八重歯と前歯のガタガタを抜歯矯正で治療|クリアブラケット使用例

東京駅前しらゆり歯科

電話でのご予約、お問い合わせ
03-3231-0777

平日11:00~20:00 / 土日10:00~18:00

CASES

ワイヤー矯正の症例

八重歯と前歯のガタガタを抜歯矯正で治療|クリアブラケット使用例

治療症例のビフォーアフターと詳細

患者様
20代男性
治療期間
2年3ヶ月
治療回数
30回以上
矯正装置
メタルブラケット
概算治療費
99万円(税込)(※費用は治療当時の料金となります)
担当医
齋藤佑磨

治療動機

「八重歯を治したい」とご相談いただいた患者様の症例をご紹介します。

治療計画

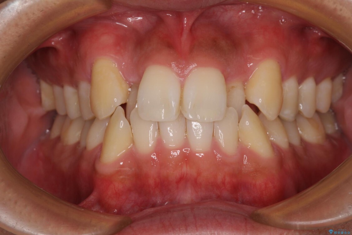
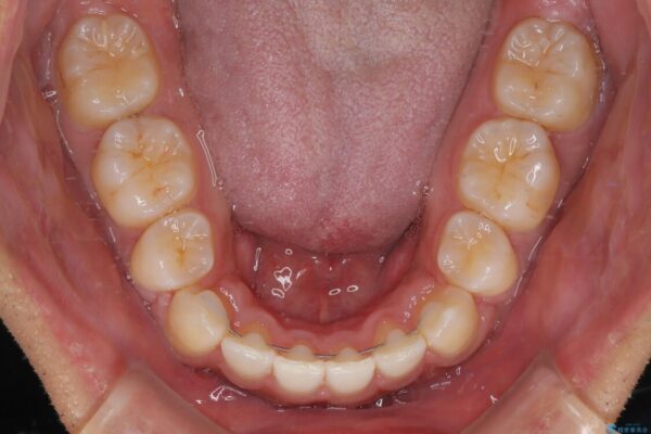
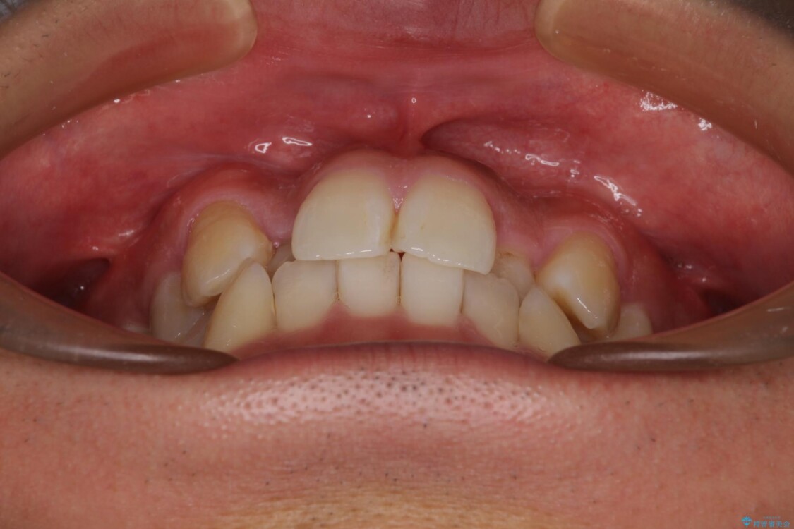
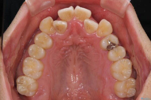
上下の前歯部に強い叢生(ガタガタの歯並び)があり、そのまま歯を並べると出っ歯になってしまう可能性がありました。
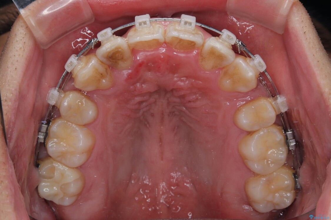
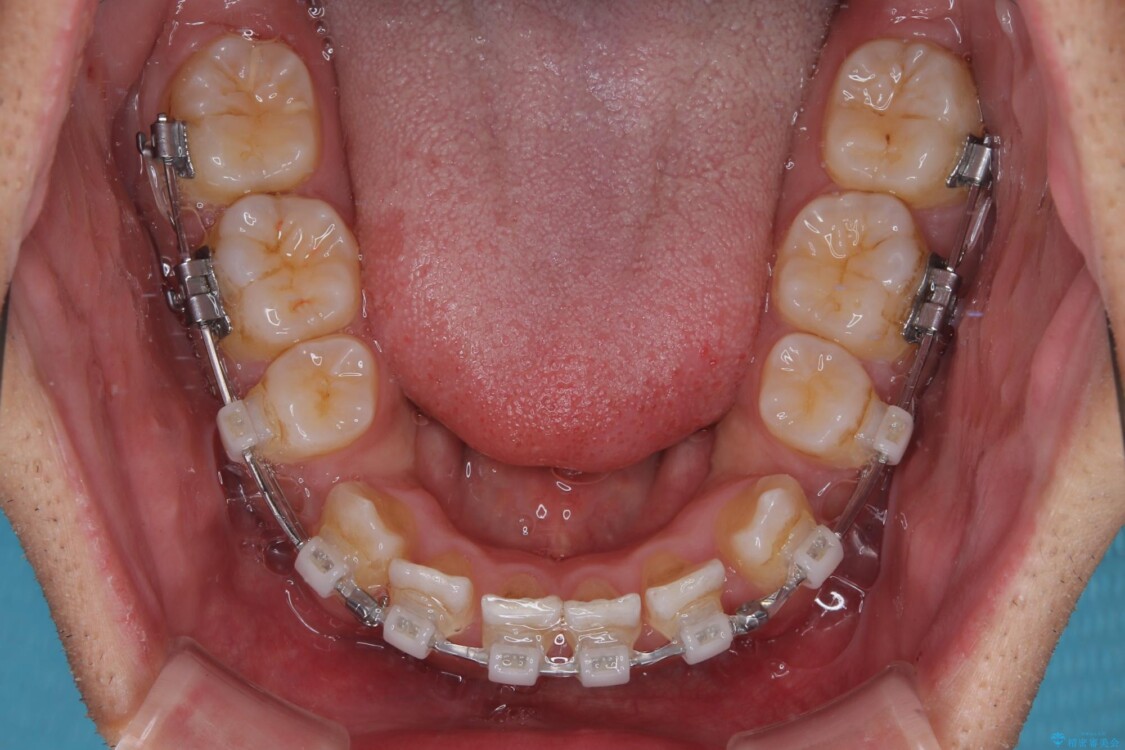
そこで、上下左右の第一小臼歯を抜歯し、歯が並ぶためのスペースを確保し叢生を解消する治療計画を立てました。

