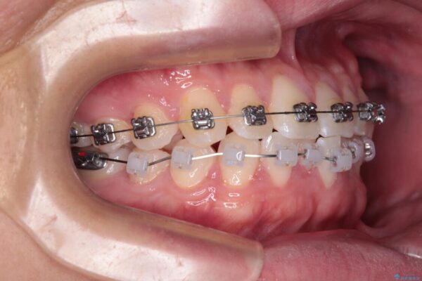
治療途中
  • 前歯のガタガタ・奥歯のかみ合わせ(シザーズバイト)を改善|1年半で完了したメタルブラケット矯正 治療途中画像
  • 前歯のガタガタ・奥歯のかみ合わせ(シザーズバイト)を改善|1年半で完了したメタルブラケット矯正 治療途中画像
  • 前歯のガタガタ・奥歯のかみ合わせ(シザーズバイト)を改善|1年半で完了したメタルブラケット矯正 治療途中画像
  • 前歯のガタガタ・奥歯のかみ合わせ(シザーズバイト)を改善|1年半で完了したメタルブラケット矯正 治療途中画像
  • 前歯のガタガタ・奥歯のかみ合わせ(シザーズバイト)を改善|1年半で完了したメタルブラケット矯正 治療途中画像
  • 前歯のガタガタ・奥歯のかみ合わせ(シザーズバイト)を改善|1年半で完了したメタルブラケット矯正 治療途中画像
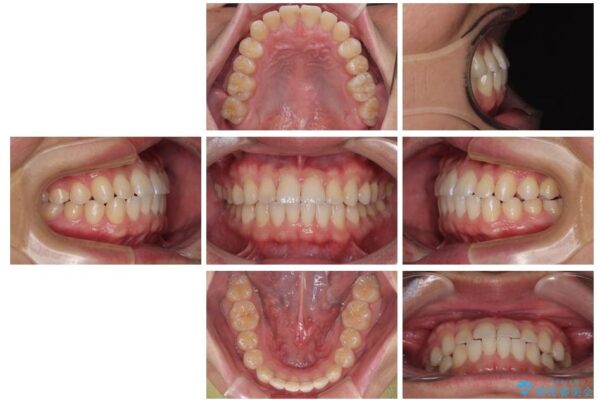
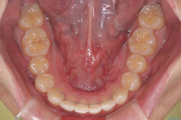
