歯科医師 齋藤佑磨 の症例

東京駅前しらゆり歯科

電話でのご予約、お問い合わせ
03-3231-0777

平日11:00~20:00 / 土日10:00~18:00

CASES

齋藤佑磨の症例一覧

齋藤佑磨の治療症例集

東京駅前しらゆり歯科副院長 齋藤佑磨の症例一覧ページです。

八重歯と前歯のガタガタを抜歯矯正で治療|クリアブラケット使用例

八重歯と前歯のガタガタを抜歯矯正で治療|クリアブラケット使用例 ビフォー 八重歯と前歯のガタガタを抜歯矯正で治療|クリアブラケット使用例 アフター

「八重歯を治したい」とご相談いただいた患者様の症例をご紹介します。

この症例の詳細

前歯のガタガタ・奥歯のかみ合わせ(シザーズバイト)を改善|1年半で完了したメタルブラケット矯正

前歯のガタガタ・奥歯のかみ合わせ(シザーズバイト)を改善|1年半で完了したメタルブラケット矯正 ビフォー 前歯のガタガタ・奥歯のかみ合わせ(シザーズバイト)を改善|1年半で完了したメタルブラケット矯正 アフター

主訴:前歯のデコボコと奥歯のかみ合わせを治したい 今回ご紹介するのは、「前歯のガタガタ(叢生)」と「奥歯のかみ合わせ(シザーズバイト)」にお悩みでご来院された患者様の症例です。 患者様は、 ・歯並びをできるだけ早く改善したい ・費用を抑えた矯正治療 というご要望をお持ちでした。

この症例の詳細

ラバーダム使用で再感染リスクを抑えた再根管治療+精密な補綴による長期安定を実現

ラバーダム使用で再感染リスクを抑えた再根管治療+精密な補綴による長期安定を実現 ビフォー ラバーダム使用で再感染リスクを抑えた再根管治療+精密な補綴による長期安定を実現 アフター

「以前に根管治療をした歯が、噛むと違和感がある」とのことでご来院された患者様の症例です。 患者様は、数年前に他院で根管治療を受けたとのことでしたが、被せもの(クラウン)は装着されていない状態でした。 噛んだときの違和感が慢性的にあり、食事中も気になるとのことで当院にご相談いただきました。 レントゲン検査では、根の先端に透過像(根尖病変の可能性)が見られ、過去の治療ではラバーダム防湿が使用されていなかったそうです。

この症例の詳細

「抜歯してブリッジ」と言われた20代女性が選んだ治療とは|たった4か月で自然な笑顔に抜歯即時インプラント+審美補綴の症例

「抜歯してブリッジ」と言われた20代女性が選んだ治療とは|たった4か月で自然な笑顔に抜歯即時インプラント+審美補綴の症例 ビフォー 「抜歯してブリッジ」と言われた20代女性が選んだ治療とは|たった4か月で自然な笑顔に抜歯即時インプラント+審美補綴の症例 アフター

20代女性の患者様。 他院にて「上の前歯(右上中切歯)は抜歯してインプラントかブリッジにする必要がある」と診断され、大変ショックを受けられていました。 すでに根管治療を受けた歯でしたが、急に担当医が変わり、「抜歯が必要」とだけ説明されたことに不安感を抱き、当院を受診されました。 左上中切歯と犬歯も仮歯のままで、将来への不安が大きかったご様子です。

この症例の詳細

挺出歯を圧下してスペースを確保!目立たない部分矯正で下顎大臼歯にインプラント治療を実現

挺出歯を圧下してスペースを確保!目立たない部分矯正で下顎大臼歯にインプラント治療を実現 ビフォー 挺出歯を圧下してスペースを確保!目立たない部分矯正で下顎大臼歯にインプラント治療を実現 アフター

「1年前に抜歯した右下の奥歯にインプラントを入れたい」とのことで来院されました。

この症例の詳細

自然な美しさと強度を両立!右上小臼歯の被せもの脱離に対する審美補綴治療

自然な美しさと強度を両立!右上小臼歯の被せもの脱離に対する審美補綴治療 ビフォー 自然な美しさと強度を両立!右上小臼歯の被せもの脱離に対する審美補綴治療 アフター

「以前治療した歯の被せものが外れてしまった」とのことで、右上の小臼歯の被せもの脱離を主訴に来院されました。

この症例の詳細

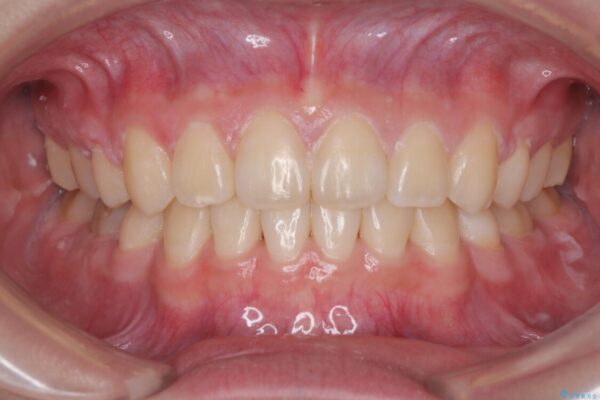
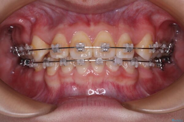
1年でここまで変わる!歯列のがたつきと正中のズレを改善した矯正治療(メタルブラケット×MARPE)

1年でここまで変わる!歯列のがたつきと正中のズレを改善した矯正治療(メタルブラケット×MARPE) ビフォー 1年でここまで変わる!歯列のがたつきと正中のズレを改善した矯正治療(メタルブラケット×MARPE) アフター

「歯並びがデコボコしていて、上下の中心がズレているのが気になる…」という悩みで来院された患者さまの症例をご紹介します。

この症例の詳細

【モニター】前歯のデコボコをスッキリ解消!目立ちにくいワイヤー矯正でスピーディに治療完了

【モニター】前歯のデコボコをスッキリ解消!目立ちにくいワイヤー矯正でスピーディに治療完了 ビフォー 【モニター】前歯のデコボコをスッキリ解消!目立ちにくいワイヤー矯正でスピーディに治療完了 アフター

「前歯のデコボコ(叢生)をきれいに整えたい」とのことでご来院されました。

この症例の詳細

24時間受付 Web申し込み


無料カウンセリング予約

無料の個別相談(予約制)を実施しております

医院直通 電話予約
03-3231-0777

平日 11:00~20:00 / 土日 10:00~18:00

※ お電話での治療に関するご相談は、ドクターによる対応ができないためお受けできません