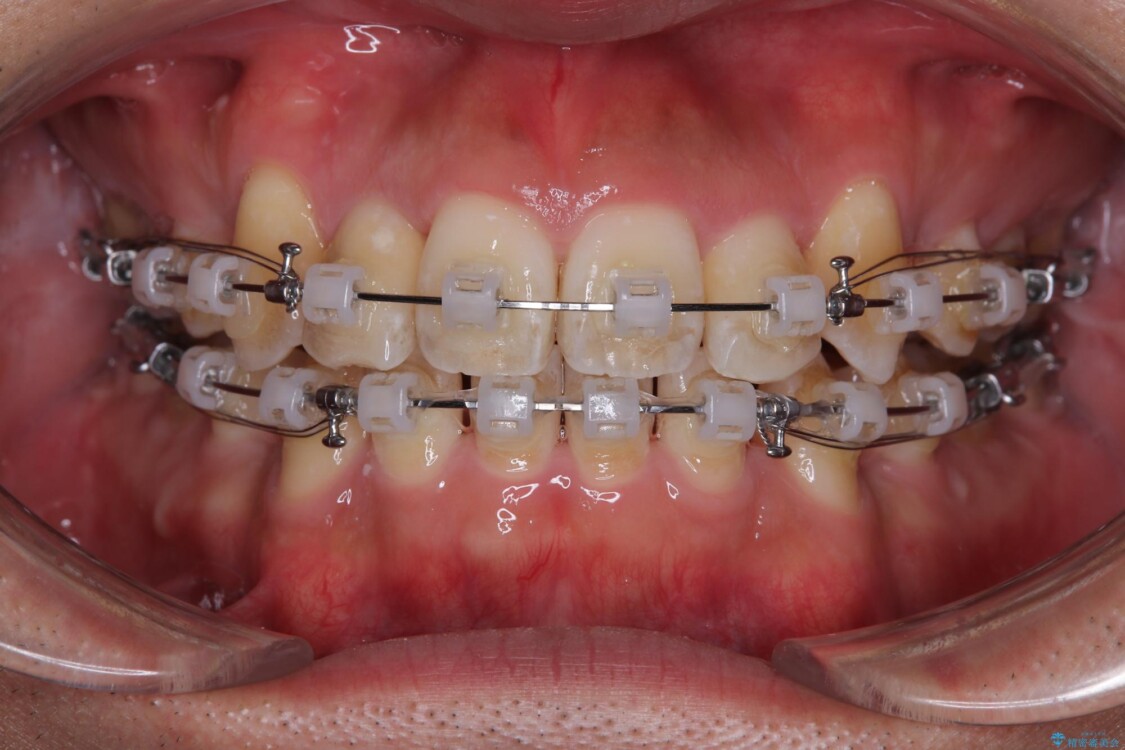
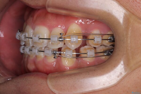
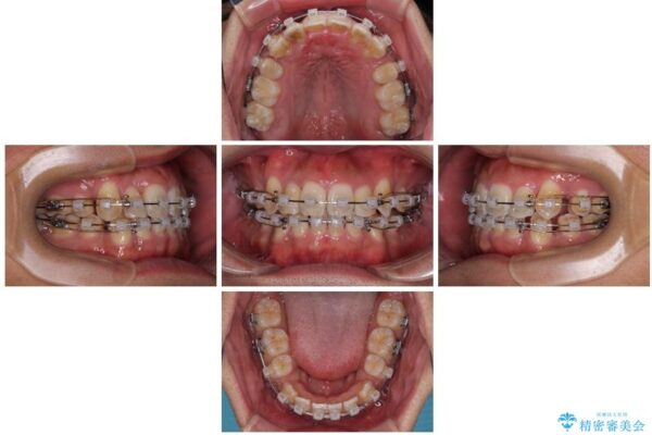
矯正装置は、審美性と費用面のバランスを考慮して、プラスチックブラケットとメタルワイヤーを使用しました。
透明感のあるブラケットを用いたため、従来の金属装置よりも目立ちにくく、日常生活での見た目の不安も軽減できます。