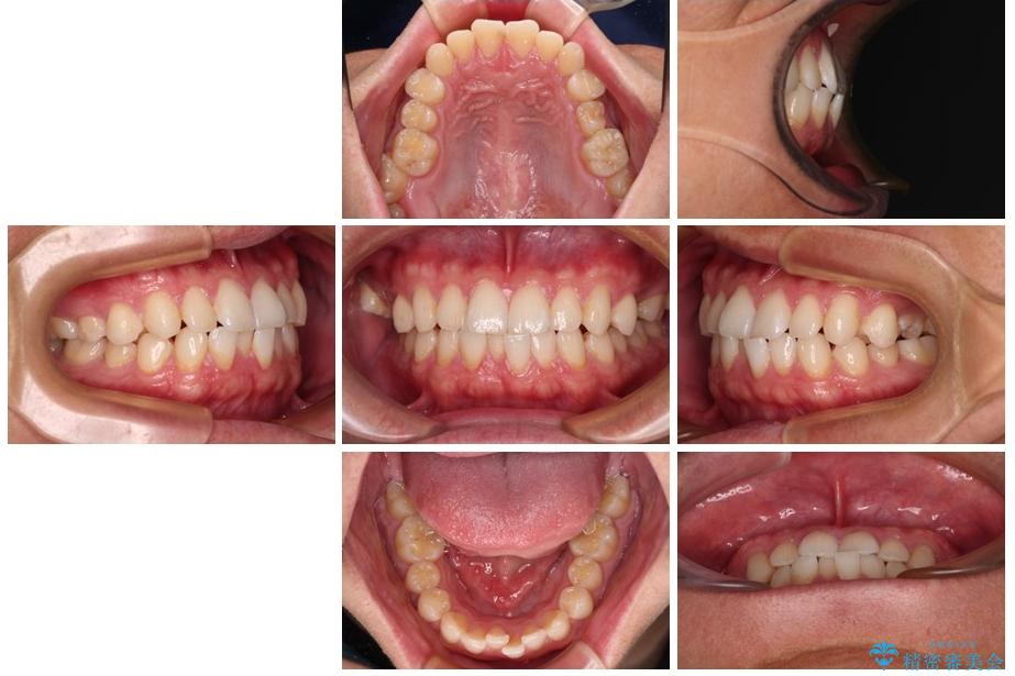
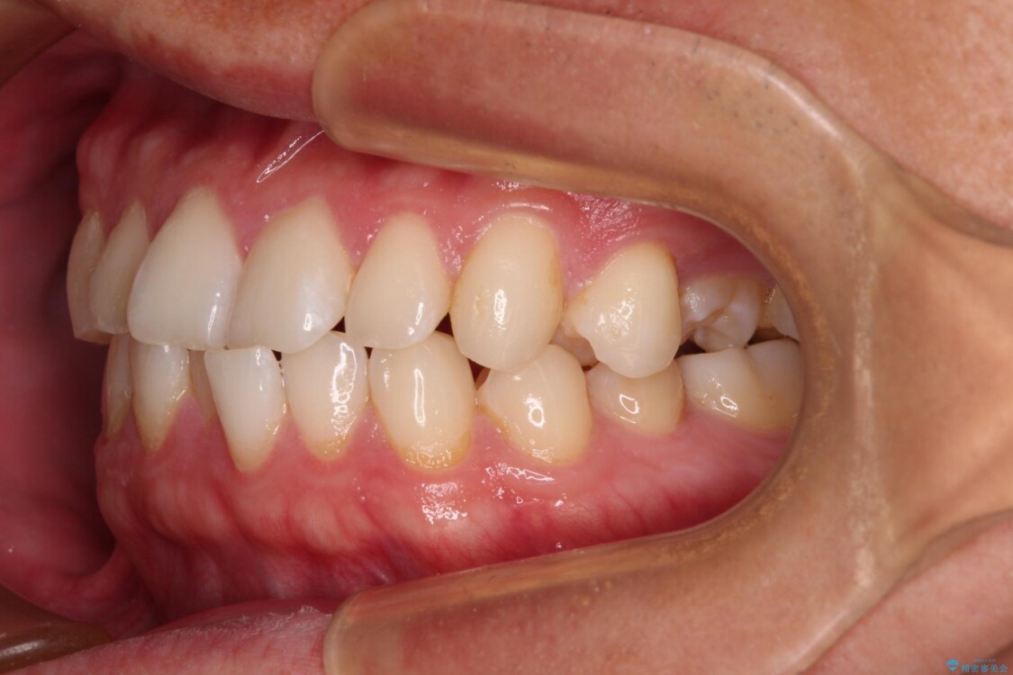
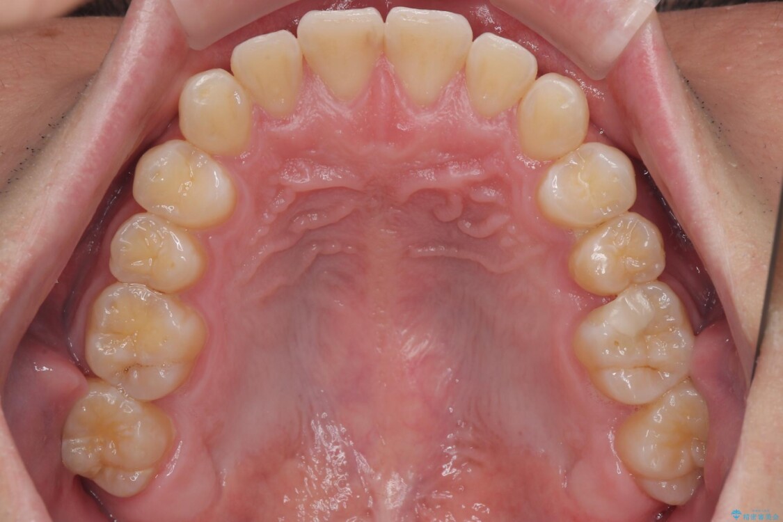
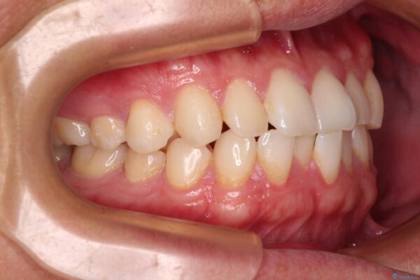
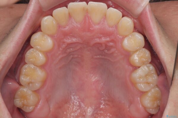
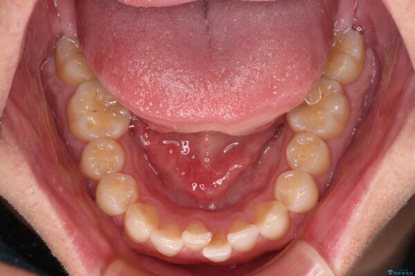
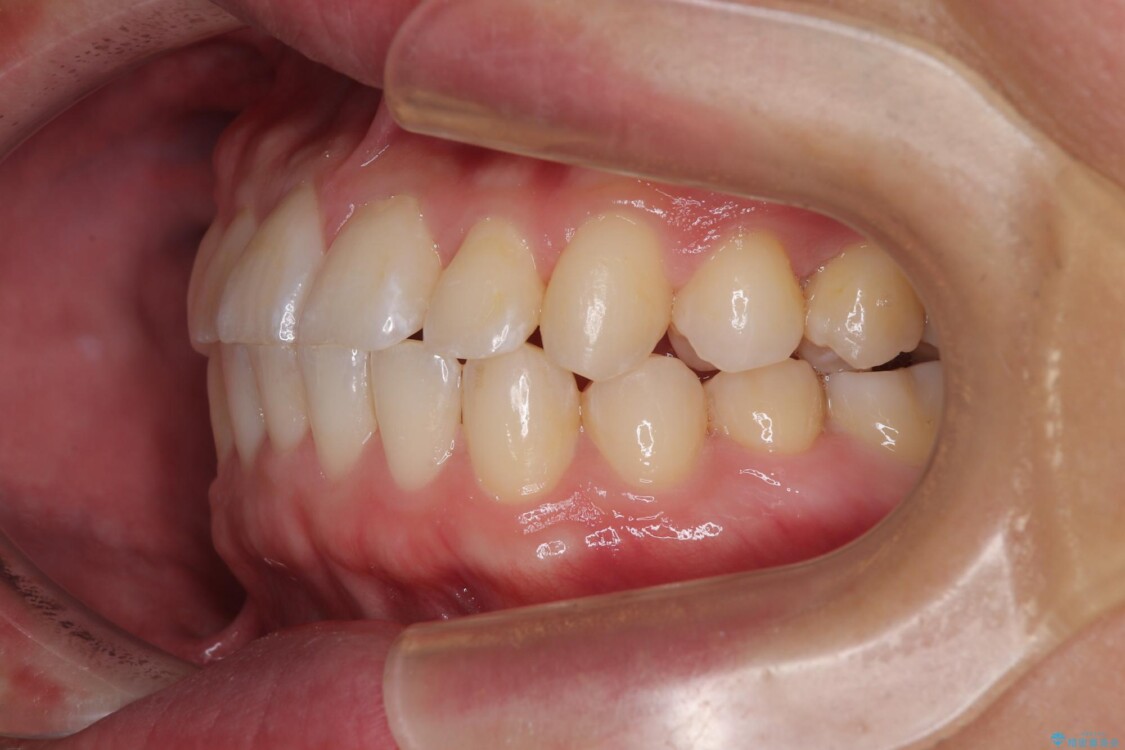
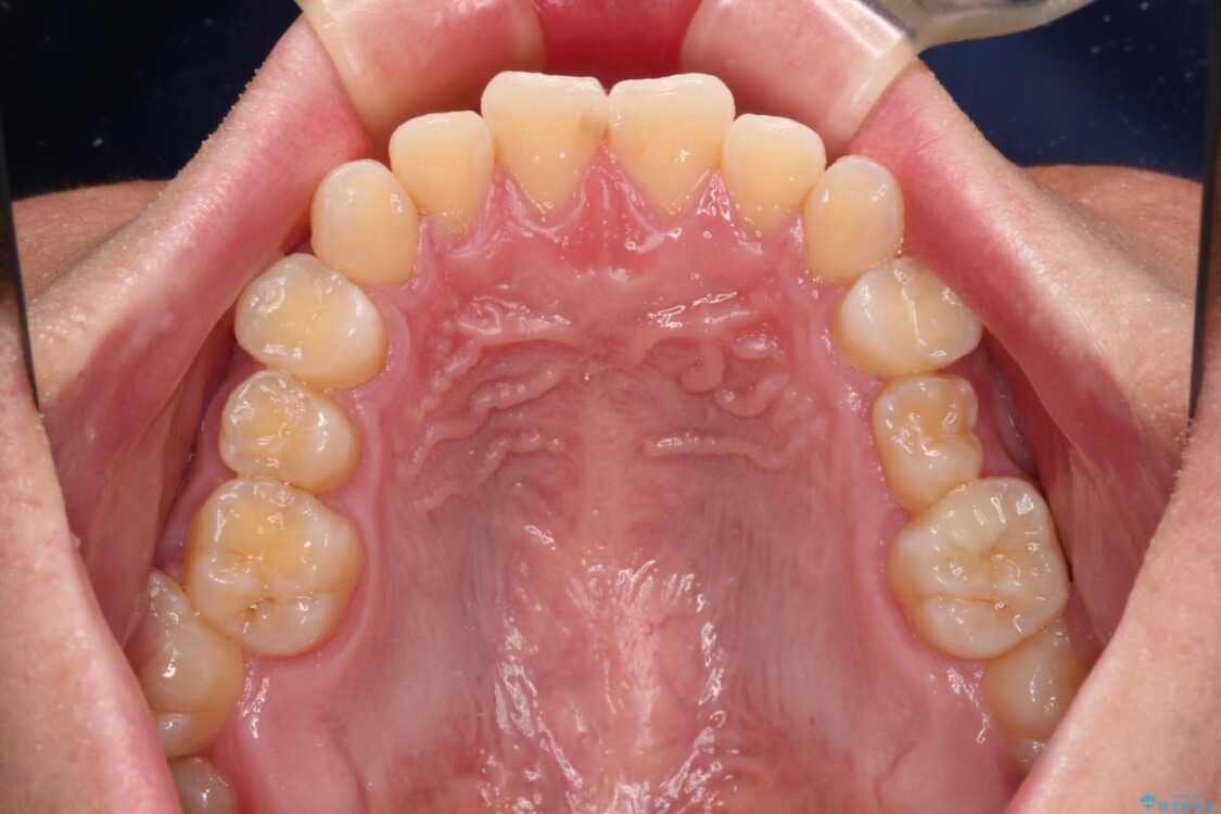
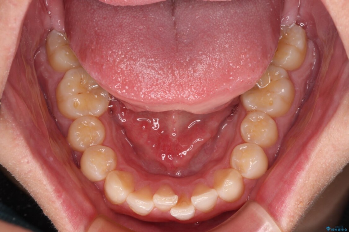
治療後
  • 前歯のガタガタ・奥歯のかみ合わせ(シザーズバイト)を改善|1年半で完了したメタルブラケット矯正 治療後画像
  • 前歯のガタガタ・奥歯のかみ合わせ(シザーズバイト)を改善|1年半で完了したメタルブラケット矯正 治療後画像
