歯科医師 藤巻太一朗 の症例

東京駅前しらゆり歯科

電話でのご予約、お問い合わせ
03-3231-0777

平日11:00~20:00 / 土日10:00~18:00

CASES

藤巻太一朗の症例一覧

藤巻太一朗の治療症例集

東京駅前しらゆり歯科院長 藤巻太一朗の症例一覧ページです。

前歯をきれいにしたい インプラントや部分矯正を用いた総合歯科治療

前歯をきれいにしたい インプラントや部分矯正を用いた総合歯科治療 ビフォー 前歯をきれいにしたい インプラントや部分矯正を用いた総合歯科治療 アフター

抜歯の必要な前歯や、以前治療した前歯のクラウンの外観を気にして来院された患者様です。

この症例の詳細

隙間だらけの歯列 インビザラインで改善

隙間だらけの歯列 インビザラインで改善 ビフォー 隙間だらけの歯列 インビザラインで改善 アフター

前歯の上下スペースと前歯の隙間を気にして来院された患者様です。

この症例の詳細

むし歯で歯茎から血が出てくる オールセラミッククラウンでの補綴治療

むし歯で歯茎から血が出てくる オールセラミッククラウンでの補綴治療 ビフォー むし歯で歯茎から血が出てくる オールセラミッククラウンでの補綴治療 アフター

以前他院にて処置をした歯の歯肉からの出血するとのことで来院された患者様です。

この症例の詳細

割れてしまった奥歯とデコボコの前歯 矯正治療とインプラント治療

割れてしまった奥歯とデコボコの前歯 矯正治療とインプラント治療 ビフォー 割れてしまった奥歯とデコボコの前歯 矯正治療とインプラント治療 アフター

奥歯の痛みと前歯のデコボコを気にして来院された患者様です。

この症例の詳細

【モニター】出っ歯と咬み合わせを改善 ワイヤー装置の抜歯矯正

【モニター】出っ歯と咬み合わせを改善 ワイヤー装置の抜歯矯正 ビフォー 【モニター】出っ歯と咬み合わせを改善 ワイヤー装置の抜歯矯正 アフター

口元の閉じにくさと、奥歯の咬み合わせを気にして来院された患者様です。

この症例の詳細

気になる八重歯 目立ちにくいハーフリンガルでの抜歯矯正

気になる八重歯 目立ちにくいハーフリンガルでの抜歯矯正 ビフォー 気になる八重歯 目立ちにくいハーフリンガルでの抜歯矯正 アフター

八重歯や前歯のデコボコを気にして来院された患者様です。

この症例の詳細

左右の八重歯が気になる ワイヤー装置での咬み合わせ改善

左右の八重歯が気になる ワイヤー装置での咬み合わせ改善 ビフォー 左右の八重歯が気になる ワイヤー装置での咬み合わせ改善 アフター

八重歯と前歯のデコボコを気にして来院された患者様です。

この症例の詳細

抜歯矯正で唇を閉じやすく 目立たないワイヤー装置

抜歯矯正で唇を閉じやすく 目立たないワイヤー装置 ビフォー 抜歯矯正で唇を閉じやすく 目立たないワイヤー装置 アフター

下唇が突き出るような口元の突出感が気になるとのことで来院された患者様です。

この症例の詳細

後戻りでデコボコの前歯 インビザライン矯正治療

後戻りでデコボコの前歯 インビザライン矯正治療 ビフォー 後戻りでデコボコの前歯 インビザライン矯正治療 アフター

高校時代に行った抜歯矯正が後戻りをしたとのことで来院された患者様です。

この症例の詳細

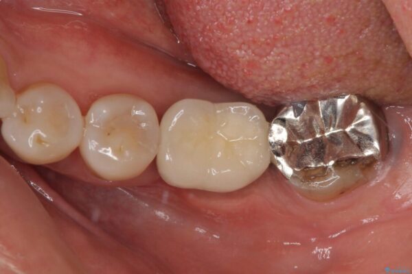
しみる奥歯 オールセラミッククラウンによる補綴治療

しみる奥歯 オールセラミッククラウンによる補綴治療 ビフォー しみる奥歯 オールセラミッククラウンによる補綴治療 アフター

銀歯の装着されている奥歯がしみるとのことで来院された患者様です。

この症例の詳細

24時間受付 Web申し込み


無料カウンセリング予約

無料の個別相談(予約制)を実施しております

医院直通 電話予約
03-3231-0777

平日 11:00~20:00 / 土日 10:00~18:00

※ お電話での治療に関するご相談は、ドクターによる対応ができないためお受けできません