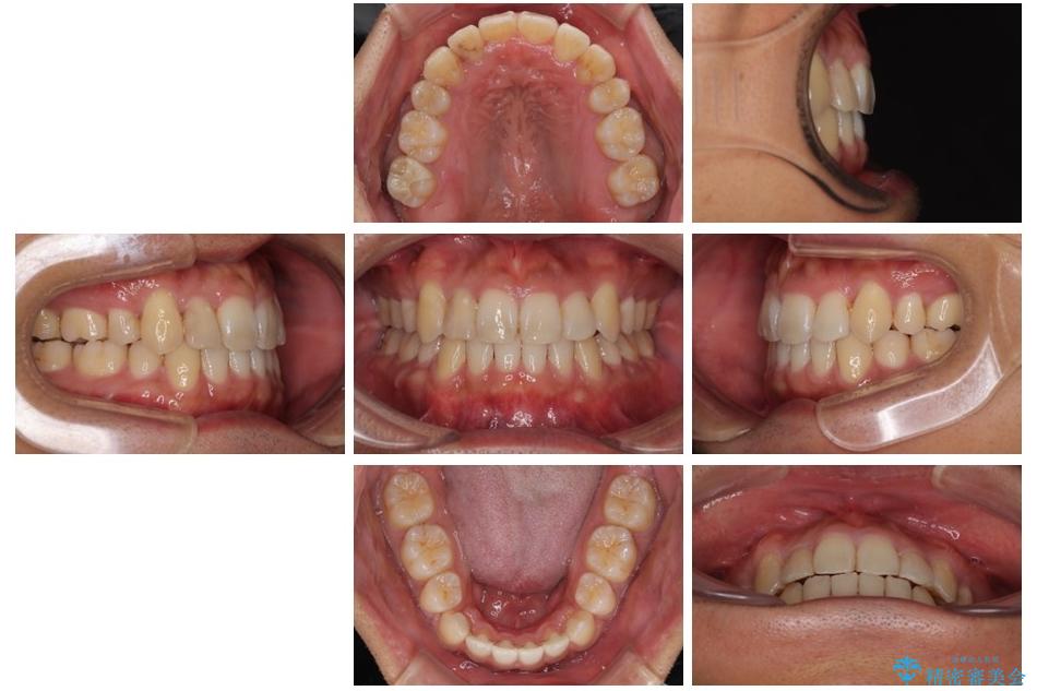
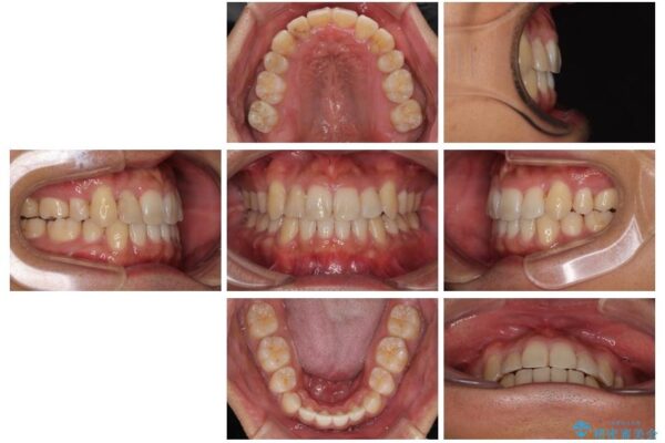
治療後について