  • 前歯のガタガタ・奥歯のかみ合わせ(シザーズバイト)を改善|1年半で完了したメタルブラケット矯正 治療後画像
  • 前歯のガタガタ・奥歯のかみ合わせ(シザーズバイト)を改善|1年半で完了したメタルブラケット矯正 治療後画像
  • 前歯のガタガタ・奥歯のかみ合わせ(シザーズバイト)を改善|1年半で完了したメタルブラケット矯正 治療後画像
  • 前歯のガタガタ・奥歯のかみ合わせ(シザーズバイト)を改善|1年半で完了したメタルブラケット矯正 治療後画像
  • 前歯のガタガタ・奥歯のかみ合わせ(シザーズバイト)を改善|1年半で完了したメタルブラケット矯正 治療後画像
  • 前歯のガタガタ・奥歯のかみ合わせ(シザーズバイト)を改善|1年半で完了したメタルブラケット矯正 治療後画像
  • 前歯のガタガタ・奥歯のかみ合わせ(シザーズバイト)を改善|1年半で完了したメタルブラケット矯正 治療後画像
  • 前歯のガタガタ・奥歯のかみ合わせ(シザーズバイト)を改善|1年半で完了したメタルブラケット矯正 治療後画像

ワイヤー矯正の注意事項(リスク・副作用など)

・治療中は違和感や痛みが起こることがあります。
・症状により、抜歯が必要な場合があります。
・治療中は歯磨きがしにくくなるため、虫歯や歯周病になりやすくなります。
・矯正治療後の保定が不十分だと後戻り(元の位置に戻ろうとする動き)をします。
・自費診療(保険適用外)となります。

その他の注意事項(リスク・副作用など)

・担当歯科医師、歯科衛生士又は医院スタッフから受けた説明、注意事項をよくご確認ください。
・医療を提供するに当たり、適切な説明を行い、患者様の十分な理解を得るよう努めております。

当サイトの内容、テキスト、画像等の無断転載、複製、複写、盗用を固く禁じます。

24時間受付 Web申し込み


無料カウンセリング予約

無料の個別相談(予約制)を実施しております

医院直通 電話予約
03-3231-0777

平日 11:00~20:00 / 土日 10:00~18:00

※ お電話での治療に関するご相談は、ドクターによる対応ができないためお受けできません