歯科医師 藤巻太一朗 の症例

東京駅前しらゆり歯科

電話でのご予約、お問い合わせ
03-3231-0777

平日11:00~20:00 / 土日10:00~18:00

CASES

藤巻太一朗の症例一覧

藤巻太一朗の治療症例集

東京駅前しらゆり歯科院長 藤巻太一朗の症例一覧ページです。

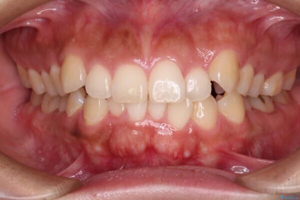
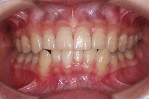
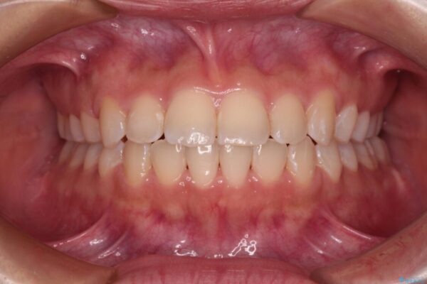
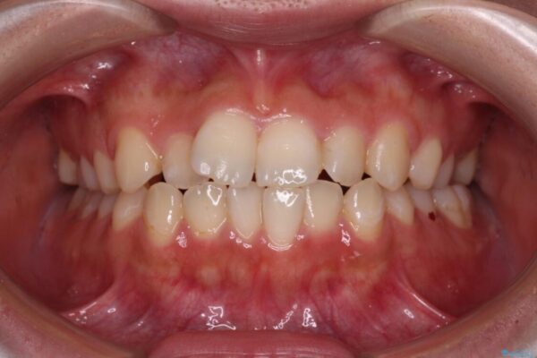
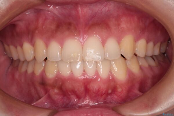
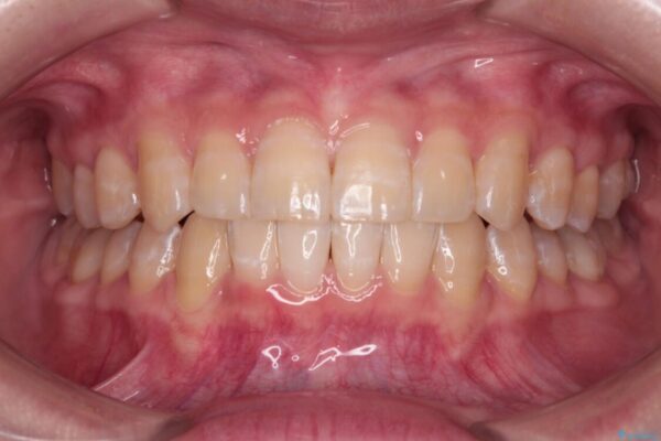
【モニター】口が閉じられない ワイヤー装置での抜歯矯正

【モニター】口が閉じられない ワイヤー装置での抜歯矯正 ビフォー 【モニター】口が閉じられない ワイヤー装置での抜歯矯正 アフター

上下の前歯が突出しており、口が閉じにくいとのことで来院された患者様です。

この症例の詳細

【モニター】飛び出た前歯を整えたい ワイヤー矯正治療

【モニター】飛び出た前歯を整えたい ワイヤー矯正治療 ビフォー 【モニター】飛び出た前歯を整えたい ワイヤー矯正治療 アフター

飛び出た上の前歯を気にして来院された患者様です。

この症例の詳細

インビザラインによる矯正治療と奥歯のインプラント治療

インビザラインによる矯正治療と奥歯のインプラント治療 ビフォー インビザラインによる矯正治療と奥歯のインプラント治療 アフター

全体的なデコボコと、以前抜歯した歯のスペースを閉じた部分が気になるとのことで来院された患者様です。

この症例の詳細

奥歯がズキズキと痛む 奥歯の虫歯治療

奥歯がズキズキと痛む 奥歯の虫歯治療 ビフォー 奥歯がズキズキと痛む 奥歯の虫歯治療 アフター

奥歯がズキズキと痛み、食事で噛むことができないとのことで来院された患者様です。 以前治療を受けたとき、むし歯が大きかったため、神経組織が炎症を起こす可能性があると指摘をされていたとのことでした。

この症例の詳細

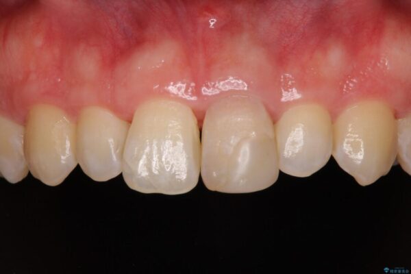
変色した前歯をオールセラミッククラウンに

変色した前歯をオールセラミッククラウンに ビフォー 変色した前歯をオールセラミッククラウンに アフター

神経を取り除いたことで変色した前歯を気にして来院された患者様です。

この症例の詳細

治療途中の奥歯と矯正治療の後戻り インビザライン・ライトによる矯正治療

治療途中の奥歯と矯正治療の後戻り インビザライン・ライトによる矯正治療 ビフォー 治療途中の奥歯と矯正治療の後戻り インビザライン・ライトによる矯正治療 アフター

根管治療を行ったままの奥歯と、矯正治療の後戻りを気にして来院された患者様です。

この症例の詳細

【モニター】下顎前歯のデコボコをインビザラインできれいに

【モニター】下顎前歯のデコボコをインビザラインできれいに ビフォー 【モニター】下顎前歯のデコボコをインビザラインできれいに アフター

下顎の八重歯を気にして来院された患者様です。

この症例の詳細

【モニター】短期間で終わりたい ワイヤー装置での非抜歯矯正

【モニター】短期間で終わりたい ワイヤー装置での非抜歯矯正 ビフォー 【モニター】短期間で終わりたい ワイヤー装置での非抜歯矯正 アフター

前歯のデコボコを気にして来院された患者様です。

この症例の詳細

【モニター】前歯のデコボコをインビザラインで改善

【モニター】前歯のデコボコをインビザラインで改善 ビフォー 【モニター】前歯のデコボコをインビザラインで改善 アフター

前歯のデコボコで前方に出ていることを気にして来院された患者様です。

この症例の詳細

24時間受付 Web申し込み


無料カウンセリング予約

無料の個別相談(予約制)を実施しております

医院直通 電話予約
03-3231-0777

平日 11:00~20:00 / 土日 10:00~18:00

※ お電話での治療に関するご相談は、ドクターによる対応ができないためお受けできません