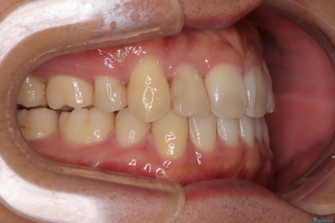
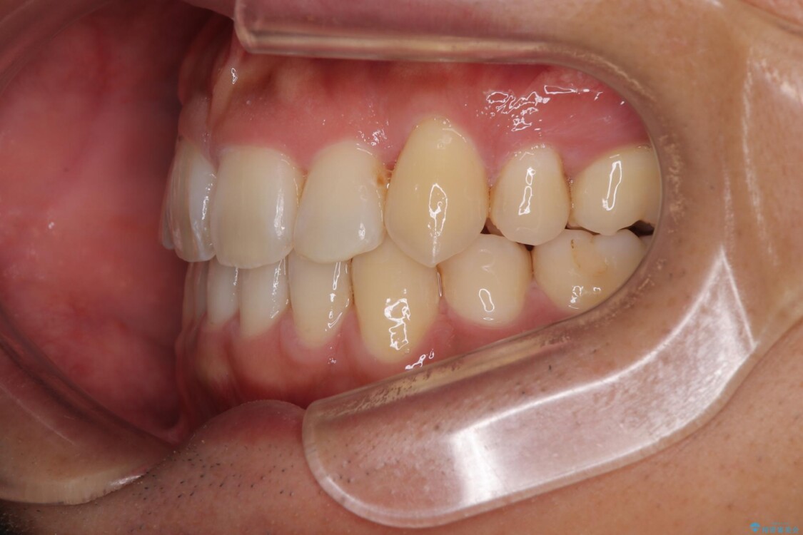
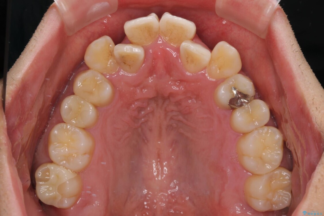
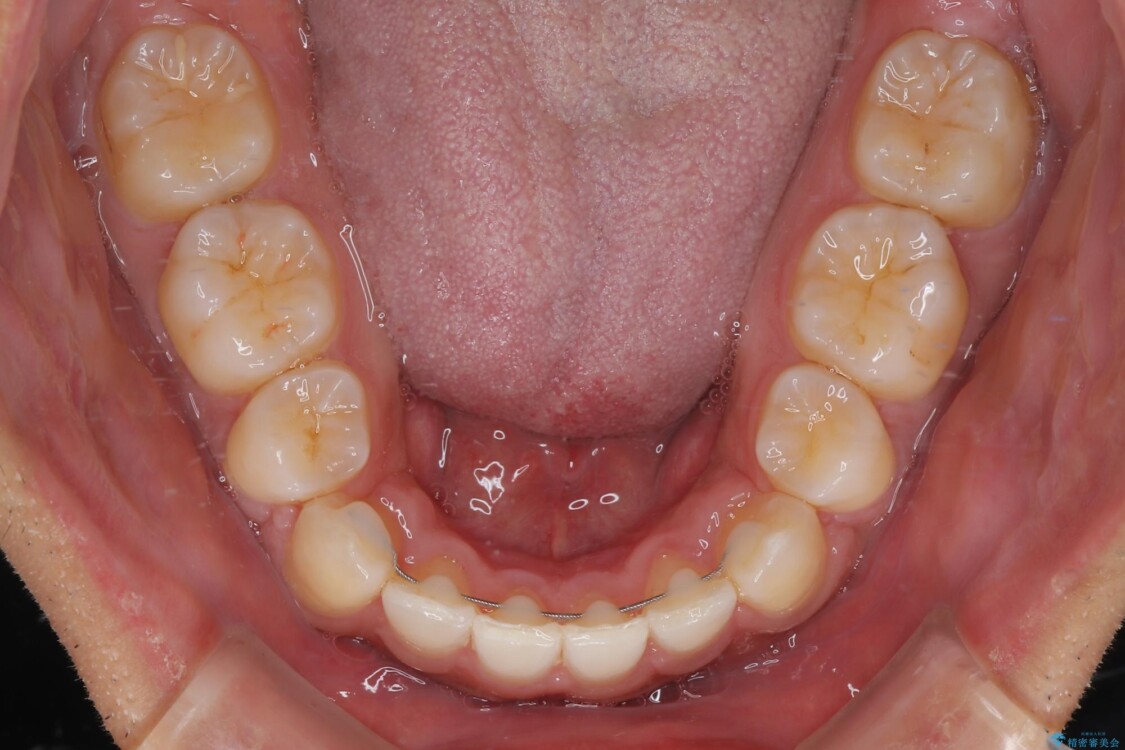
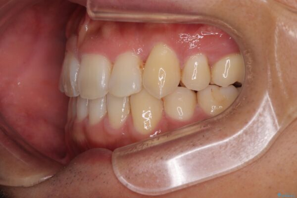
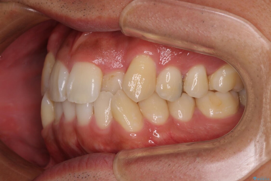
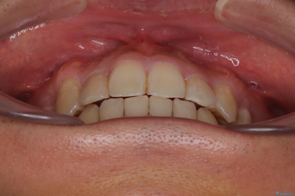
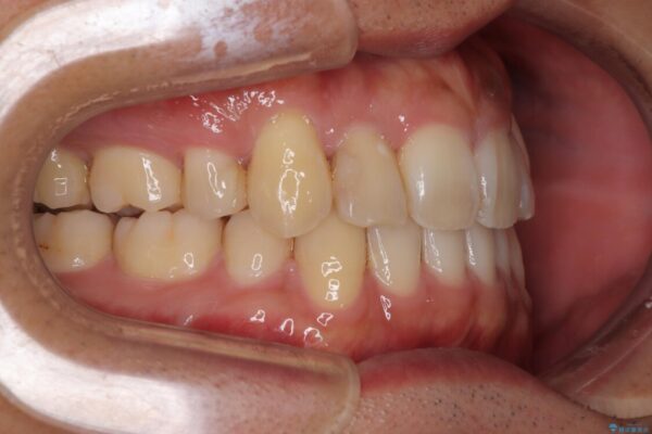
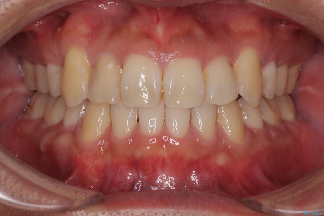
八重歯はきれいに整い、前歯もバランスよく収まり、横顔のラインも自然に改善されました。
治療後、患者様は「思い切り笑えるようになった」と大変喜んでくださいました。

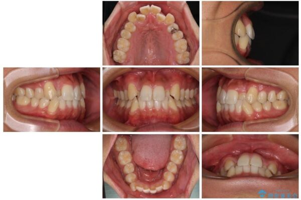
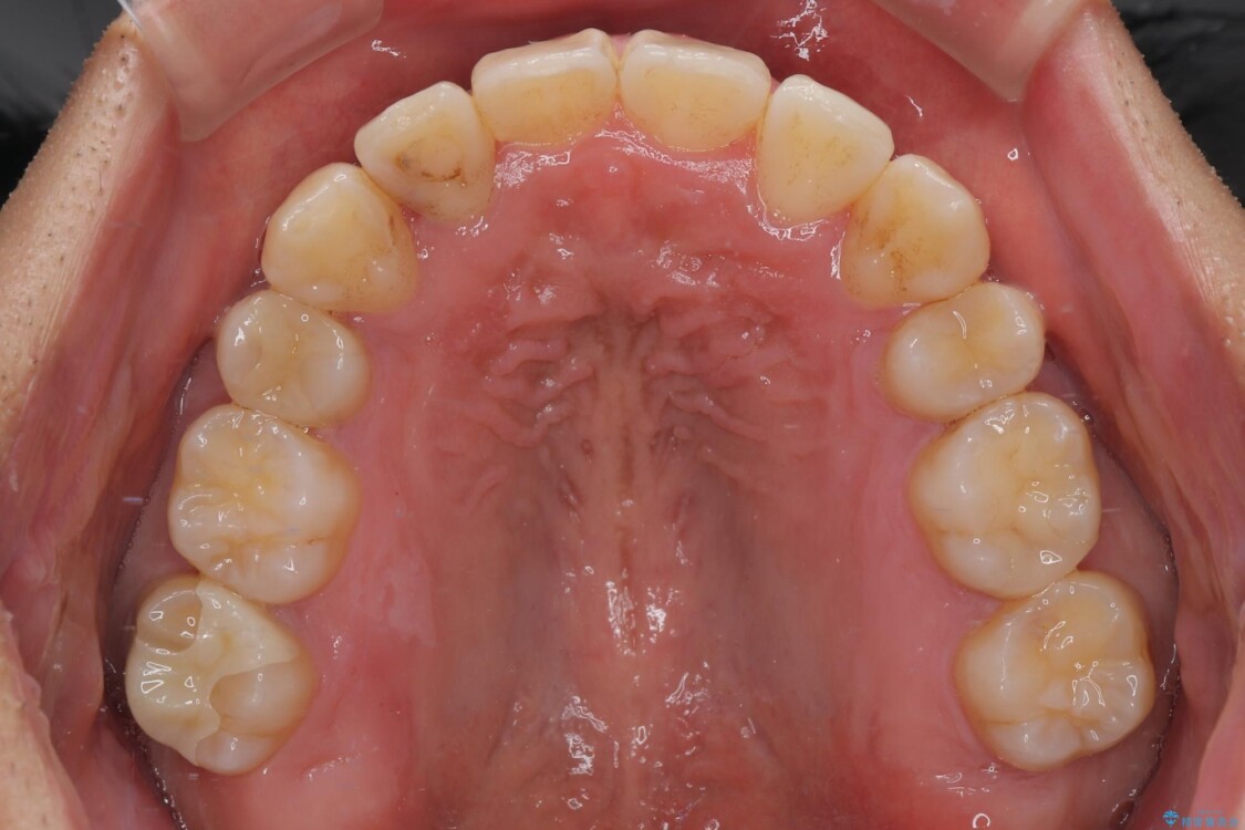
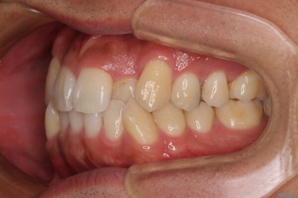
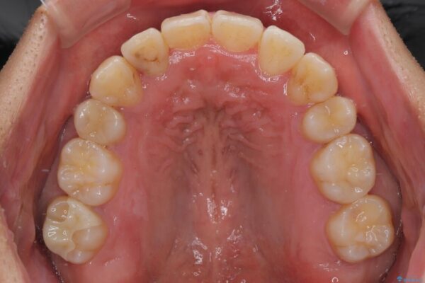
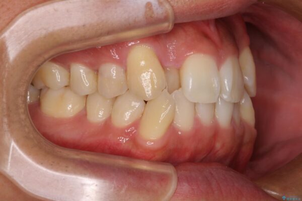
治療前
  • 八重歯と前歯のガタガタを抜歯矯正で治療|クリアブラケット使用例 治療前画像
  • 八重歯と前歯のガタガタを抜歯矯正で治療|クリアブラケット使用例 治療前画像
  • 八重歯と前歯のガタガタを抜歯矯正で治療|クリアブラケット使用例 治療前画像
  • 八重歯と前歯のガタガタを抜歯矯正で治療|クリアブラケット使用例 治療前画像
  • 八重歯と前歯のガタガタを抜歯矯正で治療|クリアブラケット使用例 治療前画像
  • 八重歯と前歯のガタガタを抜歯矯正で治療|クリアブラケット使用例 治療前画像
  • 八重歯と前歯のガタガタを抜歯矯正で治療|クリアブラケット使用例 治療前画像
  • 八重歯と前歯のガタガタを抜歯矯正で治療|クリアブラケット使用例 治療前画像
  • 八重歯と前歯のガタガタを抜歯矯正で治療|クリアブラケット使用例 治療前画像
  • 八重歯と前歯のガタガタを抜歯矯正で治療|クリアブラケット使用例 治療前画像
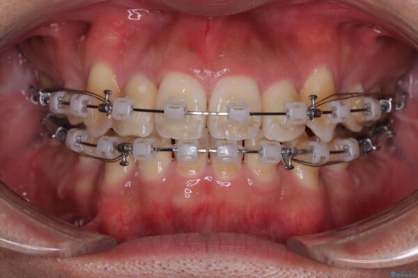
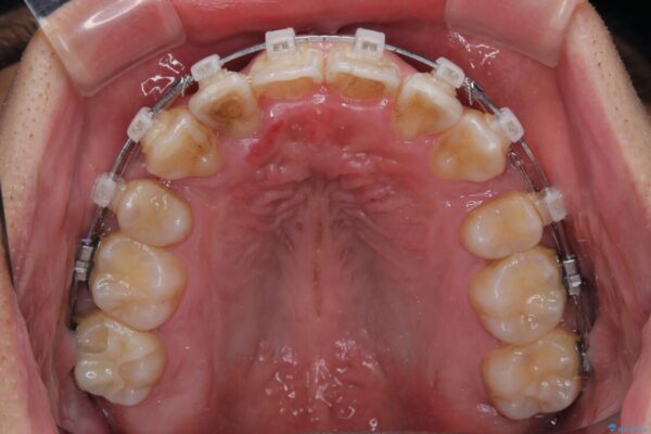
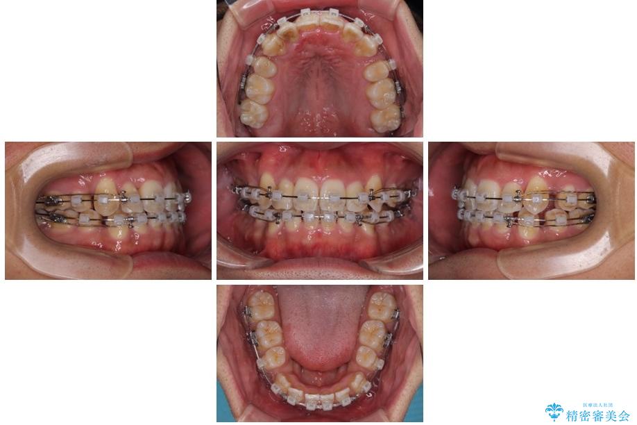
治療途中
  • 八重歯と前歯のガタガタを抜歯矯正で治療|クリアブラケット使用例 治療途中画像
  • 八重歯と前歯のガタガタを抜歯矯正で治療|クリアブラケット使用例 治療途中画像
  • 八重歯と前歯のガタガタを抜歯矯正で治療|クリアブラケット使用例 治療途中画像
  • 八重歯と前歯のガタガタを抜歯矯正で治療|クリアブラケット使用例 治療途中画像
  • 八重歯と前歯のガタガタを抜歯矯正で治療|クリアブラケット使用例 治療途中画像
  • 八重歯と前歯のガタガタを抜歯矯正で治療|クリアブラケット使用例 治療途中画像
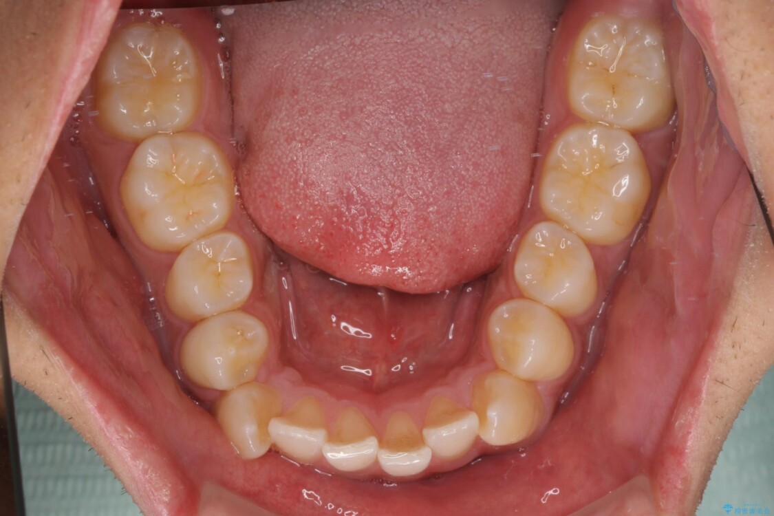
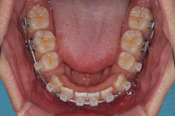
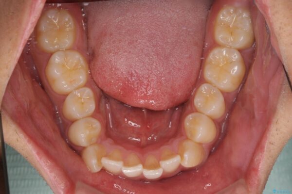
治療後
  • 八重歯と前歯のガタガタを抜歯矯正で治療|クリアブラケット使用例 治療後画像
  • 八重歯と前歯のガタガタを抜歯矯正で治療|クリアブラケット使用例 治療後画像
  • 八重歯と前歯のガタガタを抜歯矯正で治療|クリアブラケット使用例 治療後画像
  • 八重歯と前歯のガタガタを抜歯矯正で治療|クリアブラケット使用例 治療後画像
  • 八重歯と前歯のガタガタを抜歯矯正で治療|クリアブラケット使用例 治療後画像
  • 八重歯と前歯のガタガタを抜歯矯正で治療|クリアブラケット使用例 治療後画像
  • 八重歯と前歯のガタガタを抜歯矯正で治療|クリアブラケット使用例 治療後画像
  • 八重歯と前歯のガタガタを抜歯矯正で治療|クリアブラケット使用例 治療後画像
  • 八重歯と前歯のガタガタを抜歯矯正で治療|クリアブラケット使用例 治療後画像
  • 八重歯と前歯のガタガタを抜歯矯正で治療|クリアブラケット使用例 治療後画像

ワイヤー矯正の注意事項(リスク・副作用など)

・治療中は違和感や痛みが起こることがあります。
・症状により、抜歯が必要な場合があります。
・治療中は歯磨きがしにくくなるため、虫歯や歯周病になりやすくなります。
・矯正治療後の保定が不十分だと後戻り(元の位置に戻ろうとする動き)をします。
・自費診療(保険適用外)となります。

その他の注意事項(リスク・副作用など)

・担当歯科医師、歯科衛生士又は医院スタッフから受けた説明、注意事項をよくご確認ください。
・医療を提供するに当たり、適切な説明を行い、患者様の十分な理解を得るよう努めております。

当サイトの内容、テキスト、画像等の無断転載、複製、複写、盗用を固く禁じます。

24時間受付 Web申し込み


無料カウンセリング予約

無料の個別相談(予約制)を実施しております

医院直通 電話予約
03-3231-0777

平日 11:00~20:00 / 土日 10:00~18:00

※ お電話での治療に関するご相談は、ドクターによる対応ができないためお受けできません